

































































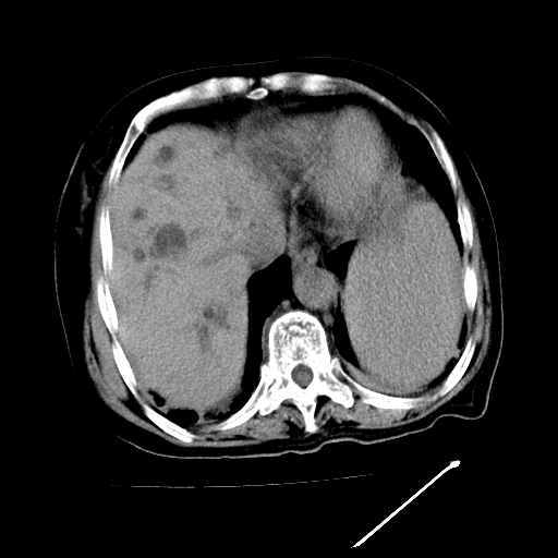
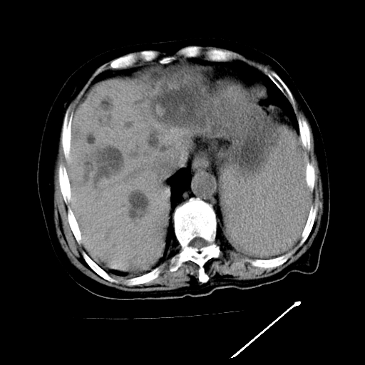
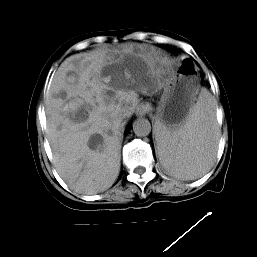
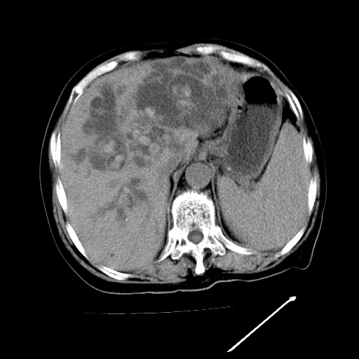
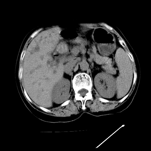
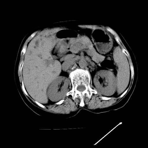
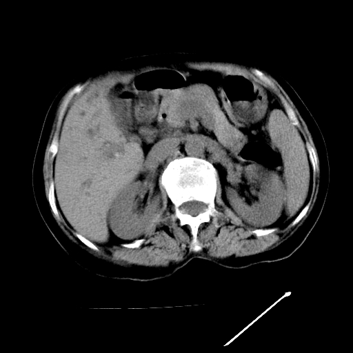
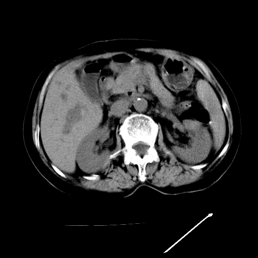
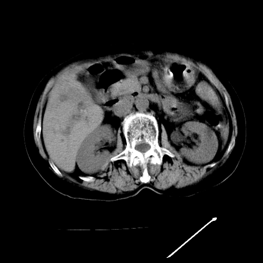
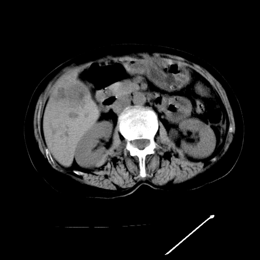
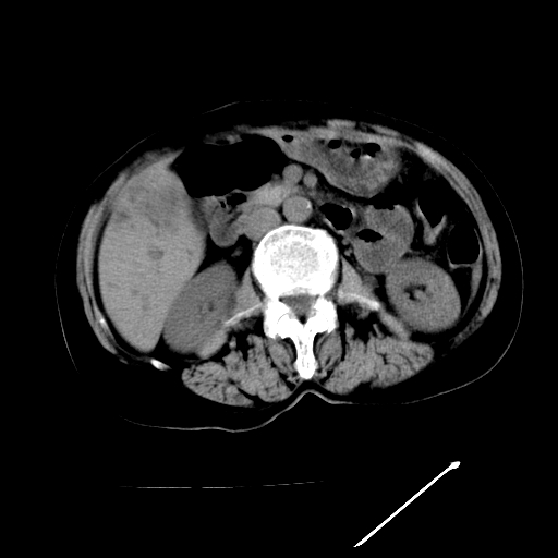
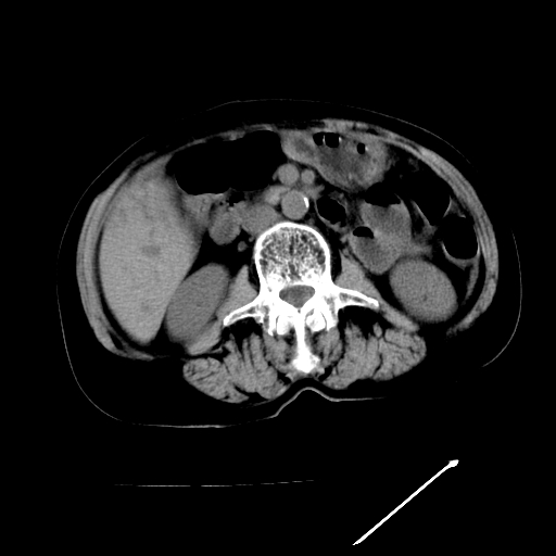
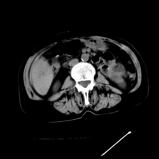
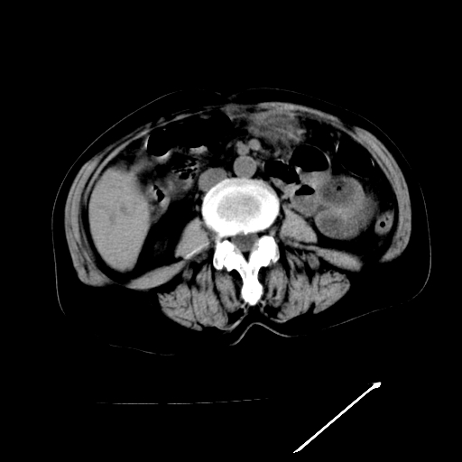
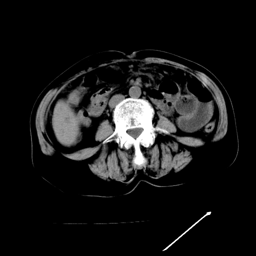
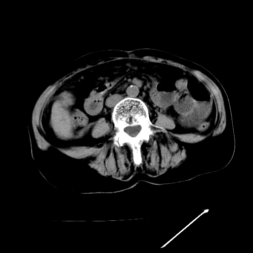
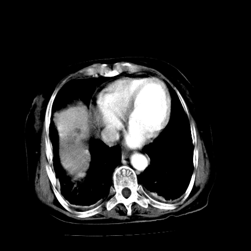
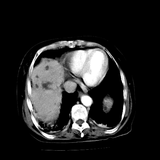
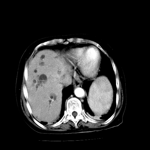
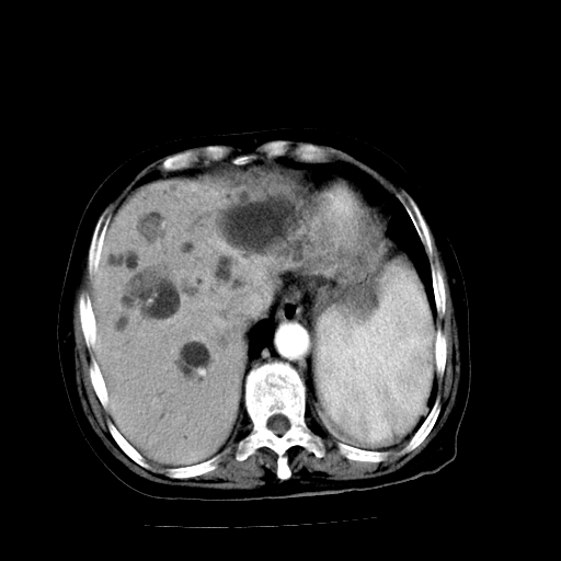
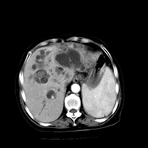
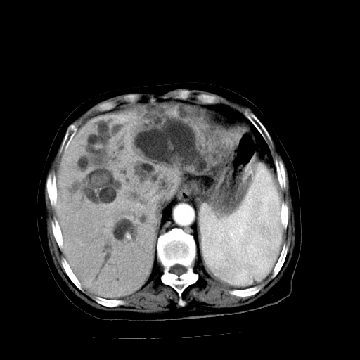
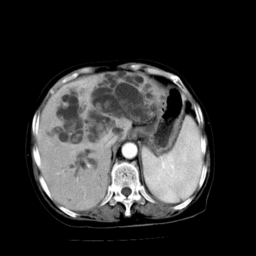
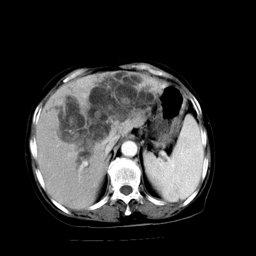
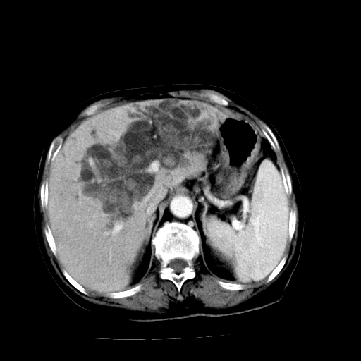
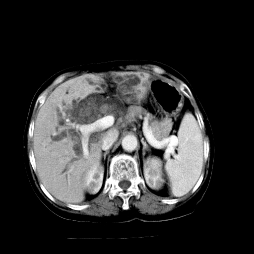
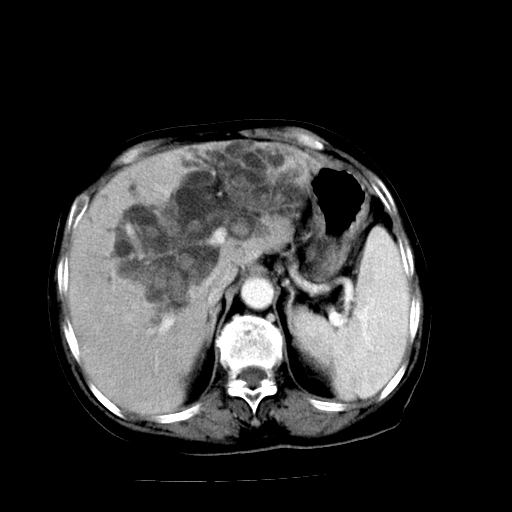
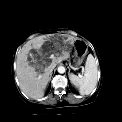
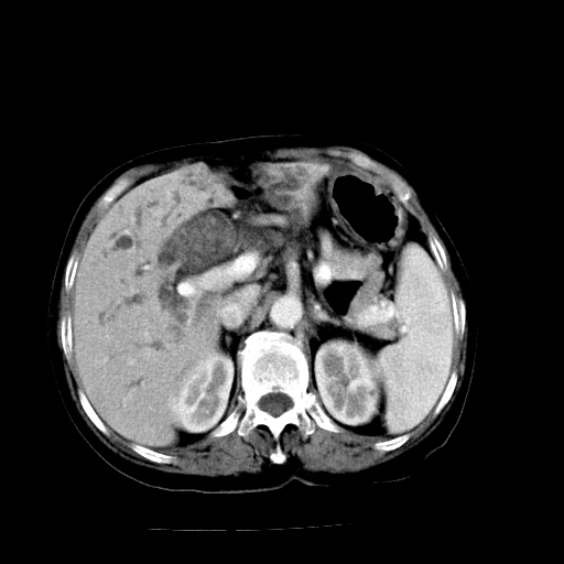
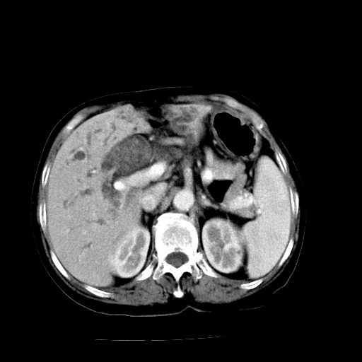
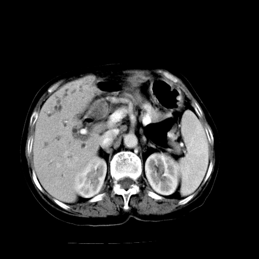
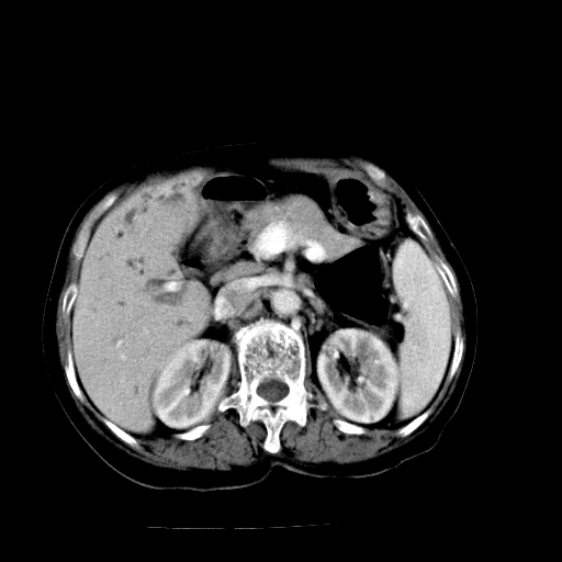
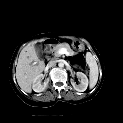
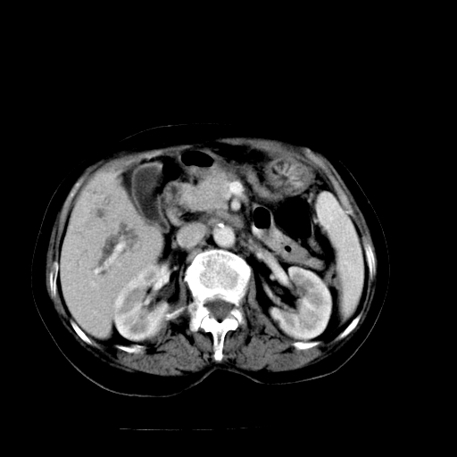
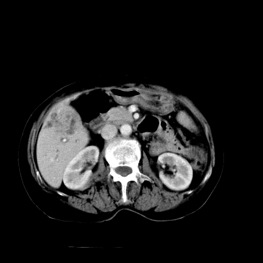
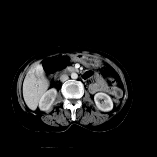
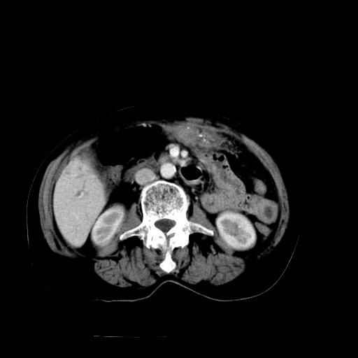
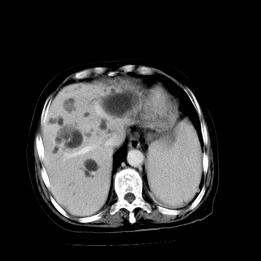
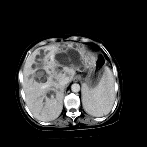
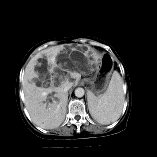
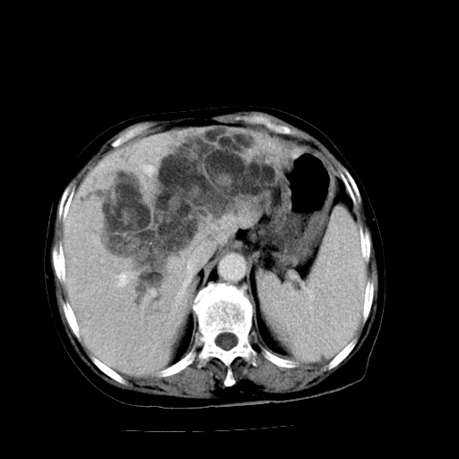
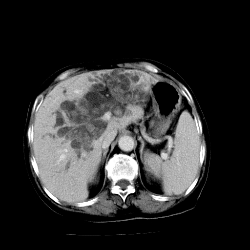
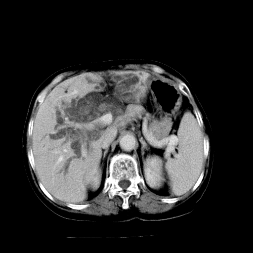
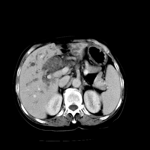
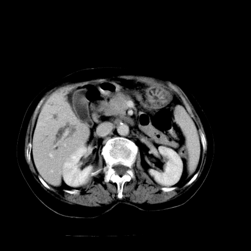
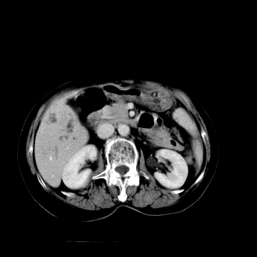
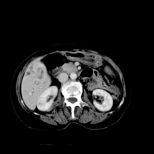
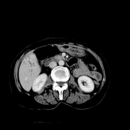
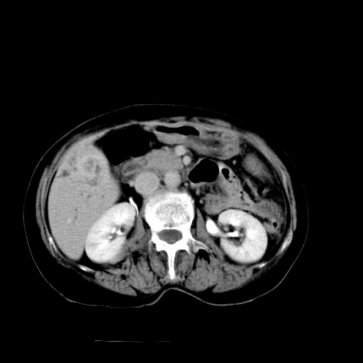
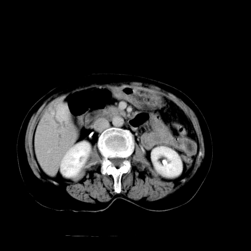
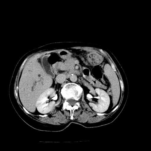
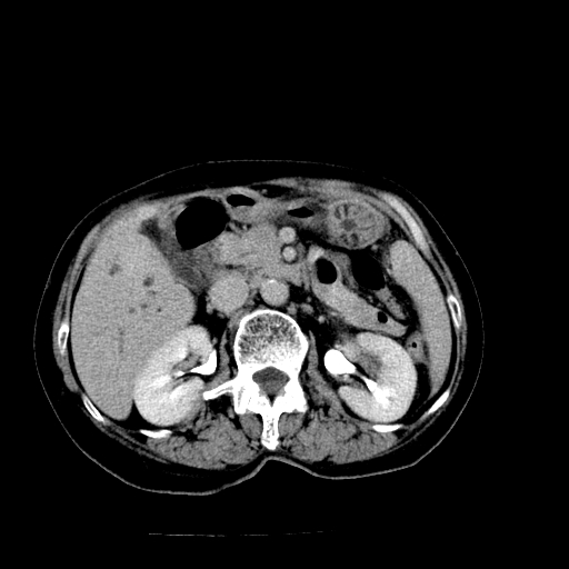
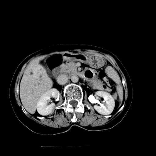
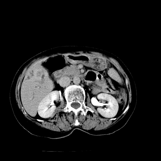
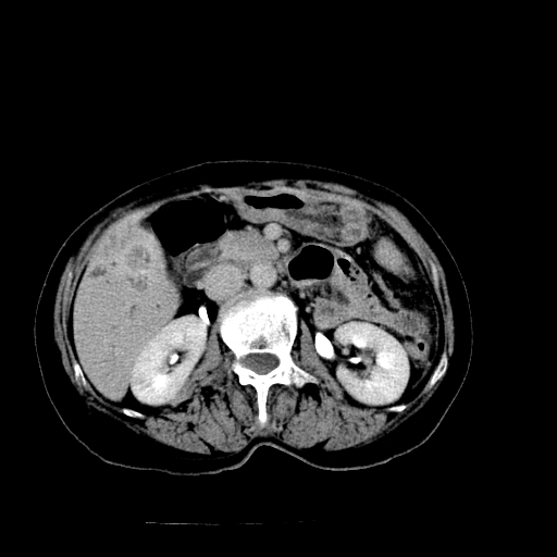
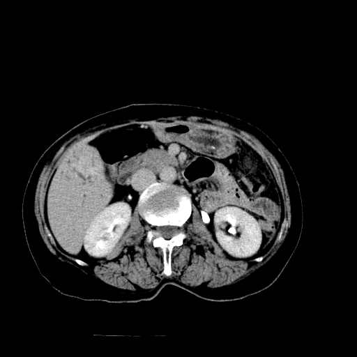
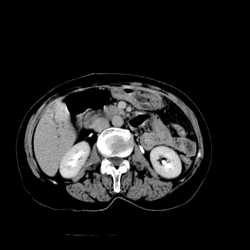
以下是引用卜一在2009-4-7 5:06:00的发言:[br]左右肝内胆管结石伴扩张合并胆系感染;不除外胆管细胞癌可能。支持! [br] [br]
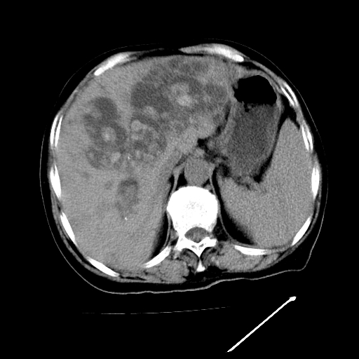
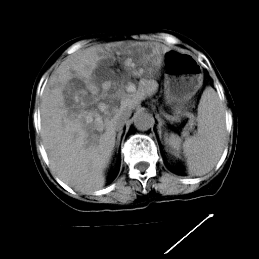
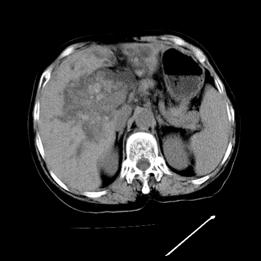
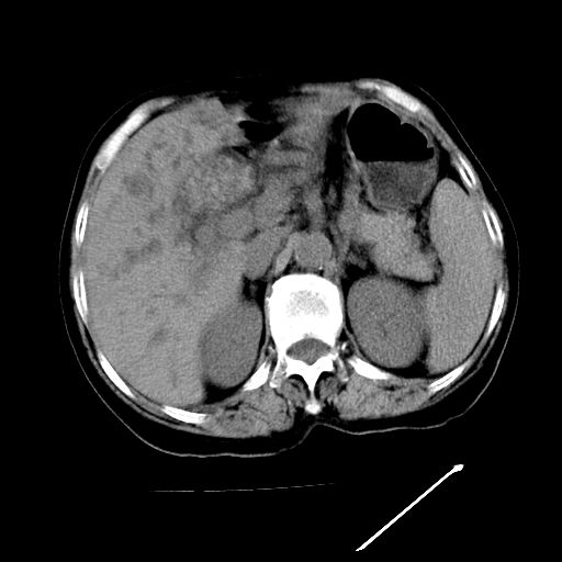
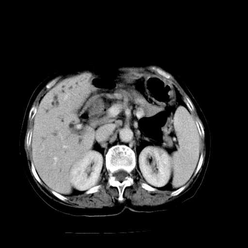
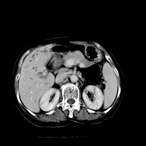
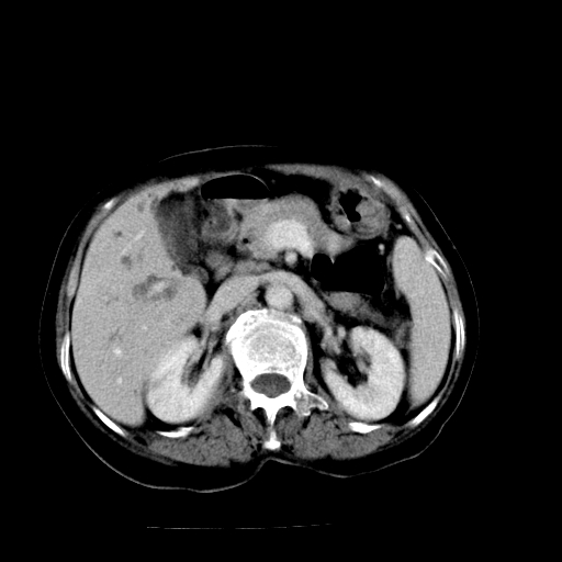
以下是引用随光逐影在2009-4-7 8:21:00的发言:[br]肝内外胆管多发性结石并肝内外胆管扩张;胆系感染。
以下是引用随光逐影在2009-4-7 8:21:00的发言:[br]肝内外胆管多发性结石并肝内外胆管扩张;胆系感染。
| 欢迎光临 医影在线 (http://bbs.radida.com/bbs/) | Powered by Discuz! X3.2 |