医影在线

标题: CT19133:M,28岁。 [打印本页]

作者: ydx_74    时间: 2009-4-1 00:12
标题: CT19133:M,28岁。
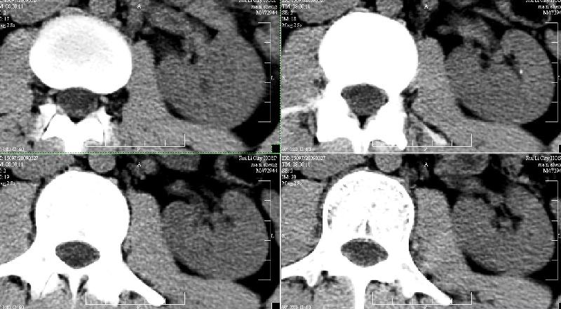
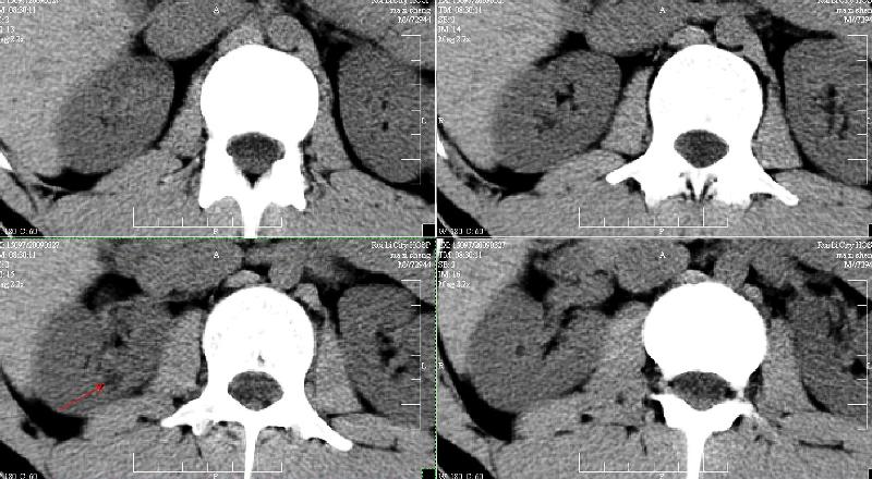
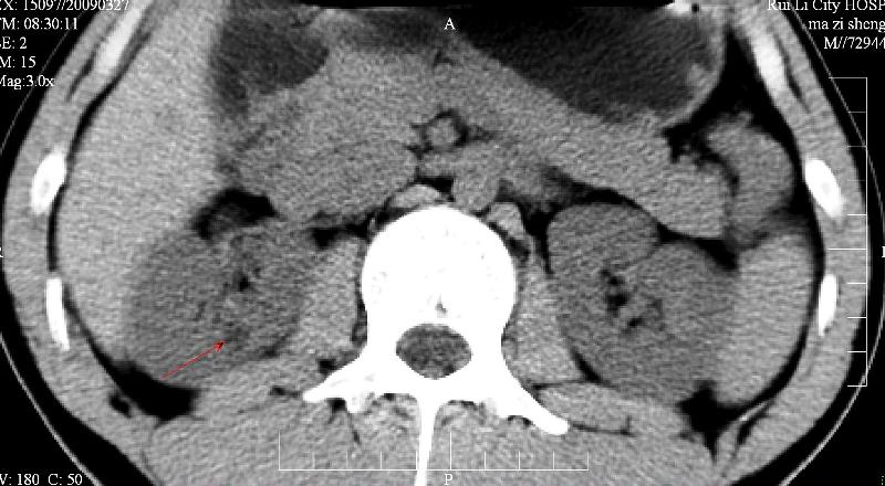
ct发现左肾小结石而右侧腰部疼痛?右肾是伸入实质的肾盏吗?




[本贴已被 jiajie 于 2009-3-31 19:17:33 修改过]

作者: 水蓝色的    时间: 2009-4-1 00:24
支持楼主,建议薄扫加增强。
作者: 余辉    时间: 2009-4-1 00:36
标题: 回复:m,28岁。
以下是引用水蓝色的风雨在2009-3-31 16:24:00的发言:[br]支持楼主,建议薄扫加增强。

作者: xizhong    时间: 2009-4-1 00:44
支持。
作者: 随光逐影    时间: 2009-4-1 00:50
标题: 回复:m,28岁。
以下是引用水蓝色的风雨在2009-3-31 16:24:00的发言:[br]支持楼主,建议薄扫加增强。

作者: 杀毒软件    时间: 2009-4-1 02:02
增强再看
作者: 影象小辈    时间: 2009-4-1 02:06
以下是引用水蓝色的风雨在2009-3-31 16:24:00的发言:
支持楼主,建议薄扫加增强。
作者: 黄毛小子    时间: 2009-4-1 03:04
支持
作者: zjb    时间: 2009-4-1 04:19
增强再看,囊肿可能
作者: 光影相伴    时间: 2009-4-1 04:27
增强。
作者: 987654zwf    时间: 2009-4-1 05:11
建议增强,囊肿可能
作者: 黑白光影    时间: 2009-4-1 06:03
支持楼主,建议薄扫加增强。
作者: shenhs    时间: 2009-4-1 17:55
支持楼主,建议薄扫加增强。




欢迎光临 医影在线 (http://bbs.radida.com/bbs/) Powered by Discuz! X3.2