医影在线
标题: CT19102:颈部肿块 [打印本页]
作者: 178915175 时间: 2009-3-30 05:36
标题: CT19102:颈部肿块
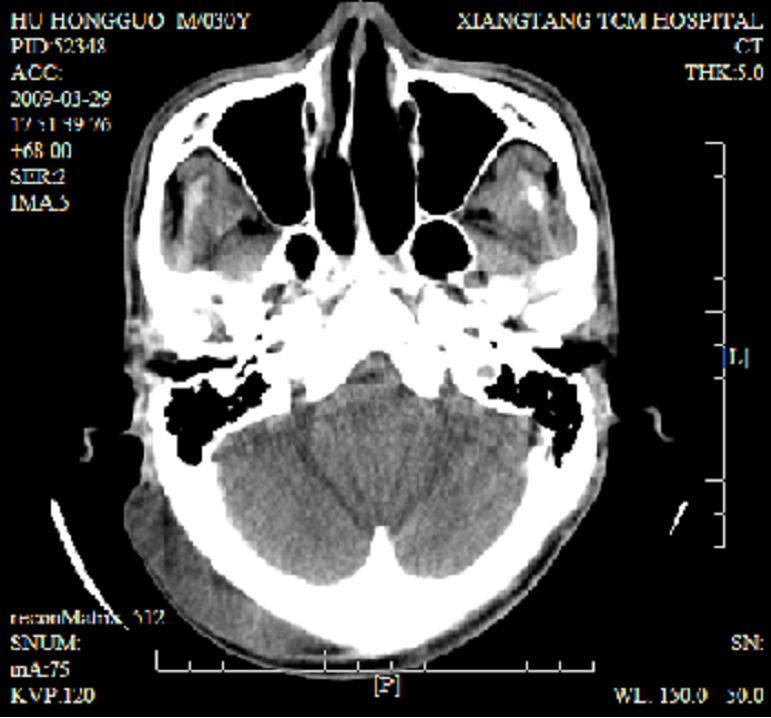
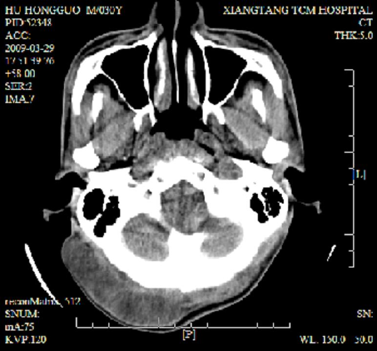
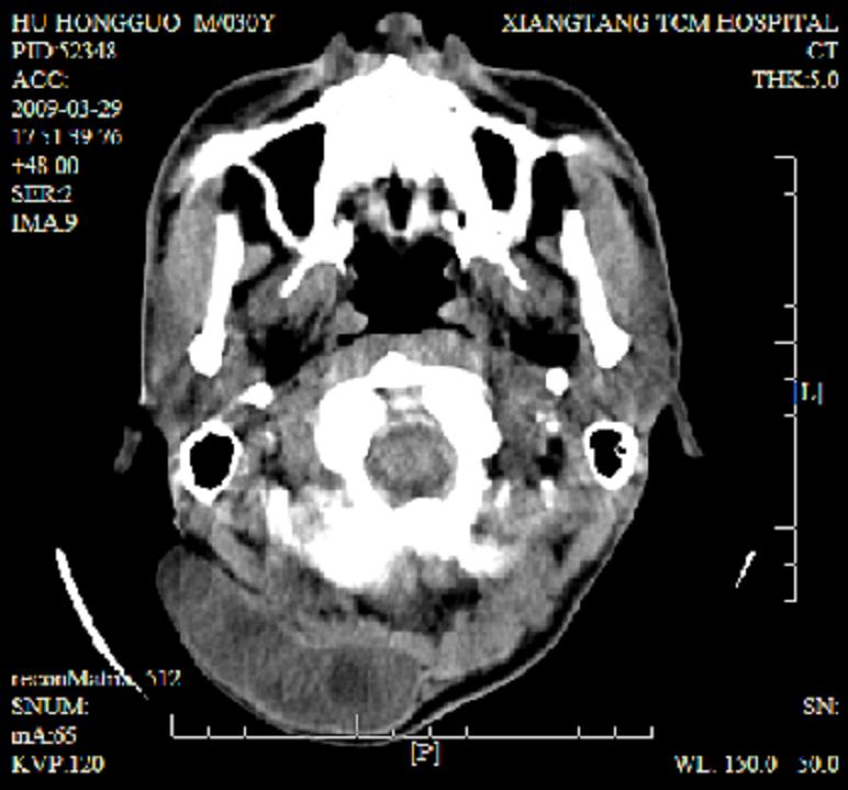
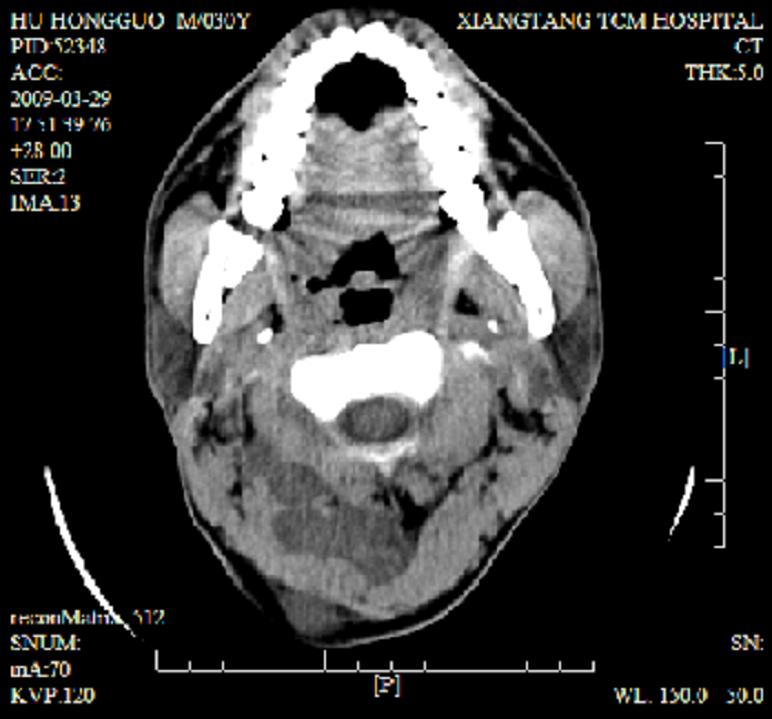
男30y发现肿块3年





















[本贴已被 178915175 于 2009-3-29 21:58:41 修改过]
[本贴已被 翁志蓬 于 2009-3-29 23:33:18 修改过]
作者: 子期 时间: 2009-3-30 06:49
考虑淋巴结核。
作者: GYYBZJ 时间: 2009-3-30 06:59
考虑皮样囊肿 或者少血供的血管瘤。
作者: lkc8963 时间: 2009-3-30 07:06
男30y发现肿块3年.用结核解释不通,皮下和肌间不是淋巴结核好发部位.
多处囊实性肿块,形态欠规则有一定形态,内见点状钙化,以囊变为主,增强后轻度强化,首先考虑神经源性肿瘤如鞘瘤,不除外脉管源性肿瘤如淋巴管瘤(见缝钻及囊性区域太多,如果合并感染完全可以这个影像表现),和海绵状血管瘤,但是血管瘤不太支持因为强化特征和病灶形态不典型.
最好呢做个穿刺或者mri.
作者: 宇宙CT 时间: 2009-3-30 07:27
考虑淋巴结核。
作者: pujunzhi 时间: 2009-3-30 08:11
右侧椎前间隙后部肌间、皮下囊性为主病变,可见分隔和点状钙化,分隔和壁呈轻度环形强化,大部分无强化。形态不规则,有钻缝特点。考虑1 淋巴管瘤合并感染2 血管平滑肌脂肪瘤3 表皮样囊肿4 不除外海绵状血管瘤。
作者: 卜一 时间: 2009-3-30 13:21
神经纤维瘤可能性大!
作者: zblbq 时间: 2009-3-30 13:33
考虑神经源性肿瘤
作者: LIAOQIANG 时间: 2009-3-30 16:47
考虑神经纤维瘤可能,不除外淋巴管瘤。
作者: 随光逐影 时间: 2009-3-30 16:48
支持4楼(刘主任)意见。
作者: LIAOQIANG 时间: 2009-3-30 16:51
笔误应为神经源性肿瘤(鞘瘤?)。
作者: songyi 时间: 2009-3-30 17:08
考虑神经源性肿瘤,建议穿刺或者mri
作者: 深泽交通 时间: 2009-3-30 17:42
有脂肪密度;皮样囊肿可能
作者: 余辉 时间: 2009-3-30 17:46
标题: 回复:ct19102:颈部肿块
以下是引用lkc8963在2009-3-29 23:06:00的发言:[br]男30y发现肿块3年.用结核解释不通,皮下和肌间不是淋巴结核好发部位.[br]多处囊实性肿块,形态欠规则有一定形态,内见点状钙化,以囊变为主,增强后轻度强化,首先考虑神经源性肿瘤如鞘瘤,不除外脉管源性肿瘤如淋巴管瘤(见缝钻及囊性区域太多,如果合并感染完全可以这个影像表现),和海绵状血管瘤,但是血管瘤不太支持因为强化特征和病灶形态不典型.[br]最好呢做个穿刺或者mri.
支持,不除外神经纤维瘤病
作者: 泪洒红尘 时间: 2009-3-30 18:33
支持4楼(刘主任)分析,又上了一课了。
作者: 杀毒软件 时间: 2009-3-30 19:13
支持4楼(刘主任)意见
作者: panyishengct 时间: 2009-3-30 20:28
淋巴管瘤合并感染
作者: zgb5618 时间: 2009-3-31 01:41
考虑神经源性肿瘤,淋巴管瘤可能性大
作者: xulianj 时间: 2009-3-31 04:24
神经源性肿瘤可能大。建议mri检查。
作者: 黑白光影 时间: 2009-3-31 04:43
支持4楼(刘主任)意见
作者: huangxun4321 时间: 2009-3-31 04:52
病灶沿皮下及肌间隙爬行,病灶内有钙化灶,病灶有强化。病史3年,病人应该没什么症状。考虑纤维血管瘤可能性大。
| 欢迎光临 医影在线 (http://bbs.radida.com/bbs/) |
Powered by Discuz! X3.2 |