


























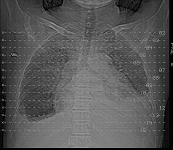
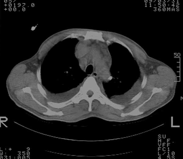
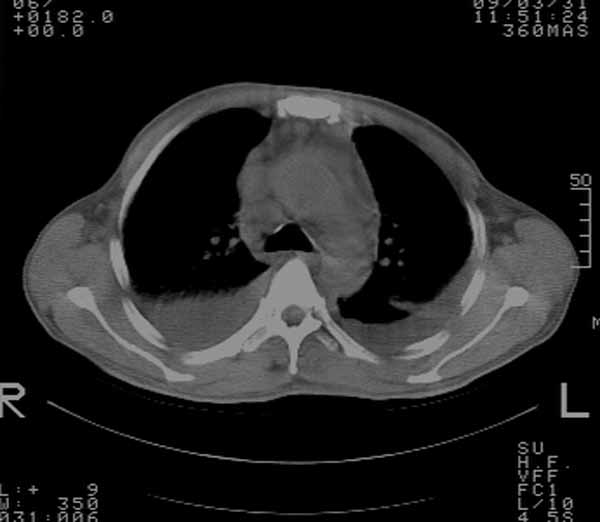
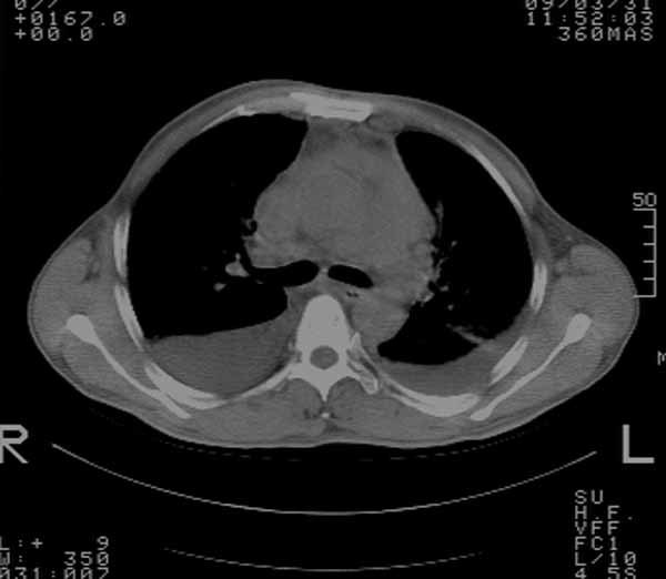
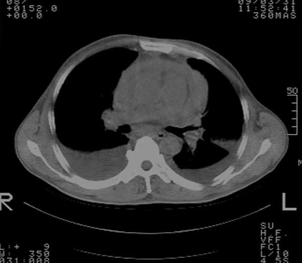
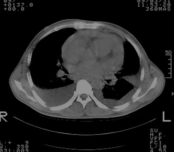
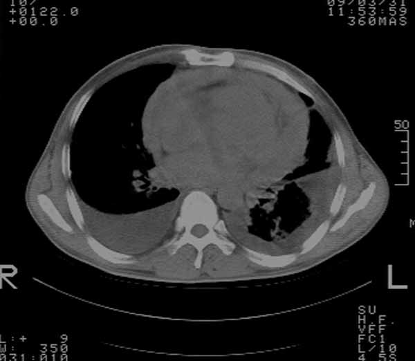
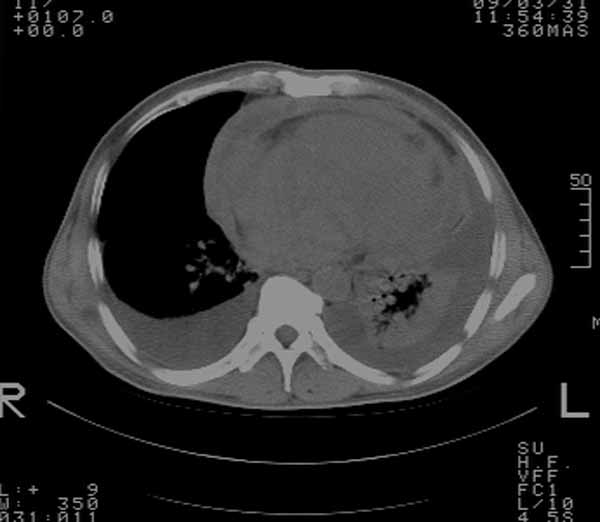
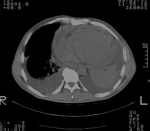
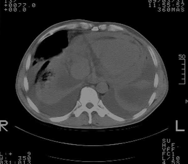
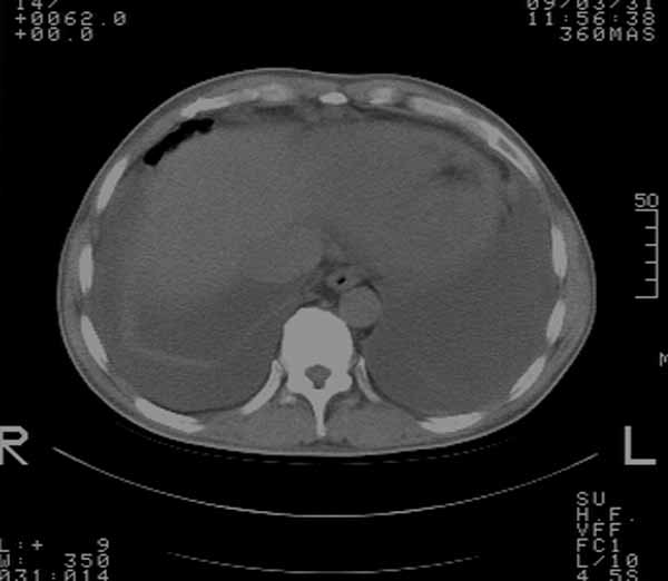
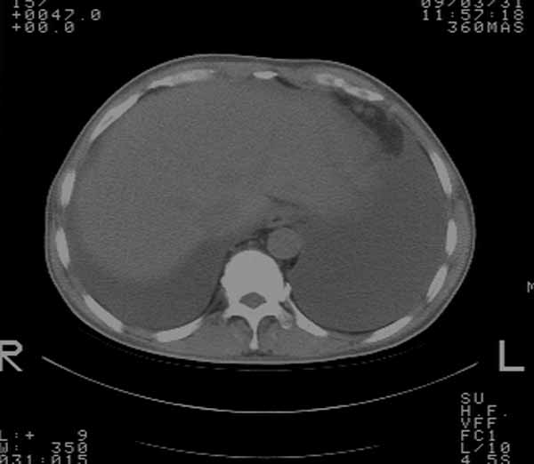
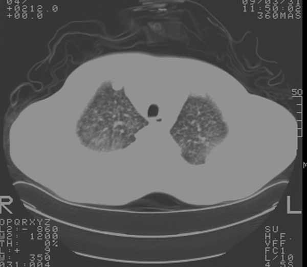
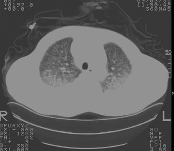
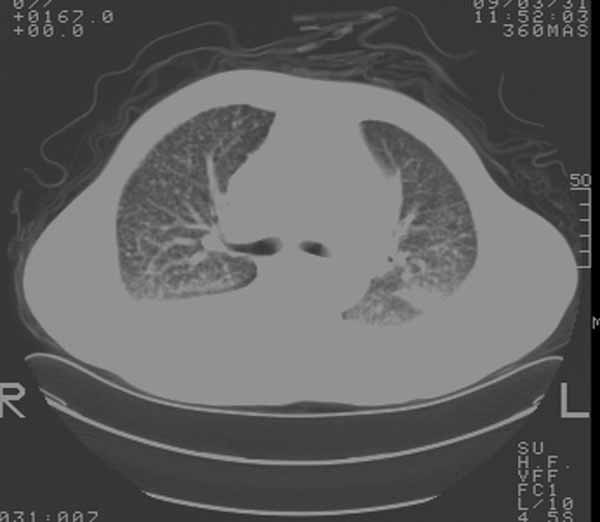
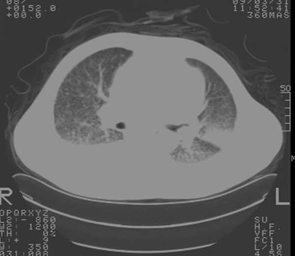
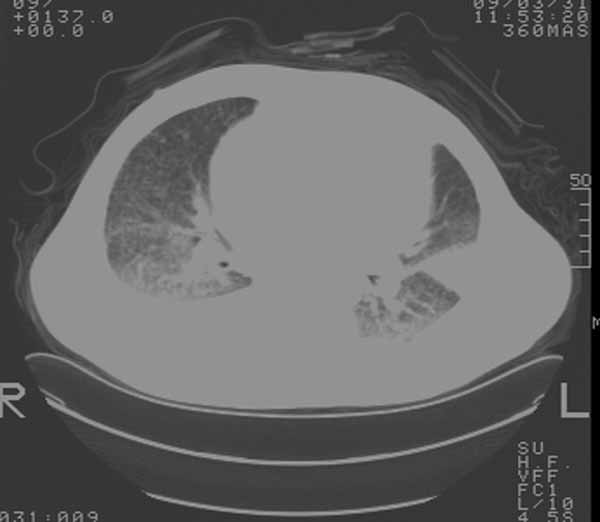
以下是引用余辉在2009-3-31 18:43:00的发言:[br]肺水肿,双侧心腔积液,心包积液,心影增大,疑似心衰
以下是引用wangyong1977在2009-3-31 20:46:00的发言:[br]肺水肿,双侧胸腔积液,心包积液,心影增大,疑似心衰 [br]
以下是引用宇宙ct在2009-3-31 18:57:00的发言:[br]肺水肿,双侧心腔积液,心包积液,心影增大,疑似心衰 [br] [br]
| 欢迎光临 医影在线 (http://bbs.radida.com/bbs/) | Powered by Discuz! X3.2 |