医影在线

标题: MRI2099:此病人加做压脂像确诊为:终丝脂肪浸润。 [打印本页]

作者: 无知    时间: 2009-3-29 00:44
标题: MRI2099:此病人加做压脂像确诊为:终丝脂肪浸润。
(点击阅片:http://www.radida.com/bbs/forum.php?mod=viewthread&tid=51374)
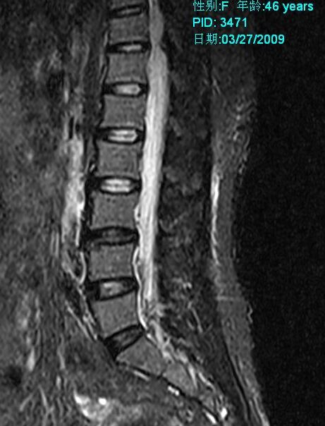
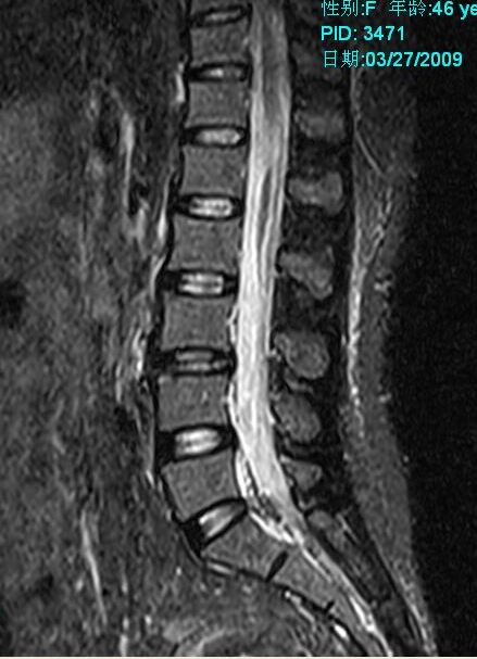
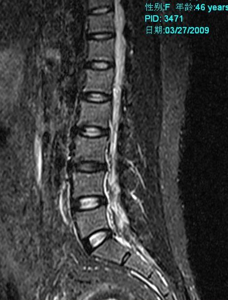
此病人加做压脂像:腰1、2椎体平面椎管内条状高信号病灶信号明显降低。以下为压脂像图像:






[本贴已被 翁志蓬 于 2009-3-28 23:11:52 修改过]

作者: docgobt103035    时间: 2009-3-29 01:27
xuexile
作者: 天堂鸟    时间: 2009-3-29 05:03
怎么不做t1压脂?
作者: 随光逐影    时间: 2009-3-29 15:53
感谢楼主提供诊断依据。
作者: 黑白光影    时间: 2009-3-29 17:26
xuexile
作者: songyi    时间: 2009-3-29 20:18
感谢楼主,学习了!!




欢迎光临 医影在线 (http://bbs.radida.com/bbs/) Powered by Discuz! X3.2