医影在线

标题: CT19131:男 60岁,咳嗽,喀痰,胸闷,有吸烟史,胸部CT平扫 [打印本页]

作者: 同    时间: 2009-4-1 00:10
标题: CT19131:男 60岁,咳嗽,喀痰,胸闷,有吸烟史,胸部CT平扫
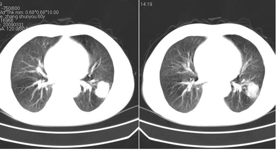
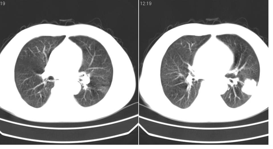
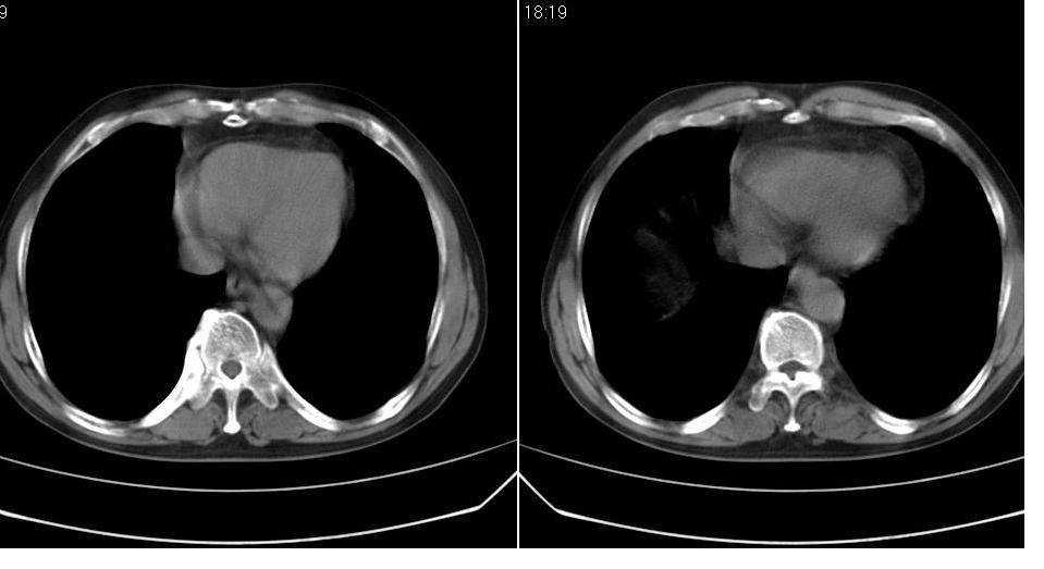
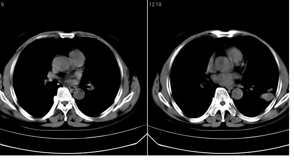
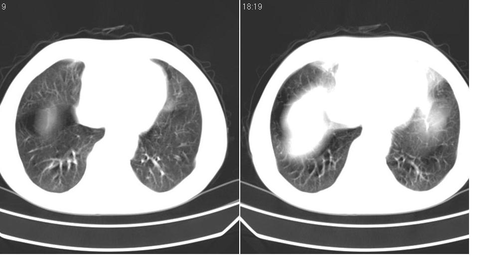
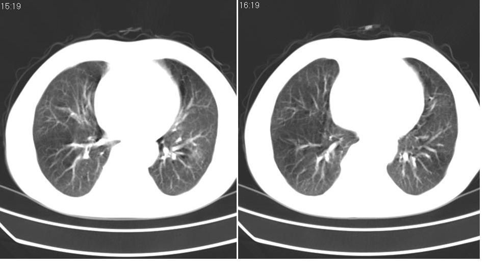
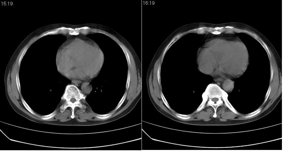
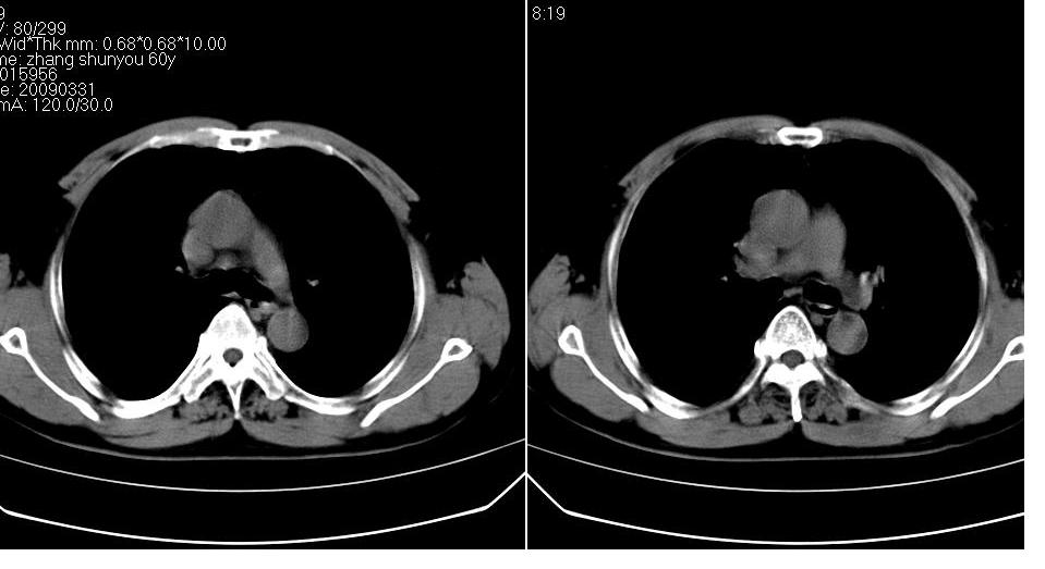
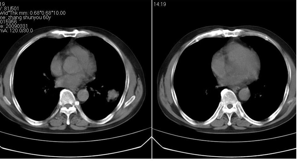
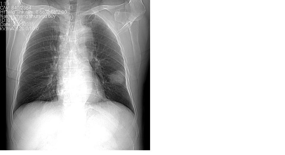
男 60岁,咳嗽,喀痰,胸闷,有吸烟史,正常图片未上传,请谅解。














[本贴已被 jiajie 于 2009-3-31 19:16:24 修改过]

作者: 水蓝色的    时间: 2009-4-1 00:25
左肺周围型肺癌。
作者: xizhong    时间: 2009-4-1 00:42
左肺肿块有分叶、有毛刺,符合周围型肺癌。
作者: 随光逐影    时间: 2009-4-1 00:46
考虑左肺下叶周围型肺癌可能性大。
作者: 余辉    时间: 2009-4-1 01:21
分叶状肿块,有毛刺,有晕,有粗纹理直通肺门,支持考虑周围型肺癌
作者: 杀毒软件    时间: 2009-4-1 02:03
考虑左肺下叶周围型肺癌可能性大
作者: 影象小辈    时间: 2009-4-1 02:09
周围型肺癌
作者: 黄毛小子    时间: 2009-4-1 03:06
周围型肺癌
作者: zjb    时间: 2009-4-1 04:18
周围型肺癌
作者: 黑白光影    时间: 2009-4-1 06:01
左肺下叶周围型肺癌可能性大。
作者: 奥特之父    时间: 2009-4-1 17:44
首先考虑:周围型肺癌.
作者: LIAOQIANG    时间: 2009-4-2 00:36
考虑左肺下叶周围型肺癌可能性大。
作者: dsl555    时间: 2009-4-2 03:05
左肺肿块有分叶、有毛刺,符合周围型肺癌。
作者: zsl6918    时间: 2009-4-2 03:53
考虑肺癌建议强化




欢迎光临 医影在线 (http://bbs.radida.com/bbs/) Powered by Discuz! X3.2