



















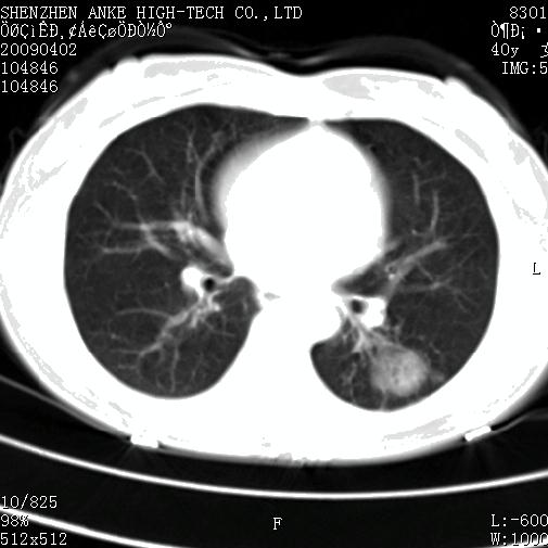
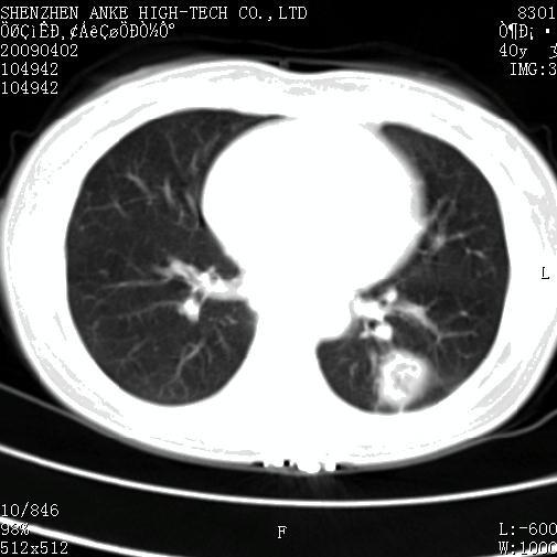
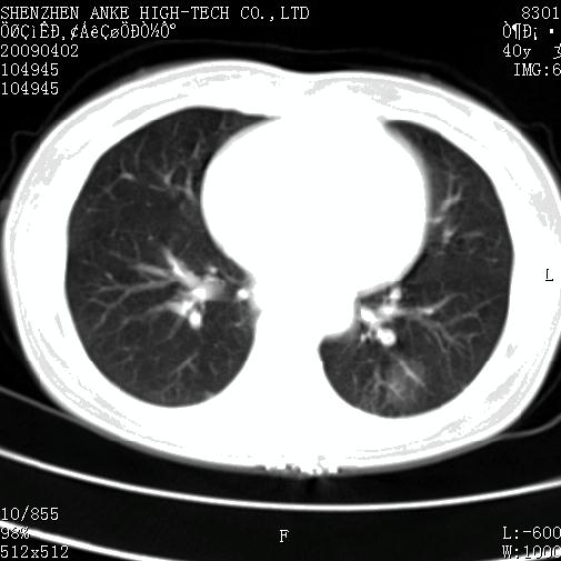
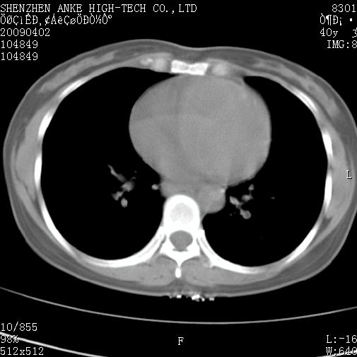
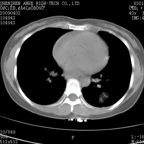
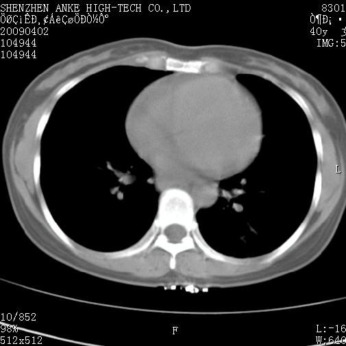
以下是引用随光逐影在2009-4-2 12:16:00的发言:[br]考虑左肺下叶背段继发性肺结核,结核球形成;建议追踪复查。
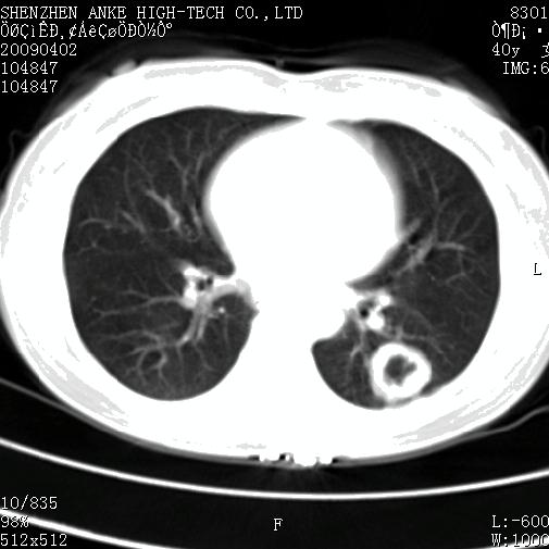
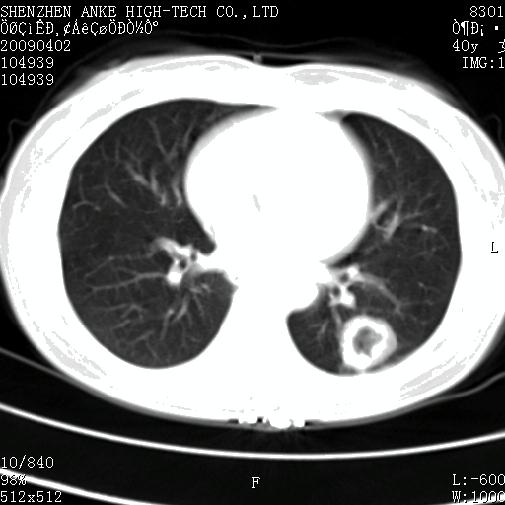
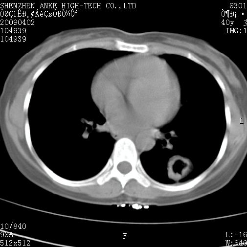
以下是引用gudu医生在2009-4-2 11:27:00的发言:[br]周围型肺癌
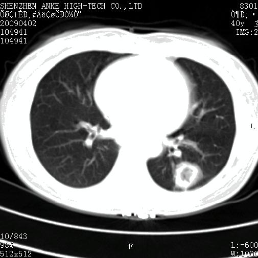
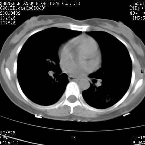
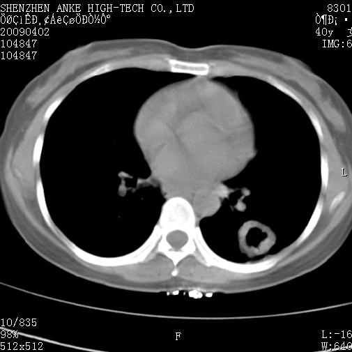
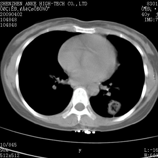
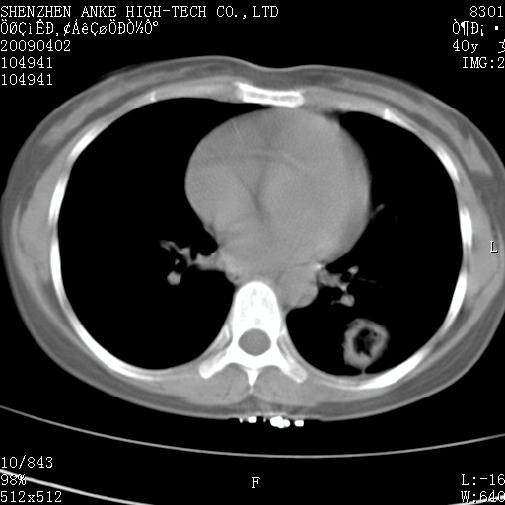
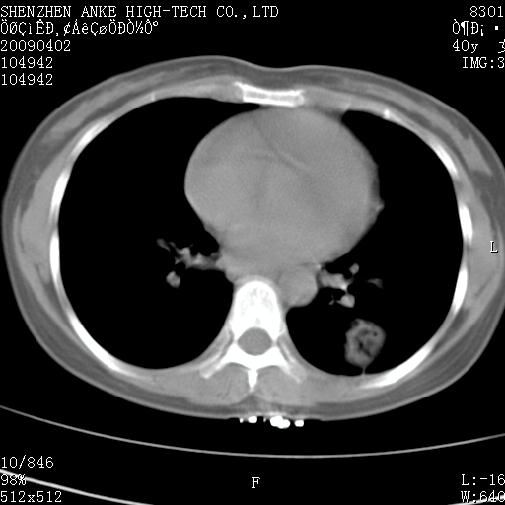
以下是引用卜一在2009-4-2 13:31:00的发言:[br][br] [br] 空洞壁厚不均 胸膜凹陷征。周围型肺癌可能 不排除干酪坏死型肺结核及坏死性肉芽肿。 [br] [br]支持!
以下是引用随光逐影在2009-4-2 12:16:00的发言:[br]考虑左肺下叶背段继发性肺结核,结核球形成;建议追踪复查。
以下是引用ct诊断高手在2009-4-2 13:04:00的发言:[br]空洞壁厚不均 胸膜凹陷征。周围型肺癌可能 不排除干酪坏死型肺结核及坏死性肉芽肿。
| 欢迎光临 医影在线 (http://bbs.radida.com/bbs/) | Powered by Discuz! X3.2 |