医影在线
标题: CT19175:老年男性,乏力畏寒来诊,望各路高手指教!!!! [打印本页]
作者: 应将 时间: 2009-4-2 19:07
标题: CT19175:老年男性,乏力畏寒来诊,望各路高手指教!!!!
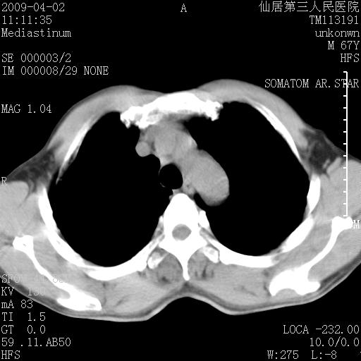
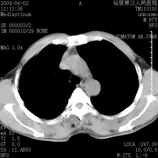
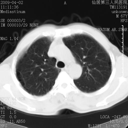
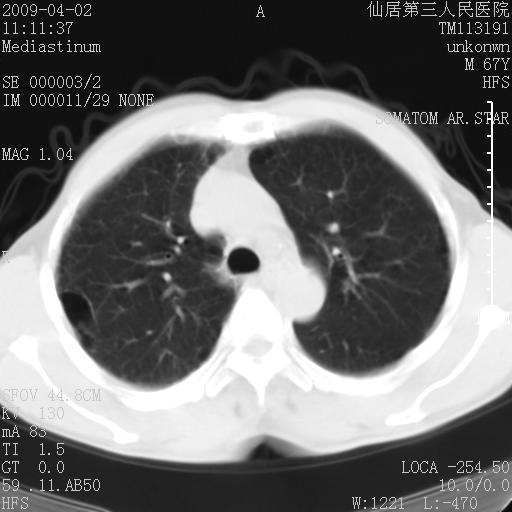
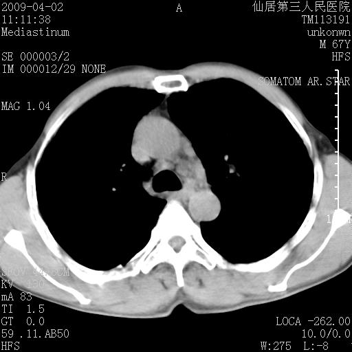
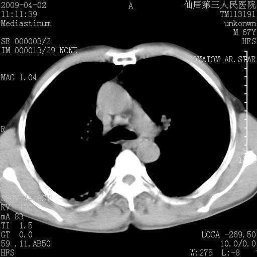
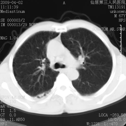
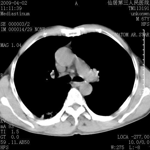
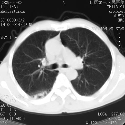
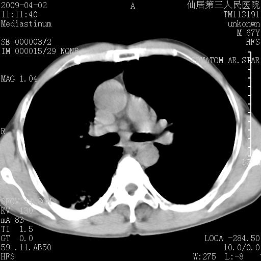
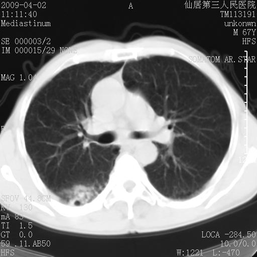
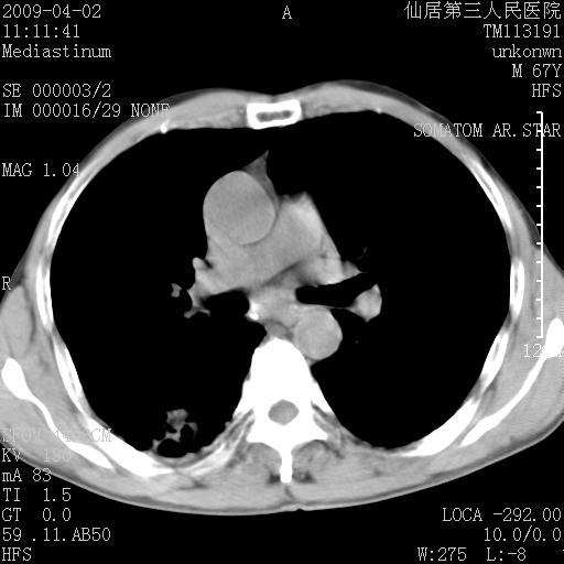
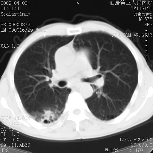
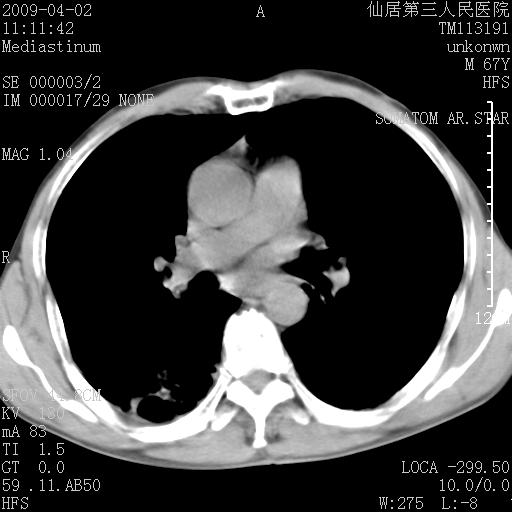
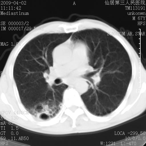
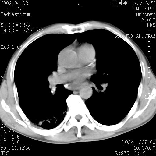
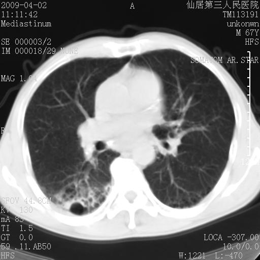
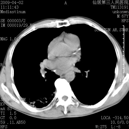
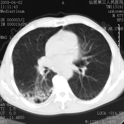
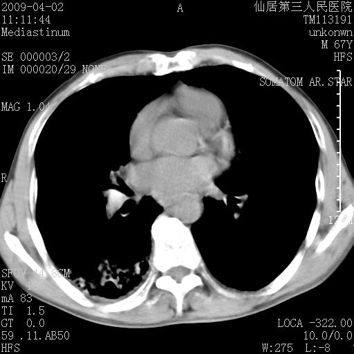
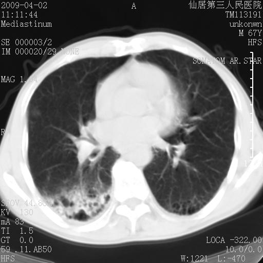
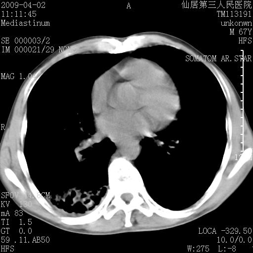
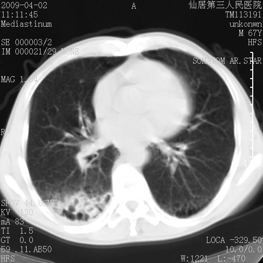
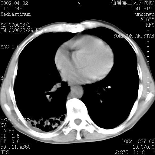
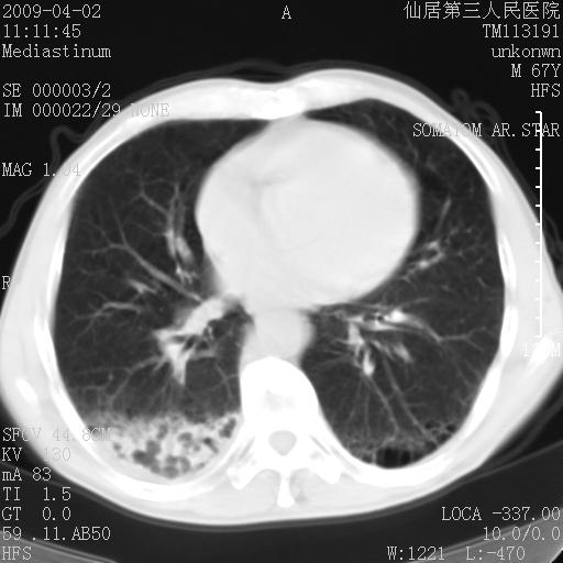
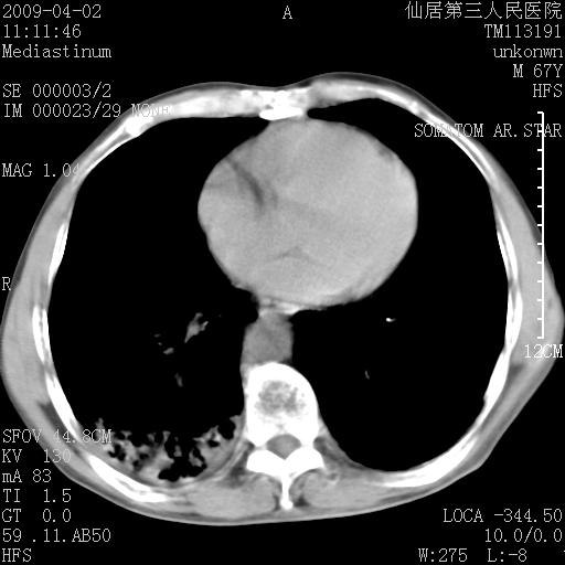
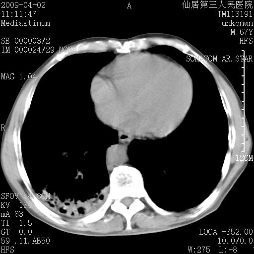
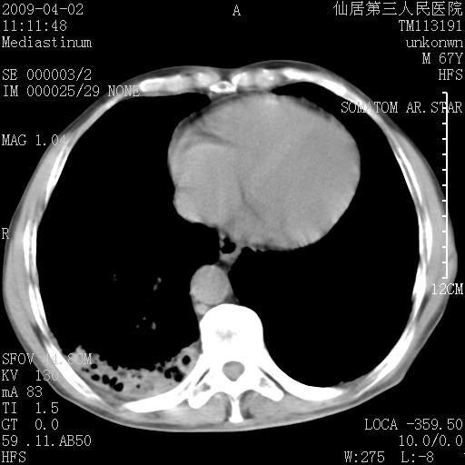
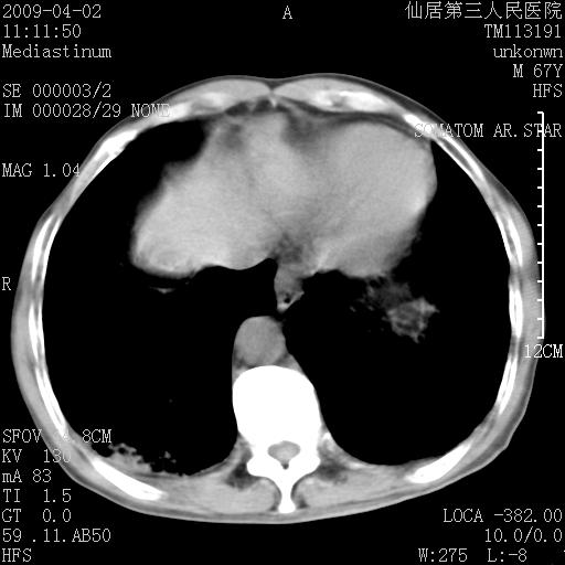
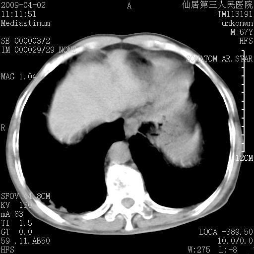
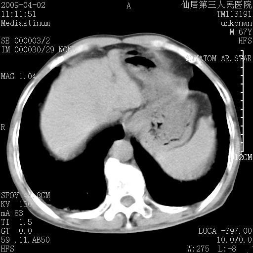
患者老年男性,乏力畏寒来诊,摄胸片示右下肺感染性病变,抗炎两周后复查胸片,无好转有进展。
后做ct平扫表现如下:






















































[本贴已被 jiajie 于 2009-4-2 12:39:58 修改过]
作者: songyi 时间: 2009-4-2 20:10
考虑右肺炎症可能性大,不除外细支气管肺泡癌
作者: jzy2009 时间: 2009-4-2 20:21
是否还要考虑肺间质纤维化,建议hrct扫描。
作者: 随光逐影 时间: 2009-4-2 20:34
考虑间质性肺炎。
作者: panyishengct 时间: 2009-4-2 20:49
考虑间质性肺炎。
作者: shenhs 时间: 2009-4-2 21:13
支持
作者: zhai516 时间: 2009-4-2 21:28
支持间质性肺炎
作者: 卜一 时间: 2009-4-2 21:34
支持:感染!建议积极消炎后复查!
作者: ct诊断高手 时间: 2009-4-2 21:36
考虑感染
作者: 深泽交通 时间: 2009-4-2 21:57
病灶呈蜂窝征,纵隔多个淋巴结肿大;肺泡癌需考虑
作者: 姜晓辉 时间: 2009-4-2 23:01
标题: 干酪性肺炎
右肺下叶背段干酪性肺炎。请痰检[emb28]
[本贴已被 姜晓辉 于 2009-4-2 15:03:05 修改过]
作者: feng785804853 时间: 2009-4-2 23:14
肺炎症可能性大,不除外细支气管肺泡癌
作者: 应将 时间: 2009-4-2 23:16
我认为普通的感染应该可以除外,间质性肺炎可能性较大,但如何解释纵膈的淋巴结肿大呢
作者: LIAOQIANG 时间: 2009-4-3 00:34
考虑双肺间质性改变(间质纤维化?)伴右肺下叶感染。
作者: hhhhhh6 时间: 2009-4-3 01:47
标题: 回复:ct19175:老年男性,乏力畏寒来诊,望各路高手指教!
以下是引用feng785804853在2009-4-2 15:14:00的发言:[br]肺炎症可能性大,不除外细支气管肺泡癌
作者: 同 时间: 2009-4-3 01:58
考虑间质性肺炎。
作者: 杀毒软件 时间: 2009-4-3 03:44
考虑间质性肺炎
作者: chinanyd 时间: 2009-4-3 03:51
考虑间质性肺炎可能性大,患者卧床吗?坠积性肺炎代排
作者: zsl6918 时间: 2009-4-3 04:33
首先考虑炎性感染
作者: yanliu123654 时间: 2009-4-3 04:36
支持11楼,考虑肺结核.年䶨;大,抗炎无效.纵隔淋巴结肿大.老年人下肺结核要警提
作者: pujunzhi 时间: 2009-4-3 04:46
标题: 回复:ct19175:老年男性,乏力畏寒来诊,望各路高手指教!
以下是引用卜一在2009-4-2 13:34:00的发言:[br]支持:感染!建议积极消炎后复查!
作者: 黑白光影 时间: 2009-4-3 05:29
考虑双肺间质性改变(间质纤维化?)伴右肺下叶感染。
作者: dsl555 时间: 2009-4-3 06:50
支持:感染!建议积极消炎后复查!
作者: 光影相伴 时间: 2009-4-3 15:57
间质性肺炎。
| 欢迎光临 医影在线 (http://bbs.radida.com/bbs/) |
Powered by Discuz! X3.2 |