医影在线

标题: CT19130:F,60岁。2008-10-17CT发现肝脏占位,现在复查! [打印本页]

作者: ydx_74    时间: 2009-4-1 00:01
标题: CT19130:F,60岁。2008-10-17CT发现肝脏占位,现在复查!
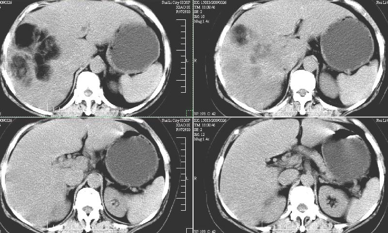
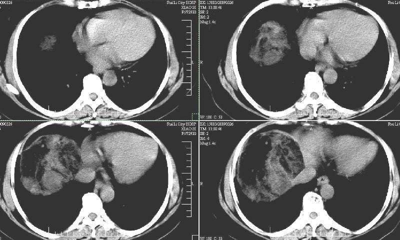
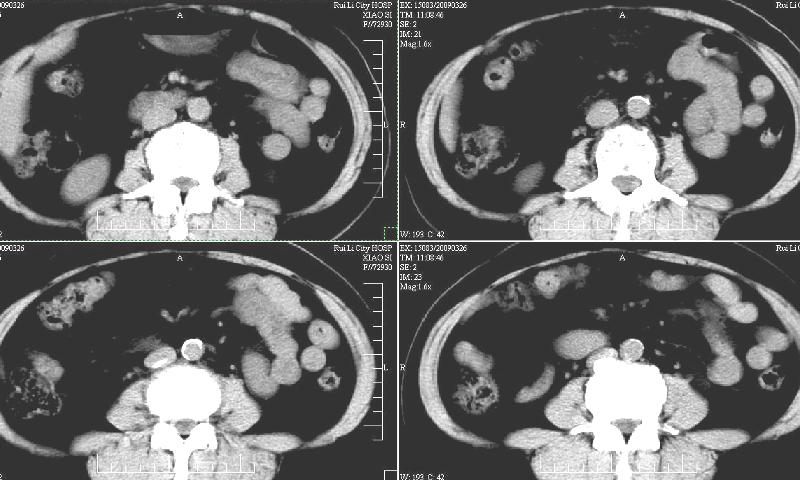
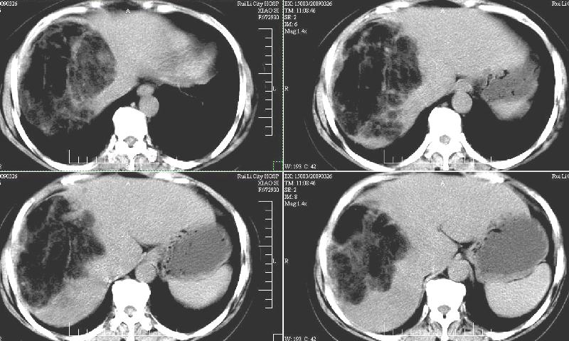
前次已经增强,所以这次没有增。ct:肝右叶平滑肌血管脂肪瘤治疗后复查,肿瘤大小同前或略有缩小。2、轻度脂肪肝。3、肝左叶小囊肿









[本贴已被 jiajie 于 2009-3-31 19:12:00 修改过]

作者: 同    时间: 2009-4-1 00:25
支持楼主意见,肝右叶平滑肌血管脂肪瘤。
作者: 水蓝色的    时间: 2009-4-1 00:31
支持。
作者: 随光逐影    时间: 2009-4-1 00:42
支持楼主意见。
学习了,谢楼主!
作者: 余辉    时间: 2009-4-1 01:53
支持楼主意见。
学习了,谢楼主,不知道是怎么治的
作者: 杀毒软件    时间: 2009-4-1 02:12
学习了,谢楼主
作者: 光影相伴    时间: 2009-4-1 03:17
支持楼主意见。
学习了,谢楼主!
作者: zjb    时间: 2009-4-1 04:11
支持楼主意见。
学习了,谢楼主,不知道是怎么治的
作者: 黑白光影    时间: 2009-4-1 05:59
学习了,谢楼主。
作者: shenhs    时间: 2009-4-1 17:58
标题: 回复:ct19130:f,60岁。2008-10-17ct发现肝脏占位,现在复查!
以下是引用光影相伴在2009-3-31 19:17:00的发言:[br]支持楼主意见。[br]学习了,谢楼主!

作者: LIAOQIANG    时间: 2009-4-2 00:37
学习了,谢楼主!
作者: dsl555    时间: 2009-4-2 03:04
支持楼主意见。
学习了,谢楼主!
作者: zsl6918    时间: 2009-4-2 03:54
好病例




欢迎光临 医影在线 (http://bbs.radida.com/bbs/) Powered by Discuz! X3.2