医影在线

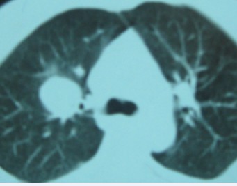
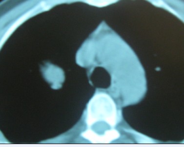
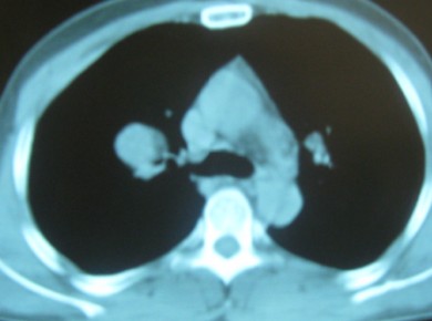
标题: CT192450:男37,自觉胸闷两月余 [打印本页]

作者: 张宝勤    时间: 2009-4-7 06:23
标题: CT192450:男37,自觉胸闷两月余












[本贴已被 jiajie 于 2009-4-7 14:01:09 修改过]

作者: bmw011    时间: 2009-4-7 06:32
炎性假瘤?
作者: ct诊断高手    时间: 2009-4-7 06:47
考虑动脉瘤
作者: pujunzhi    时间: 2009-4-7 06:55
右肺上叶良性肿瘤---错构瘤/硬化性血管瘤/炎性假瘤等。
作者: yanliu123654    时间: 2009-4-7 07:26
+c吧,像良性的
作者: wwh40    时间: 2009-4-7 08:46
考虑血管源性肿瘤,硬化性血管瘤可能性大;
不除外错构瘤。
作者: 卜一    时间: 2009-4-7 13:10
右肺上叶良性肿瘤---错构瘤/硬化性血管瘤/炎性假瘤等。支持!
作者: 吴承学    时间: 2009-4-7 14:35
标题: 回复:患者,男37,自觉胸闷两月余
以下是引用pujunzhi在2009-4-6 22:55:00的发言:[br]右肺上叶良性肿瘤---错构瘤/硬化性血管瘤/炎性假瘤等。

作者: 随光逐影    时间: 2009-4-7 16:11
支持 右肺上叶良性肿瘤---错构瘤/硬化性血管瘤/炎性假瘤等。
作者: ydx_74    时间: 2009-4-7 17:28
硬化性血管瘤
作者: LIAOQIANG    时间: 2009-4-7 17:31
考虑右肺上叶良性肿瘤(硬化性血管瘤?炎性假瘤?)。
作者: SUNBIN    时间: 2009-4-7 17:31
良性肿瘤可能性大,血管瘤?
作者: 深泽交通    时间: 2009-4-7 17:34
边缘有毛刺,考虑癌
作者: songyi    时间: 2009-4-7 17:55
支持 右肺上叶良性肿瘤---错构瘤/硬化性血管瘤/炎性假瘤等。
作者: zjzjr    时间: 2009-4-7 20:51
硬化性血管瘤  可能性大,建议增强
作者: 黑白光影    时间: 2009-4-7 21:36
标题: 回复:患者,男37,自觉胸闷两月余
以下是引用pujunzhi在2009-4-6 22:55:00的发言:[br]右肺上叶良性肿瘤---错构瘤/硬化性血管瘤/炎性假瘤等。

作者: gyh6308    时间: 2009-4-7 22:17
多为良性,结核瘤?建议治疗一疗程复查ct
作者: jiangjing    时间: 2009-4-8 00:54
右肺上叶良性新生物---炎性假瘤或结核球/错构瘤/硬化性血管瘤等
作者: 杀毒软件    时间: 2009-4-8 02:17
癌也不能除外
作者: huenhao    时间: 2009-4-8 03:40
右肺上叶良性肿瘤
作者: xulianj    时间: 2009-4-8 04:58
建议增强!




欢迎光临 医影在线 (http://bbs.radida.com/bbs/) Powered by Discuz! X3.2