医影在线

标题: CT19204:求助:不明原因肺炎??? [打印本页]

作者: dr.whx    时间: 2009-4-4 05:15
标题: CT19204:求助:不明原因肺炎???
--------------------------------------------------------------------------------
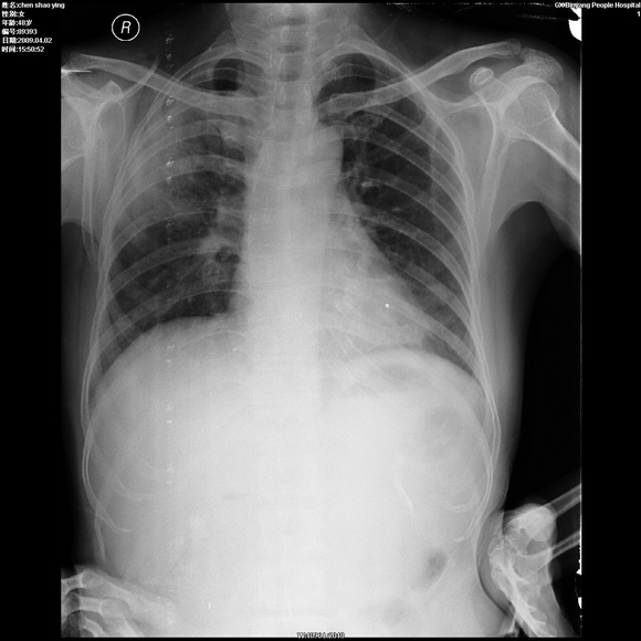
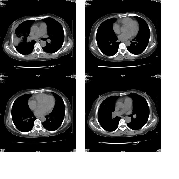
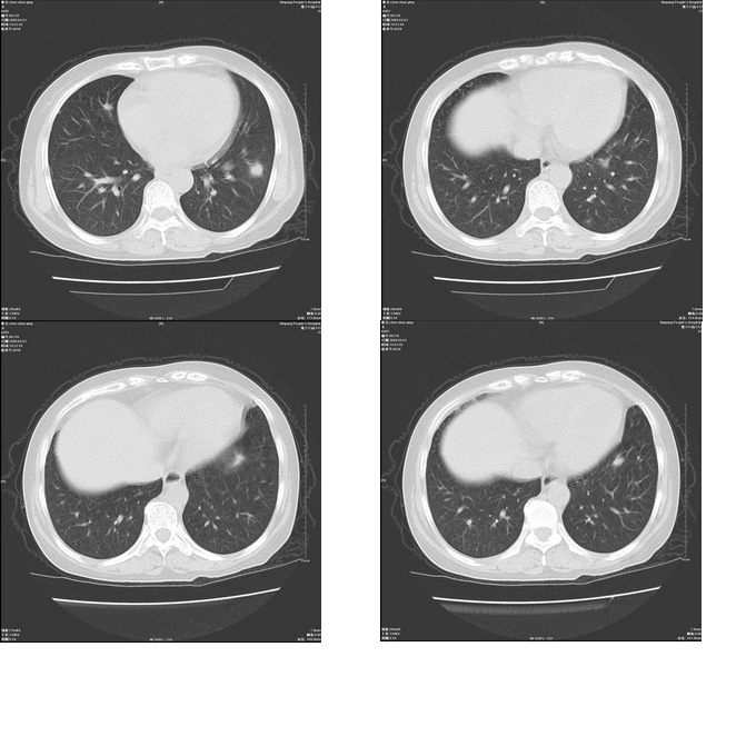
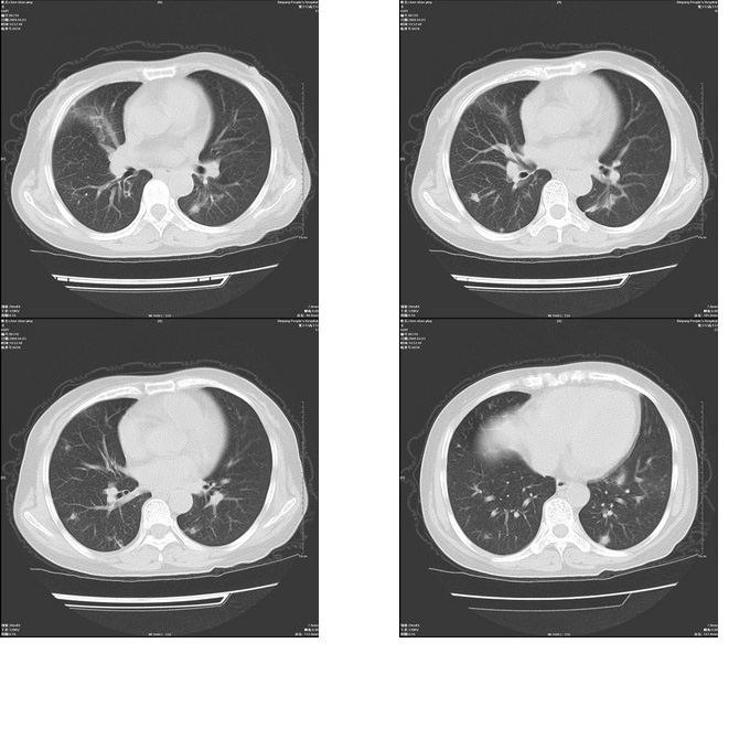
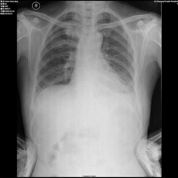
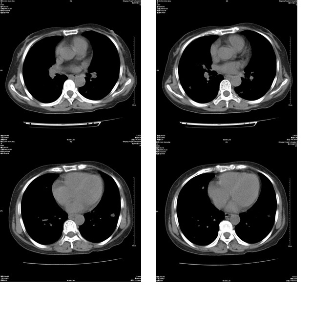
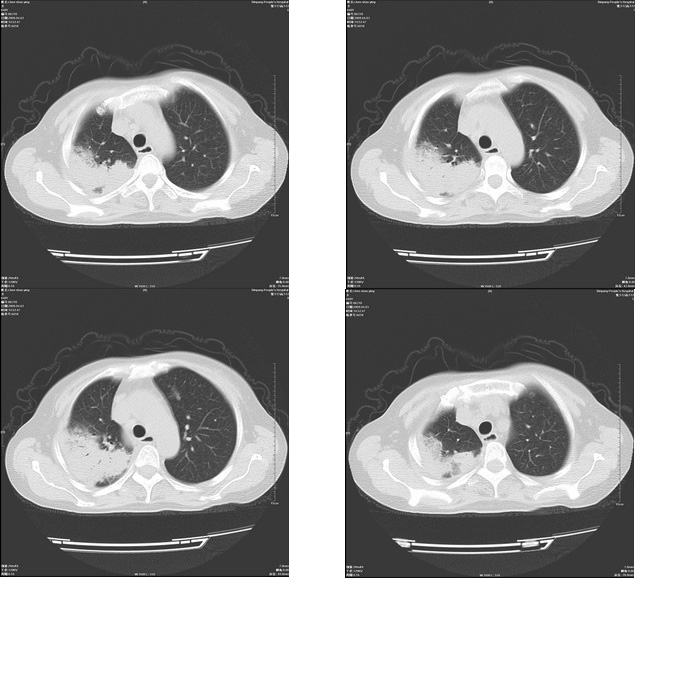
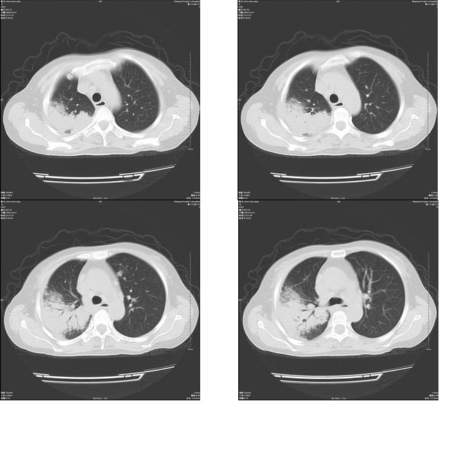
患者,女,48岁,发热伴陈发性咳嗽5天,偶尔痰中带血。体温约38°~40°;白细胞明显减低0.85x10的9次方/升。入院后抗炎、抗痨一周复查病灶明显进展。



















[本贴已被 jiajie 于 2009-4-4 9:07:48 修改过]

作者: dr.whx    时间: 2009-4-4 05:18
患者前后胸片如何发上
作者: zgb5618    时间: 2009-4-4 05:29
还是肺炎
作者: 子期    时间: 2009-4-4 05:37
感染性病变,倾向于结核,不完全排除肺炎杆菌感染。
作者: lyjccwjj    时间: 2009-4-4 05:53
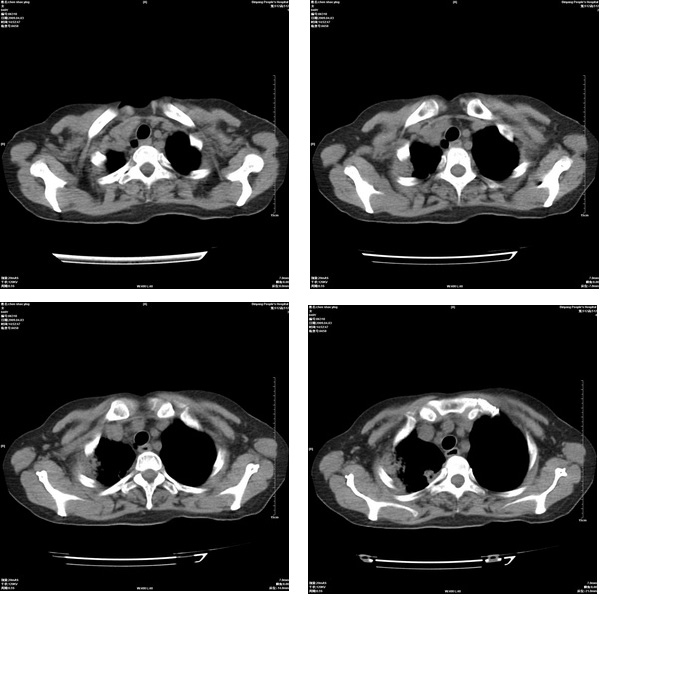
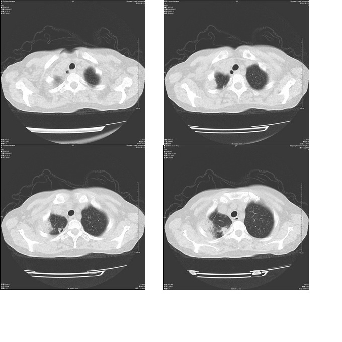
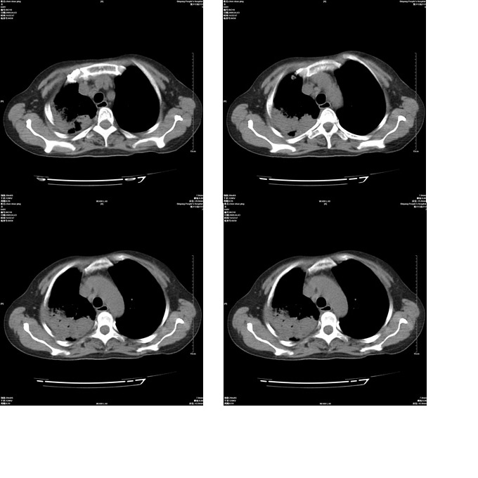
右上肺后段实变影,内见支气管气象,肺门未见软组织肿块,气管前方有肿大淋巴结。左下肺见多个类圆形结节影。考虑:1.右上肺后段大叶性肺炎,需进一步检查病原体种类,应多询问病史,条件许可考虑做纤支镜检查2.左下肺结节影性质待定
作者: dsl555    时间: 2009-4-4 06:35
右上肺后段实变影,内见支气管气象,肺门未见软组织肿块,气管前方有肿大淋巴结。左下肺见多个类圆形结节影。考虑:1.右上肺后段大叶性肺炎,需进一步检查病原体种类,应多询问病史,条件许可考虑做纤支镜检查2.左下肺结节影性质待定
作者: youyili    时间: 2009-4-4 06:36
右上肺炎 左侧支扩伴感染 结节影抗炎后复查
作者: 宇宙CT    时间: 2009-4-4 07:43
右上肺后段实变影,内见支气管气象,肺门未见软组织肿块,气管前方有肿大淋巴结。左下肺见多个类圆形结节影。考虑:1.右上肺后段大叶性肺炎,需进一步检查病原体种类,应多询问病史,条件许可考虑做纤支镜检查2.左下肺结节影性质待定
作者: pujunzhi    时间: 2009-4-4 08:32
考虑右上肺后段大叶性肺炎不除外结核,伴双肺结节播散灶,希定期复查。
作者: songyi    时间: 2009-4-4 14:59
右上肺后段实变影,内见支气管气象,肺门未见软组织肿块,气管前方有肿大淋巴结。左下肺见多个类圆形结节影。考虑:1.右上肺后段大叶性肺炎,需进一步检查病原体种类,应多询问病史,条件许可考虑做纤支镜检查2.左下肺结节影性质待定  
   

支持
作者: dr.whx    时间: 2009-4-4 15:43
问题是抗炎治疗一个星期后病灶进展。
作者: dyqct    时间: 2009-4-4 16:17
标题: 回复:求助:不明原因肺炎???
以下是引用lyjccwjj在2009-4-3 21:53:00的发言:[br]右上肺后段实变影,内见支气管气象,肺门未见软组织肿块,气管前方有肿大淋巴结。左下肺见多个类圆形结节影。考虑:1.右上肺后段大叶性肺炎,需进一步检查病原体种类,应多询问病史,条件许可考虑做纤支镜检查2.左下肺结节影性质待定

支持!
作者: muzi888    时间: 2009-4-4 17:01
右肺于酪性肺炎并左肺播散。
作者: shenhs    时间: 2009-4-4 17:04
支持右上肺后段大叶性肺炎
白细胞这么低病因方面我觉得不是很好的感染。
建议痰培养检菌+药敏试验.血项的进一步的检查或检骨髓.
白细胞的分类情况不知如何?
作者: 深泽交通    时间: 2009-4-4 17:20
考虑干酪性肺炎
作者: xupengjie    时间: 2009-4-4 19:13
}|
\\]\\;/
作者: 随光逐影    时间: 2009-4-4 19:21
考虑两肺继发性肺结核(右肺上叶干酪性肺炎?)。
作者: sxz2001    时间: 2009-4-4 23:29
1.右肺上叶考虑炎症,建议痰培养 2.左肺下叶结节性质待定
作者: 余辉    时间: 2009-4-4 23:49
肺部感染,患者白细胞那么低,什么病菌都有可能的,不知有何原发病,服用搞免疫制剂?爱滋/
作者: ayi    时间: 2009-4-5 03:36
考虑两肺继发性肺结核(右肺上叶干酪性肺炎)。
作者: dr.whx    时间: 2009-4-5 04:24
患者已做骨穿,节后做气管镜;有结果会上传。谢谢参与讨论。
作者: 光影相伴    时间: 2009-4-5 04:32
右肺干酪性肺炎并左肺播散。
作者: 黑白光影    时间: 2009-4-5 04:38
右肺于酪性肺炎并左肺播散。
作者: jinguoji    时间: 2009-4-6 04:08
考虑两肺继发性肺结核。
作者: 黄毛小子    时间: 2009-4-12 03:55
标题: 回复:ct19204:求助:不明原因肺炎???
以下是引用光影相伴在2009-4-4 20:32:00的发言:[br]右肺干酪性肺炎并左肺播散。

作者: gule    时间: 2009-4-12 04:35
支持
   右上肺后段实变影,内见支气管气象,肺门未见软组织肿块,气管前方有肿大淋巴结。左下肺见多个类圆形结节影。考虑:1.右上肺后段大叶性肺炎,需进一步检查病原体种类,应多询问病史,条件许可考虑做纤支镜检查2.左下肺结节影性质待定
作者: zgb5618    时间: 2009-4-14 04:54
期待结果
作者: 爱国    时间: 2009-5-2 06:46
还是双肺感染可能,
作者: chinanyd    时间: 2009-5-2 21:25
仍然倾向于结核的诊断,建议痰检查;期待结果。
作者: zbp537    时间: 2009-5-3 00:11
右肺片状实变影,左肺结节影,抗炎及抗捞治疗后病灶进展。
我考虑:不能除外肺炎型肺泡癌可能。建议查痰或活检。




欢迎光临 医影在线 (http://bbs.radida.com/bbs/) Powered by Discuz! X3.2