医影在线
标题: CT19189:女,38岁,右侧肢体偏瘫、失语5天。 [打印本页]
作者: wpf 时间: 2009-4-3 05:33
标题: CT19189:女,38岁,右侧肢体偏瘫、失语5天。
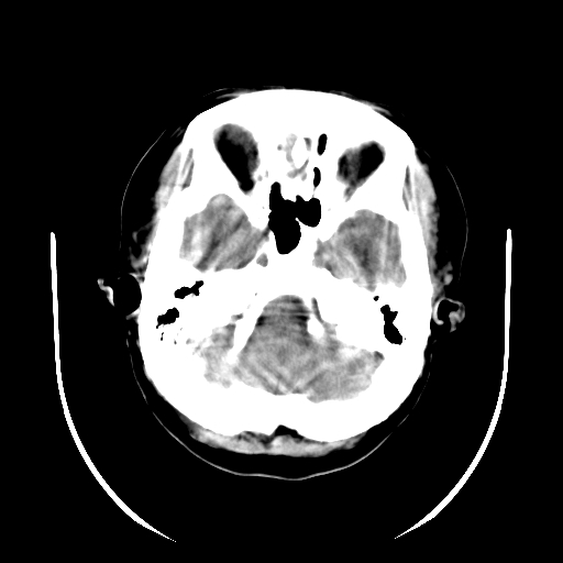
女,38岁,右侧肢体偏瘫、失语5天,发病1小时曾在外院做头颅ct检查未见异常。










[本贴已被 wpf 于 2009-4-2 21:33:22 修改过]
[本贴已被 翁志蓬 于 2009-4-2 23:06:45 修改过]
作者: 子期 时间: 2009-4-3 05:40
左颞叶出血。
作者: 子期 时间: 2009-4-3 05:45
说错了,是外囊。
作者: pujunzhi 时间: 2009-4-3 05:59
左侧基底节区、顶叶出血性脑梗塞,建议增强扫描或做cta检查,协助定性。
作者: chunjun_lin 时间: 2009-4-3 06:13
窗宽窗位没调好。
作者: kh 时间: 2009-4-3 07:02
结合病史,考虑出血性脑梗塞.
作者: 随光逐影 时间: 2009-4-3 07:42
结合病史,考虑出血性脑梗塞。
作者: 卜一 时间: 2009-4-3 13:20
结合病史,考虑出血性脑梗塞。
支持!
作者: 吴承学 时间: 2009-4-3 14:41
标题: 回复:ct19189:女,38岁,右侧肢体偏瘫、失语5天。
以下是引用随光逐影在2009-4-2 23:42:00的发言:[br]结合病史,考虑出血性脑梗塞。
作者: sharp1900b 时间: 2009-4-3 15:11
左颞外囊区高密度病灶,周边脑白质指状水肿,低密度区不累及皮质,考虑是左外囊出血并脑水肿 。
作者: 光影相伴 时间: 2009-4-3 15:14
考虑:出血性脑梗塞.
作者: songyi 时间: 2009-4-3 16:40
考虑出血性脑梗塞,不除外脑肿瘤,建议ct 增强扫描
作者: jiangjing 时间: 2009-4-3 17:41
结合病史,考虑出血性脑梗塞。------有无心脏病【风心】。请结合临床及进一步检查
作者: 黑白光影 时间: 2009-4-3 17:43
结合病史,考虑出血性脑梗塞
作者: shenhs 时间: 2009-4-3 17:46
考虑出血性脑梗塞
作者: 深泽交通 时间: 2009-4-3 17:52
两个稍高等密度灶,有占位性,广泛白质水肿,建议除外肿瘤检查
作者: gyh6308 时间: 2009-4-3 17:55
出血性脑梗塞
作者: 泪洒红尘 时间: 2009-4-3 18:45
考虑肿瘤性脑出血(胶质母细胞瘤)伴灶周水肿可能性大。38岁人暂不考虑出血性脑梗塞。
作者: hhhhhh6 时间: 2009-4-3 21:00
标题: 回复:ct19189:女,38岁,右侧肢体偏瘫、失语5天。
以下是引用kh在2009-4-2 23:02:00的发言:[br]结合病史,考虑出血性脑梗塞.
作者: 987654zwf 时间: 2009-4-3 23:10
考虑出血性脑梗塞,建议ct 增强扫描
作者: hmyj9 时间: 2009-4-3 23:15
结合病史,考虑出血性脑梗塞。
作者: wwh40 时间: 2009-4-3 23:28
这是发病5天时的ct片吗?如果是,仍考虑为:左侧外囊脑出血。(发病3-7天血肿变淡模糊血肿向心性回缩,水肿渐明显)。
作者: wwh40 时间: 2009-4-3 23:30
这是发病5天时的ct片吗?如果是,仍考虑为:左侧外囊脑出血。(发病3-7天血肿变淡模糊血肿向心性回缩,水肿渐明显)。
另外,出血性脑梗塞不除外。
作者: sxz2001 时间: 2009-4-3 23:49
支持出血性脑梗赛
作者: 宇宙CT 时间: 2009-4-4 01:12
考虑出血性脑梗塞,建议ct 增强扫描
作者: 杀毒软件 时间: 2009-4-4 01:46
先考虑---左侧外囊脑出血
作者: jinguoji 时间: 2009-4-6 06:14
考虑出血性脑梗塞。
作者: zhaozejun1 时间: 2009-4-6 06:29
标题: 回复:ct19189:女,38岁,右侧肢体偏瘫、失语5天。
以下是引用sharp1900b在2009-4-3 7:11:00的发言:[br]左颞外囊区高密度病灶,周边脑白质指状水肿,低密度区不累及皮质,考虑是左外囊出血并脑水肿 。
作者: zjb 时间: 2009-4-6 19:14
先考虑---左侧外囊脑出血
作者: qxhxf 时间: 2009-4-6 19:23
左侧基底节区、顶叶出血性脑梗塞,性质待定?血管畸形?
作者: 黄毛小子 时间: 2009-4-11 03:34
标题: 回复:ct19189:女,38岁,右侧肢体偏瘫、失语5天。
以下是引用sharp1900b在2009-4-3 7:11:00的发言:[br]左颞外囊区高密度病灶,周边脑白质指状水肿,低密度区不累及皮质,考虑是左外囊出血并脑水肿 。
作者: pujunzhi 时间: 2009-4-11 03:38
考虑出血性脑梗塞,建议ct 增强扫描。
作者: 513ytb 时间: 2009-6-23 07:55
结合病史,考虑出血性脑梗塞
| 欢迎光临 医影在线 (http://bbs.radida.com/bbs/) |
Powered by Discuz! X3.2 |