






















































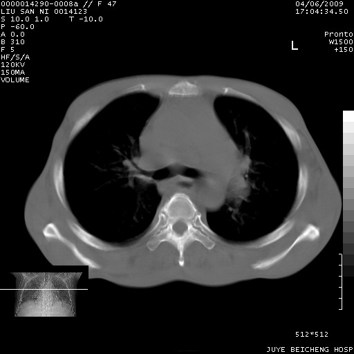
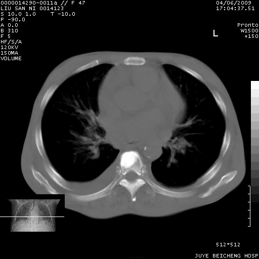
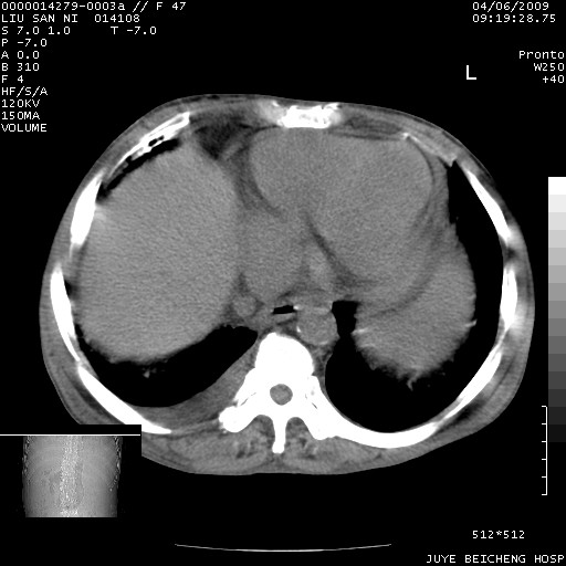
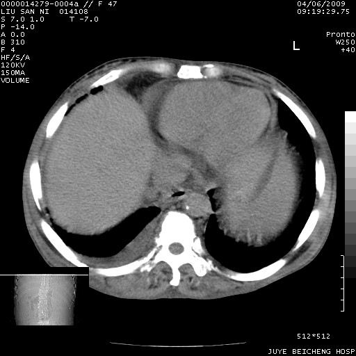
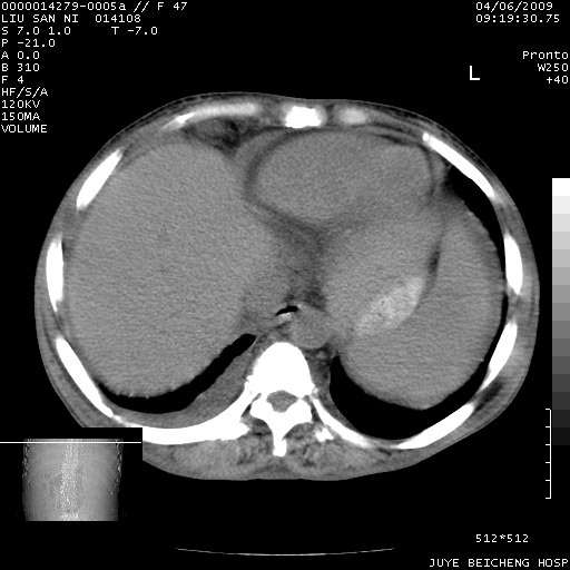
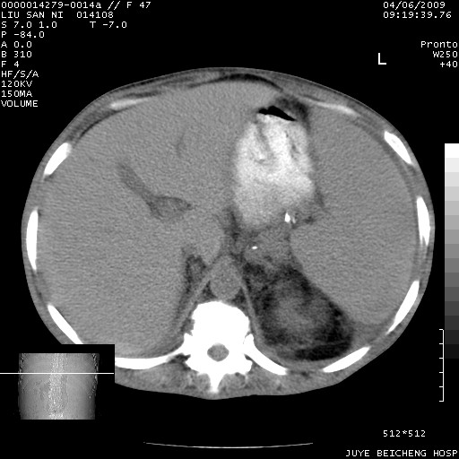
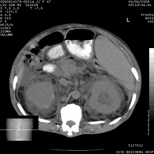
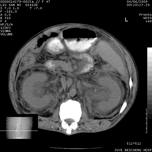
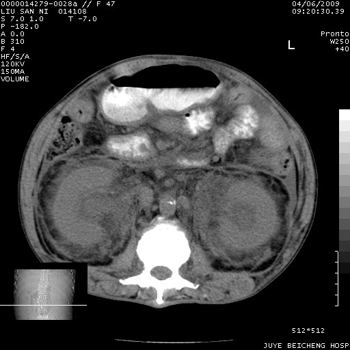
以下是引用前行在2009-4-7 10:31:00的发言:[br]肝脾肿大;双肾增大,双肾盂少量积水可能,肾膜膜增厚,肾周间隙增宽,并见桥间隔,提示结缔组系统疾病、系统性红瘢狼疮肾可能性大。继发右侧胸腔、心包、腹腔积液。
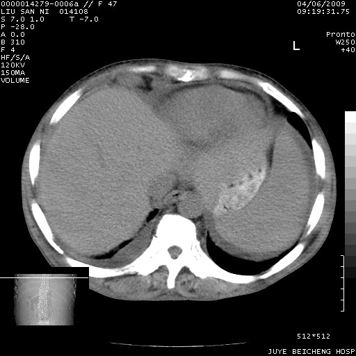
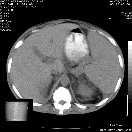
以下是引用前行在2009-4-7 10:31:00的发言:[br]肝脾肿大;双肾增大,双肾盂少量积水可能,肾膜膜增厚,肾周间隙增宽,并见桥间隔,提示结缔组系统疾病、系统性红瘢狼疮肾可能性大。继发右侧胸腔、心包、腹腔积液。
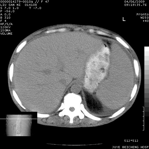
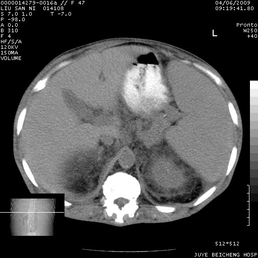
以下是引用前行在2009-4-7 10:31:00的发言:[br]肝脾肿大;双肾增大,双肾盂少量积水可能,肾膜膜增厚,肾周间隙增宽,并见桥间隔,提示结缔组系统疾病、系统性红瘢狼疮肾可能性大。继发右侧胸腔、心包、腹腔积液。
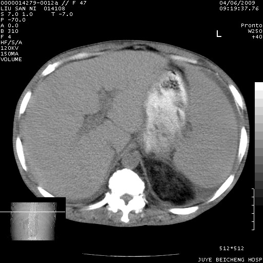
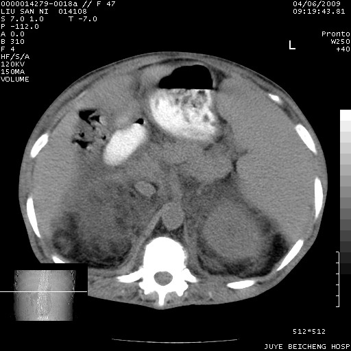
以下是引用前行在2009-4-7 10:31:00的发言:[br]肝脾肿大;双肾增大,双肾盂少量积水可能,肾膜膜增厚,肾周间隙增宽,并见桥间隔,提示结缔组系统疾病、系统性红瘢狼疮肾可能性大。继发右侧胸腔、心包、腹腔积液。
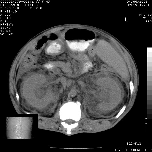
以下是引用深泽交通医院在2009-4-7 11:21:00的发言:[br]双侧肾周密度增高,见条索影,右肾实质见点片状低密度区,考虑弥漫肾炎【自身免疫性?】;;肾性水肿征
以下是引用前行在2009-4-7 10:31:00的发言:[br]肝脾肿大;双肾增大,双肾盂少量积水可能,肾膜膜增厚,肾周间隙增宽,并见桥间隔,提示结缔组系统疾病、系统性红瘢狼疮肾可能性大。继发右侧胸腔、心包、腹腔积液。
以下是引用前行在2009-4-7 10:31:00的发言:[br]肝脾肿大;双肾增大,双肾盂少量积水可能,肾膜膜增厚,肾周间隙增宽,并见桥间隔,提示结缔组系统疾病、系统性红瘢狼疮肾可能性大。继发右侧胸腔、心包、腹腔积液。
以下是引用zjzjr在2009-4-7 12:04:00的发言:[br][quote]以下是引用前行在2009-4-7 10:31:00的发言:[br]肝脾肿大;双肾增大,双肾盂少量积水可能,肾膜膜增厚,肾周间隙增宽,并见桥间隔,提示结缔组系统疾病、系统性红瘢狼疮肾可能性大。继发右侧胸腔、心包、腹腔积液。
| 欢迎光临 医影在线 (http://bbs.radida.com/bbs/) | Powered by Discuz! X3.2 |