医影在线

标题: CT18257:女,29岁,右下磨牙痛 [打印本页]

作者: zlh    时间: 2009-4-8 00:43
标题: CT18257:女,29岁,右下磨牙痛
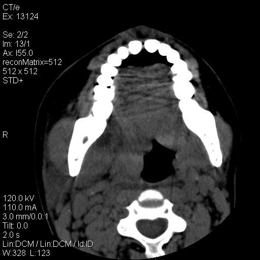
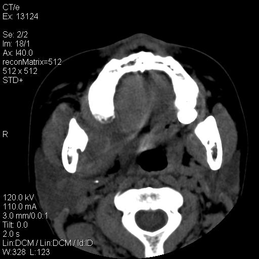
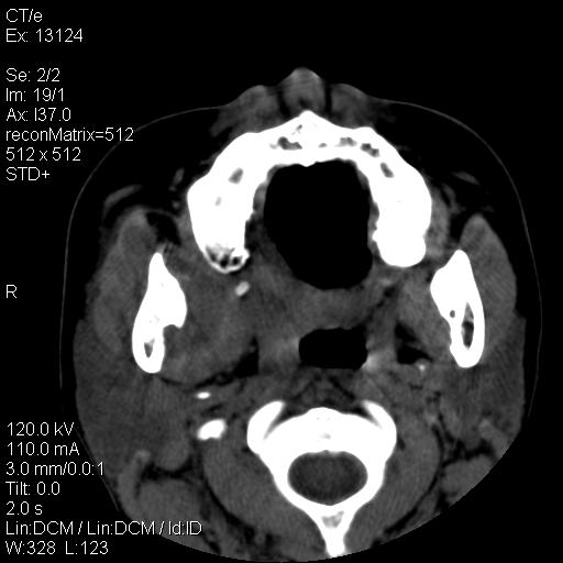
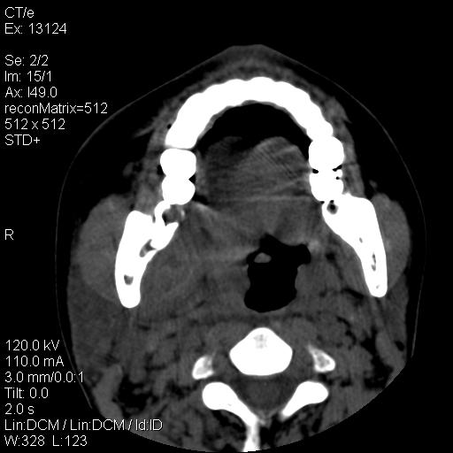
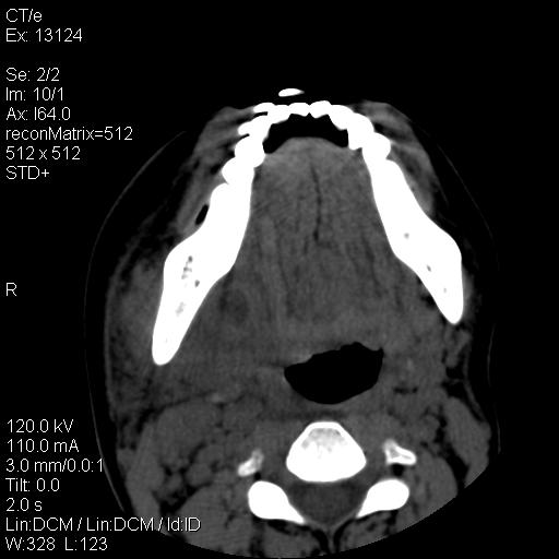
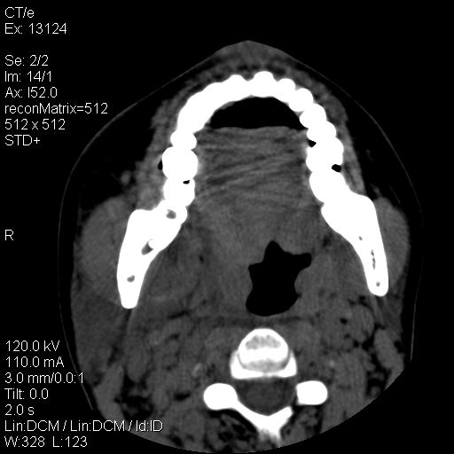
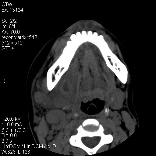
女,29岁,右下磨牙痛,因产后2月,故未治疗。现右颌肿痛伴张口困难。请大家看看右侧鼻咽部、口咽部是否





























[本贴已被 翁志蓬 于 2009-4-7 22:15:34 修改过]

作者: 吃草吐奶    时间: 2009-4-8 01:20
考虑线样体肥大,请鼻镜协查。
作者: gule    时间: 2009-4-8 01:31
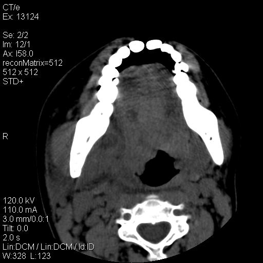
1.考虑右侧下颌区脓肿(牙源性)
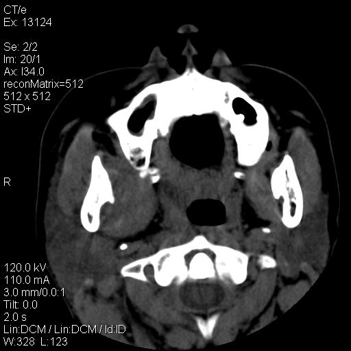
2.右侧上颌窦炎症、两侧下鼻甲肿大
作者: 卜一    时间: 2009-4-8 01:49
考虑右侧下颌区脓肿(牙源性)!支持!
作者: jiangjing    时间: 2009-4-8 01:52
zhichi 考虑  右侧颌下脓肿伴口咽鼻咽感染,淋巴结肿大。肿瘤待排
作者: 杀毒软件    时间: 2009-4-8 01:53
考虑----扁桃体炎症并脓肿形成及周围唾液腺-咽部-右上颌窦炎症,抗炎后复查。
作者: 余辉    时间: 2009-4-8 02:24
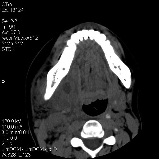
考虑右下智齿冠周炎伴周围软组织炎症,脓肿形成
作者: 随光逐影    时间: 2009-4-8 02:24
1)考虑右侧下颌区软组织脓肿(牙源性)。2)鼻咽部炎性改变;建议追踪复查。3)右侧上颌窦炎。4)双侧下鼻甲黏膜肥厚。
作者: 宇宙CT    时间: 2009-4-8 04:06
考虑右下智齿冠周炎伴周围软组织炎症,脓肿形成
作者: 同    时间: 2009-4-8 04:27
考虑右侧下颌区脓肿。
作者: nxm    时间: 2009-4-8 04:29
右下颌软组织脓肿
作者: 水蓝色的    时间: 2009-4-8 04:55
支持8楼。
作者: 黑白光影    时间: 2009-4-8 05:47
1)考虑右侧下颌区牙源性软组织脓肿。2)右侧上颌窦炎。3)双侧下鼻甲黏膜肥厚。4)鼻咽部炎性改变;建议追踪复查。
作者: xulianj    时间: 2009-4-8 05:54
支持炎性病变。
作者: dyqct    时间: 2009-4-8 06:22
标题: 回复:ct18257:女,29岁,右下磨牙痛
以下是引用黑白光影在2009-4-7 21:47:00的发言:[br]1)考虑右侧下颌区牙源性软组织脓肿。2)右侧上颌窦炎。3)双侧下鼻甲黏膜肥厚。4)鼻咽部炎性改变;建议追踪复查。

应该给个骨窗。
作者: zsl6918    时间: 2009-4-8 18:22
支持右侧颌下脓肿伴淋巴结肿大,建议治疗复查,除外其他.
作者: huqi8888    时间: 2009-4-8 19:03
1)考虑右侧下颌区软组织脓肿(牙源性)。2)鼻咽部炎性改变;建议追踪复查。3)右侧上颌窦炎。4)双侧下鼻甲黏膜肥厚。
作者: jinguoji    时间: 2009-4-8 22:21
考虑右下智齿冠周炎伴周围软组织脓肿形成。




欢迎光临 医影在线 (http://bbs.radida.com/bbs/) Powered by Discuz! X3.2