医影在线
标题: PED1815:患儿出生两天,哭闹不安,囟门饱满 [打印本页]
作者: mohaiyidi 时间: 2009-3-29 01:38
标题: PED1815:患儿出生两天,哭闹不安,囟门饱满










[本贴已被 余辉 于 2009-3-28 19:47:49 修改过]
[本贴已被 翁志蓬 于 2009-3-28 22:19:34 修改过]
作者: dyqct 时间: 2009-3-29 02:12
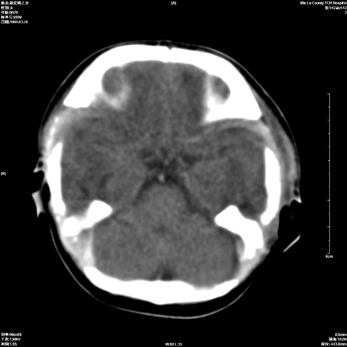
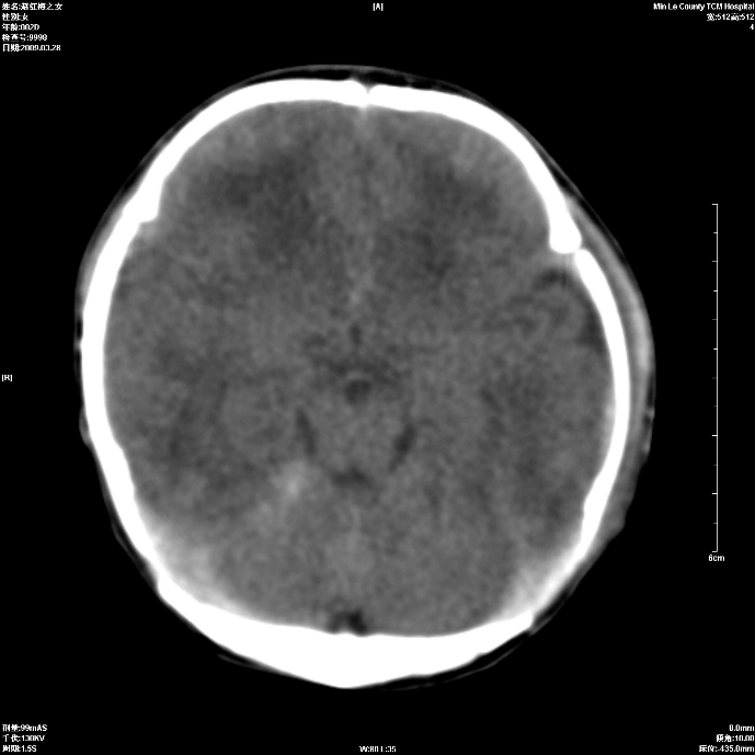
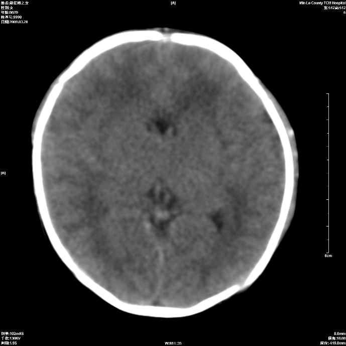
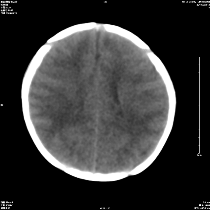
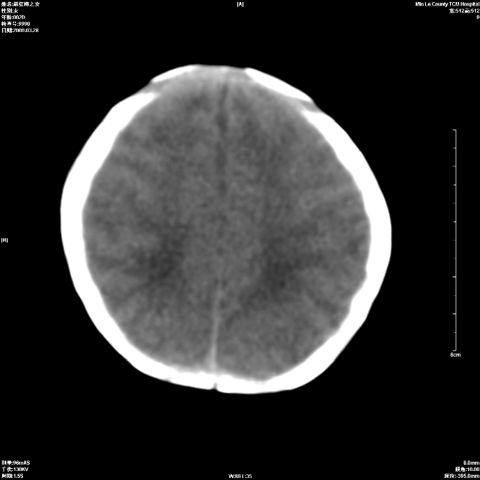
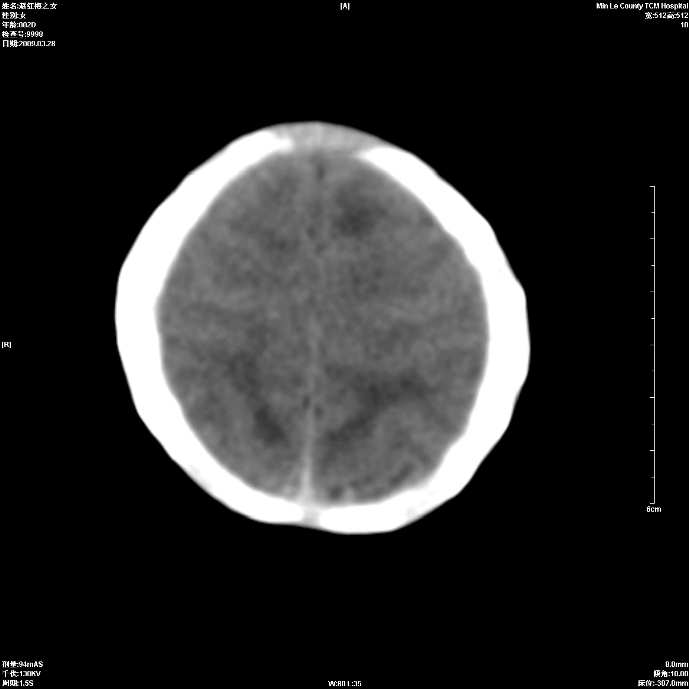
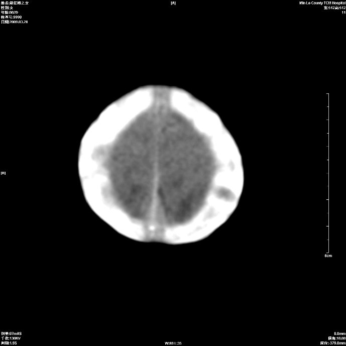
少量蛛网膜下腔出血,有窒息史吗?
作者: 余辉 时间: 2009-3-29 03:58
支持考虑新生儿缺血缺氧性脑病伴蛛网膜下腔出血,请结合临床,建议随访复查
作者: hejie 时间: 2009-3-29 04:00
缺血缺氧性脑病伴蛛网膜下腔出血.
作者: 同 时间: 2009-3-29 04:31
支持缺血缺氧性脑病伴少量蛛网膜下腔出血。
作者: 拾荒者 时间: 2009-3-29 05:15
标题: 回复:ped1814:患儿出生两天,哭闹不安,囟门饱满
以下是引用dyqct在2009-3-28 18:12:00的发言:[br]少量蛛网膜下腔出血,有窒息史吗?
支持!缺氧缺血性脑病一定要结合临床。
作者: 随光逐影 时间: 2009-3-29 16:40
支持 1)缺氧缺血性脑病。2)蛛网膜下腔出血。
作者: zsl6918 时间: 2009-3-29 17:01
蛛网膜下腔出血
作者: 吴承学 时间: 2009-3-29 17:38
标题: 回复:ped1815:患儿出生两天,哭闹不安,囟门饱满
以下是引用zsl6918在2009-3-29 9:01:00的发言:[br]蛛网膜下腔出血
作者: 影象小泰斗 时间: 2009-3-29 17:43
z新生儿缺血缺氧性脑病,蛛网膜下腔出血!
作者: 黑白光影 时间: 2009-3-29 18:43
支持缺血缺氧性脑病伴少量蛛网膜下腔出血。
作者: songyi 时间: 2009-3-29 19:55
支持缺血缺氧性脑病伴少量蛛网膜下腔出血
作者: 杀毒软件 时间: 2009-3-30 00:45
支持 1)缺氧缺血性脑病。2)蛛网膜下腔出血
作者: yuliqin 时间: 2009-3-30 02:34
支持考虑新生儿缺血缺氧性脑病伴蛛网膜下腔出血,
作者: LIAOQIANG 时间: 2009-3-30 17:19
若有窒息史,考虑缺血缺氧性脑病伴少量蛛网膜下腔出血。
作者: SUNBIN 时间: 2009-3-31 05:28
支持脑缺氧缺血.蛛网膜下腔少量出血.
作者: 影像之路 时间: 2009-3-31 06:37
考虑新生儿缺血缺氧性脑病伴蛛网膜下腔出血
作者: xizhong 时间: 2009-3-31 17:20
缺氧缺血性脑病
作者: jiangjing 时间: 2009-3-31 22:13
支持考虑新生儿缺血缺氧性脑病伴蛛网膜下腔出血,请结合临床,建议随访复查
作者: muzi888 时间: 2009-3-31 23:22
缺血缺氧性脑病伴蛛网膜下腔出血.
作者: pujunzhi 时间: 2009-4-1 02:38
标题: 回复:ped1815:患儿出生两天,哭闹不安,囟门饱满
以下是引用随光逐影在2009-3-29 8:40:00的发言:[br]支持 1)缺氧缺血性脑病。2)蛛网膜下腔出血。
作者: wnlyq8688 时间: 2009-4-1 20:39
标题: 回复:ped1815:患儿出生两天,哭闹不安,囟门饱满
以下是引用zsl6918在2009-3-29 9:01:00的发言:[br]蛛网膜下腔出血
建议mri排除缺血缺氧性脑病!
| 欢迎光临 医影在线 (http://bbs.radida.com/bbs/) |
Powered by Discuz! X3.2 |