医影在线

标题: PED1818:男,13岁。头痛5天,复视、呕吐3天。体检:神经生 [打印本页]

作者: sxlcbc    时间: 2009-3-31 14:41
标题: PED1818:男,13岁。头痛5天,复视、呕吐3天。体检:神经生








[本贴已被 jiajie 于 2009-3-31 19:30:45 修改过]

作者: 余辉    时间: 2009-3-31 18:03
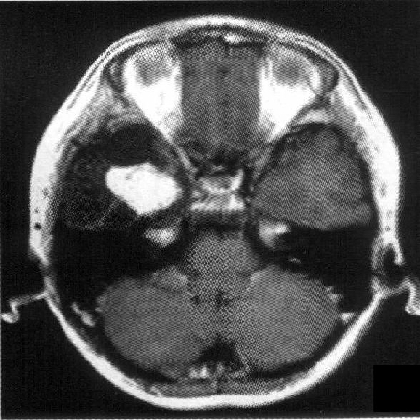
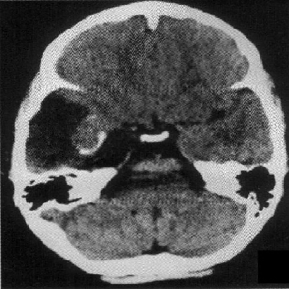
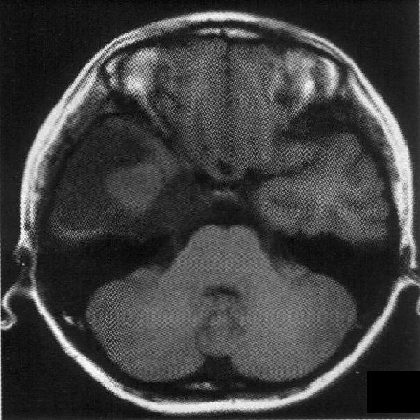
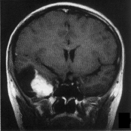
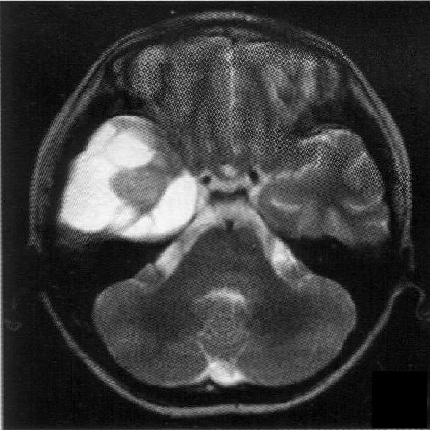
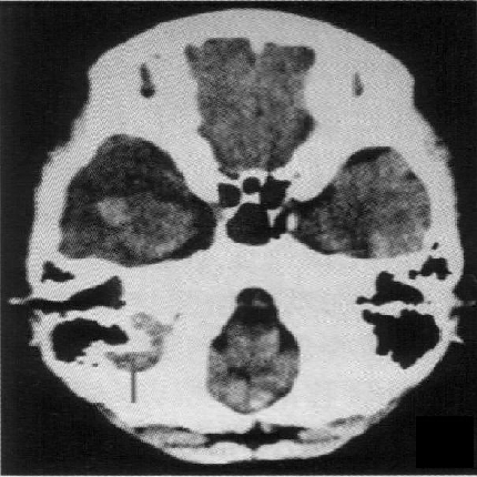
右中颅窝见囊性占位影,其中央见块状高密度影,高密度块后后缘见条状钙化?前部与殘存颞叶皮质相连,临近骨质无异常,病灶囊变区呈长t1长t信号,实性区呈中等信号,增强(最后两副是增强t1像吧)有明显强化,实性块影上部尚见鸟嘴状影(比较像脑膜尾),考虑右中颅窝脑膜瘤可能性大,不排除室管膜瘤,畸胎瘤等
作者: huqi8888    时间: 2009-3-31 18:29
考虑脑膜瘤可能性大。
作者: songyi    时间: 2009-3-31 20:26
支持余辉版主
作者: 杀毒软件    时间: 2009-3-31 20:28
支持考虑---脑膜瘤
作者: jiangjing    时间: 2009-3-31 21:16
支持考虑---脑膜瘤,节细胞胶质瘤待排
作者: 随光逐影    时间: 2009-4-1 00:06
考虑右中颅窝脑膜瘤;不排除右侧颞叶胶质瘤。
作者: 同    时间: 2009-4-1 05:06
考虑右中颅窝脑膜瘤。
作者: 黑白光影    时间: 2009-4-1 06:57
考虑右中颅窝脑膜瘤。
作者: wnlyq8688    时间: 2009-4-1 21:27
右中颅窝见囊性占位影,其中央见块状高密度影,高密度块后后缘见条状钙化?前部与殘存颞叶皮质相连,临近骨质无异常,病灶囊变区呈长t1长t信号,实性区呈中等信号,增强(最后两副是增强t1像吧)有明显强化,实性块影上部尚见鸟嘴状影(比较像脑膜尾),考虑右中颅窝脑膜瘤可能性大,不排除室管膜瘤,畸胎瘤等
作者: sxlcbc    时间: 2009-4-1 23:08
病理:囊性脑膜瘤
作者: 拾荒者    时间: 2009-4-2 05:54
谢谢!结果好快!
作者: dyqct    时间: 2009-4-2 15:42
标题: 回复:ped1818:男,13岁。
以下是引用余辉在2009-3-31 10:03:00的发言:[br]右中颅窝见囊性占位影,其中央见块状高密度影,高密度块后后缘见条状钙化?前部与殘存颞叶皮质相连,临近骨质无异常,病灶囊变区呈长t1长t信号,实性区呈中等信号,增强(最后两副是增强t1像吧)有明显强化,实性块影上部尚见鸟嘴状影(比较像脑膜尾),考虑右中颅窝脑膜瘤可能性大,不排除室管膜瘤,畸胎瘤等

支持!
作者: zhai516    时间: 2009-4-2 23:10
支持脑膜瘤
作者: 李云飞    时间: 2009-4-3 19:12
学习了。谢谢




欢迎光临 医影在线 (http://bbs.radida.com/bbs/) Powered by Discuz! X3.2