医影在线

标题: PED1814:胸片体检发现右下肺病变。 [打印本页]

作者: yjr1217    时间: 2009-3-28 21:37
标题: PED1814:胸片体检发现右下肺病变。
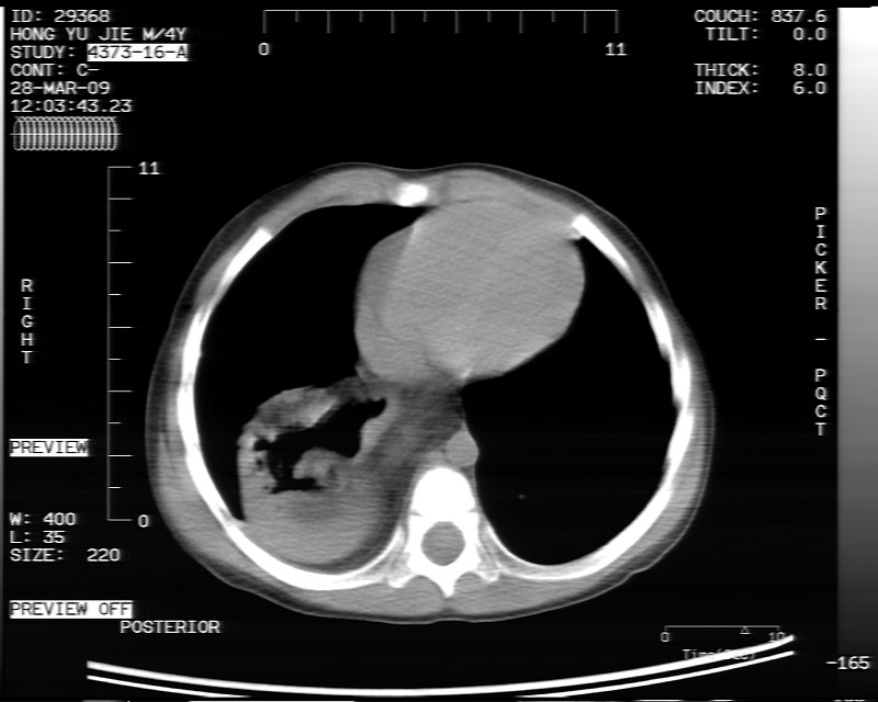
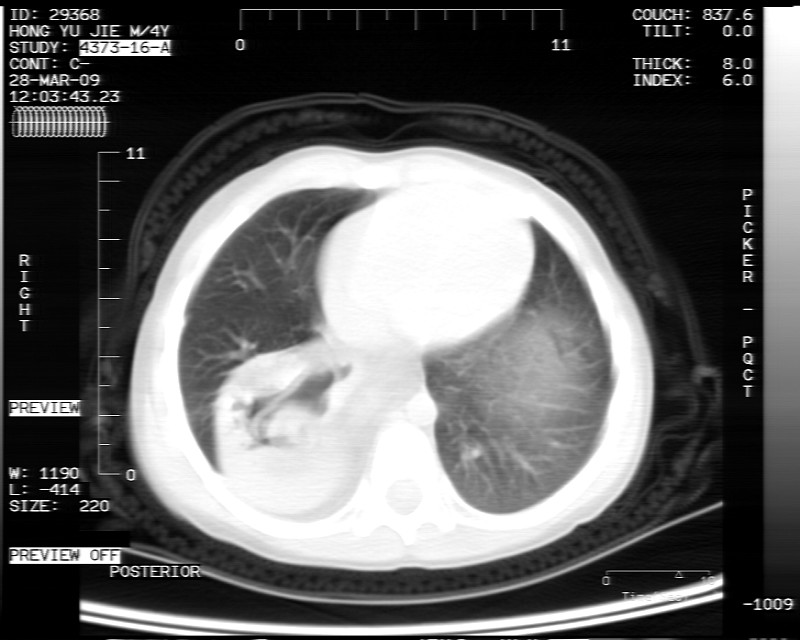
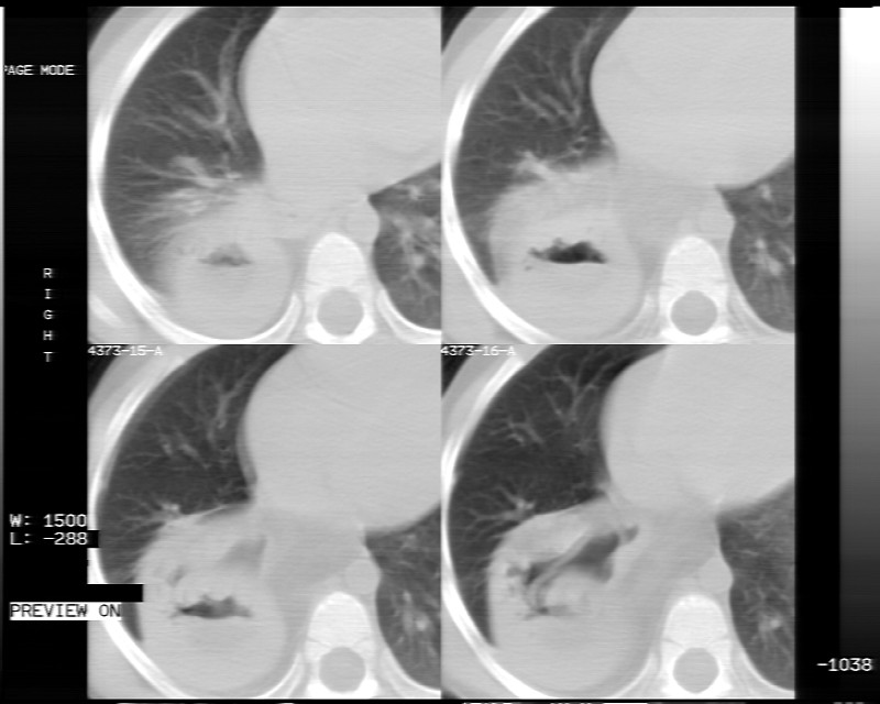
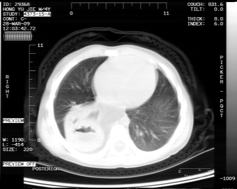
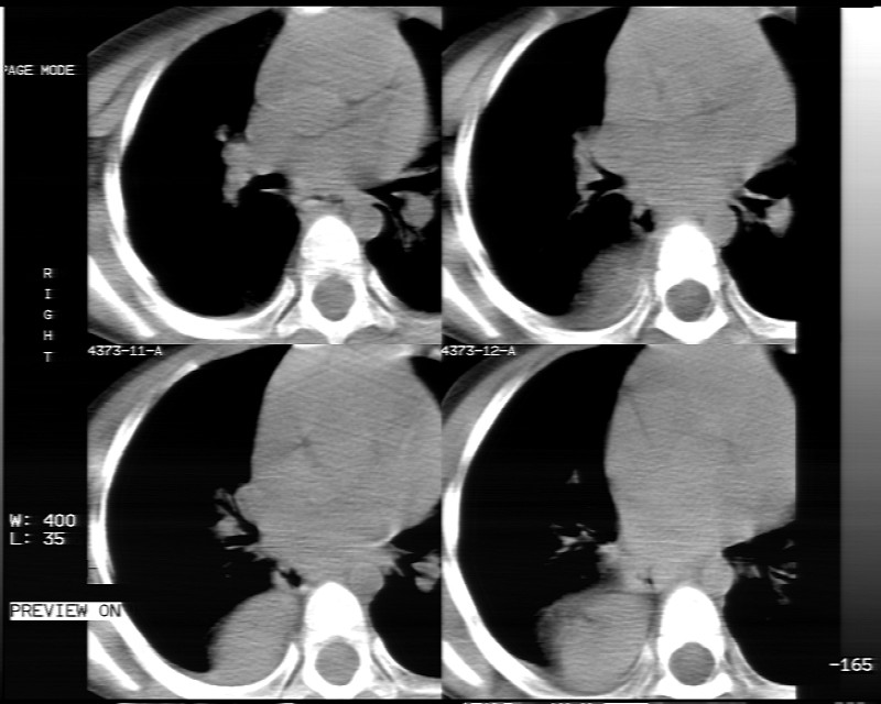
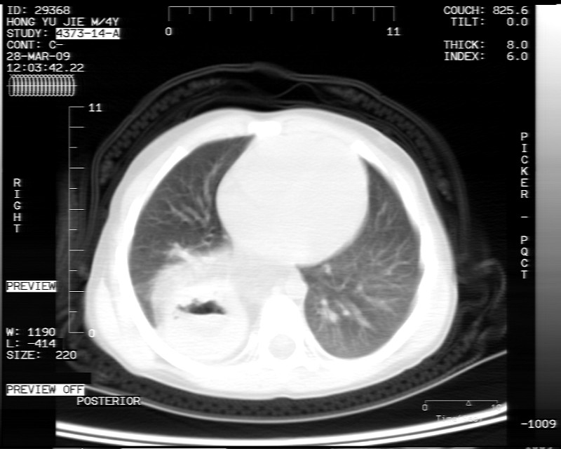
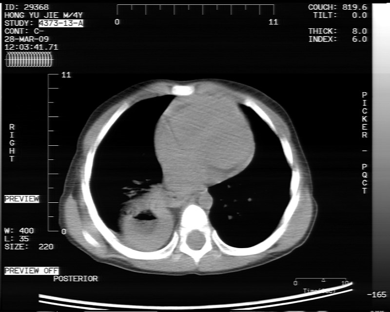
男性,3岁,斜疝术前常规检查胸片体检发现右下肺病变。咳嗽,无发烧。
















[本贴已被 翁志蓬 于 2009-3-28 22:20:56 修改过]

作者: 深泽交通    时间: 2009-3-28 22:21
象腹腔的东西,考虑膈疝
作者: 随光逐影    时间: 2009-3-28 22:35
支持 膈疝。
作者: sliucun01    时间: 2009-3-28 23:47
有意思,
做个胃肠造影可鉴别
作者: 宇宙CT    时间: 2009-3-29 00:03
支持 膈疝。
作者: 看图说话    时间: 2009-3-29 00:06
标题: 回复:胸片体检发现有下肺病变。
以下是引用sliucun01在2009-3-28 15:47:00的发言:[br]有意思,[br]做个胃肠造影可鉴别
.应该是膈疝。
作者: 卜一    时间: 2009-3-29 00:11
支持 膈疝。
作者: 余辉    时间: 2009-3-29 00:35
支持 膈疝。
作者: 流浪星    时间: 2009-3-29 01:01
支持 膈疝。
作者: GYYBZJ    时间: 2009-3-29 01:31
膈疝的表现
作者: 道哥    时间: 2009-3-29 02:59
建议mpr三维重建图像,冠状位看看。
作者: 黄毛小子    时间: 2009-3-29 03:08
支持膈疝
作者: dsl555    时间: 2009-3-29 03:17
支持 膈疝。
作者: 学医    时间: 2009-3-29 03:34
支持膈疝,做胃肠吧
作者: docgobt103035    时间: 2009-3-29 04:18
做胃肠造影
作者: 杀毒软件    时间: 2009-3-29 04:19
支持 膈疝
作者: xulianj    时间: 2009-3-29 04:38
支持
作者: pujunzhi    时间: 2009-3-29 05:38
支持膈疝,口服阳性造影剂行ct扫描即可证实。
作者: zsl6918    时间: 2009-3-29 16:32
支持 膈疝
作者: liaizhi    时间: 2009-3-29 17:12
内有气体,液平面,考虑食管裂孔疝可能性大。建议食道钡透。
作者: 影象小泰斗    时间: 2009-3-29 17:42
像是膈疝,建议钡餐检查!
作者: 黑白光影    时间: 2009-3-29 18:41
支持 膈疝。建议喝钡。
作者: 王2008    时间: 2009-3-29 19:35
支持 膈疝。建议喝钡。
作者: aa13877358820    时间: 2009-3-29 20:36
是膈疝?
作者: wangzhengyuan    时间: 2009-3-29 21:48
膈疝,可见黏膜·
作者: 拾荒者    时间: 2009-3-30 03:04
有液气平面,前部肺纹理聚集(受压改变),周围肺野及相邻胸膜清晰,支持膈疝,可吞服造影剂看一下。
作者: dyqct    时间: 2009-3-30 04:06
支持 膈疝。建议消化道造影进一步检查。
作者: 22222222    时间: 2009-3-30 04:15
支持膈疝,口服阳性造影剂行ct扫描即可证实。
作者: hexue    时间: 2009-3-30 07:35
支持 膈疝。
作者: LIAOQIANG    时间: 2009-3-30 17:20
考虑膈疝(右侧胸腹膜裂孔疝?)。
作者: SUNBIN    时间: 2009-3-31 05:23
膈疝.
作者: 影像之路    时间: 2009-3-31 06:35
支持 膈疝。建议喝钡。
作者: xizhong    时间: 2009-3-31 17:17
支持 膈疝。
作者: jiangjing    时间: 2009-3-31 22:18
支持 膈疝。建议透视钡餐检查
作者: muzi888    时间: 2009-3-31 23:23
支持 膈疝。
作者: pujunzhi    时间: 2009-4-1 02:42
支持 膈疝。
作者: 感悟2009    时间: 2009-4-7 06:06
膈疝可能性大
作者: 赵建明    时间: 2009-12-25 04:13
还要考虑肺隔离征。
作者: yuhongjun    时间: 2009-12-26 18:38
支持 膈疝。建议喝钡。




欢迎光临 医影在线 (http://bbs.radida.com/bbs/) Powered by Discuz! X3.2