医影在线

标题: CT19181:反复腹痛入院行彩超检查示胸骨右缘4、5肋间不均质 [打印本页]

作者: sxz2001    时间: 2009-4-2 23:18
标题: CT19181:反复腹痛入院行彩超检查示胸骨右缘4、5肋间不均质
(结果公布:http://www.radida.com/bbs/forum.php?mod=viewthread&tid=51609
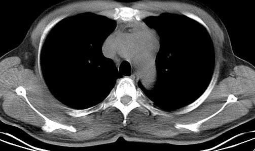
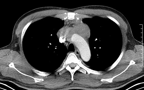
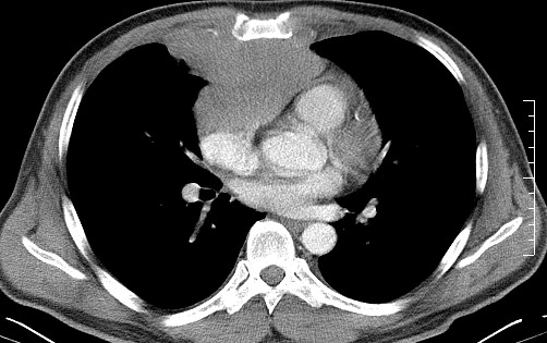
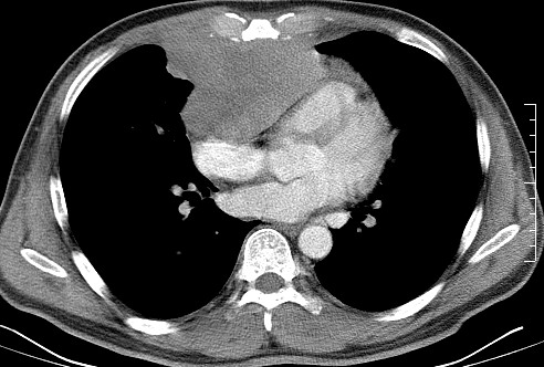
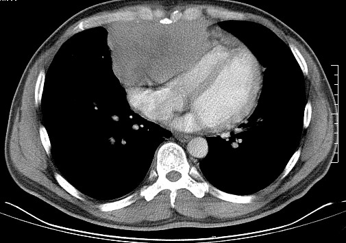
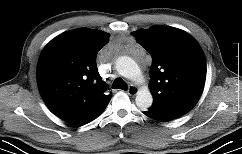
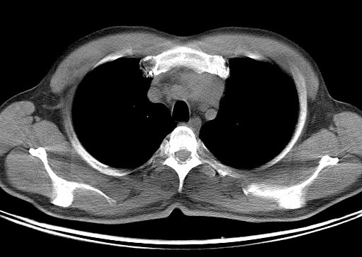
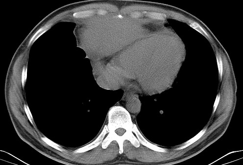
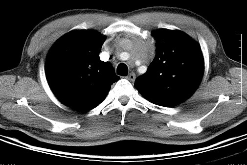
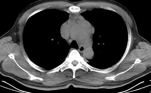
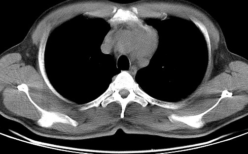
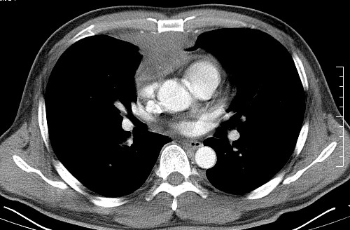
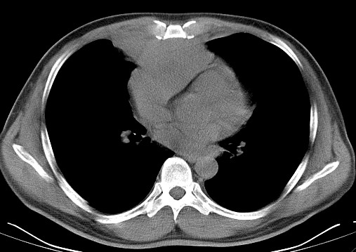
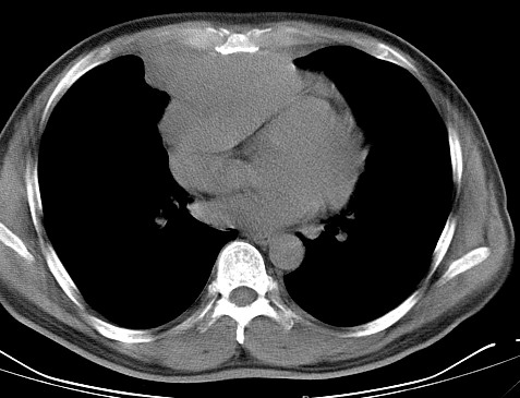
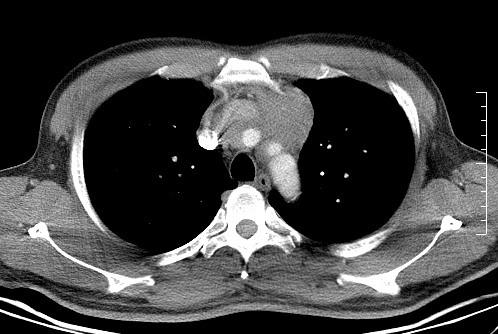
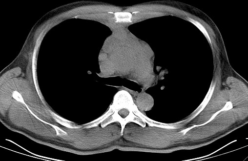
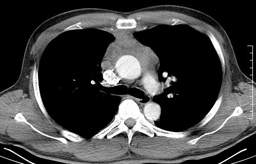
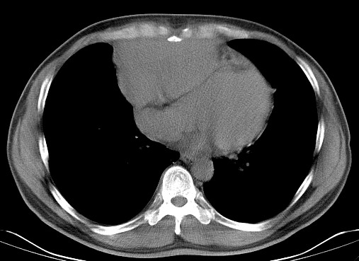
男   40   反复腹痛入院行彩超检查示胸骨右缘4、5肋间不均质回声团





















[本贴已被 jiajie 于 2009-4-3 8:53:07 修改过]

作者: songyi    时间: 2009-4-2 23:34
考虑侵袭性胸腺瘤
作者: 深泽交通    时间: 2009-4-2 23:37
考虑1纵隔淋巴瘤,2右肺癌纵隔淋巴结转移
作者: 光影相伴    时间: 2009-4-2 23:54
考虑:1)淋巴瘤。2)不排除侵袭性胸腺瘤。
作者: 东海龙王    时间: 2009-4-2 23:59
考虑淋巴瘤
作者: LIAOQIANG    时间: 2009-4-3 00:11
考虑淋巴瘤,不排除侵袭性胸腺瘤。
作者: 小青    时间: 2009-4-3 00:37
首先考虑胸腺瘤
作者: hhhhhh6    时间: 2009-4-3 01:29
标题: 回复:反复腹痛入院行彩超检查示胸骨右缘4、5肋间不均质
以下是引用东海龙王在2009-4-2 15:59:00的发言:[br]考虑淋巴瘤

作者: 随光逐影    时间: 2009-4-3 01:35
考虑淋巴瘤可能性大。
作者: 学医    时间: 2009-4-3 02:03
考虑:1)淋巴瘤。2)不排除侵袭性胸腺瘤。
作者: yanliu123654    时间: 2009-4-3 02:05
侵犯性胸腺瘤可能性大.
作者: 黄毛小子    时间: 2009-4-3 03:00
考虑淋巴瘤可能性大
作者: 黄毛小子    时间: 2009-4-3 03:05
请说一下自己的诊断依据
作者: LIYANWEN    时间: 2009-4-3 03:15
淋巴瘤:前纵隔可见多组肿大的淋巴结,部分融合,有液化坏死
作者: 卜一    时间: 2009-4-3 03:21
考虑:1)淋巴瘤。2)不排除侵袭性胸腺瘤。  
  
支持!
作者: 杀毒软件    时间: 2009-4-3 03:27
支持考虑---侵袭性胸腺瘤可能性大
作者: hg7503847    时间: 2009-4-3 03:53
上区却那么有点象占位,胸腺瘤不太象,一点强化也没有,淋巴瘤气管前上腔静后却很干净,下区也点象纵隔积血征,
作者: zsl6918    时间: 2009-4-3 04:20
纵隔恶性肿瘤,考虑生殖细胞肿瘤可能性大。
作者: 逍遥    时间: 2009-4-3 04:28
莲蓬籽征  考虑淋巴瘤
作者: zhengfaming    时间: 2009-4-3 04:29
还是先考虑胸腺瘤,不除外淋巴瘤
作者: 吃草吐奶    时间: 2009-4-3 04:51
我支持胸腺瘤。
作者: 黑白光影    时间: 2009-4-3 04:59
谢谢楼主反馈,学习了。
作者: pujunzhi    时间: 2009-4-3 05:17
谢谢楼主反馈(淋巴瘤),学习了!
作者: 康鹏    时间: 2009-4-3 05:39
淋巴瘤
作者: 随光逐影    时间: 2009-4-3 07:48
感谢楼主反馈病理结果。
作者: 寻芳者    时间: 2009-4-3 08:00
淋巴瘤可能性大
作者: dr.yang    时间: 2009-4-3 08:07
学习了。
作者: 光影相伴    时间: 2009-4-3 15:41
感谢楼主反馈病理结果。
作者: songyi    时间: 2009-4-3 16:50
感谢楼主反馈病理结果
作者: shenhs    时间: 2009-4-3 17:48
谢谢楼主
学习了
作者: 余辉    时间: 2009-4-3 19:08
谢谢楼主
学习了
作者: wwh40    时间: 2009-4-4 03:23
侵袭性胸腺瘤,淋巴瘤不除外。
作者: wwh40    时间: 2009-4-4 03:25
结果是淋巴瘤呀,谢谢了!
作者: 影像孺子牛    时间: 2009-4-4 06:44
感谢楼主反馈病理结果,学习了。
作者: dsl555    时间: 2009-4-4 06:55
谢谢楼主反馈,学习了
作者: dyqct    时间: 2009-4-4 16:36
谢谢楼主反馈,学习了!
作者: 拾荒者    时间: 2009-4-5 06:24
感谢楼主反馈病理结果,学习了!
作者: wangyong1977    时间: 2009-4-6 03:45
感谢楼主反馈病理结果,学习
作者: 513ytb    时间: 2009-7-3 08:06
淋巴瘤
作者: fyanj168    时间: 2009-7-3 23:11
首先考虑胸腺瘤
作者: 张辉9999    时间: 2009-7-4 00:57
虑:1)淋巴瘤。2)不排除侵袭性胸腺瘤。
作者: dr.yang    时间: 2012-12-14 06:50
引用第8楼随光逐影于2009-04-03 01:35发表的  :
考虑淋巴瘤可能性大。

作者: guoanwei    时间: 2012-12-24 08:47
谢谢,学习啦




欢迎光临 医影在线 (http://bbs.radida.com/bbs/) Powered by Discuz! X3.2