











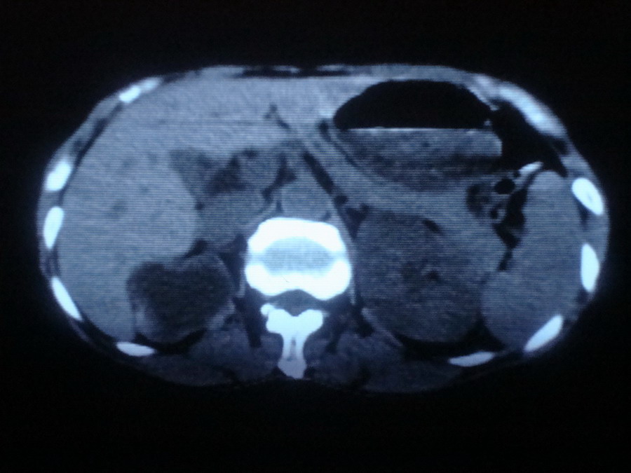
以下是引用卜一在2009-4-1 19:39:00的发言:[br]右肾发育不全、结石、积水并感染可能;左肾结石,代偿性增大。支持!
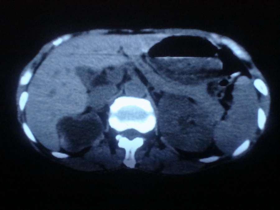
以下是引用随缘的人在2009-4-1 20:42:00的发言:[br]右肾发育不全、结石、积水并感染可能;左肾结石,代偿性增大。支持!
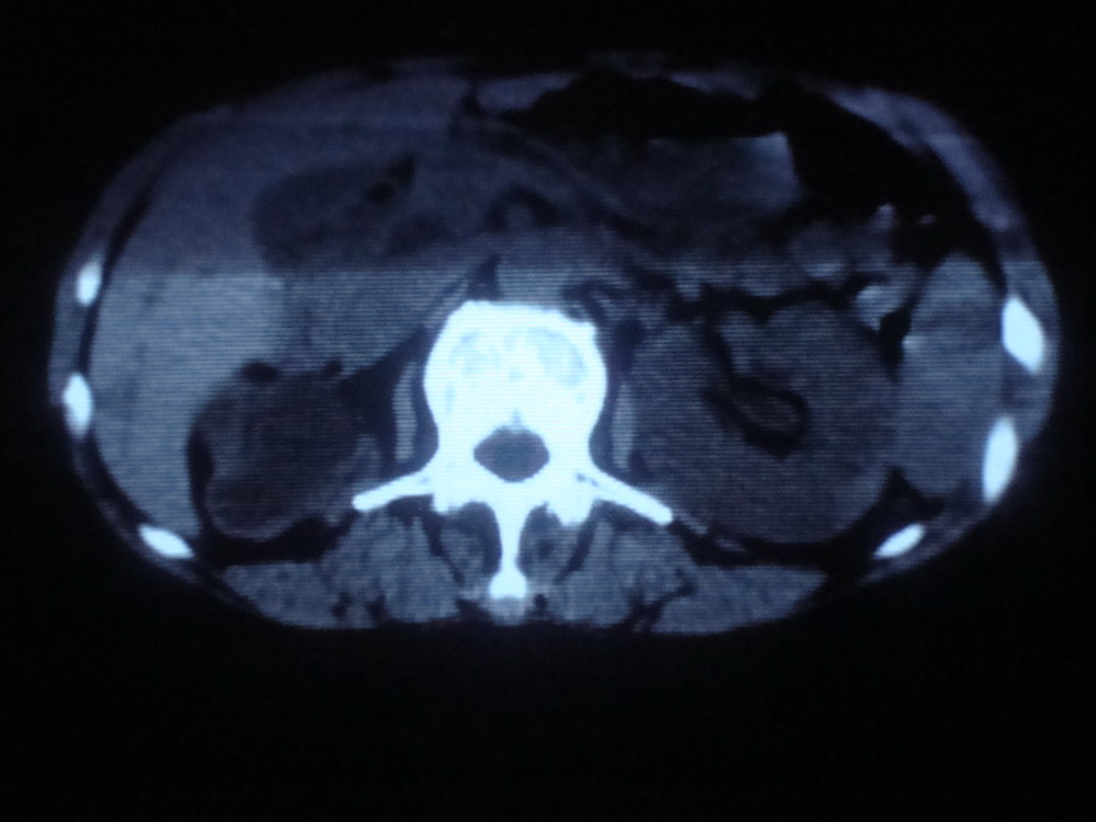
以下是引用卜一在2009-4-1 19:39:00的发言:[br]右肾发育不全、结石、积水并感染可能;左肾结石,代偿性增大。支持!
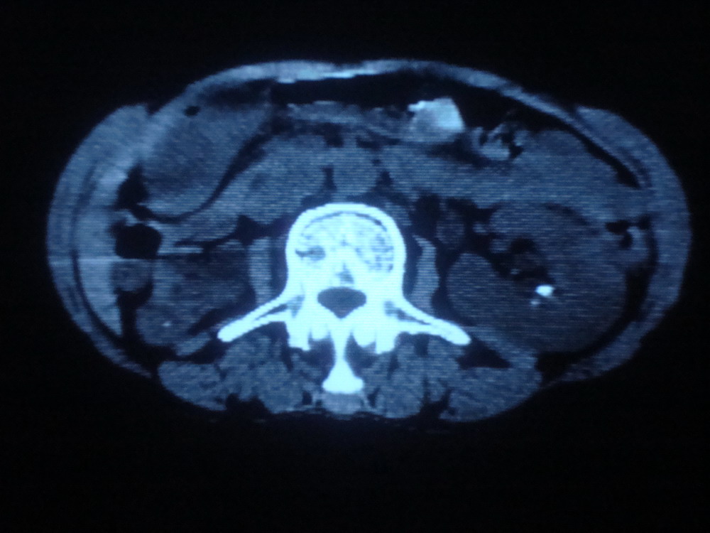
以下是引用卜一在2009-4-1 19:39:00的发言:[br]右肾发育不全、结石、积水并感染可能;左肾结石,代偿性增大。支持!

| 欢迎光临 医影在线 (http://bbs.radida.com/bbs/) | Powered by Discuz! X3.2 |