医影在线
标题: CT19230:已做增强 [打印本页]
作者: lds 时间: 2009-4-6 00:03
标题: CT19230:已做增强
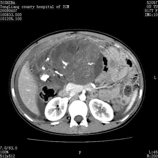
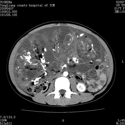
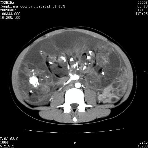
女,17岁,腹胀1月,b超示腹腔内巨大占位病变,腹水;
ct示腹腔内不均匀软组织肿块影,可见多数钙化灶(ct值400--800).周围肠管推移.

[本贴已被 jiajie 于 2009-4-5 18:53:30 修改过]














[本贴已被 lds 于 2009-4-7 17:06:34 修改过]
[本贴已被 lds 于 2009-4-8 9:02:08 修改过]
[本贴已被 lds 于 2009-4-8 9:03:18 修改过]
作者: zsl6918 时间: 2009-4-6 00:35
建议强化后上传大片子观察.
作者: 余辉 时间: 2009-4-6 00:40
畸胎瘤?淋巴管瘤?
作者: 随光逐影 时间: 2009-4-6 00:55
1)考虑腹腔巨大畸胎瘤。2)腹水。
作者: 杀毒软件 时间: 2009-4-6 01:04
标题: 回复:腹腔巨大占位病变
以下是引用随光逐影在2009-4-5 16:55:00的发言:[br]1)考虑腹腔巨大畸胎瘤。2)腹水。
支持
作者: dsl555 时间: 2009-4-6 01:05
支持 1)考虑腹腔巨大畸胎瘤。2)腹水。
作者: jzm961225 时间: 2009-4-6 01:18
结核不能完全排除
作者: dsl555 时间: 2009-4-6 01:36
结核不能完全排除
作者: SOS.LA 时间: 2009-4-6 01:37
考虑腹腔恶性生殖细胞瘤.
作者: ct诊断高手 时间: 2009-4-6 02:23
支持 1)考虑腹腔巨大畸胎瘤。2)腹水。
作者: 看图说话 时间: 2009-4-6 03:04
先考虑恶性畸胎瘤可能,腹水;是否有结核不敢否定,建议强化后上传大片子观察及询问病史。
作者: jinguoji 时间: 2009-4-6 03:48
标题: 回复:ct19230:腹腔巨大占位病变
以下是引用随光逐影在2009-4-5 16:55:00的发言:[br]1)考虑腹腔巨大畸胎瘤。2)腹水。
作者: chenqiong 时间: 2009-4-6 03:49
支持 1)考虑腹腔巨大畸胎瘤。2)腹水。
作者: huiyan 时间: 2009-4-6 04:12
所传图片较小,病灶细节显示欠佳,建议上传大图片观察讨论。
作者: xulianj 时间: 2009-4-6 04:14
建议增强,且作全腹扫描。
作者: zjb 时间: 2009-4-6 04:14
1)考虑腹腔巨大畸胎瘤。2)腹水。
作者: wangcxyisheng 时间: 2009-4-6 04:30
巨大奇台瘤
作者: lirenxiong 时间: 2009-4-6 04:43
包虫?
作者: zjzjr 时间: 2009-4-6 04:48
1)考虑腹腔巨大畸胎瘤。2)腹水。
作者: jiangguowu 时间: 2009-4-6 04:59
考虑腹腔恶性生殖细胞瘤.
作者: 黑白光影 时间: 2009-4-6 05:31
支持 1)考虑腹腔巨大畸胎瘤。2)腹水。
作者: dyqct 时间: 2009-4-6 05:54
结核性腹膜炎?
作者: aka502 时间: 2009-4-6 16:42
支持 1)考虑腹腔巨大畸胎瘤。2)腹水。
作者: 深泽交通 时间: 2009-4-6 17:48
标题: 回复:ct19230:腹腔巨大占位病变
以下是引用随光逐影在2009-4-5 16:55:00的发言:[br]1)考虑腹腔巨大畸胎瘤。2)腹水。
作者: qxhxf 时间: 2009-4-6 19:26
支持 1)考虑腹腔巨大畸胎瘤。2)腹水。
作者: LIAOQIANG 时间: 2009-4-6 23:23
考虑腹腔巨大畸胎瘤,不除外腹腔结核。
作者: pujunzhi 时间: 2009-4-7 00:42
考虑 腹膜腔恶性肿瘤伴腹水,不除外结腹。
作者: HUENHAO 时间: 2009-4-7 02:49
考虑腹腔恶性生殖细胞瘤.
作者: 黄毛小子 时间: 2009-4-7 03:44
支持踦胎瘤
作者: wwh40 时间: 2009-4-7 10:17
建议强化后上传大片子观察.
作者: chinanyd 时间: 2009-4-7 14:30
考虑琦胎瘤或者结核病的可能性大
作者: lds 时间: 2009-4-8 01:10
增强后,肿块内软组织不均匀强化,病灶内钙化灶边缘可见脂肪密度,肿块有包膜.向下与达盆腔.
作者: ctkz987 时间: 2009-4-8 05:47
腹部巨大紊杂密度肿块,边界不清楚,内有密度不均的软组织,多发不均匀钙化,钙化周围可见脂肪密度影,腹腔内可见积液及肿块内亦见液密密度区.增强后肿块内实质部分不均匀强化.钙化灶边缘脂肪灶显示更清楚.肠腔明显受推移.考虑畸恶性胎瘤.
作者: 蓝星 时间: 2009-4-8 05:54
支持 1)考虑腹腔巨大畸胎瘤。2)腹水。
作者: lds 时间: 2009-4-8 17:06
标题: 回复:ct19230:已做增强
增强后,肿块内软组织不均匀强化,病灶内钙化灶边缘可见脂肪密度,肿块有包膜.向下与达盆腔.[/quote]考虑畸胎瘤,恶性可能性大.
作者: zsl6918 时间: 2009-4-8 18:13
考虑结核所致可能性大
| 欢迎光临 医影在线 (http://bbs.radida.com/bbs/) |
Powered by Discuz! X3.2 |