





































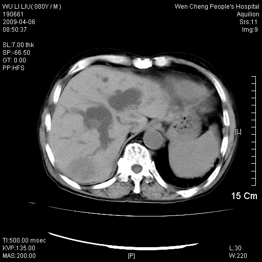
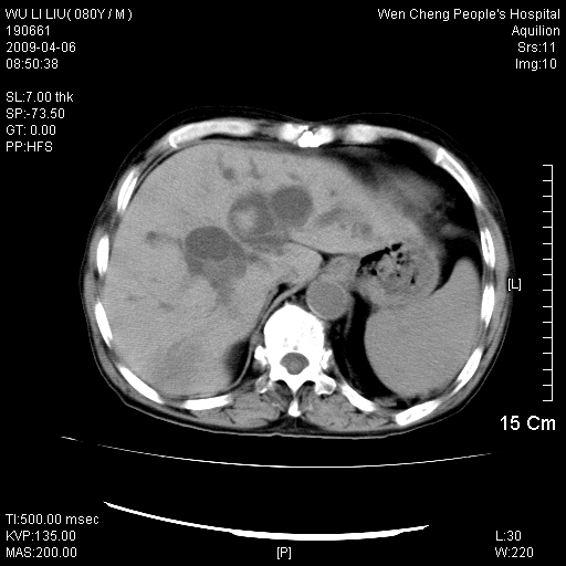
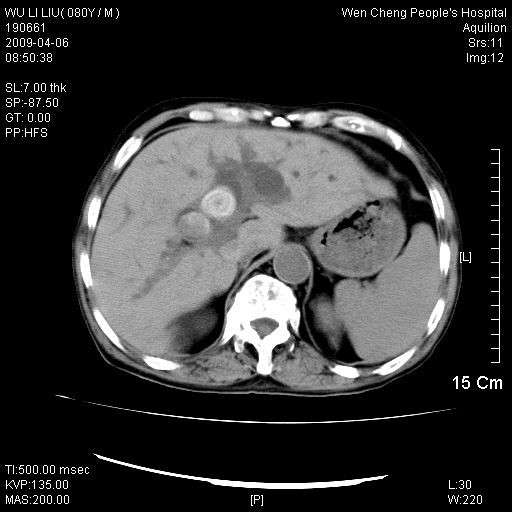
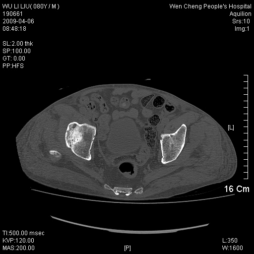
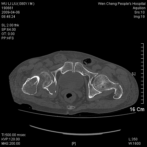
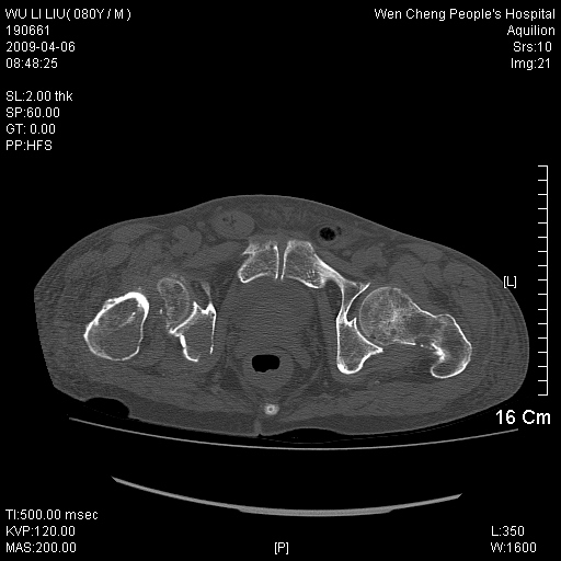
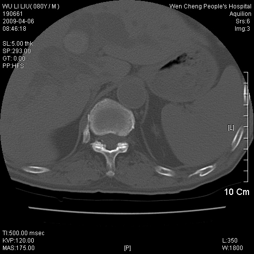
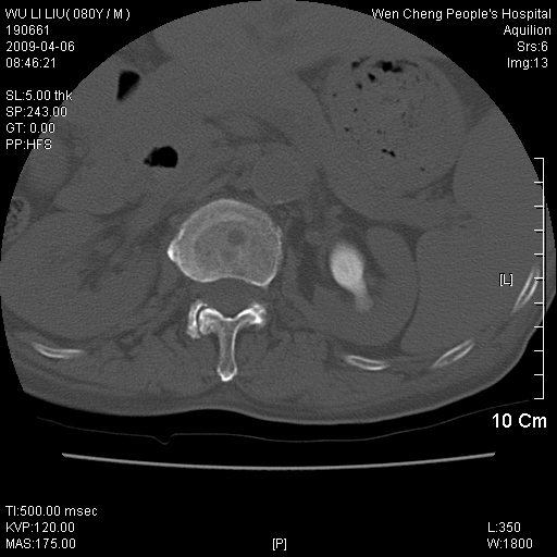
以下是引用zjzjr在2009-4-7 12:13:00的发言:[br]支持多发性转移瘤,右股骨颈骨折,腰椎亦有压缩性骨折.肝内胆管结石伴胆内外胆管扩张,左肾结石.
以下是引用liaoqiang在2009-4-7 8:44:00的发言:[br]考虑多发性骨髓瘤伴肝肺转移、肝内胆管结石、左肾结石、右股骨颈骨折。
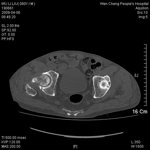
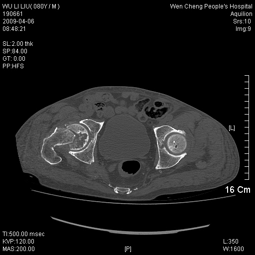
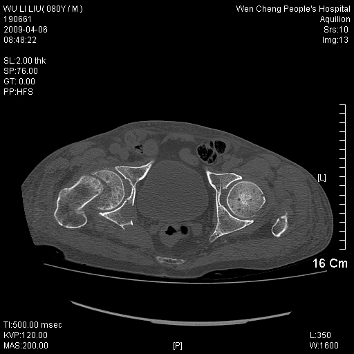
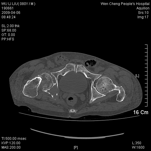
以下是引用余辉在2009-4-7 8:52:00的发言:[br]椎骨及骨盆骨质疏松,骨破坏主要累及椎体,各骨破坏较广泛,各病灶边缘均较清晰锐利,血沉增快,白细胞增高.支持考虑多发骨髓瘤,建议查本尿周氏蛋白.[br]胆内胆管及左肾结石[br]右股骨颈骨折,考虑病理性
| 欢迎光临 医影在线 (http://bbs.radida.com/bbs/) | Powered by Discuz! X3.2 |