医影在线

标题: CT19134:M,58岁。咳嗽痰多一月,不发热。 [打印本页]

作者: ydx_74    时间: 2009-4-1 00:14
标题: CT19134:M,58岁。咳嗽痰多一月,不发热。
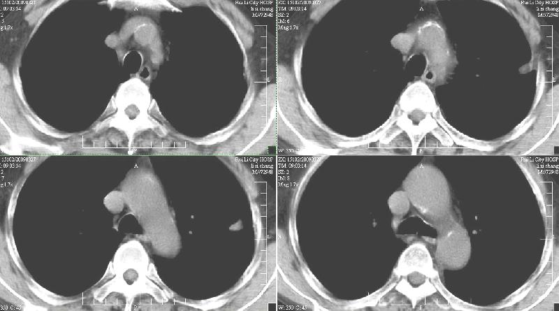
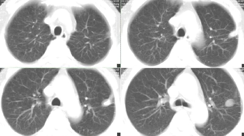
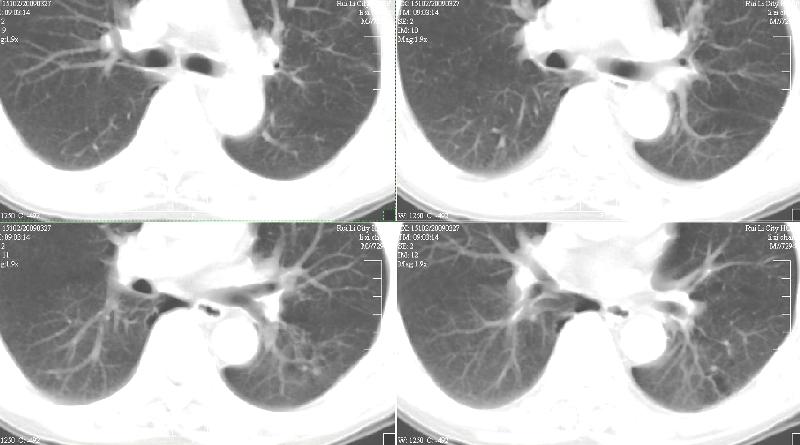
ct:慢性支气管炎,(轻度泡性气肿),并左上叶尖后段结核球(可能大)。2、左下叶背段小片感染(考虑结核)




[本贴已被 jiajie 于 2009-3-31 19:18:10 修改过]

作者: 余辉    时间: 2009-4-1 00:16
支持楼主诊断
作者: 水蓝色的    时间: 2009-4-1 00:20
支持。
作者: 随光逐影    时间: 2009-4-1 00:51
支持楼主意见。
作者: 杀毒软件    时间: 2009-4-1 01:59
支持楼主意见
作者: 光影相伴    时间: 2009-4-1 03:13
支持楼主意见
作者: bmw011    时间: 2009-4-1 03:16
支持楼主意见
作者: zjb    时间: 2009-4-1 04:15
支持大家
作者: 黑白光影    时间: 2009-4-1 06:05
支持楼主意见。
作者: shenhs    时间: 2009-4-1 17:54
支持楼主意见
作者: LIAOQIANG    时间: 2009-4-2 00:30
支持楼主意见。
作者: zsl6918    时间: 2009-4-2 04:53
同意楼主意见




欢迎光临 医影在线 (http://bbs.radida.com/bbs/) Powered by Discuz! X3.2