医影在线

标题: CT19170:男 24岁,胸部外伤一周行CT检查 [打印本页]

作者: 还珠格格    时间: 2009-4-2 03:28
标题: CT19170:男 24岁,胸部外伤一周行CT检查
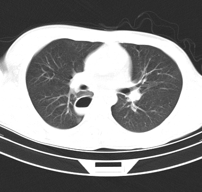
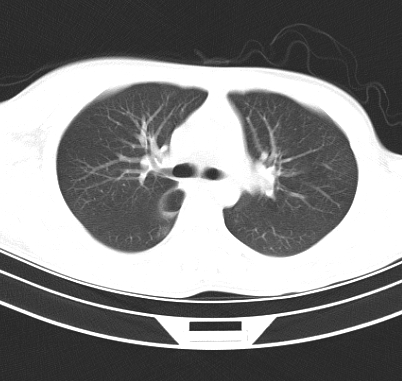
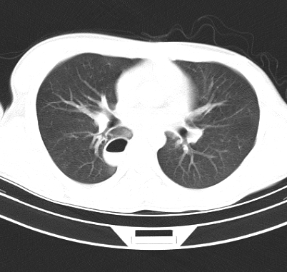
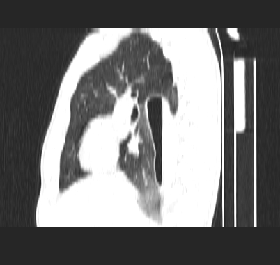
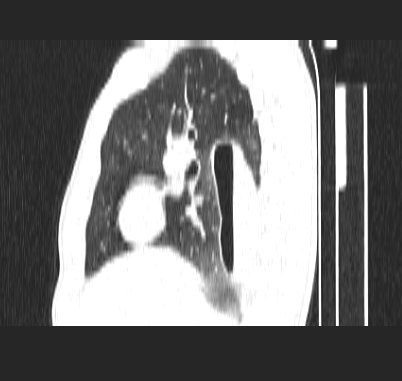
男 24岁,胸部外伤一周行ct检查 未传纵隔窗















[本贴已被 jiajie 于 2009-4-2 7:01:24 修改过]

作者: zsl6918    时间: 2009-4-2 03:32
结合病史考虑肺挫伤后所致的肺气囊表现
作者: 杀毒软件    时间: 2009-4-2 03:35
考虑----右肺下叶背段包裹性液气胸
作者: bmw011    时间: 2009-4-2 04:09
包裹性液气胸
作者: 余辉    时间: 2009-4-2 04:37
需结合临床
作者: 随缘的人    时间: 2009-4-2 04:39
考虑----右肺下叶背段包裹性液气胸
作者: 同    时间: 2009-4-2 04:41
右肺下叶背段包裹性液气胸。
作者: 随光逐影    时间: 2009-4-2 04:50
考虑右肺下叶纵隔胸膜下液气囊肿。
作者: aka502    时间: 2009-4-2 05:06
结合临床考虑为右肺下叶背段撕裂伤。
作者: LYB999    时间: 2009-4-2 05:14
首先考虑肺裂伤形成的液气囊肿.纵膈胸膜包裹性的液气胸可能性小,病变主要在肺内.
作者: 子期    时间: 2009-4-2 05:45
支持外伤性肺气囊。
作者: wangyong1977    时间: 2009-4-2 05:58
考虑右肺下叶纵隔胸膜下液气囊肿。
作者: 黑白光影    时间: 2009-4-2 06:03
考虑右肺下叶纵隔胸膜下液气囊肿。
作者: 卜一    时间: 2009-4-2 06:16
首先考虑肺裂伤形成的液气囊肿.纵膈胸膜包裹性的液气胸可能性小,病变主要在肺内.支持!
作者: 宇宙CT    时间: 2009-4-2 06:39
考虑右肺下叶纵隔胸膜下液气囊肿。
作者: liucui    时间: 2009-4-2 06:41
肺撕裂伤液气囊形成
作者: 影像孺子牛    时间: 2009-4-2 06:56
首先考虑肺裂伤形成的液气囊肿.纵膈胸膜包裹性的液气胸可能性小,病变主要在肺内.支持!
作者: 影象小泰斗    时间: 2009-4-2 07:27
肺撕裂伤液气囊形成.
作者: pujunzhi    时间: 2009-4-2 07:34
支持 右下包裹性液气胸。
作者: zblbq    时间: 2009-4-2 11:38
支持首先考虑肺裂伤形成的液气囊肿。
作者: xizhong    时间: 2009-4-2 15:23
右肺下叶背段包裹性液气胸。
作者: songyi    时间: 2009-4-2 15:48
包裹性液气胸
作者: huqi8888    时间: 2009-4-2 16:24
考虑右肺下叶纵隔胸膜下液气囊肿。
作者: muzi888    时间: 2009-4-2 16:37
考虑外伤肺撕裂致右肺下叶纵隔胸膜下液气囊肿。
作者: 51736011    时间: 2009-4-2 17:02
结合临床,当时没做检查吗?
作者: hhhhhh6    时间: 2009-4-2 17:02
包裹性液气曩
作者: 深泽交通    时间: 2009-4-2 17:27
标题: 回复:ct19170:男 24岁,胸部外伤一周行ct检查
以下是引用杀毒软件在2009-4-1 19:35:00的发言:[br]考虑----右肺下叶背段包裹性液气胸

作者: ydx_74    时间: 2009-4-2 18:13
壁光滑完整,周围未见炎性灶及粘连带,考虑肺囊肿,不一定跟外伤有关!
作者: 晓杰    时间: 2009-4-2 18:13
结合临床考虑为右肺下叶背段撕裂伤后形成局限性包裹性的液气胸。
作者: wnlyq8688    时间: 2009-4-2 18:29
首先考虑肺裂伤形成的液气囊肿.纵膈胸膜包裹性的液气胸可能性小,病变主要在肺内.
作者: ab_zhangbin    时间: 2009-4-2 20:23
有否先天性可能,病程仅一周,病灶周围实质无明显异常表现.
作者: jzy2009    时间: 2009-4-2 20:26
支持10楼。
作者: LIAOQIANG    时间: 2009-4-3 00:57
右肺下叶纵隔胸膜下液气囊肿,考虑肺囊肿?肺隔离症?
作者: chinanyd    时间: 2009-4-3 03:32
考虑外伤引起的肺囊肿可能性大,




欢迎光临 医影在线 (http://bbs.radida.com/bbs/) Powered by Discuz! X3.2