医影在线
标题: PED1824:M5Y,膀胱壁明显增厚。 [打印本页]
作者: 江尾海头 时间: 2009-4-3 17:59
标题: PED1824:M5Y,膀胱壁明显增厚。
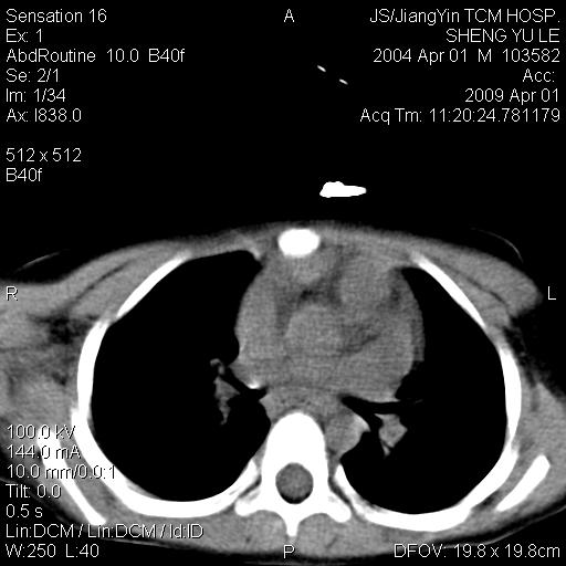
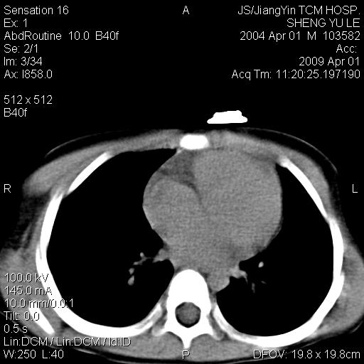
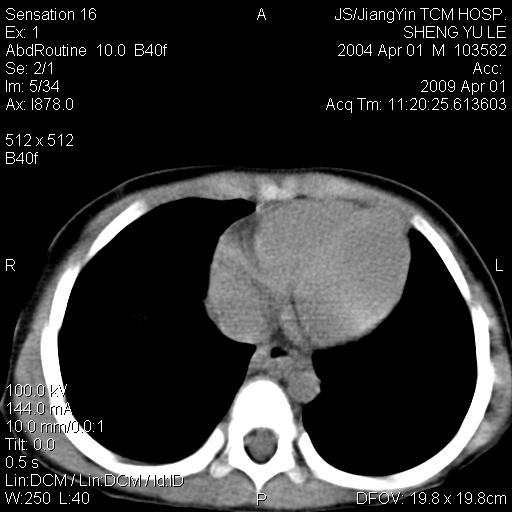
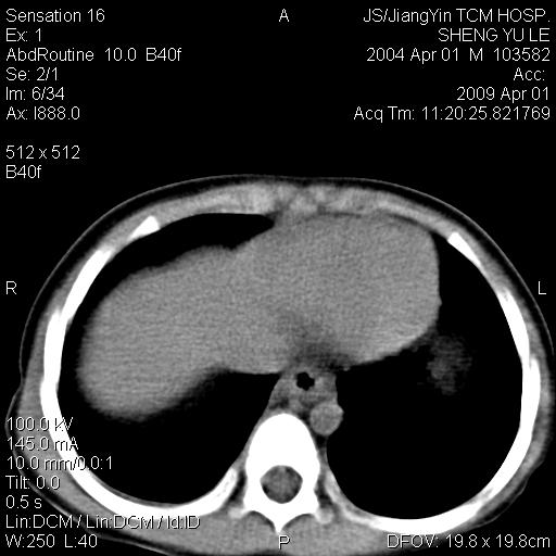
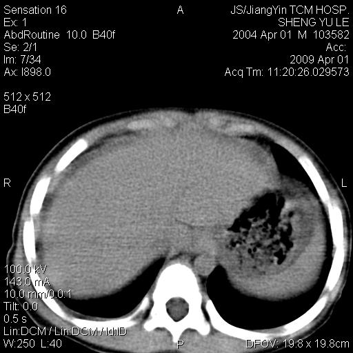
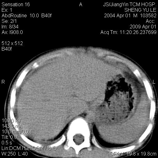
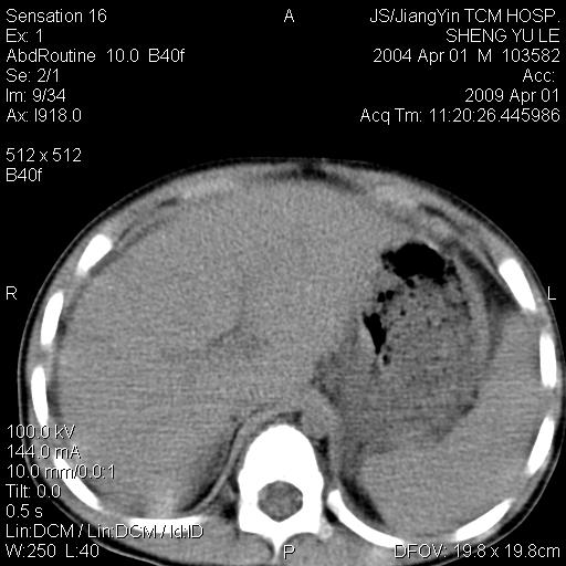
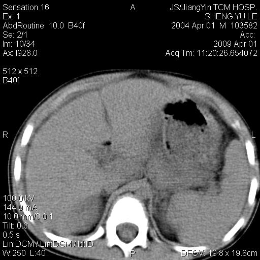
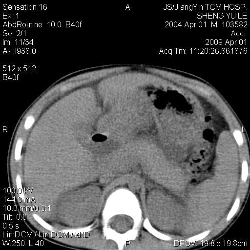
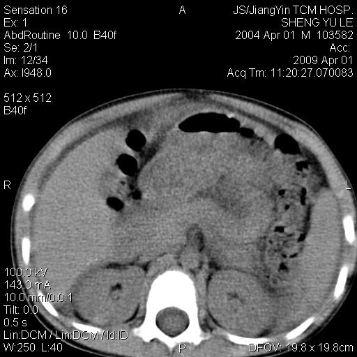
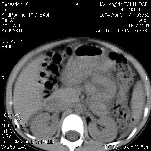
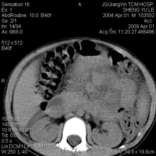
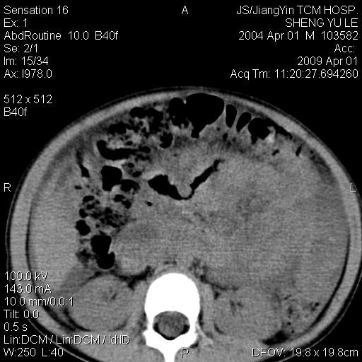
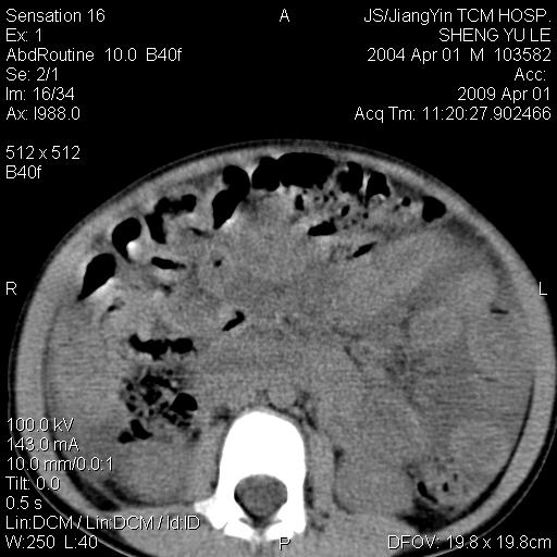
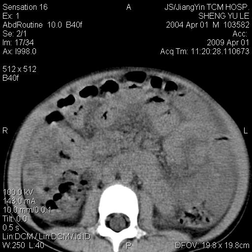
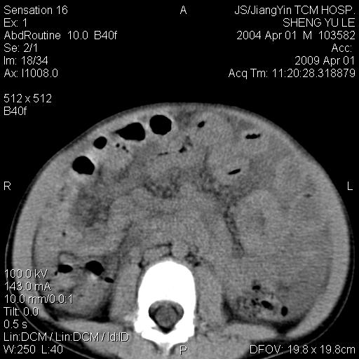
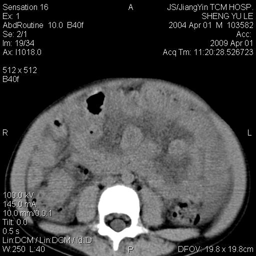
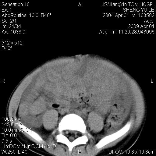
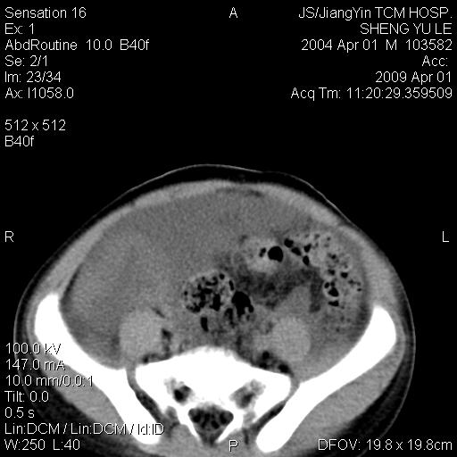
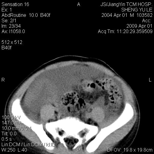
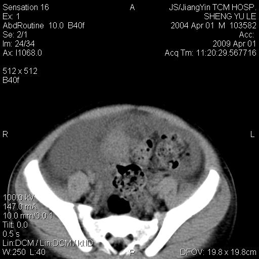
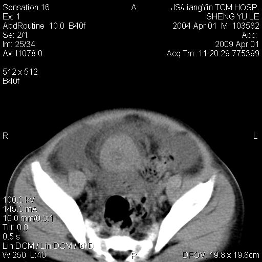
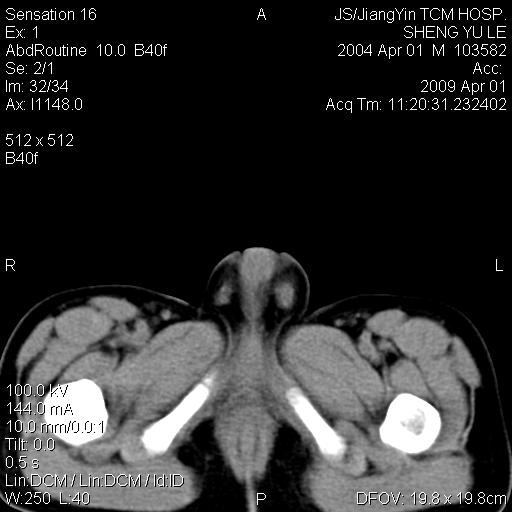
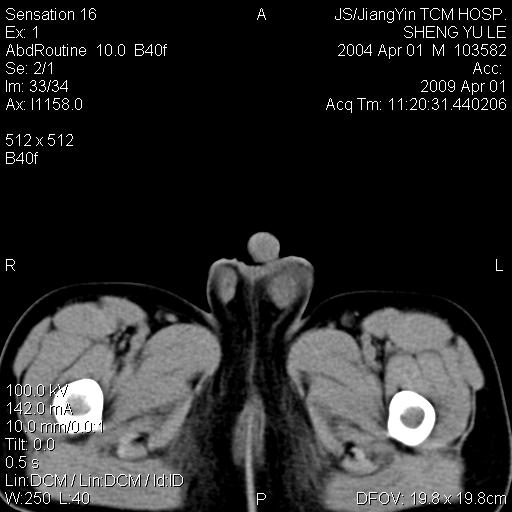
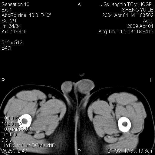
m,5岁。尿痛尿频数天。既往无病史。ct平扫腹盆腔积液。膀胱壁明显增厚。另可见心包增厚。wbc5万,骨髓穿等结果。请指教。































[本贴已被 江尾海头 于 2009-4-3 10:16:24 修改过]
[本贴已被 jiajie 于 2009-4-3 10:17:24 修改过]
作者: 余辉 时间: 2009-4-3 18:20
标题: 1
膀胱影像表现结合临床应该是急性膀胱炎症,但为什么有腹水呢?双肾输尿管无扩张,泌尿系压力应该不大不至于引起尿外渗,应该是腹膜感染引起的,但楼主没有提及相关症状,腹膜及膀胱结核?患者白细胞5万(结核不至于这么高啊),脾脏增大,是不是有白血病?进一步检查。。
[本贴已被 余辉 于 2009-4-3 10:29:18 修改过]
作者: 余辉 时间: 2009-4-3 18:43
不对,结核性腹膜炎也可以引起白细胞这么高,还是要看骨髓,另建议加抽腹水检查
作者: jiangjing 时间: 2009-4-3 19:13
考虑 败血症
作者: 李云飞 时间: 2009-4-3 19:20
学习了
作者: 杀毒软件 时间: 2009-4-4 01:18
抽水化验下吧
作者: dyqct 时间: 2009-4-4 02:09
支持楼上战友的分析!
作者: 同 时间: 2009-4-5 03:10
标题: 回复:ped1824:m5y,膀胱壁明显增厚。
以下是引用余辉在2009-4-3 10:20:00的发言:[br]膀胱影像表现结合临床应该是急性膀胱炎症,但为什么有腹水呢?双肾输尿管无扩张,泌尿系压力应该不大不至于引起尿外渗,应该是腹膜感染引起的,但楼主没有提及相关症状,腹膜及膀胱结核?患者白细胞5万(结核不至于这么高啊),脾脏增大,是不是有白血病?进一步检查。。[br][br][本贴已被 余辉 于 2009-4-3 10:29:18 修改过]
作者: zsl6918 时间: 2009-4-5 16:22
综合观察分析考虑恶性病变
作者: pujunzhi 时间: 2009-4-5 18:30
腹水,膀胱壁增厚,wbc5万,结合临床,支持感染性疾病---感染性腹膜炎、腹水,急性膀胱炎,败血症。期待结果。
作者: hguox 时间: 2009-4-6 01:10
下是引用余辉在2009-4-3 10:20:00的发言:
膀胱影像表现结合临床应该是急性膀胱炎症,但为什么有腹水呢?双肾输尿管无扩张,泌尿系压力应该不大不至于引起尿外渗,应该是腹膜感染引起的,但楼主没有提及相关症状,腹膜及膀胱结核?患者白细胞5万(结核不至于这么高啊),脾脏增大,是不是有白血病?进一步检查。。
| 欢迎光临 医影在线 (http://bbs.radida.com/bbs/) |
Powered by Discuz! X3.2 |