医影在线
标题: CT19113:体检胸透发现阴影,CT图像。 [打印本页]
作者: yu8531772 时间: 2009-3-31 01:08
标题: CT19113:体检胸透发现阴影,CT图像。
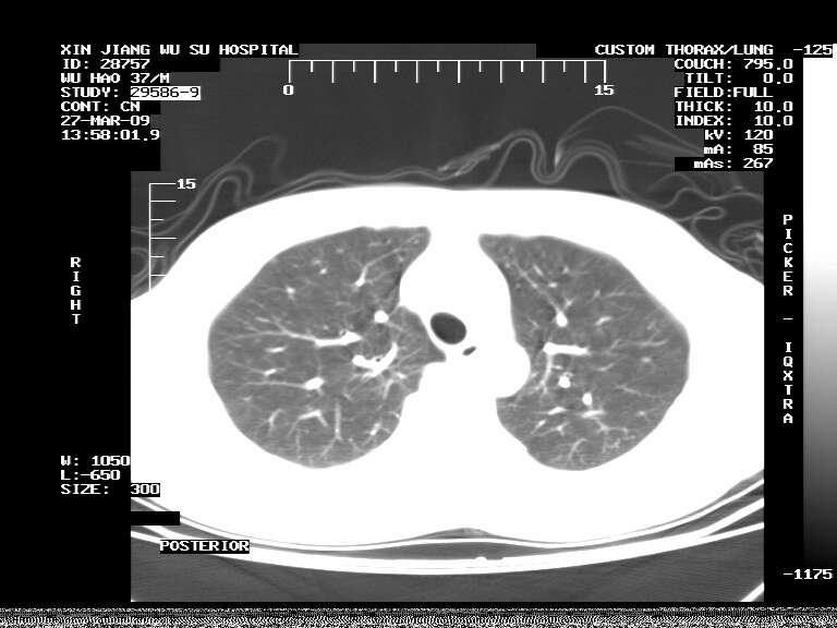
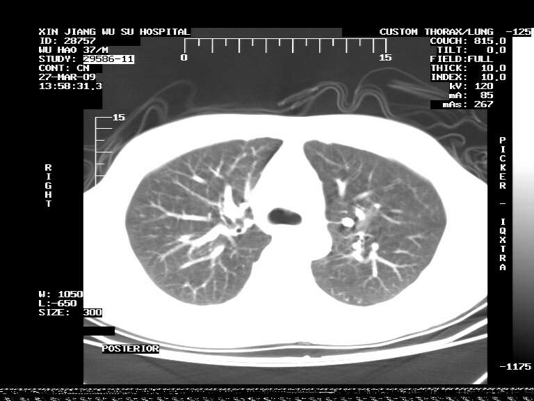
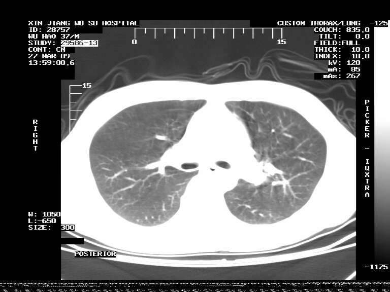
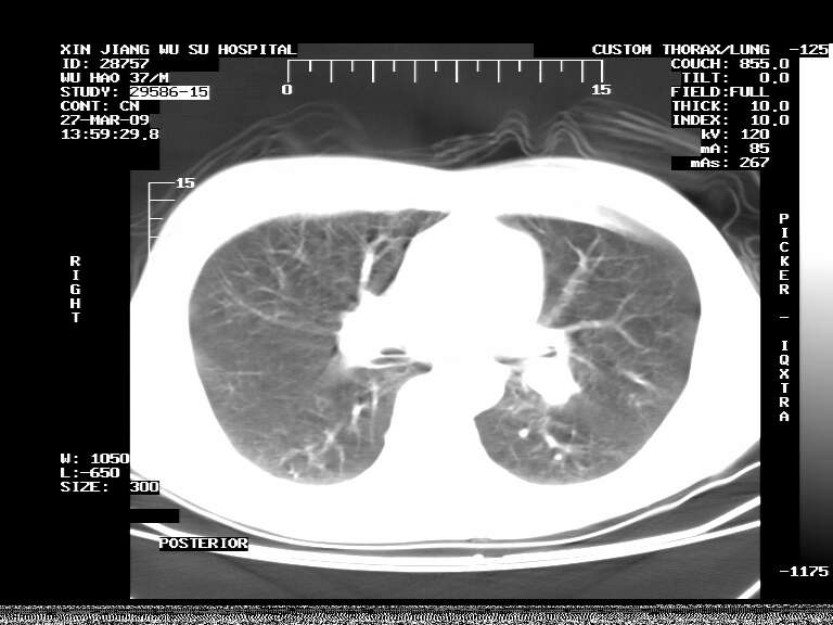
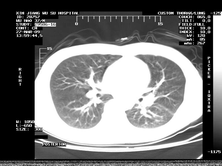
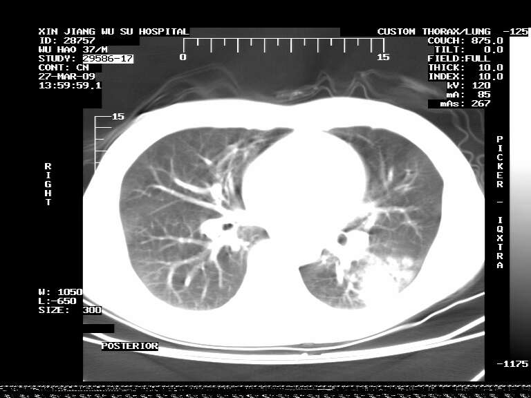
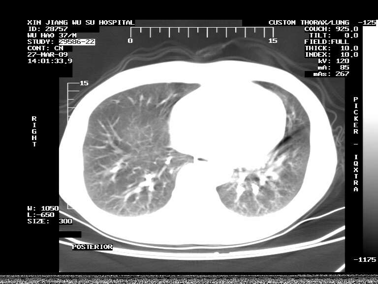
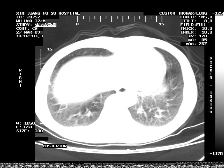
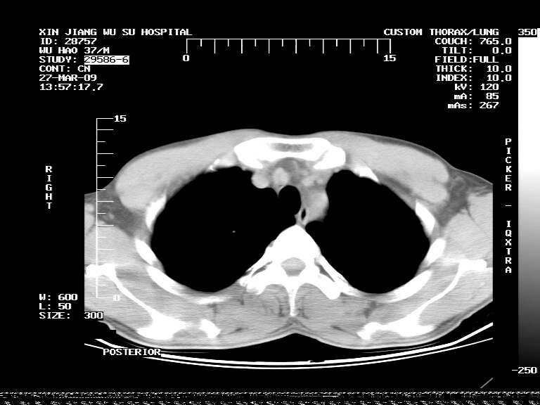
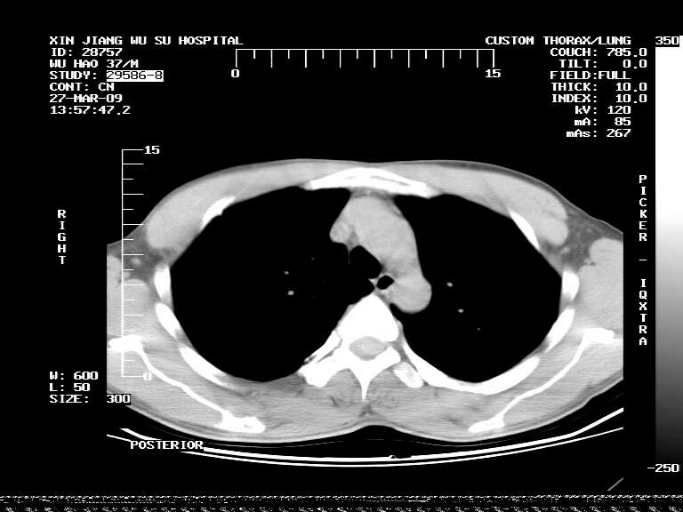
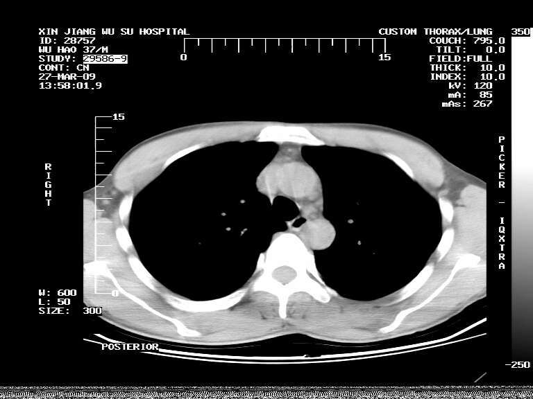
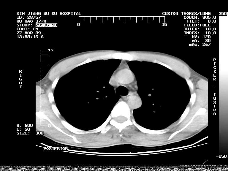
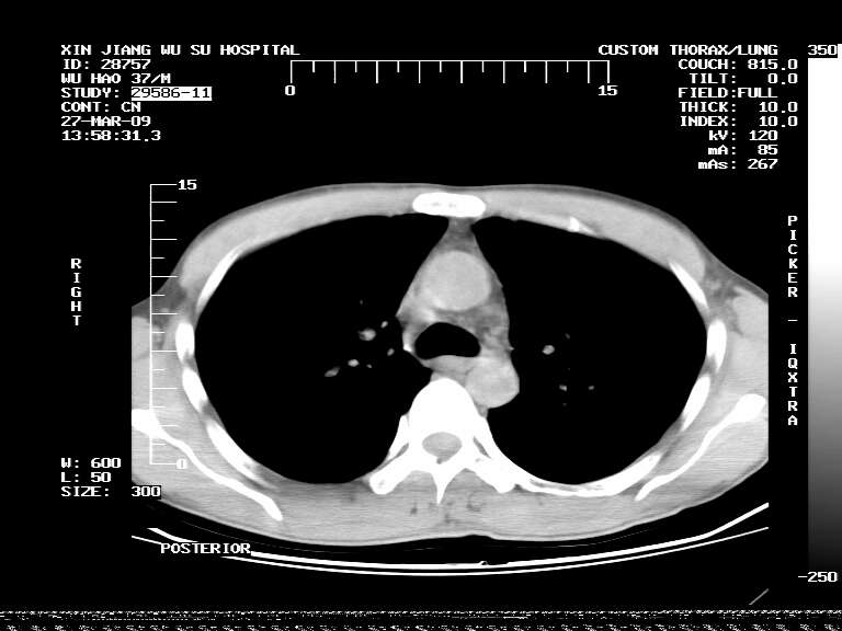
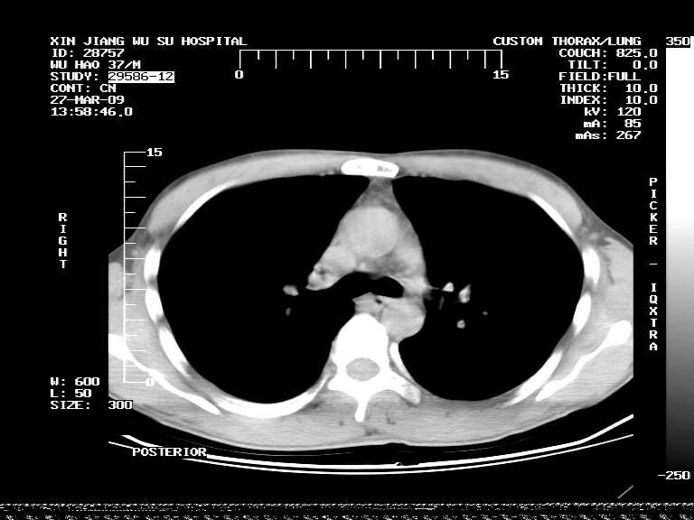
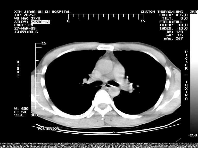
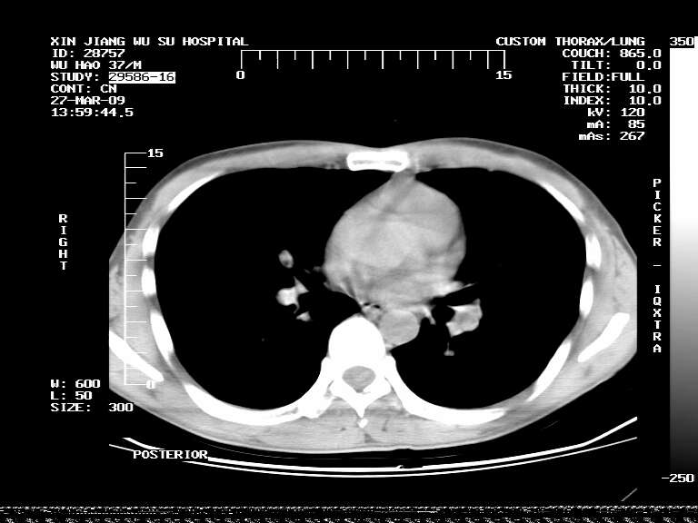
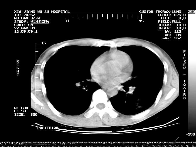
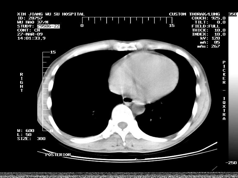
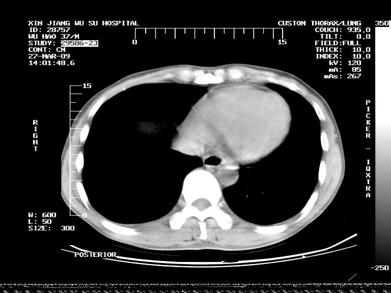
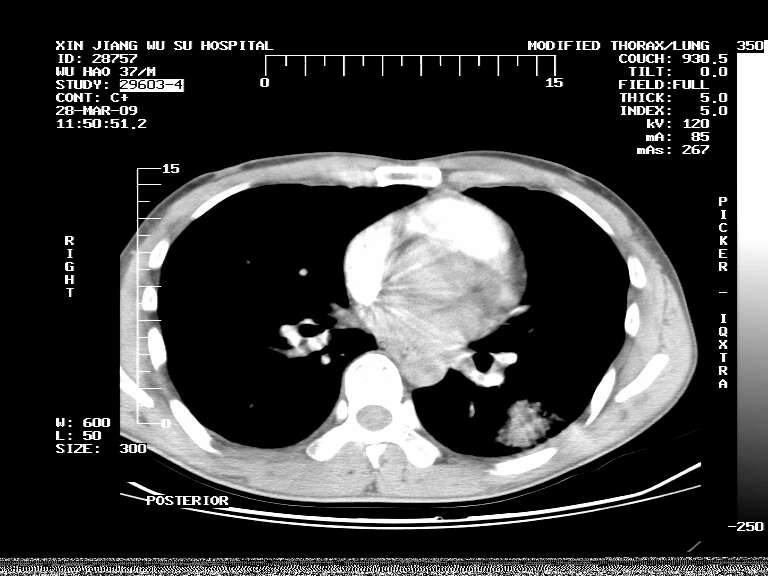
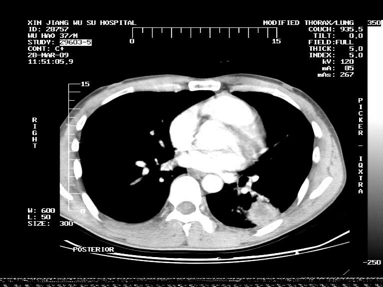
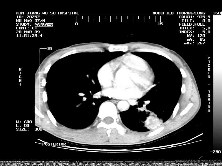
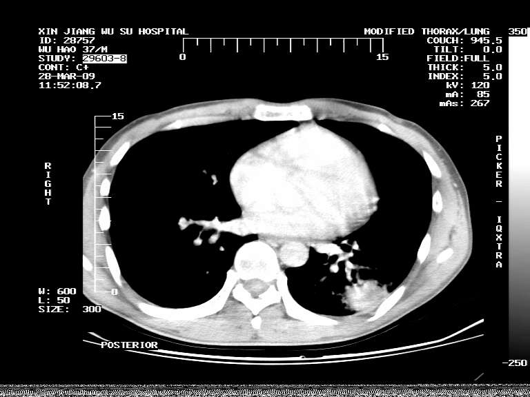
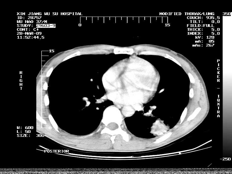
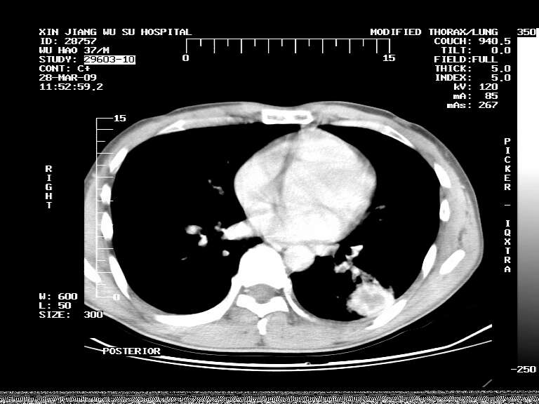
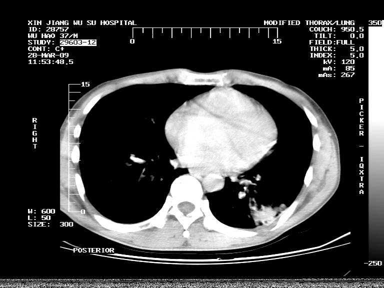
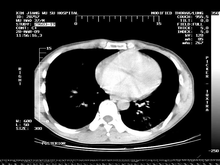
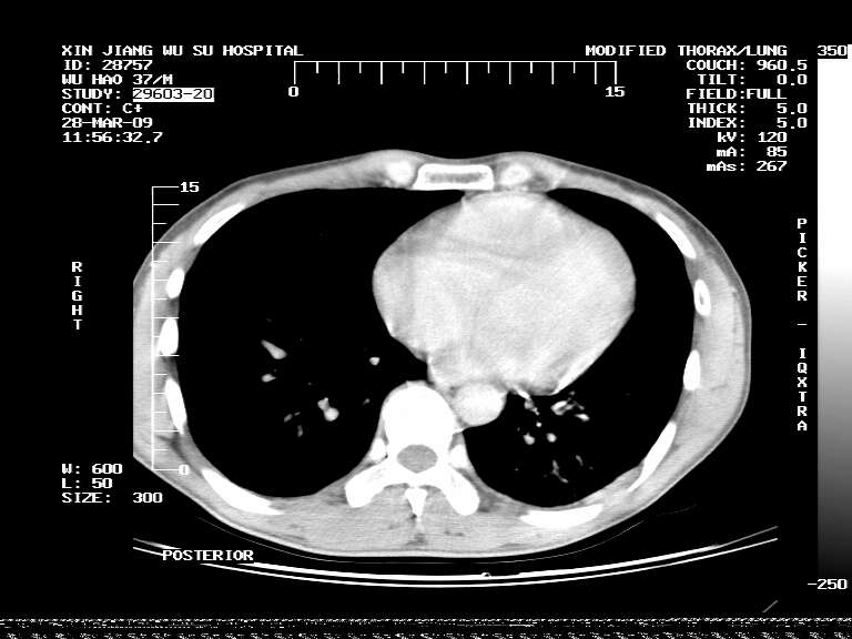
男,37岁,体检胸透发现阴影。






































































[本贴已被 jiajie 于 2009-3-30 18:49:45 修改过]
作者: zgb5618 时间: 2009-3-31 01:20
左下肺感染性病变,肺癌不除外
作者: xupengjie 时间: 2009-3-31 01:21
考虑左肺周围性肺癌。
作者: 杀毒软件 时间: 2009-3-31 01:33
标题: 1
考虑----周围型肺癌可能性大
[本贴已被 杀毒软件 于 2009-3-30 18:58:51 修改过]
作者: zjb 时间: 2009-3-31 01:37
肺部感染性病变,结核不除外---抗炎抗痨后复查
作者: 影像之路 时间: 2009-3-31 02:35
患者体检发现 无症状 左肺下叶占位,边缘模糊,可见血管聚束、分叶、胸膜牵拉,增强呈不均匀性强化。 首先考虑左肺下叶周围型肺癌,建议穿刺活检。
作者: bmw011 时间: 2009-3-31 02:37
肺部感染性病变,结核不除外---抗炎抗痨后复查
作者: 影象小辈 时间: 2009-3-31 02:51
肺部感染性病变,结核不除外---抗炎抗痨后复查
作者: 学医 时间: 2009-3-31 03:08
肺部感染性病变,结核不除外---抗炎抗痨后复查
作者: 随光逐影 时间: 2009-3-31 03:20
考虑左肺下叶感染性病变伴局部胸膜反应;建议抗炎治疗后复查,排除周围型肺癌。
作者: 卜一 时间: 2009-3-31 03:28
患者体检发现 无症状 左肺下叶占位,边缘模糊,可见血管聚束、分叶、胸膜牵拉,增强呈不均匀性强化。 首先考虑左肺下叶周围型肺癌,建议穿刺活检。支持!
作者: pujunzhi 时间: 2009-3-31 03:31
左肺下叶见一结节病变,边缘欠清不光滑,与胸膜粘连且胸膜局限性增厚,注药后呈环形强化,动脉期壁呈明显点环状强化,静脉期壁强化减低,中心密度低无强化,灶周无明显的卫星灶和水肿区(晕征)---考虑周围性肺癌,不除外感染性病变,建议穿刺活检。
作者: 观世音 时间: 2009-3-31 03:33
不放心,做个活检最适合!
作者: 同 时间: 2009-3-31 03:56
考虑左肺下叶周围型肺癌可能性大。
作者: whtcm_xu 时间: 2009-3-31 04:01
肿瘤可能性大些~!除了上述各位所提到的征象,临床没有症状也应该引起关注,如果是炎症或tb,不可能连体温升高都没有吧?
作者: SUNBIN 时间: 2009-3-31 04:15
左肺下叶结节影.密度不均,边缘不规则.周围少许渗出.考虑感染性病变.结核?肿瘤待排.
作者: xulianj 时间: 2009-3-31 04:45
周围型肺癌可能,建议穿刺活检。支持!
作者: ydx_74 时间: 2009-3-31 04:54
结核可能大。
作者: 卧龙山人 时间: 2009-3-31 05:01
炎性假瘤或机化性肺炎可能性大,抗炎治疗后复查。
作者: huangxun4321 时间: 2009-3-31 05:01
病灶强化太明显,病人较年轻。考虑炎性假瘤与周围型肺癌鉴别,以前者可能性,建议抗炎治疗后复查。
作者: wangyong1977 时间: 2009-3-31 05:06
周围型肺癌
作者: SOS.LA 时间: 2009-3-31 05:09
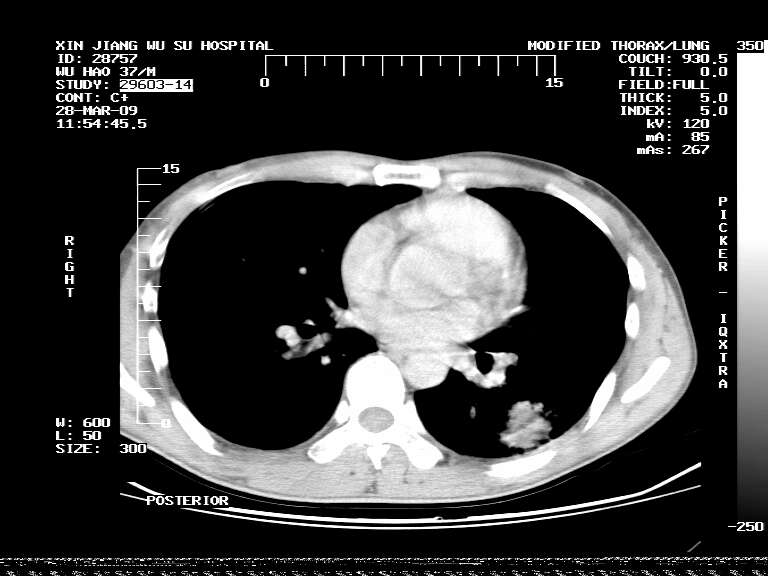
左肺下叶软组织病灶,密度较高,内见点状钙化,其周围见子灶,邻近胸膜扁平样增厚.c+病灶强化明显,中心强化弱.诊断:左肺下叶结核瘤.
作者: scdlc2008 时间: 2009-3-31 05:27
慢性感染!
作者: 黑白光影 时间: 2009-3-31 05:40
肺部感染性病变,结核不除外---抗炎抗痨后复查,排除周围型肺癌。
作者: songyi 时间: 2009-3-31 05:51
周围型肺癌可能性大,建议穿刺活检
作者: 宇宙CT 时间: 2009-3-31 06:08
肺部感染性病变,结核不除外---抗炎抗痨后复查,排除周围型肺癌。
作者: 看图说话 时间: 2009-3-31 06:31
标题: 回复:ct19113:体检胸透发现阴影,ct图像。
以下是引用随光逐影在2009-3-30 19:20:00的发言:[br]考虑左肺下叶感染性病变伴局部胸膜反应;建议抗炎治疗后复查,排除周围型肺癌。
作者: 胡振轴 时间: 2009-3-31 08:05
周围有卫星灶,胸膜反应不明显,病灶中心有坏死。建议先抗结核治疗后,短期复查
作者: huqi8888 时间: 2009-3-31 18:04
考虑为左下肺感染病变;建议治疗后复查或行穿刺检查排除周围性肺癌?
作者: 黄毛小子 时间: 2009-4-1 03:41
周围型肺癌
作者: ct诊断高手 时间: 2009-4-1 03:51
考虑错构瘤
作者: 鲁巨CT 时间: 2009-4-1 04:43
左肺下叶大片实变影,内靠胸膜见不规则更高密度结节灶,边缘强化,相邻胸膜增厚,胸膜下脂肪线存在。考虑炎症,结核可能。
作者: 987654zwf 时间: 2009-4-1 04:51
考虑----周围型肺癌可能性大
作者: chinanyd 时间: 2009-4-3 03:19
首先考虑周围性肺癌
作者: jinguoji 时间: 2009-4-10 01:45
考虑左肺下叶周围型肺癌,建议穿刺活检。
| 欢迎光临 医影在线 (http://bbs.radida.com/bbs/) |
Powered by Discuz! X3.2 |