

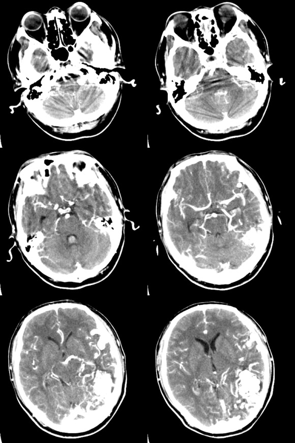
以下是引用杀毒软件在2009-3-28 12:55:00的发言:[br]考虑----血管畸形可能性大
以下是引用sliucun01在2009-3-28 15:53:00的发言:[br]比较典型:脑血管畸形(avm)破裂出血破入脑室系统
以下是引用深泽交通医院在2009-3-28 14:13:00的发言:[br][quote]以下是引用杀毒软件在2009-3-28 12:55:00的发言:[br]考虑----血管畸形可能性大
以下是引用岚儿在2009-3-28 16:00:00的发言:[br]脑血管畸形(avm)破裂出血破入脑室系统.
| 欢迎光临 医影在线 (http://bbs.radida.com/bbs/) | Powered by Discuz! X3.2 |