医影在线

标题: X5552:左股骨下端病变。 [打印本页]

作者: 杏林古木    时间: 2009-4-1 04:00
标题: X5552:左股骨下端病变。
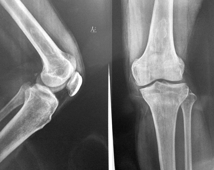
男性41岁,膝扭伤拍片发现股骨下端病变,以前无症状。




[本贴已被 jiajie 于 2009-3-31 20:42:11 修改过]

作者: zxl51642    时间: 2009-4-1 04:09
股骨下端骨梗死。
作者: qsbaomingcheng    时间: 2009-4-1 04:27
考虑左股骨远端骨梗死
作者: wangyong1977    时间: 2009-4-1 04:31
骨梗?
作者: 余辉    时间: 2009-4-1 04:37
标题: 回复:左股骨下端病变。
以下是引用zxl51642在2009-3-31 20:09:00的发言:[br]股骨下端骨梗死。

作者: 张手雅    时间: 2009-4-1 04:49
支持骨梗死。
作者: 黑白光影    时间: 2009-4-1 04:54
支持骨梗死可能。
作者: sdynlxt2009    时间: 2009-4-1 05:16
骨梗死可能性大
作者: dr.yang    时间: 2009-4-1 05:34
骨梗死是血供不足所致的弥散性、局灶性骨质坏死。减压病、镰刀状细胞贫血、血红蛋白s-c病、gallcher病、niemann-pick病、动脉硬化等所致的骨内血管气栓、血栓、痉挛、压迫和狭窄,为其主要发病机制。
病理:缺血可使松质骨发生局灶性坏死。随后,梗死灶及其周围骨髓组织内出现不同程度的水肿。修复期,来自梗死灶周围正常骨的纤维肉芽组织,一方面于病灶边缘部不断增生并吸收坏死骨组织,另一方面,又可通过纤维化骨在其外侧形成新骨。与此同时纤维肉芽组织亦可沿骨小梁间隙向死骨爬行并在坏死骨小梁表面成骨。纤维肉芽组织和坏死骨髓组织内亦可发生斑点状钙化。长期慢性或反复缺血可导致骨内外膜增生成骨。
临床表现:
急性骨梗死可出现四肢肌肉关节剧痛,或障碍。慢性者肢体酸痛,软弱无力,下肢不能抬高并跛行。除骨关节症状外,不同病因尚有各自不同的表现。
x线:
骨梗死不是一个独立的疾病。好发于长骨的两端,尤以股骨下端、胫骨上端和肱骨上端多见。早期x线片上无任何表现。当病变进入修复期时出现异常x线征象。
1、骨干—干骺端型 多见,于骨髓腔梗塞区先出现骨质疏松、吸收、密度减低,周围为钙化或骨化所包绕,与正常骨界限清楚,随病变进展,其间逐渐出现不规则钙化及骨化影,密度极高,边缘清楚,期间或周围有密度减低区,骨干及骨皮质多无异常。病灶常为对称性。
儿童镰状细胞贫血所致的骨梗塞多侵犯手、足短骨,早期先出现骨膜反应及斑点状骨吸收,以后逐渐侵犯整个骨干,致骨干呈长方形,此种梗塞盛为多发性。
2、骨骺型 少见。在邻近关节的骨皮质和松质骨内呈密度增高影,边缘清晰,与正常骨分界清楚。有时有小骨片分离。
ct表现:
骨梗死易累及四肢长骨的松质骨部分,以股骨上下段最多见,其次为肱骨上端、胫腓骨骨干及肱骨和桡骨下端。单发或数个病灶同时发生,左右对称或不对称。病变大小不一,可为数毫米或延伸至骨的大部。
    骨骼改变主要包括骨端松质骨内条带状及钙斑(点)状钙质样高密度影和骨小梁粗大,以及骨干髓腔钙化、骨膜增生和骨皮质增厚。条带状高密度硬化多围绕成类圆形、半环形或不规则地图状,亦可近直线或不规则走行。硬化带宽度1~3mm,位于松质骨内,单发或多发,偶见有软组织低密度条带和(或)囊腔相伴。环行条带状硬化勾画出坏死病灶的大小。高密度硬化斑块(点)多位于长骨骨端松质骨内,呈圆形、椭圆形、半月形、星芒状或不规则形,其内骨小梁粗大或显示不清,边缘亦可有上述条带状高密度硬化所围绕。病灶大小不一,大者长径数厘米,小者不足1mm,,后者多为簇集状分布,半月形硬化区多位于肱骨头和股骨头关节下,其内可有类圆形软组织密度区。骨干髓腔钙化多呈斑点状,可分布与骨干大部,骨内膜钙化或骨化表现为沿骨干皮质内侧的钙质样高密度线或髓腔变窄。骨膜增生多覆盖长骨骨干,早期示环绕骨皮质的略低密度线,晚期与骨皮质融合,表现为骨皮质增厚,骨干增粗,可同时伴有骨端或骨骺缺血坏死改变。
mri表现
骨梗死的mri表现颇具特征性。在t1加权像上.急性期或亚急性期骨梗死灶的中央
部分和周围正常的骨髓组织呈中等信号或略低信号,而梗死灶的边缘为迂曲匍行的低信
号带。在t2加权像上,中央部分的信号强度仍可和相邻的骨髓组织相仿或略高.而周缘
可呈迂曲的高信号带。这种病灶边缘信号的t1加权像和t2加权像改变和病灶边缘的充血
水肿的病理基础相符合。在骨梗死后期或成熟期,病灶的周缘在t1加权
像和t2加权像上均呈低信号、反映了病灶边缘的纤维硬化或钙化。骨梗死常呈对称性,
多发性.其mri表现差异较大,通常好发于胫骨上段和股骨下段。
作者: 寻芳者    时间: 2009-4-1 06:25
骨梗死可能性大
作者: 泪洒红尘    时间: 2009-4-1 06:36
学习中
作者: 当兵的    时间: 2009-4-1 06:44
股骨下端骨梗死
膝关节退行性变
作者: ZDGDS    时间: 2009-4-1 07:48
支持9楼,学习啦!谢谢!基层不少见。
作者: 王仕学    时间: 2009-4-1 15:37
股骨下端骨梗死。
作者: 随光逐影    时间: 2009-4-1 15:52
考虑左股骨下段骨梗死。
作者: huqi8888    时间: 2009-4-1 16:55
考虑左股骨下段骨梗死。
作者: songyi    时间: 2009-4-1 17:58
支持
股骨下端骨梗死
作者: hexue    时间: 2009-4-1 18:11
股骨下端骨梗死
作者: gyh6308    时间: 2009-4-1 18:46
骨梗
作者: 杀毒软件    时间: 2009-4-1 19:58
支持骨梗死可能
作者: yixueyx    时间: 2009-4-1 20:42
标题: 回复:x5552:左股骨下端病变。
考虑非骨化性纤维瘤
作者: xizhong    时间: 2009-4-1 22:44
考虑左股骨下段骨梗死。
作者: LIAOQIANG    时间: 2009-4-1 23:54
考虑左侧股下端骨梗死。
作者: shiqingfa    时间: 2009-4-2 04:19
考虑左股骨远端骨梗死
作者: dyqct    时间: 2009-4-2 15:16
支持左股骨远端骨梗死。
作者: ydx_74    时间: 2009-4-2 18:35
骨梗死可能性大
作者: ganeng.2008    时间: 2009-4-2 19:06
支持骨梗死可能。
作者: 医盲    时间: 2009-4-2 23:29
左股骨下段见斑片密度降低区,其周见钙化影,与外伤有关故考虑骨梗
作者: 550s    时间: 2009-4-3 02:36
骨梗死可能性大
作者: ZHANGZHONGSHOU    时间: 2009-4-3 02:59
标题: 回复:x5552:左股骨下端病变。
以下是引用qsbaomingcheng在2009-3-31 20:27:00的发言:[br]考虑左股骨远端骨梗死

作者: jiangjing    时间: 2009-4-3 18:46
支持骨梗死。
作者: 592438394    时间: 2009-4-3 22:08
学习中。。。。谢谢讲解。
作者: wyx15086249856    时间: 2009-4-4 00:13
支持8楼
作者: shibing    时间: 2014-5-27 07:45
股骨下端骨梗死。




欢迎光临 医影在线 (http://bbs.radida.com/bbs/) Powered by Discuz! X3.2