














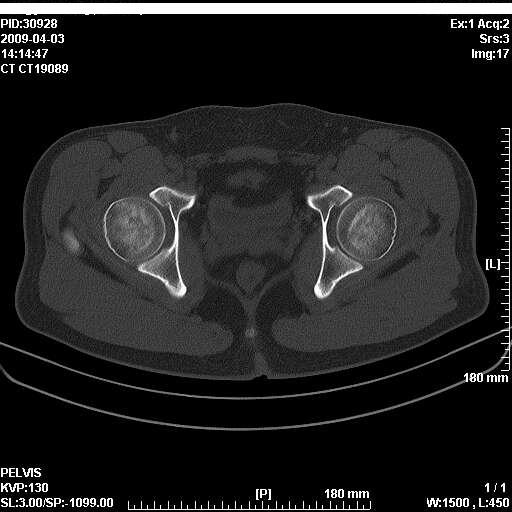
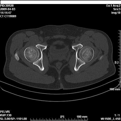
以下是引用随光逐影在2009-4-4 15:13:00的发言:[br]考虑双侧股骨头无菌性坏死;建议行mri检查进一步明确诊断。
以下是引用余辉在2009-4-4 14:22:00的发言:[br]双侧髋关节诸构成骨未见明显异常.必要时mr检查[br]患者症状已有两年,可能要同时从其他方面找原因,个人觉得不排除双侧骶髂关节有问题,建议ct检查
以下是引用随光逐影在2009-4-4 15:13:00的发言:[br]考虑双侧股骨头无菌性坏死;建议行mri检查进一步明确诊断。
| 欢迎光临 医影在线 (http://bbs.radida.com/bbs/) | Powered by Discuz! X3.2 |