医影在线
标题: CT19143:请大家会诊 [打印本页]
作者: 星星点灯 时间: 2009-4-1 01:21
标题: CT19143:请大家会诊
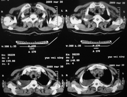
xx 男 43岁














[本贴已被 jiajie 于 2009-3-31 19:24:16 修改过]
作者: 吃草吐奶 时间: 2009-4-1 01:27
考虑心脏病变并肺水肿、双侧胸腔积液。建议心脏彩超。
作者: 余辉 时间: 2009-4-1 01:31
标题: 1
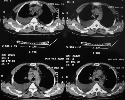
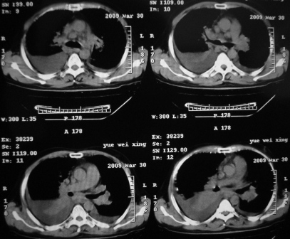
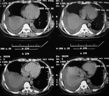
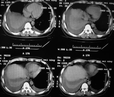
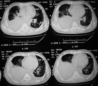
右下叶支气管变窄闭塞,右下叶实变,双肺野弥漫性斑片状影,肺纹理增多增粗,纵隔多发淋巴结肿大,双侧胸水,考虑1双肺继发型结核,右下叶支气管内膜结核,双侧胸水2右下叶中央型肺癌伴右下叶实变,双肺转移,纵隔淋巴转移,双侧胸腔积液3淋巴瘤,请结合病史进一步检查。
[本贴已被 余辉 于 2009-3-31 17:32:32 修改过]
作者: ~~无忌~~ 时间: 2009-4-1 01:38
看图识病?病史呢!
作者: 杀毒软件 时间: 2009-4-1 01:48
病史呢?先考虑----右中央型肺癌继发下叶不张,双肺及纵隔淋巴转移,双侧胸腔积液,心包积液。
不排除---心脏病变所致
作者: zlh 时间: 2009-4-1 02:23
右肺下叶支气管中断闭塞,右下肺见不规块影,并胸腔积液,考虑肺中央型肺癌继发下叶不张,\\双侧胸腔积液,心包积液。
作者: 黄毛小子 时间: 2009-4-1 02:26
考虑右中央型肺癌并下叶不张,双侧胸腔积液,心包积液
作者: 光影相伴 时间: 2009-4-1 03:23
右侧中央型肺癌伴右肺下叶不张,双肺及纵隔淋巴转移,双侧胸腔积液,心包积液。
作者: ct诊断高手 时间: 2009-4-1 04:01
右肺下叶支气管中断闭塞,右下肺见不规块影,并胸腔积液,考虑肺中央型肺癌继发下叶不张,\\双侧胸腔积液,心包积液。
作者: zjb 时间: 2009-4-1 04:14
先考虑----右中央型肺癌继发下叶不张,双肺及纵隔淋巴转移,双侧胸腔积液,心包积液。
作者: zjzjr 时间: 2009-4-1 04:16
标题: 回复:ct19143:请大家会诊
以下是引用杀毒软件在2009-3-31 17:48:00的发言:[br]病史呢?先考虑----右中央型肺癌继发下叶不张,双肺及纵隔淋巴转移,双侧胸腔积液,心包积液。[br][br][br]不排除---心脏病变所致
作者: 同 时间: 2009-4-1 04:53
标题: 回复:ct19143:请大家会诊
以下是引用光影相伴在2009-3-31 19:23:00的发言:[br]右侧中央型肺癌伴右肺下叶不张,双肺及纵隔淋巴转移,双侧胸腔积液,心包积液。[br]
作者: hszhoupeng 时间: 2009-4-1 05:31
心衰所致?
作者: 星星点灯 时间: 2009-4-1 05:50
结节病有没有可能呢?
作者: 黑白光影 时间: 2009-4-1 06:36
标题: 回复:ct19143:请大家会诊
以下是引用光影相伴在2009-3-31 19:23:00的发言:[br]右侧中央型肺癌伴右肺下叶不张,双肺及纵隔淋巴转移,双侧胸腔积液,心包积液。[br]
作者: panyishengct 时间: 2009-4-1 07:44
右侧中央型肺癌伴右肺下叶不张,双肺及纵隔淋巴转移,双侧胸腔积液,心包积液。
作者: 卜一 时间: 2009-4-1 13:58
先考虑----右中央型肺癌继发下叶不张,双肺及纵隔淋巴转移,双侧胸腔积液,心包积液。
支持!
作者: 吴承学 时间: 2009-4-1 14:28
标题: 回复:ct19143:请大家会诊
以下是引用zjb在2009-3-31 20:14:00的发言:[br]先考虑----右中央型肺癌继发下叶不张,双肺及纵隔淋巴转移,双侧胸腔积液,心包积液。[br]
作者: 王仕学 时间: 2009-4-1 15:33
标题: 回复:ct19143:请大家会诊
以下是引用杀毒软件在2009-3-31 17:48:00的发言:[br]病史呢?先考虑----右中央型肺癌继发下叶不张,双肺及纵隔淋巴转移,双侧胸腔积液,心包积液。[br][br][br]不排除---心脏病变所致
作者: 随光逐影 时间: 2009-4-1 16:20
1)考虑右侧中央型肺癌伴右肺下叶不张,双肺及纵隔淋巴转移。2)双侧胸腔积液,以右侧为甚。3)心包积液。
作者: muzi888 时间: 2009-4-1 16:58
病史呢?先考虑----右中央型肺癌继发下叶不张,双肺及纵隔淋巴转移,双侧胸腔积液,心包积液。
不排除---心脏病变所致
支持!
作者: xizhong 时间: 2009-4-1 17:01
标题: 回复:ct19143:请大家会诊
以下是引用zjb在2009-3-31 20:14:00的发言:[br]先考虑----右中央型肺癌继发下叶不张,双肺及纵隔淋巴转移,双侧胸腔积液,心包积液。[br]
作者: 奥特之父 时间: 2009-4-1 17:12
先考虑----右中央型肺癌继发下叶不张,双肺及纵隔淋巴转移,双侧胸腔积液,心包积液。
作者: LIAOQIANG 时间: 2009-4-1 19:15
考虑右侧中央型肺癌伴右肺下叶不张,双肺及纵隔淋巴转移,双侧胸腔积液。不除外结核。
作者: wwh40 时间: 2009-4-1 19:34
1.两肺继发型tb。
2.右侧中央型肺癌并双肺及纵隔淋巴转移,心包积液,双侧胸腔积液伴右肺下叶肺不张。
作者: judc 时间: 2009-4-1 23:35
考虑右肺下叶中心性肺癌并纵隔淋巴结、双肺转移伴右肺下叶阻塞性肺不张;双侧胸水,右侧为著;心包积液
| 欢迎光临 医影在线 (http://bbs.radida.com/bbs/) |
Powered by Discuz! X3.2 |