医影在线

标题: PED1829:女,11岁,腰痛,腰部活动受限10余天 [打印本页]

作者: yangrt    时间: 2009-4-5 21:20
标题: PED1829:女,11岁,腰痛,腰部活动受限10余天
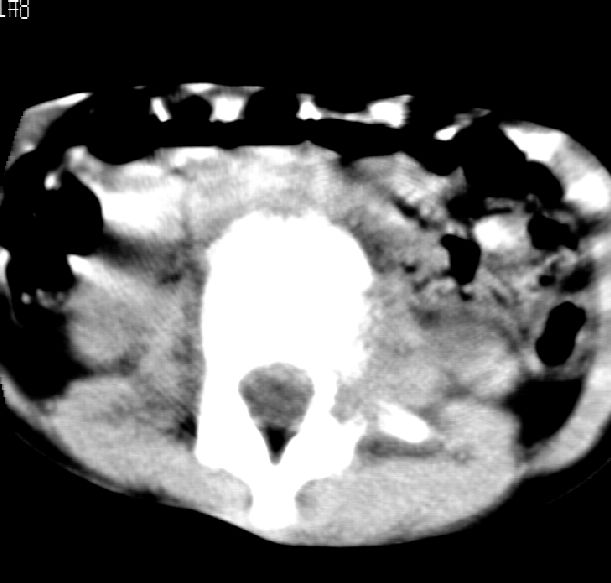
患儿女,11岁,因“腰痛,腰部活动受限10余天”入院。
10余天前,患儿无明诱因出现腰部疼痛,为持续性钝痛,以右侧为著,伴腰部活动受限,有发热,具体体温不详,无寒战、黄疸、盗汗、咳嗽,无尿频、尿急、肉眼血尿。
查:t37.8℃ bp100/60mmhg,心肺腹(-),腰部活动受限,腰椎旁有压痛,双下肢不肿,神经系统检查未见异常。
辅查:血生化未见异常。抗“o” 阳性,类风湿因子阴性,血常规:n79.3%
l 16.9% esr 28mm/h,作腹部b超未见异常,胸片未见异常。














[本贴已被 jiajie 于 2009-4-5 20:52:17 修改过]

作者: zsl6918    时间: 2009-4-5 21:54
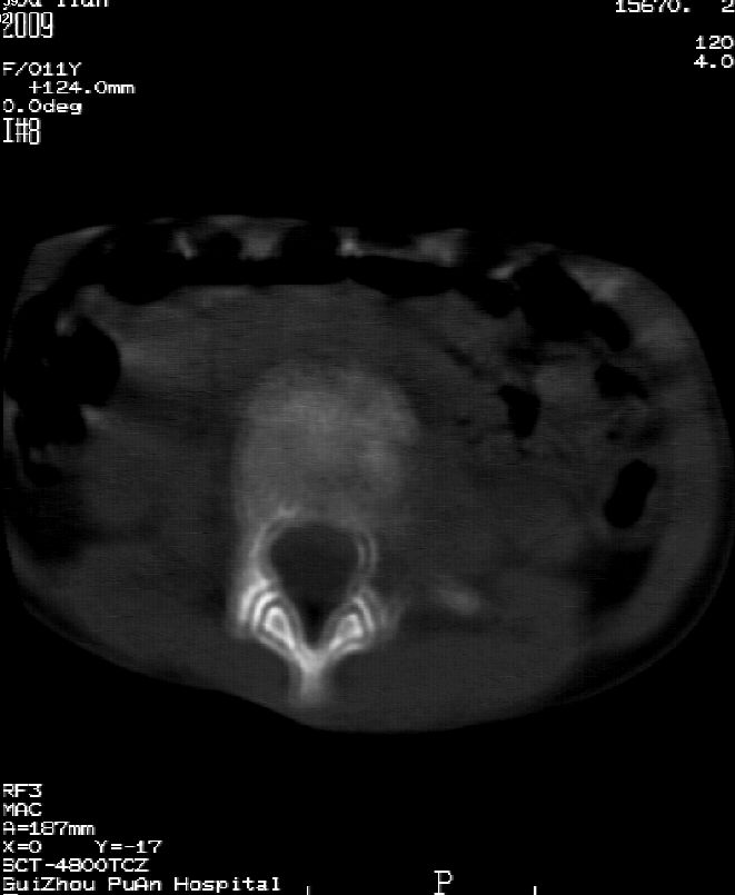
乍一看像是嗜酸性肉芽肿,但看到ct表现骨质破坏及软组织肿胀考虑结核可能性大,鉴别恶性肿瘤.
作者: 余辉    时间: 2009-4-5 23:48
本例ct图像太不清楚了,而且不知道有没有传完,如果软组织病变只局限性于那几个层面的话多考虑嗜酸性肉芽肿,其次为其他肿瘤,结核椎旁软组织较广泛,在本例没有太典型表现,建议楼主(孩子父母吧)把所有的软组织窗图像(白色的那种)按顺序全部转上来.
作者: dyqct    时间: 2009-4-6 05:50
支持嗜酸性肉芽肿。建议定期复查。
作者: 黑白光影    时间: 2009-4-6 06:12
支持嗜酸性肉芽肿。建议定期复查。
作者: 子期    时间: 2009-4-6 06:19
考虑结核可能性大。
作者: yangrt    时间: 2009-4-6 07:15
所有的片子我都已经传上来了
作者: 随光逐影    时间: 2009-4-6 20:38
考虑l3嗜酸性肉芽肿。
作者: 杀毒软件    时间: 2009-4-7 04:32
嗜酸性肉芽肿
作者: LIAOQIANG    时间: 2009-4-7 17:33
支持考虑嗜酸性肉芽肿。建议定期复查。
作者: SUNBIN    时间: 2009-4-7 23:37
考虑嗜酸性肉芽肿.定期复查.
作者: zhangxiangjun    时间: 2009-4-8 06:39
支持嗜酸性肉芽肿。建议定期复查。余版主 写的很详细啦  谢谢啦!




欢迎光临 医影在线 (http://bbs.radida.com/bbs/) Powered by Discuz! X3.2