医影在线
标题: CT19079:出血?钙化?(已证实为出血) [打印本页]
作者: fangrenjie 时间: 2009-3-29 00:40
标题: CT19079:出血?钙化?(已证实为出血)
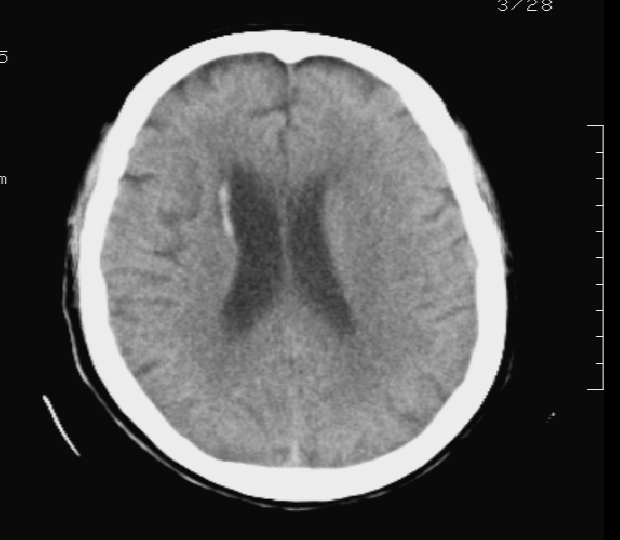
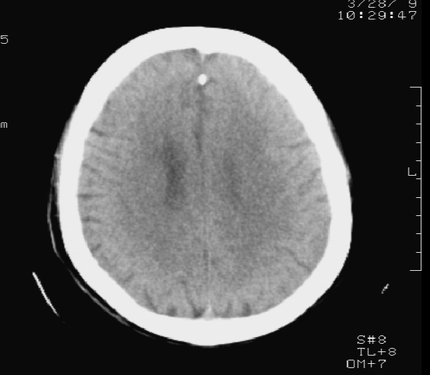
男 58岁 双下肢无力个一天 糖尿病患者




测ct值 67左右
患者今日行mr检查:右侧室管膜下见条状短t1长t2 flair呈高信号影, 证实为出血
[本贴已被 翁志蓬 于 2009-3-28 22:08:32 修改过]
[本贴已被 fangrenjie 于 2009-3-30 9:33:13 修改过]
[本贴已被 fangrenjie 于 2009-3-30 9:42:12 修改过]
作者: 余辉 时间: 2009-3-29 00:41
灶周水肿,ct值较低,考虑室管膜下出血
作者: 随光逐影 时间: 2009-3-29 00:48
考虑室管膜下出血;建议短期复查,排除钙化灶。
作者: 看图说话 时间: 2009-3-29 01:35
考虑出血灶。
作者: zbp537 时间: 2009-3-29 01:44
考虑室管膜下出血,因为旁边有水肿。
作者: fangrenjie 时间: 2009-3-29 01:46
室管膜下出血(she)即脑室周围出血,其临床症状变化不一,可表现为大脑皮层兴奋性增高。或皮层抑制症状。本型常见于早产儿,胎龄越小发病率越高,因早产儿的生发基层富有脆弱的血管。近年来b超对颅内出血、尤其室管膜下出血的诊断更显重要
年龄这么大 这个可靠吗?还有其它的意见吗
作者: dsl555 时间: 2009-3-29 02:53
考虑室管膜下出血,因为旁边有水肿。
作者: 卜一 时间: 2009-3-29 03:01
出血灶。
作者: 泪洒红尘 时间: 2009-3-29 03:07
学习学习
作者: 黄毛小子 时间: 2009-3-29 03:26
建议量下ct值
必要时复查
作者: docgobt103035 时间: 2009-3-29 04:10
出血灶
作者: 同 时间: 2009-3-29 04:14
考虑室管膜下出血。
作者: xulianj 时间: 2009-3-29 04:30
不支持出血,以钙化可能性大;另有腔梗。过几天复查一下密度无变化就更支持钙化了。
作者: 天堂鸟 时间: 2009-3-29 05:10
支持室管膜下出血,
作者: pujunzhi 时间: 2009-3-29 05:28
标题: 回复:出血?钙化?
以下是引用随光逐影在2009-3-28 16:48:00的发言:[br]考虑室管膜下出血;建议短期复查,排除钙化灶。
作者: 光影★小胖 时间: 2009-3-29 05:39
考虑出血灶。
作者: 影像孺子牛 时间: 2009-3-29 06:40
像出血,复查如果是出血会有变化。
作者: zsl6918 时间: 2009-3-29 16:15
考虑出血,随访复查可明确.
作者: 黑白光影 时间: 2009-3-29 18:02
糖尿病患者,考虑室管膜下出血;建议短期复查。
作者: zxczxc 时间: 2009-3-29 23:37
室管膜下出血。学习了。
作者: LIAOQIANG 时间: 2009-3-30 00:23
考虑钙化,建议进一步检查或复查。
作者: fangrenjie 时间: 2009-3-30 17:33
患者今日行mr检查:右侧室管膜下见条状短t1长t2 flair呈高信号影, 证实为出血
作者: panyishengct 时间: 2009-3-30 21:11
出血灶。
作者: ct诊断高手 时间: 2009-3-30 21:36
学习
作者: 漫步者 时间: 2009-3-30 21:49
很好。
作者: aka502 时间: 2009-3-31 17:56
好病例,学习了!
作者: huqi8888 时间: 2009-3-31 18:26
学习了。
作者: jinguoji 时间: 2009-4-9 22:26
考虑室管膜下出血。
| 欢迎光临 医影在线 (http://bbs.radida.com/bbs/) |
Powered by Discuz! X3.2 |