医影在线

标题: NEW0388:腹主动脉瘤 [打印本页]

作者: 邹康鹏    时间: 2009-4-2 19:22
标题: NEW0388:腹主动脉瘤








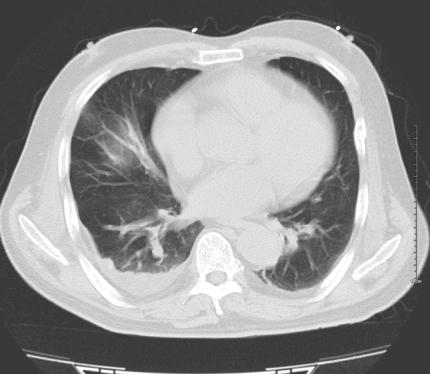
   肺窗示:双侧胸廓对称,两肺野内未见明显异常密度影。右下肺见片状渗出灶,所示气管支气管开口通气良好。
   纵隔窗示:左心室增大,各大血管走行自然,未见明显扩张征象。两肺门区及纵隔内未见异常肿大的淋巴结。右侧胸腔积液。
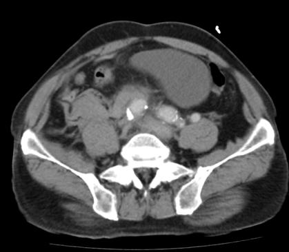
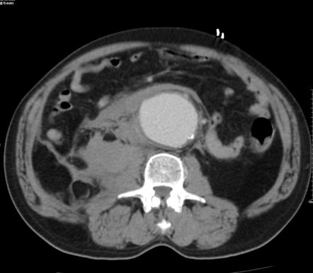
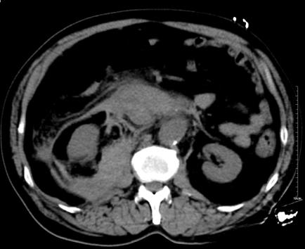
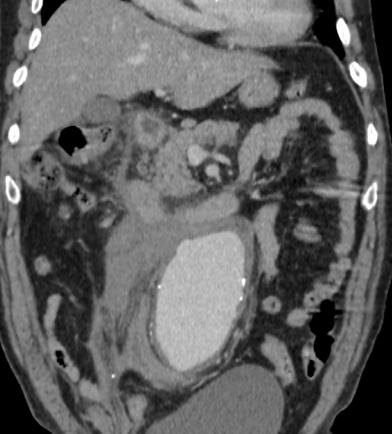
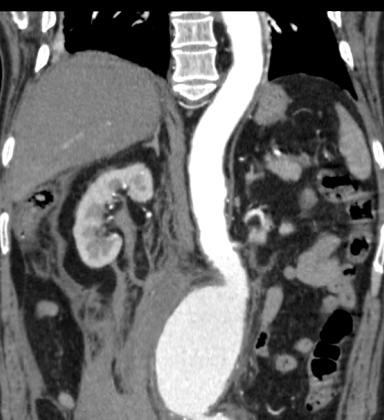
     肝脏大小正常、形态规则、包膜完整、各叶比例协调,肝左外叶见以点状密度增高影,肝内胆管和胆总管未见扩张,胆囊形态自然,大小正常,其内未见异常密度影,胰腺形态、大小未见明显异常,脾脏未见增大征象,包膜完整,右肾周及腹主动脉周围,中上腹腔见条带状及片状稍低密度影,形态欠规整。
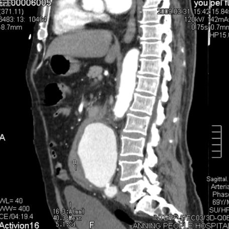
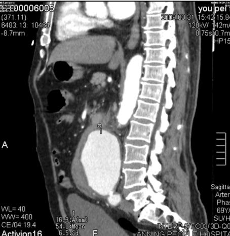
   增强后:腹主动脉下段至左右髂总动脉上端明显扩张,最宽处约6.8cm,上下径约为13cm,成瘤样改变,边界清楚,形态规整。
  膀胱充盈良好,膀胱壁无明显增厚。
1.腹主动脉瘤。(腹主动脉下段至左右髂总动脉上端)
2.右下肺感染伴右下胸腔少量积液。
3.右肾周及腹主动脉周围,中上腹腔见条带状及片状稍低密度影(多考虑腹腔包裹性积液,请结合临床病史。




我晚上加班到很晚做出来,第二天早上交完班读完他的片上去看他,正好碰见他死~~
十多年前曾经切过阑尾,肾周我们争论是漏出液还是渗出液的问题,结果现在大家就明白了```






[本贴已被 jiajie 于 2009-4-2 12:44:01 修改过]

作者: 随光逐影    时间: 2009-4-2 20:06
典型!
感谢楼主提供共享。
作者: 592438394    时间: 2009-4-2 20:15
第一次见。学习了。谢谢
作者: songyi    时间: 2009-4-3 01:56
典型!
感谢楼主提供共享
作者: 杀毒软件    时间: 2009-4-3 04:34
典型!
感谢楼主提供共享。
作者: 李云飞    时间: 2009-4-3 18:54
典型!
感谢楼主提供共享。
作者: 李云飞    时间: 2009-4-3 18:55
典型!
感谢楼主提供共享。
作者: 黑白光影    时间: 2009-4-4 02:19
典型!
感谢楼主提供共享。
作者: 红足先生    时间: 2009-4-4 06:34
典型!
感谢楼主提供共享。
作者: jinguoji    时间: 2009-4-5 08:06
典型!
感谢楼主提供共享。
作者: 影像之路    时间: 2009-4-11 00:32
后重建图像就是直观
作者: 水蓝色的    时间: 2009-4-11 01:09
典型,谢谢共享!
作者: 浪子~~~    时间: 2009-4-15 02:20
典型,谢谢共享!
作者: fhc932    时间: 2009-4-18 02:37
典型!
感谢楼主
作者: 张耀森    时间: 2009-4-19 06:34
漂亮,典型,谢谢分享。
作者: guoj7304    时间: 2009-4-23 02:03
谢谢分享
作者: 深泽交通    时间: 2009-4-23 19:27
标题: 回复:new0388:腹主动脉瘤
以下是引用随光逐影在2009-4-2 12:06:00的发言:[br]典型![br]感谢楼主提供共享。

作者: 看图说话    时间: 2009-4-24 05:50
典型!
感谢楼主提供共享。
作者: 心语2008    时间: 2009-5-3 18:11
感谢楼主提供共享!
右肾周及腹主动脉周围,中上腹腔见条带状及片状稍低密度影(能否考虑渗出或感染?,谢谢!)
作者: ncy888888    时间: 2009-5-6 21:47
挺好的
作者: smyxh2006    时间: 2009-5-10 03:27
学习
作者: pujunzhi    时间: 2009-5-10 16:21
典型!
感谢楼主提供共享
作者: zjh196425    时间: 2009-5-12 16:47
我(ˇˍˇ) 想~问一下,你是用什么机型作的。很不错。
作者: zp17    时间: 2009-5-15 06:42
做得不错,学习了!
作者: 天津锅巴    时间: 2009-5-22 03:25
难得一见 谢谢!




欢迎光临 医影在线 (http://bbs.radida.com/bbs/) Powered by Discuz! X3.2