医影在线
标题: X5565:男,50岁,吞咽阻塞感1月余。 [打印本页]
作者: jinguoji 时间: 2009-4-5 06:40
标题: X5565:男,50岁,吞咽阻塞感1月余。
(结果公布:http://www.radida.com/bbs/forum.php?mod=viewthread&tid=52851)




[本贴已被 jiajie 于 2009-5-4 21:15:14 修改过]
作者: 泪洒红尘 时间: 2009-4-5 06:58
考虑 :1、食道平滑肌瘤。2、食道癌(溃疡型)。
[本贴已被 泪洒红尘 于 2009-4-4 23:17:05 修改过]
作者: liangmufu168 时间: 2009-4-5 07:40
考虑 食道平滑肌瘤未排除食道癌(溃疡型)。
作者: 随光逐影 时间: 2009-4-5 16:07
考虑食管平滑肌瘤,不排除食管癌。
作者: qsbaomingcheng 时间: 2009-4-5 17:12
考虑食道癌,不除外平滑肌瘤
作者: 余辉 时间: 2009-4-5 17:39
标题: 回复:x5565:男,50岁,吞咽阻塞感1月余。
以下是引用qsbaomingcheng在2009-4-5 9:12:00的发言:[br]考虑食道癌,不除外平滑肌瘤
支持
作者: 代课学生 时间: 2009-4-5 17:56
髓质型食道癌。
作者: zsl6918 时间: 2009-4-5 17:57
考虑食道癌,不除外平滑肌瘤
作者: zengpingli 时间: 2009-4-5 19:04
标题: 回复:x5565:男,50岁,吞咽阻塞感1月余。
以下是引用代课学生在2009-4-5 9:56:00的发言:[br]髓质型食道癌。
作者: me13930865 时间: 2009-4-5 22:36
1、食道平滑肌瘤。2、食道癌(溃疡型)。
作者: hguox 时间: 2009-4-6 00:32
考虑食道癌,不除外平滑肌瘤,建议胃镜检查
作者: 杀毒软件 时间: 2009-4-6 00:47
标题: 回复:x5565:男,50岁,吞咽阻塞感1月余。
以下是引用qsbaomingcheng在2009-4-5 9:12:00的发言:[br]考虑食道癌,不除外平滑肌瘤
支持
作者: wangyong1977 时间: 2009-4-6 04:37
考虑食管平滑肌瘤,不排除食管癌。
作者: 水蓝色的 时间: 2009-4-6 04:39
1食道平滑肌瘤。2食道癌待排。
作者: 黑白光影 时间: 2009-4-6 04:48
考虑食道癌,不除外平滑肌瘤。
作者: sdynlxt2009 时间: 2009-4-6 04:53
平滑肌瘤可能性大,不排除食道癌(溃疡型)
作者: jiangguowu 时间: 2009-4-6 05:21
平滑肌瘤可能性大,不排除食道癌
作者: dyqct 时间: 2009-4-6 05:43
标题: 回复:x5565:男,50岁,吞咽阻塞感1月余。
以下是引用随光逐影在2009-4-5 8:07:00的发言:[br]考虑食管平滑肌瘤,不排除食管癌。
建议活检。
作者: LIAOQIANG 时间: 2009-4-6 22:35
考虑食管平滑肌瘤,不排除食管癌。
作者: 医盲 时间: 2009-4-6 23:41
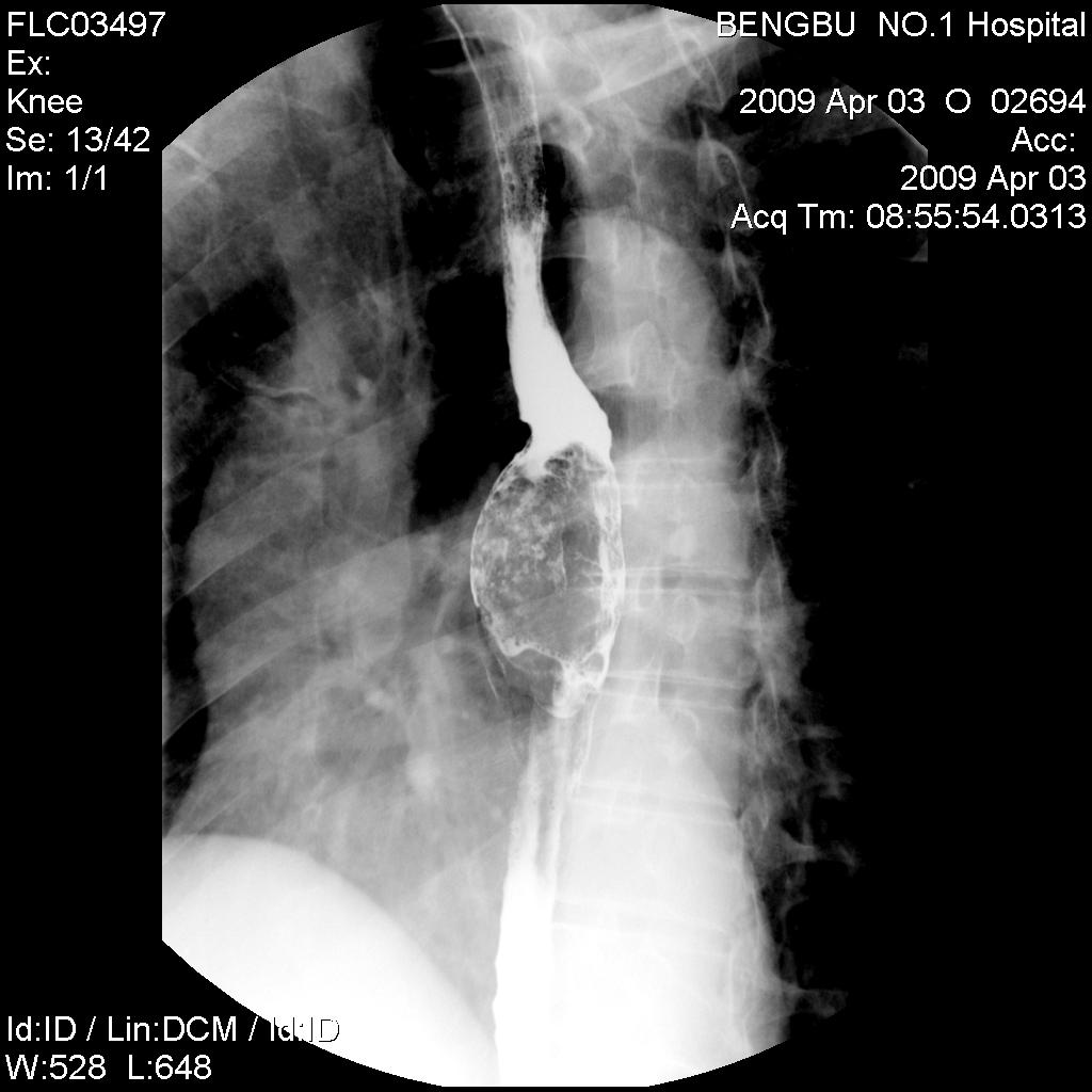
食管中下段椭圆形充盈缺损,钡剂呈分流尚通畅,粘膜未见明显中断,其上段未扩张。初步考虑食管平滑肌瘤。曾有一病例影像表现类同,结果似为未分化癌。
作者: shiqingfa 时间: 2009-4-7 02:47
考虑食道癌,不除外平滑肌瘤
作者: hexue 时间: 2009-4-7 03:41
食道癌可能性大,建议进一步检查.
作者: whzht 时间: 2009-4-7 03:41
食道异物也不能排除。
作者: xiazhuzhu 时间: 2009-4-7 05:08
标题: 回复:x5565:男,50岁,吞咽阻塞感1月余。
以下是引用liangmufu168在2009-4-4 23:40:00的发言:[br]考虑 食道平滑肌瘤未排除食道癌(溃疡型)。
作者: 谨言慎行 时间: 2009-4-7 06:10
标题: 回复:x5565:男,50岁,吞咽阻塞感1月余。
以下是引用随光逐影在2009-4-5 8:07:00的发言:[br]考虑食管平滑肌瘤,不排除食管癌。
作者: 当兵的 时间: 2009-4-7 06:58
食管中下段椭圆形充盈缺损,钡剂呈分流尚通畅,粘膜未见明显中断,其上段未扩张。初步考虑食管平滑肌瘤。
作者: 寻芳者 时间: 2009-4-7 07:45
首先考虑食管平滑肌瘤---------
作者: gaoyang8 时间: 2009-4-7 08:17
食管中下段椭圆形充盈缺损,边缘尚光滑,钡剂呈分流状通过块影,粘膜未见明显中断,管壁未见明显僵硬和缩窄改变。-----平滑肌瘤可能性大。
作者: dr.yang 时间: 2009-4-7 14:39
考虑食道癌,不除外平滑肌瘤,建议胃镜检查并活检。
作者: SUNBIN 时间: 2009-4-7 19:49
食道癌可能性大.食管平滑肌瘤待排.
作者: XIZHONG 时间: 2009-4-7 23:35
考虑食道癌,不除外平滑肌瘤
作者: jiangjing 时间: 2009-4-8 01:23
考虑 :1、食道平滑肌瘤。2、食道癌(溃疡型)。
作者: 小猫钓鱼 时间: 2009-4-17 17:41
诊断:食管中下段椭圆形充盈缺损,边缘清晰光滑,肿块表面钡剂涂布征,似见细小龛影,钡剂分流改变,患段官腔扩张度及柔软度尚好,无明显僵硬及狭窄,上段以上食管未见明显扩张及钡剂储留,考虑食管平滑肌瘤,未除外溃疡性食道癌,建议食管镜活检。
作者: 小猫钓鱼 时间: 2009-4-17 17:43
肿块呈腔内膨胀性生长,边缘光滑
作者: 奥特之父 时间: 2009-4-21 18:19
食管癌.
作者: jinguoji 时间: 2009-5-5 05:09
结果:食道癌。
作者: 黑白光影 时间: 2009-5-5 06:37
谢楼主反馈结果
作者: 泪洒红尘 时间: 2009-5-5 17:44
谢楼主反馈结果
作者: 王2008 时间: 2009-5-6 02:12
谢楼主反馈结果
作者: 杀毒软件 时间: 2009-5-6 02:58
谢楼主结果反馈!
作者: 随光逐影 时间: 2009-5-6 05:16
标题: 回复:x5565:男,50岁,吞咽阻塞感1月余。
以下是引用jinguoji在2009-5-4 21:09:00的发言:[br]结果:食道癌。
感谢楼主反馈结果,学习了。
作者: 拾荒者 时间: 2009-5-6 06:28
谢谢楼主反馈结果!应该是髓质型,不只考虑溃疡型的战友诊断依据是什么?
作者: 影像孺子牛 时间: 2009-5-6 06:40
感谢楼主反馈结果,学习了。
作者: zhanggenliang 时间: 2009-5-6 06:52
食道癌,学习了
作者: 影像之路 时间: 2009-5-6 07:28
感谢楼主反馈结果,学习了
作者: songyi 时间: 2009-5-6 18:26
感谢楼主反馈结果,学习了
作者: 张辉9999 时间: 2009-5-6 21:57
考虑食管平滑肌瘤,不排除食管癌。
作者: shibing 时间: 2014-6-1 09:17
考虑食道癌,不除外平滑肌瘤
| 欢迎光临 医影在线 (http://bbs.radida.com/bbs/) |
Powered by Discuz! X3.2 |