

















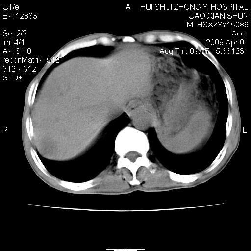
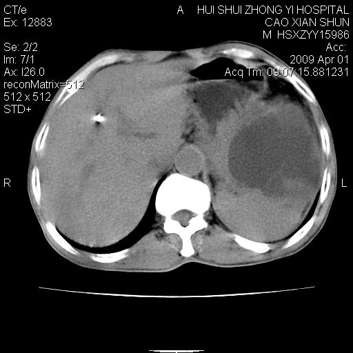
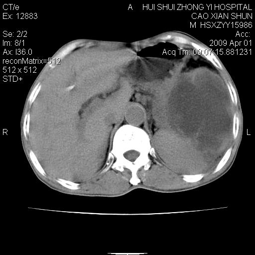
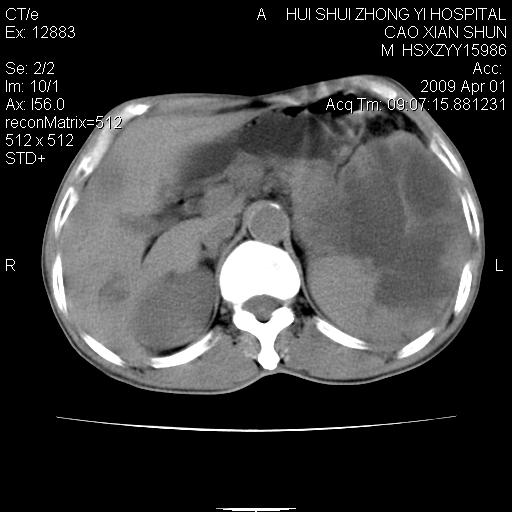
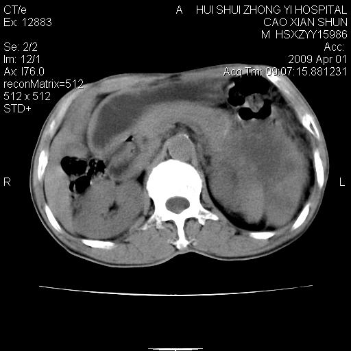
以下是引用随光逐影在2009-4-1 14:23:00的发言:[br]肝、脾多发低密度占位性病变,性质待定(不排除转移瘤可能);建议行进一步检查。
以下是引用liaoqiang在2009-4-1 15:53:00的发言:[br]考虑脾脏肿瘤或胰尾部肿瘤伴肝转移。建议增强。
以下是引用ydx_74在2009-4-1 15:18:00的发言:[br]肝、脾多发低密度占位性病变,考虑转移瘤或淋巴瘤
| 欢迎光临 医影在线 (http://bbs.radida.com/bbs/) | Powered by Discuz! X3.2 |