




































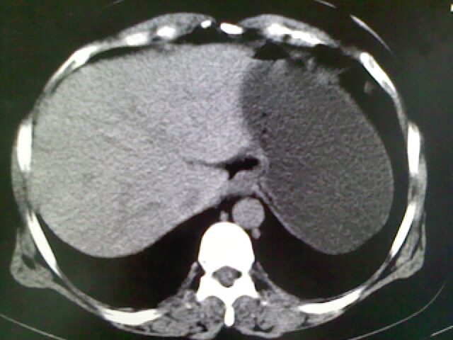
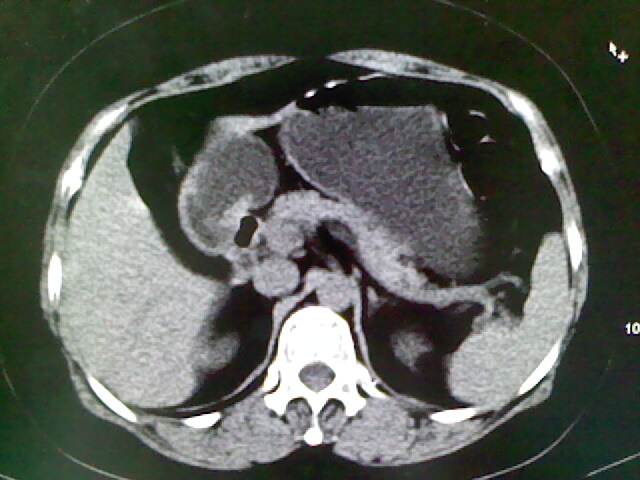
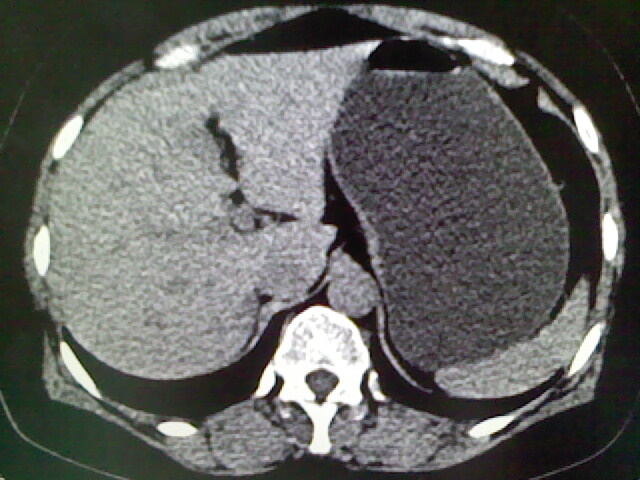
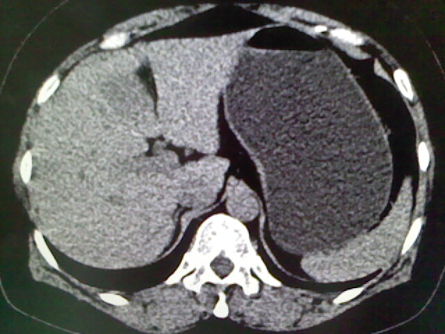
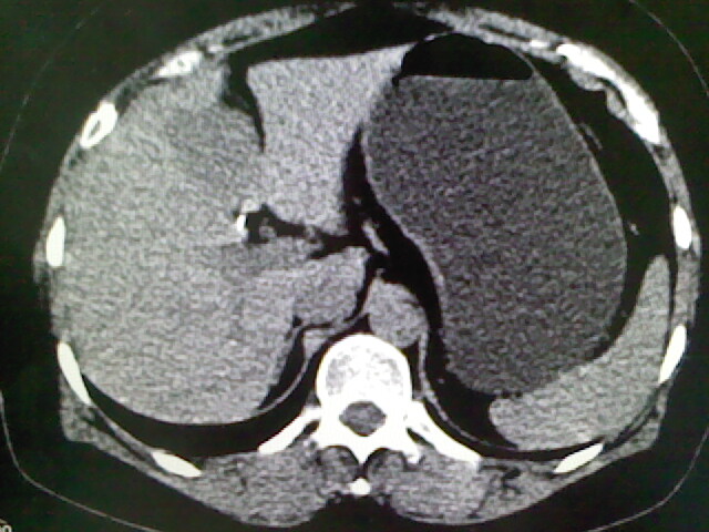
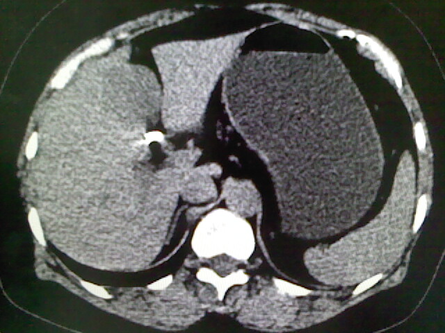
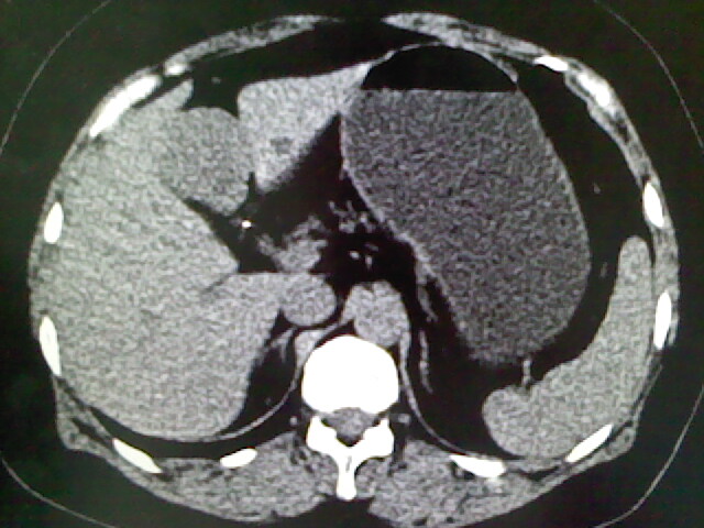
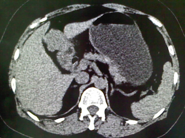
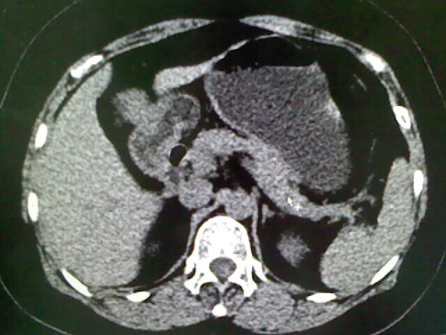
以下是引用卜一在2009-4-2 13:26:00的发言:[br]胆囊颈部结石伴胆囊炎!另:建议增强,待除外肝内占位及胆囊占位!
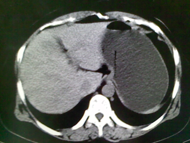
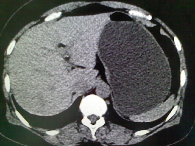
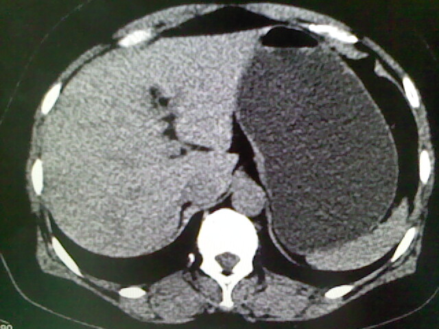
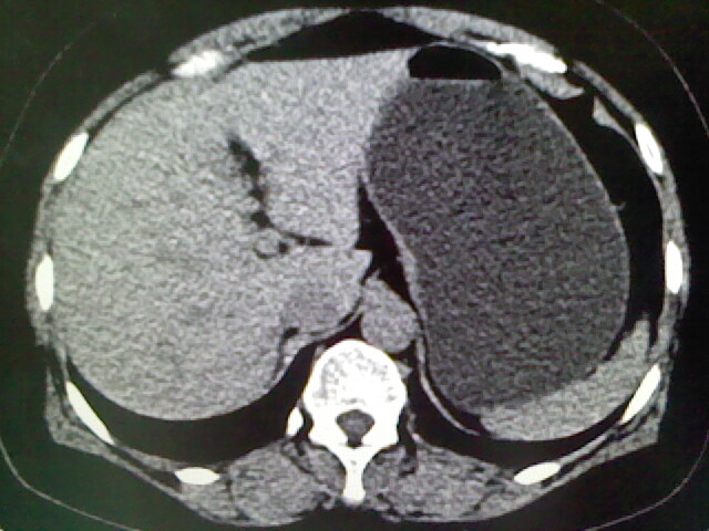
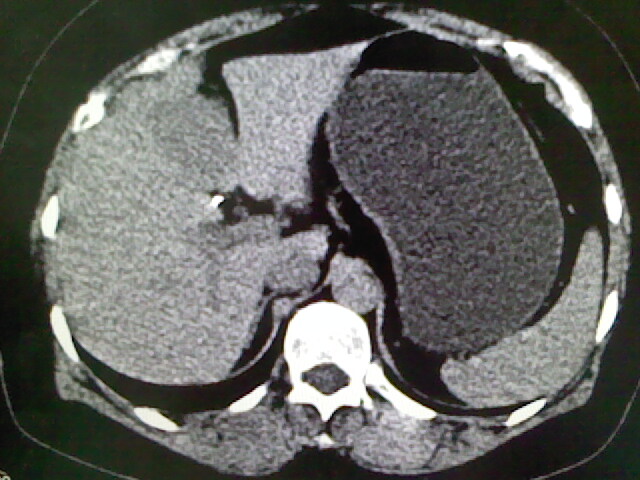
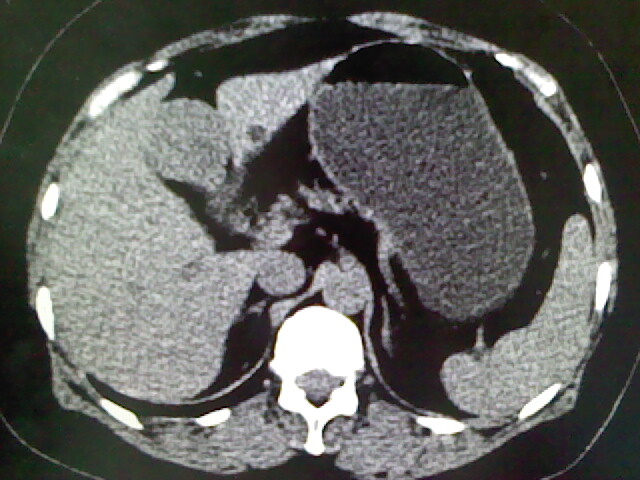
以下是引用liaoqiang在2009-4-2 16:23:00的发言:[br]胆囊是否切除?胆囊颈区致密影考虑金属夹?结石?肝脏右叶低密度影,考虑增强。
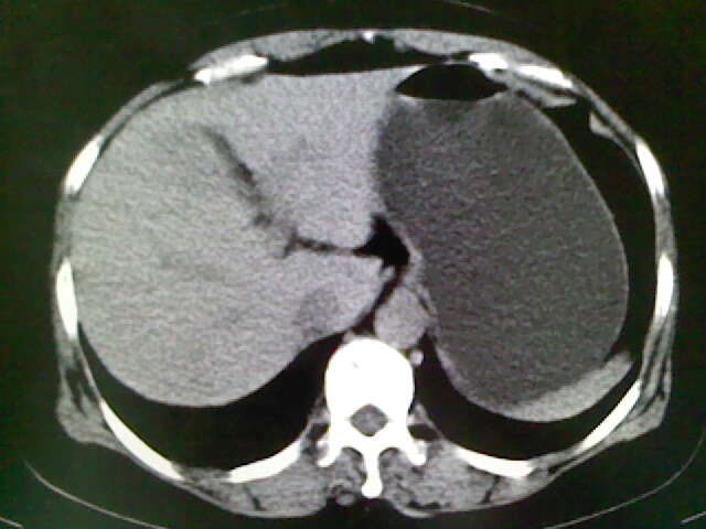
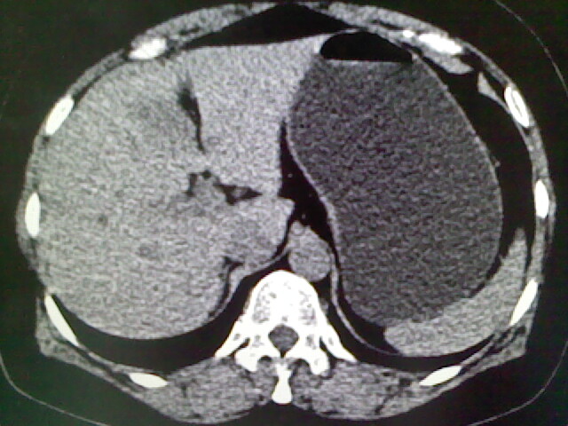
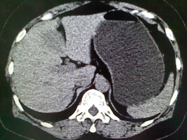
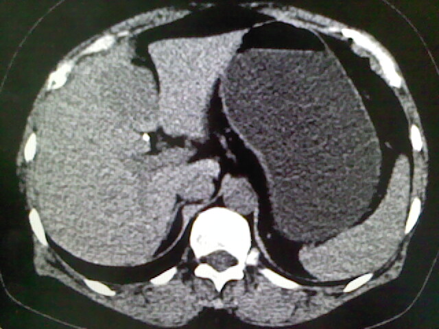
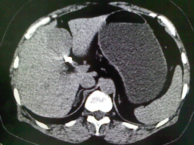
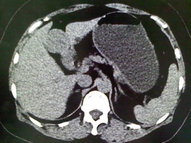
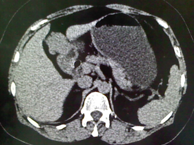
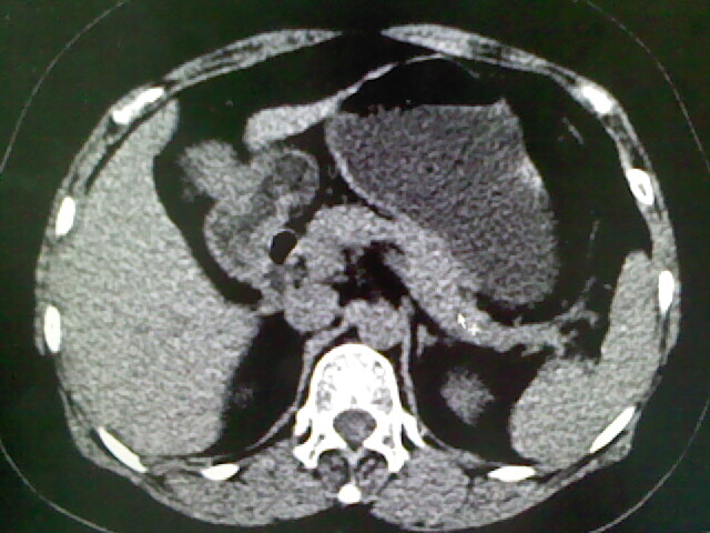
以下是引用卜一在2009-4-2 13:26:00的发言:[br]胆囊颈部结石伴胆囊炎!另:建议增强,待除外肝内占位及胆囊占位!
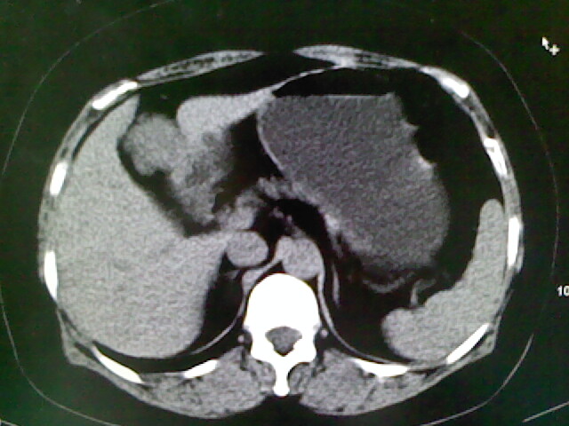
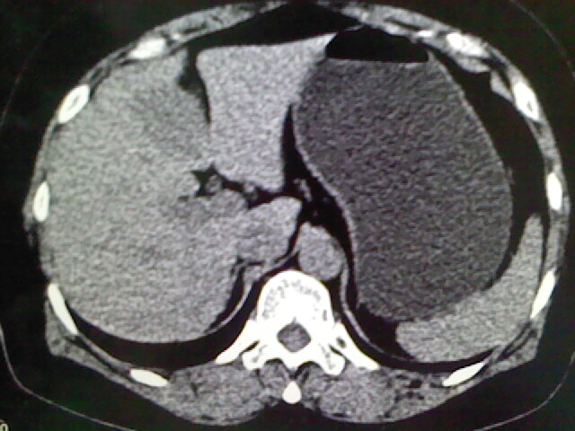
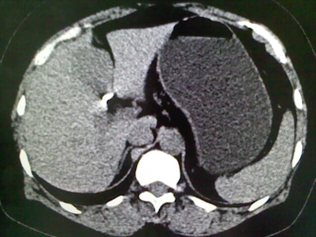
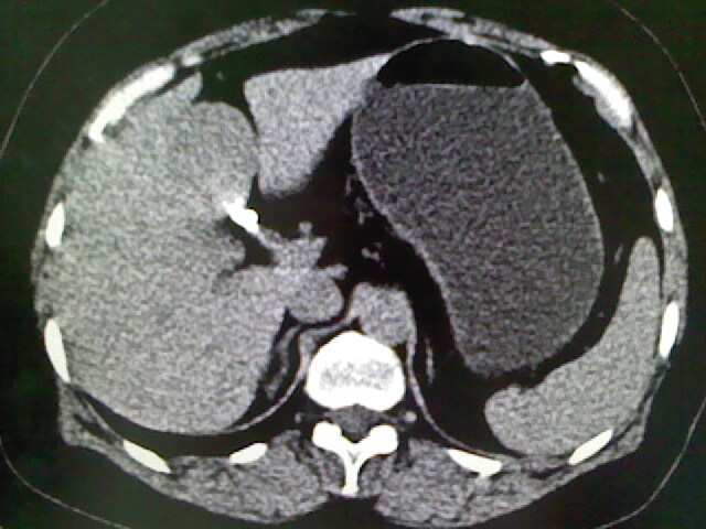
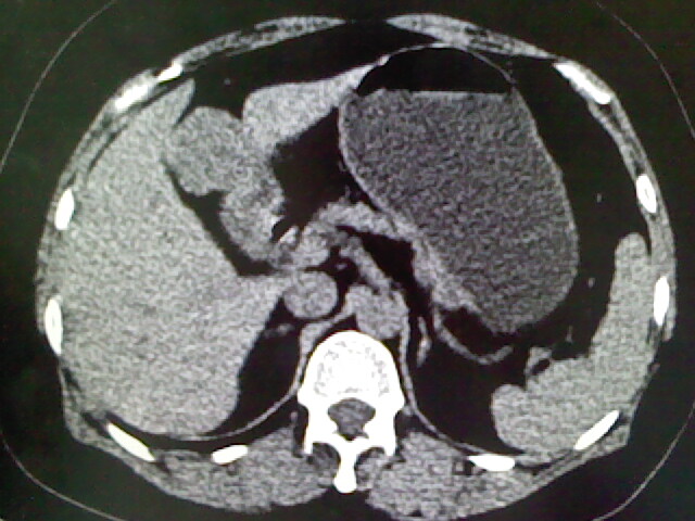
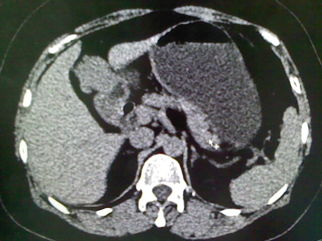
以下是引用卜一在2009-4-2 13:26:00的发言:[br]胆囊颈部结石伴胆囊炎!另:建议增强,待除外肝内占位及胆囊占位!
| 欢迎光临 医影在线 (http://bbs.radida.com/bbs/) | Powered by Discuz! X3.2 |