医影在线

标题: CT19260:腹部包块,求助 [打印本页]

作者: 龙卷云    时间: 2009-4-8 02:28
标题: CT19260:腹部包块,求助
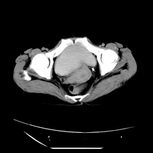
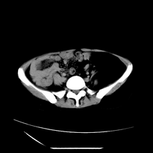
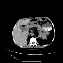
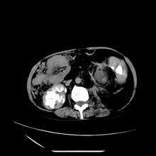
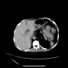
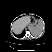
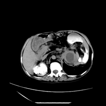
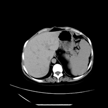
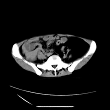
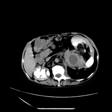
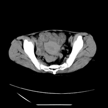
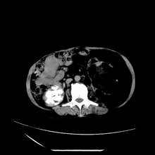
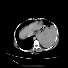
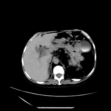
女性,41岁,发现左腹部包块3年,现行ct检查,检查前做过静脉肾盂造影。




































[本贴已被 龙卷云 于 2009-4-7 19:03:36 修改过]


[本贴已被 翁志蓬 于 2009-4-7 22:22:38 修改过][/color


[本贴已被 龙卷云 于 2009-4-8 9:28:18 修改过]

作者: 龙卷云    时间: 2009-4-8 02:34
左侧低密度区是脂肪密度,中间可见条索状软组织样密度影,现主要想知道左肾前下缘圆形软组织样密度影,内见低密度水样密度影,这是什么?
作者: 余辉    时间: 2009-4-8 02:53
脾脏增大,左肾后方脂肪增多,脊柱前方脂肪增多,左肾窦脂肪增多,左肾变形,双肾积水以左侧为著,左肾内侧及上方见环形软组织肿物影,内部低密度区,考虑1盆腹腔/腹膜后及左肾窦脂肪增多症2左肾内侧病灶可能为左肾上腺病灶,可能为脂肪增多的原凶
作者: 随光逐影    时间: 2009-4-8 03:05
1)考虑左肾替代性脂肪瘤病;不排除左肾错构瘤。2)双肾积水。
作者: 黄毛小子    时间: 2009-4-8 03:10
标题: 回复:腹部包块,求助
以下是引用随光逐影在2009-4-7 19:05:00的发言:[br]1)考虑左肾替代性脂肪瘤病;不排除左肾错构瘤。2)双肾积水。

作者: 杀毒软件    时间: 2009-4-8 03:55
支持随光逐影老师说法

参考本站病例http://www.radida.com/radinet/read.php?tid=40952

肾窦脂肪瘤病及肾替代性脂肪瘤病被认为是脂肪增殖程度不同的一种疾病。正常情况下肾窦内有少量脂肪组织充填,在某种情况下肾实质会发生萎缩,而以肾窦、肾门为中心脂肪或(和)纤维组织可出现增殖,当增殖局限在肾窦、肾门区时称为肾窦脂肪瘤,若同时部分或全部取代了萎缩破坏的肾实质时称为肾替代性脂肪瘤病。
发病机理有2种学说,大部分人认为是由于某些具有破坏性的肾脏疾病,如肾结石并感染、肾结核等造成肾破坏、萎缩,继发了大量的脂肪组织增殖;另一部分则认为肾脏慢性炎症可刺激脂肪组织的增殖,肾萎缩是继发的。
ct典型表现为以肾窦肾门为中心大量弥漫性脂肪积聚,鹿角状结石及萎缩的肾实质。合并肾周感染时,肾轮廓不清,周围有粘连性改变。
诊断主要需与含脂肪的肾肿瘤加以区别,如血管平滑肌脂肪瘤、脂肪肉瘤、脂肪瘤
作者: 宇宙CT    时间: 2009-4-8 04:15
1)考虑左肾替代性脂肪瘤病;不排除左肾错构瘤。2)双肾积水。
作者: 同    时间: 2009-4-8 04:36
标题: 回复:腹部包块,求助
以下是引用随光逐影在2009-4-7 19:05:00的发言:[br]1)考虑左肾替代性脂肪瘤病;不排除左肾错构瘤。2)双肾积水。

作者: wangyong1977    时间: 2009-4-8 04:37
学习
作者: xulianj    时间: 2009-4-8 05:23
左肾错构瘤,脾肿大。增强一下吧!
作者: 水蓝色的    时间: 2009-4-8 05:32
学习了,谢谢。
作者: 黑白光影    时间: 2009-4-8 06:01
支持四楼考虑。
作者: dsl555    时间: 2009-4-8 06:27
标题: 回复:ct19260:腹部包块,求助
以下是引用宇宙ct在2009-4-7 20:15:00的发言:[br]1)考虑左肾替代性脂肪瘤病;不排除左肾错构瘤。2)双肾积水。

作者: dyqct    时间: 2009-4-8 06:32
标题: 回复:ct19260:腹部包块,求助
以下是引用随光逐影在2009-4-7 19:05:00的发言:[br]1)考虑左肾替代性脂肪瘤病;不排除左肾错构瘤。2)双肾积水。

作者: jiangguowu    时间: 2009-4-8 07:14
1)考虑左肾替代性脂肪瘤病;不排除左肾错构瘤。2)双肾积水。
作者: lkc8963    时间: 2009-4-8 07:57
标题: 回复:ct19260:腹部包块,求助
以下是引用xulianj在2009-4-7 21:23:00的发言:[br]左肾错构瘤,脾肿大。增强一下吧!

诊断rsl的必备条件是肾窦、肾门的脂肪组织增生和肾实质的萎缩,而且本例因为ivp后扫描不好判断有无肾结石但可能性较小;另外,占位效应显著,脾后缘都受压了,肾门以下肾实质残缺,支持肾脏错构瘤.
作者: yanliu123654    时间: 2009-4-8 08:40
做了ivp就做ct,对病人不太负责吧.
作者: songyi    时间: 2009-4-8 14:43
1)考虑左肾替代性脂肪瘤病;不排除左肾错构瘤。2)双肾积水
作者: xizhong    时间: 2009-4-8 17:10
标题: 回复:ct19260:腹部包块,求助
以下是引用随光逐影在2009-4-7 19:05:00的发言:[br]1)考虑左肾替代性脂肪瘤病;不排除左肾错构瘤。2)双肾积水。

作者: 深泽交通    时间: 2009-4-8 17:12
左肾周脂肪堆积征【原因?】,双肾逆行造影术后;脾大【原因?】
作者: zsl6918    时间: 2009-4-8 18:10
考虑双肾结核
作者: 看图说话    时间: 2009-4-8 18:22
1、考虑左肾替代性脂肪瘤病,2、双肾积水,3、距脾,4、楼主说的我考虑为感染性病灶。
作者: huqi8888    时间: 2009-4-8 19:07
左肾错构瘤可能性大?脾肿大。建议行进一步检查
作者: 51736011    时间: 2009-4-8 20:35
腹膜后脂肪肉瘤累及左输尿管及左肾窦脂肪沉积,双肾积水,
作者: jinguoji    时间: 2009-4-8 21:59
标题: 回复:ct19260:腹部包块,求助
以下是引用随光逐影在2009-4-7 19:05:00的发言:[br]1)考虑左肾替代性脂肪瘤病;不排除左肾错构瘤。2)双肾积水。





欢迎光临 医影在线 (http://bbs.radida.com/bbs/) Powered by Discuz! X3.2