医影在线

标题: CT19149:女,68岁,腹胀、恶心两周。 [打印本页]

作者: wpf    时间: 2009-4-1 06:25
标题: CT19149:女,68岁,腹胀、恶心两周。
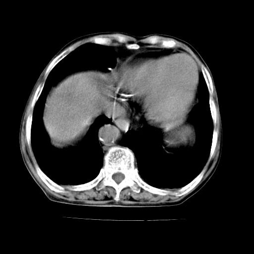
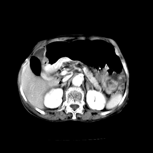
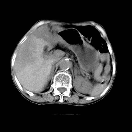
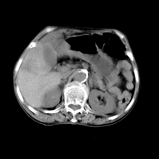
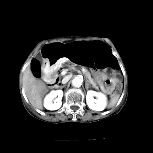
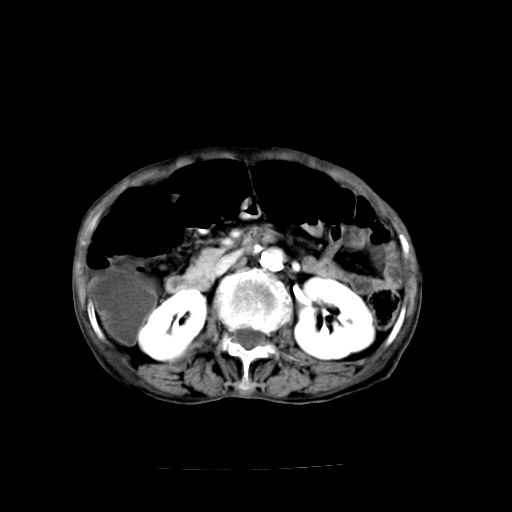
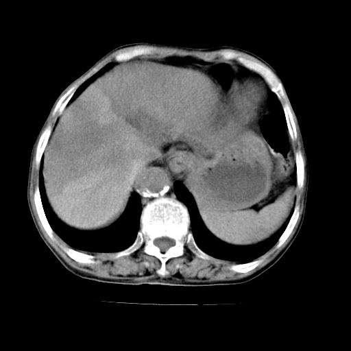
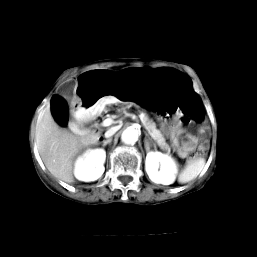
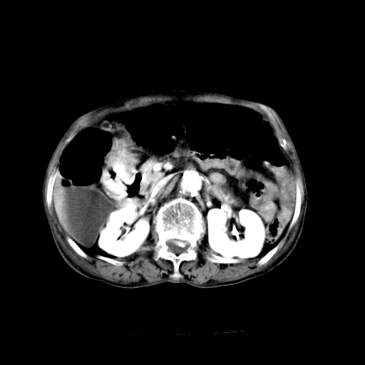
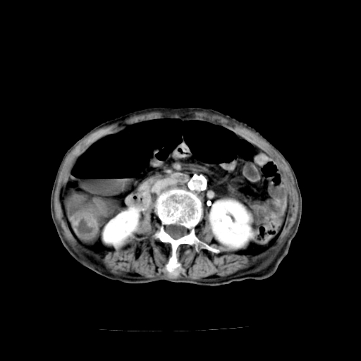
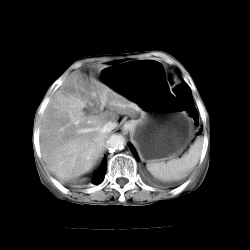
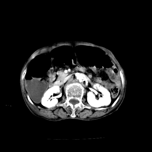
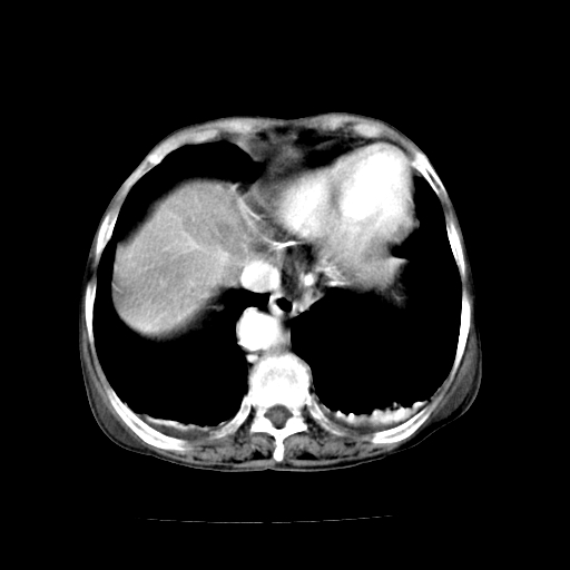
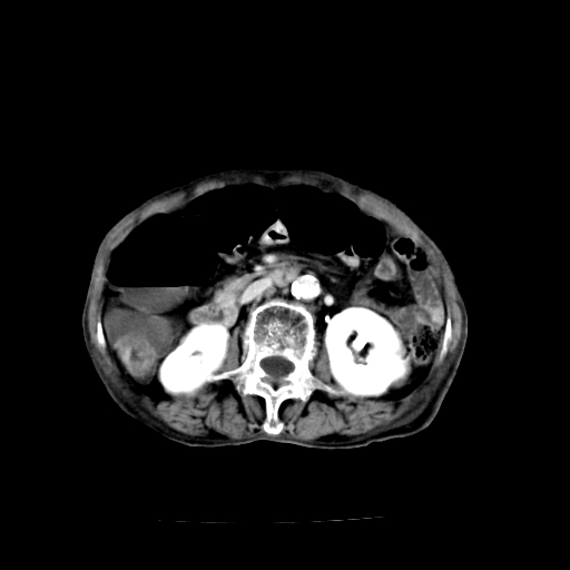
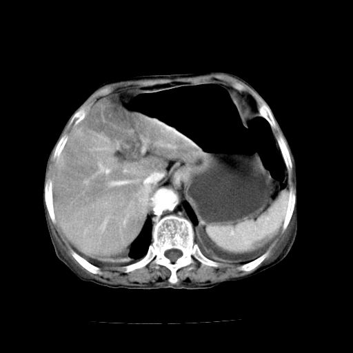
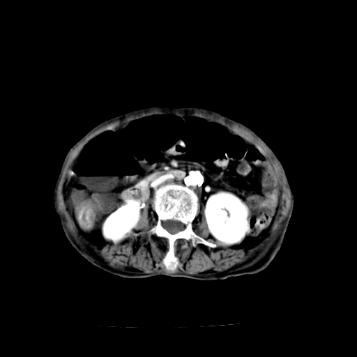
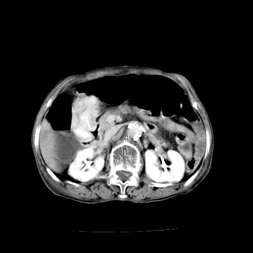
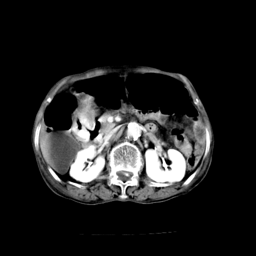
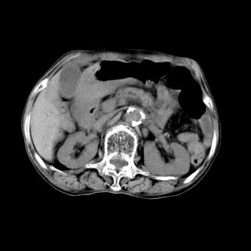
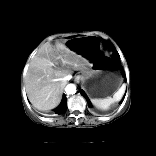
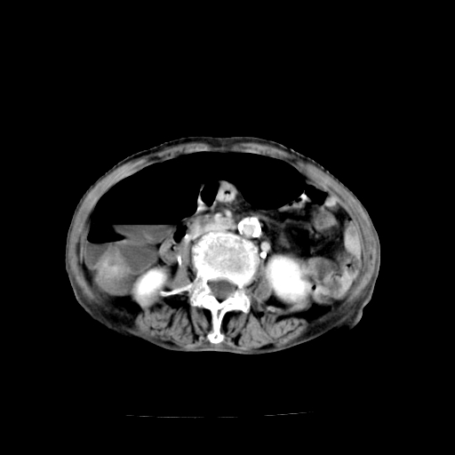
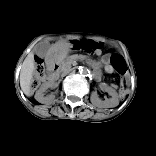
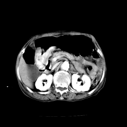
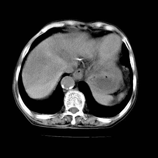
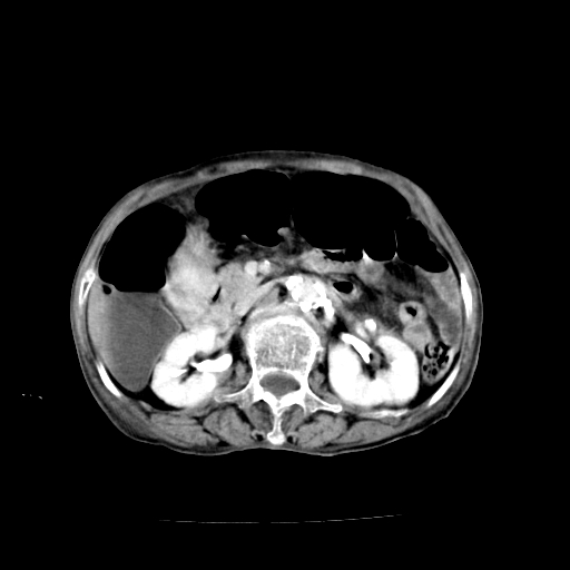
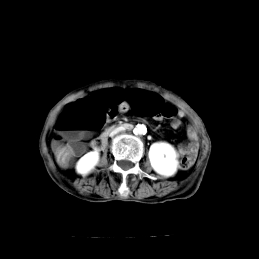
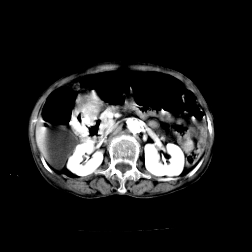
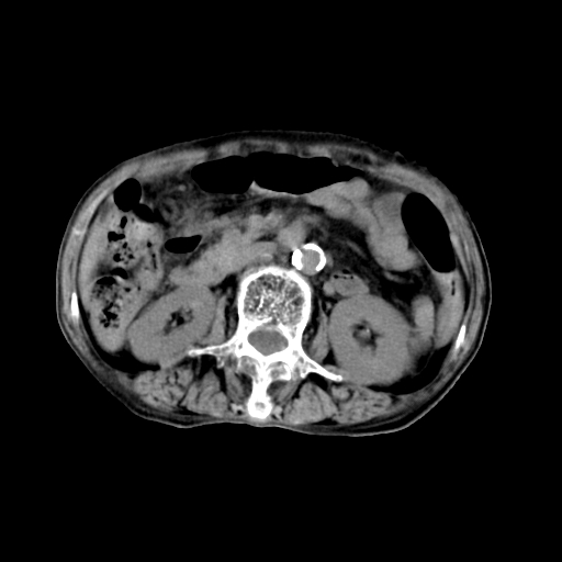
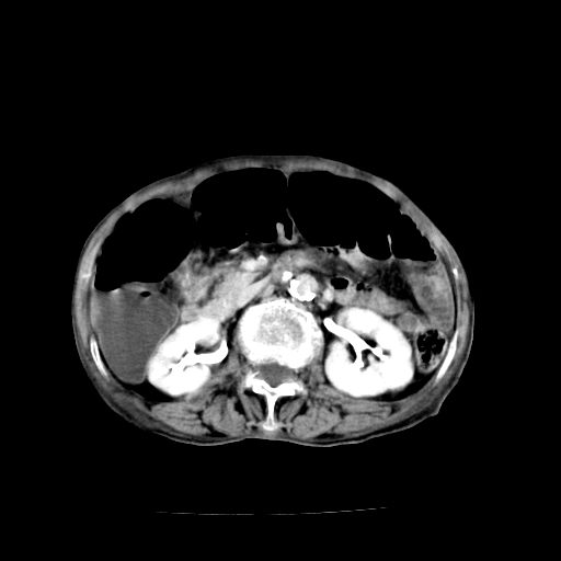
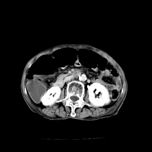
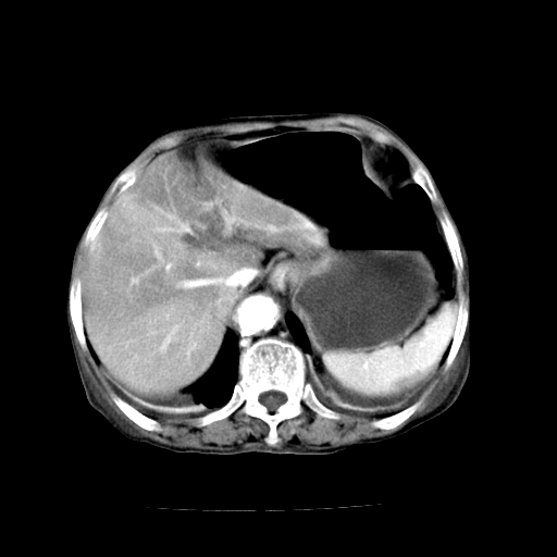
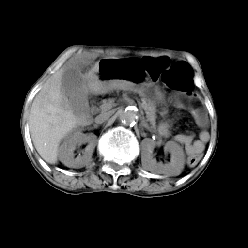
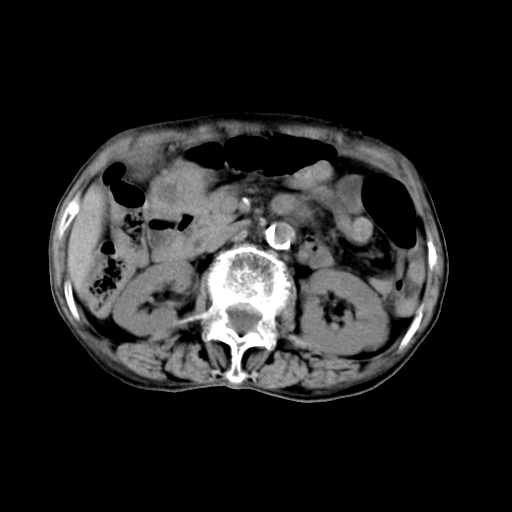
女,68岁,腹胀、恶心两周,先做ct平扫,当时家属不同意强化,6天后家属要求增强扫描。
























































[本贴已被 jiajie 于 2009-4-1 6:42:29 修改过]

作者: 子期    时间: 2009-4-1 06:56
考虑肝癌。
作者: 泪洒红尘    时间: 2009-4-1 07:03
1、胃窦癌; 2、局灶性脂肪肝。
作者: panyishengct    时间: 2009-4-1 07:31
1、胃窦癌; 2、局灶性脂肪肝。
作者: 卜一    时间: 2009-4-1 13:27
1、胃窦癌?建议行胃镜!; 2、局灶性脂肪肝。
作者: 王仕学    时间: 2009-4-1 15:17
支持考虑1、胃窦癌?建议行胃镜!; 2、局灶性脂肪肝。
作者: huqi8888    时间: 2009-4-1 16:25
1.局灶性脂肪肝;2.胃窦癌可能,建议行进一步检查。
作者: 随光逐影    时间: 2009-4-1 16:36
1)不排除胃窦癌;建议行胃镜检查。 2)局灶性脂肪肝。
作者: muzi888    时间: 2009-4-1 16:50
1)不排除胃窦癌;建议行胃镜检查。 2)局灶性脂肪肝。腹水。
作者: 奥特之父    时间: 2009-4-1 17:01
考虑:胃窦ca,腹水,脂肪肝
作者: songyi    时间: 2009-4-1 17:46
1、胃窦癌?建议行胃镜!; 2、局灶性脂肪肝。
作者: 深泽交通    时间: 2009-4-1 18:02
标题: 回复:ct19149:女,68岁,腹胀、恶心两周。
以下是引用泪洒红尘在2009-3-31 23:03:00的发言:[br]1、胃窦癌; 2、局灶性脂肪肝。

作者: 知其雄    时间: 2009-4-1 18:48
支持胃窦癌
作者: LIAOQIANG    时间: 2009-4-1 19:07
1)胃窦壁厚,考虑胃窦癌?建议行胃镜检查。 2)局灶性脂肪肝。
作者: 杀毒软件    时间: 2009-4-1 20:29
标题: 回复:ct19149:女,68岁,腹胀、恶心两周。
以下是引用随光逐影在2009-4-1 8:36:00的发言:[br]1)不排除胃窦癌;建议行胃镜检查。 2)局灶性脂肪肝。

支持
作者: jiangjing    时间: 2009-4-1 21:25
支持考虑1、胃窦癌?建议行胃镜!; 2、局灶性脂肪肝。  3、双侧胸腔积液,胸膜增厚
作者: dsl555    时间: 2009-4-2 03:23
标题: 回复:ct19149:女,68岁,腹胀、恶心两周。
以下是引用随光逐影在2009-4-1 8:36:00的发言:[br]1)不排除胃窦癌;建议行胃镜检查。 2)局灶性脂肪肝。

作者: zsl6918    时间: 2009-4-2 03:35
不均匀脂肪肝,胃腔改变须结合钡餐或胃镜观察
作者: 黑白光影    时间: 2009-4-2 04:55
1)局灶性脂肪肝。2)胃窦癌可能,建议行胃镜检查。




欢迎光临 医影在线 (http://bbs.radida.com/bbs/) Powered by Discuz! X3.2