医影在线
标题: CT19077:主动脉不典型夹层? [打印本页]
作者: 我爱放射 时间: 2009-3-28 22:13
标题: CT19077:主动脉不典型夹层?
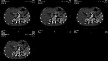
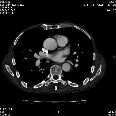
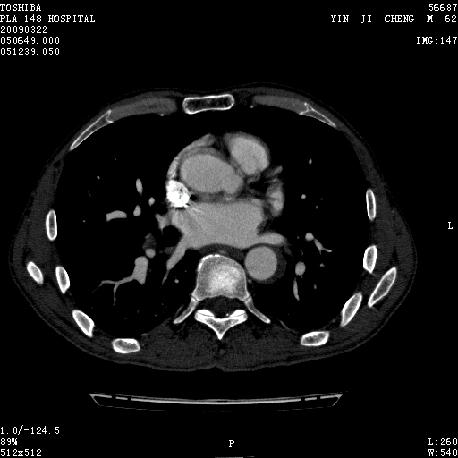
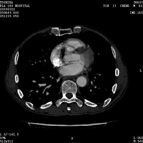
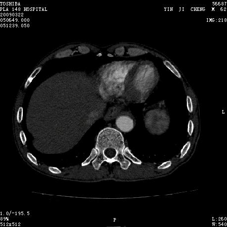
男 62 夜间突然腹痛并向背部放射 ,急诊疑胰腺炎 ,胰淀粉酶正常 ,ct示胰腺未见明显异常,发现降主动脉密度欠均,做主动脉造影示胸腹主动脉半月形低密度充盈缺损,内膜钙化并内移,累及腹腔干致根部明显狭窄,未见明显破裂口。 本人为是不典型夹层,其他人有说是动脉硬化或动脉炎的。请大家发表一下看法。












[本贴已被 我爱放射 于 2009-3-28 14:15:52 修改过]
[本贴已被 我爱放射 于 2009-3-28 18:01:26 修改过]
[本贴已被 翁志蓬 于 2009-3-28 22:07:09 修改过]
作者: 看图说话 时间: 2009-3-28 23:58
可惜图像太小,但结合病人年龄、病史及降主动脉壁增厚及模糊表现应该考虑,在我看到的急性主动脉夹层别人中血管壁都有这样改变。
作者: 卜一 时间: 2009-3-29 00:12
支持:主动脉夹层!
作者: 道哥 时间: 2009-3-29 03:04
东芝16排的图像不错!
作者: dsl555 时间: 2009-3-29 03:06
支持:主动脉夹层!
作者: docgobt103035 时间: 2009-3-29 04:15
不像
作者: 杀毒软件 时间: 2009-3-29 04:15
标题: 回复:主动脉不典型夹层?
以下是引用卜一在2009-3-28 16:12:00的发言:[br]支持:主动脉夹层!
作者: xulianj 时间: 2009-3-29 04:34
支持:主动脉夹层!建议mri检查,就能明确了。
作者: 我爱放射 时间: 2009-3-29 07:13
标题: 回复:ct19077:主动脉不典型夹层?
不典型夹层和动脉粥样硬化、脉管炎怎么鉴别啊 谁有图像最好传上来学习一下
作者: 随光逐影 时间: 2009-3-29 16:01
主动脉附壁血栓?主动脉夹层?
作者: zsl6918 时间: 2009-3-29 16:06
大动脉炎,左侧房室缺血.
作者: GYYBZJ 时间: 2009-3-29 17:02
我觉得这个不像主动脉夹层,应该是血栓多点,如果可以重建个mpr也许对诊断更有帮助。
作者: 黑白光影 时间: 2009-3-29 17:58
支持楼上意见。
作者: LWZ 时间: 2009-3-29 23:44
不象夹层,延时扫可鉴别。
作者: jinguoji 时间: 2009-4-9 22:35
支持主动脉夹层。
| 欢迎光临 医影在线 (http://bbs.radida.com/bbs/) |
Powered by Discuz! X3.2 |