




12








22






30



35



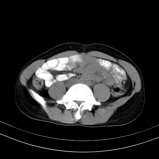
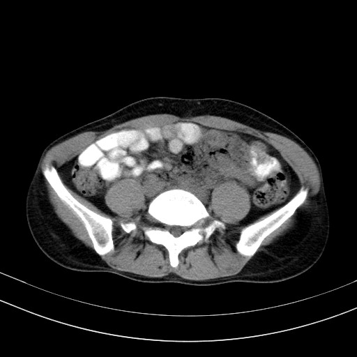
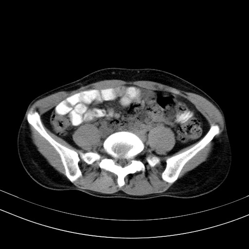
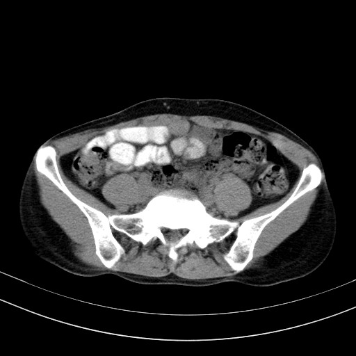
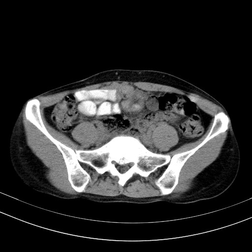
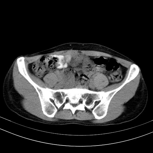
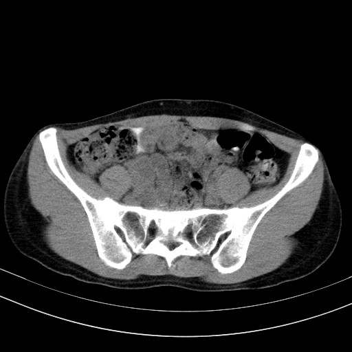
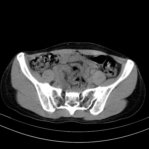
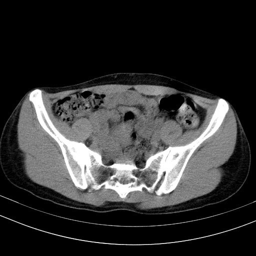
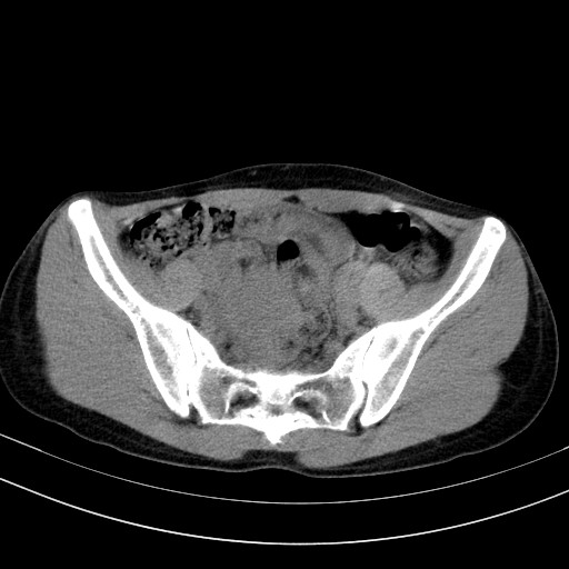
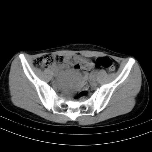
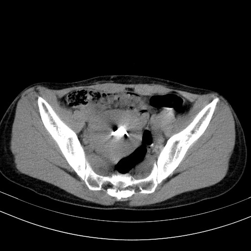
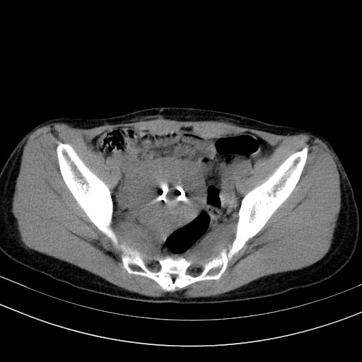
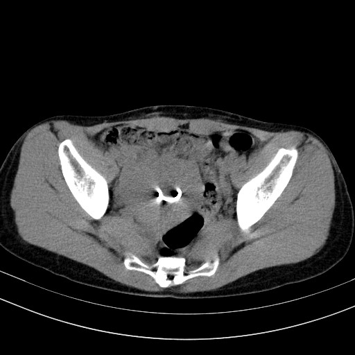
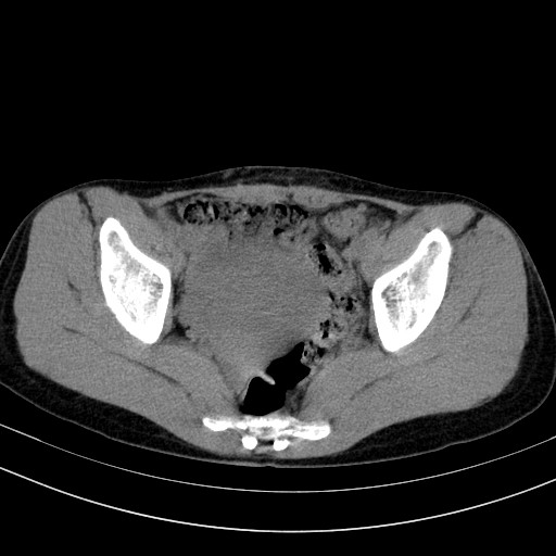
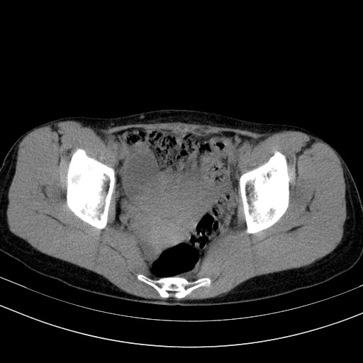
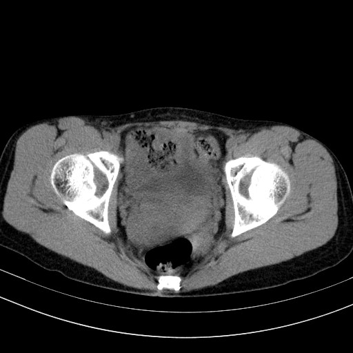
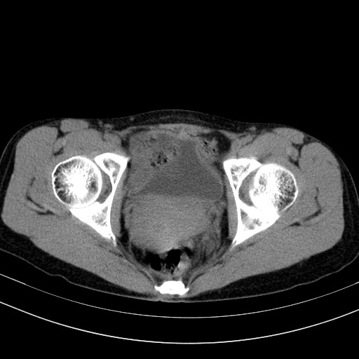
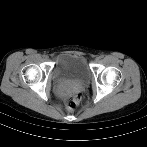
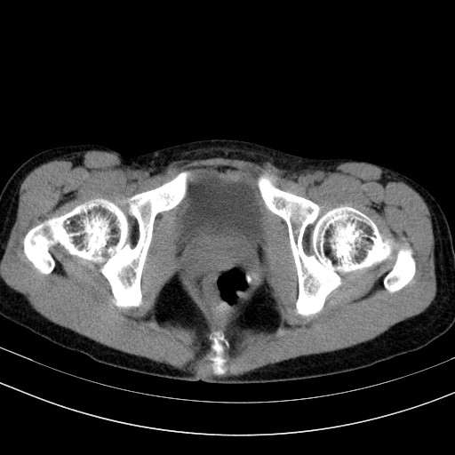
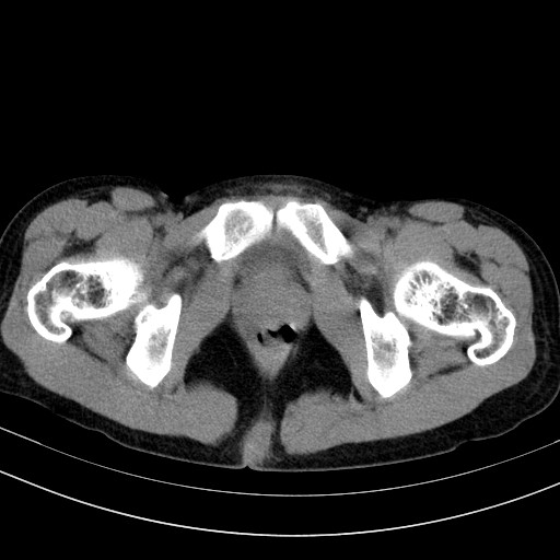
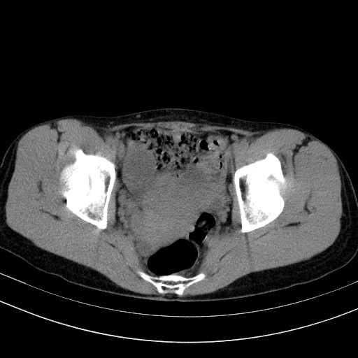
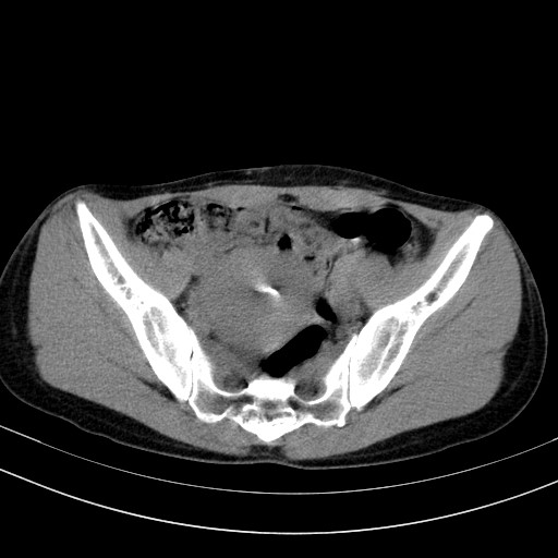
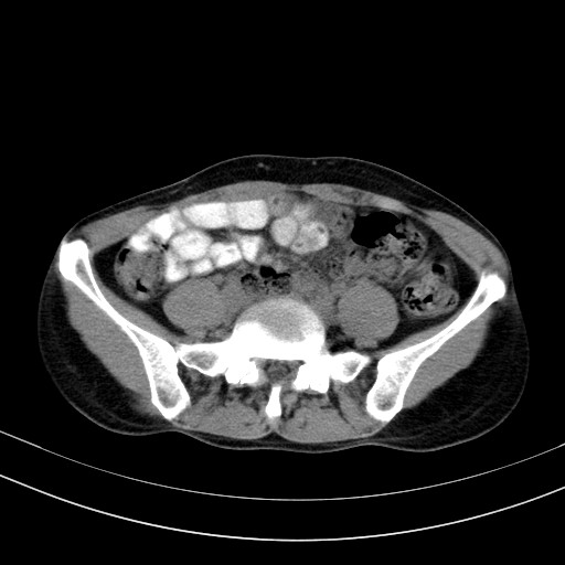
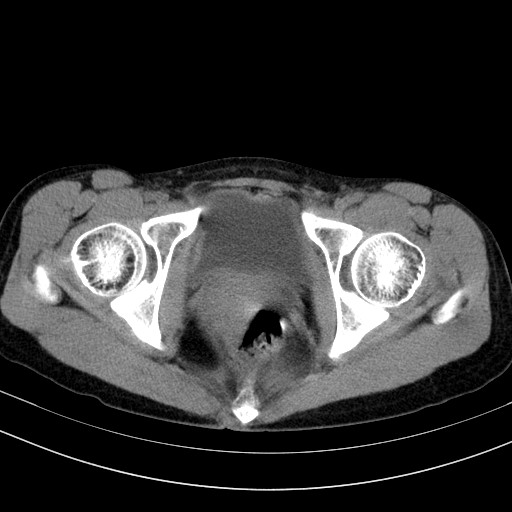
以下是引用卜一在2009-4-7 5:08:00的发言:[br]宫颈癌可能。支持!
以下是引用随光逐影在2009-4-7 8:17:00的发言:[br]考虑宫颈占位性病变(宫颈癌?);建议行进一步检查。
以下是引用jiangjing在2009-4-7 16:46:00的发言:[br]宫颈增大,结构不清,右侧附件区可疑囊样占位,建议增强及mri 检查
| 欢迎光临 医影在线 (http://bbs.radida.com/bbs/) | Powered by Discuz! X3.2 |