











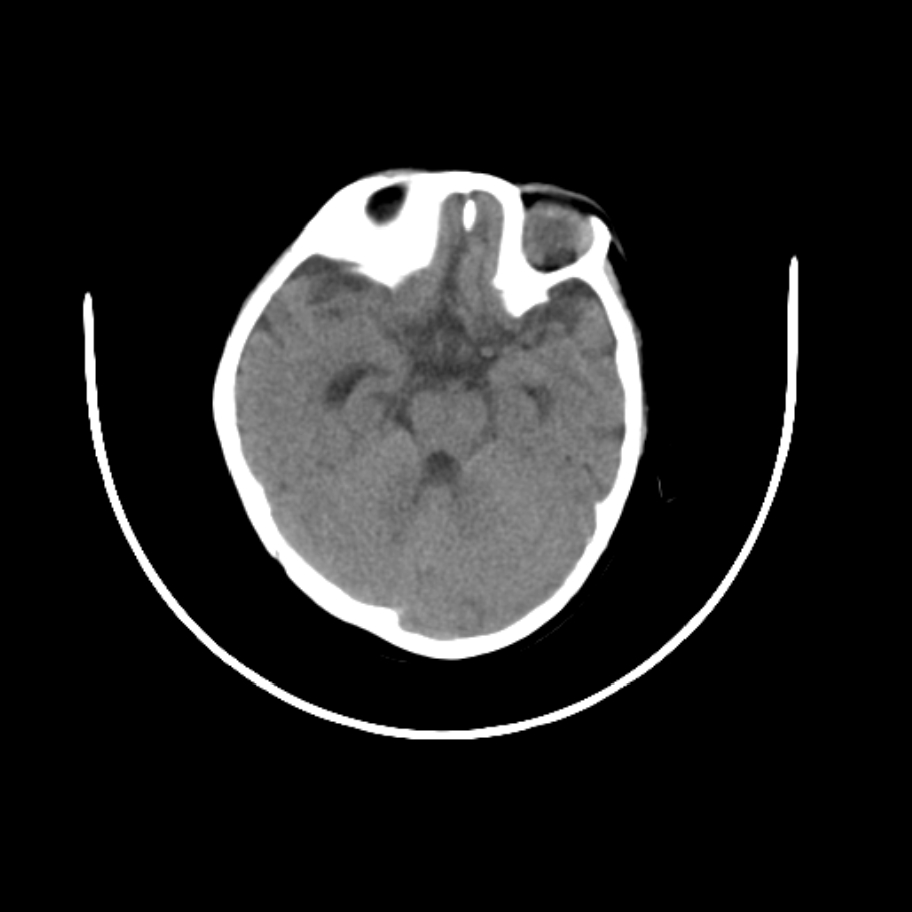
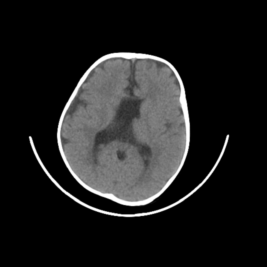
以下是引用随光逐影在2009-4-8 7:51:00的发言:[br]1)透明隔缺如(视-隔发育不良?)。2)右侧脑裂畸形。3)右侧幕上半球脑萎缩。
以下是引用尚峰在2009-4-7 22:45:00的发言:[br]视-隔发育不良(这是一个综合症,包括很多种表现)。
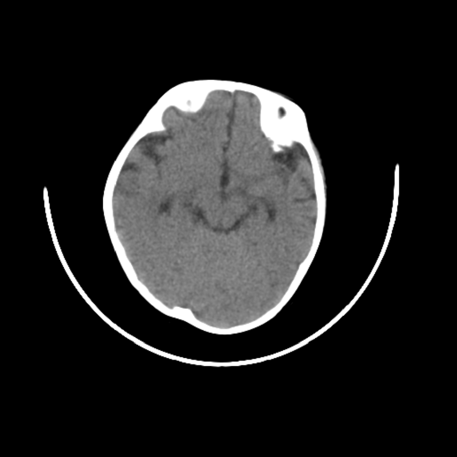
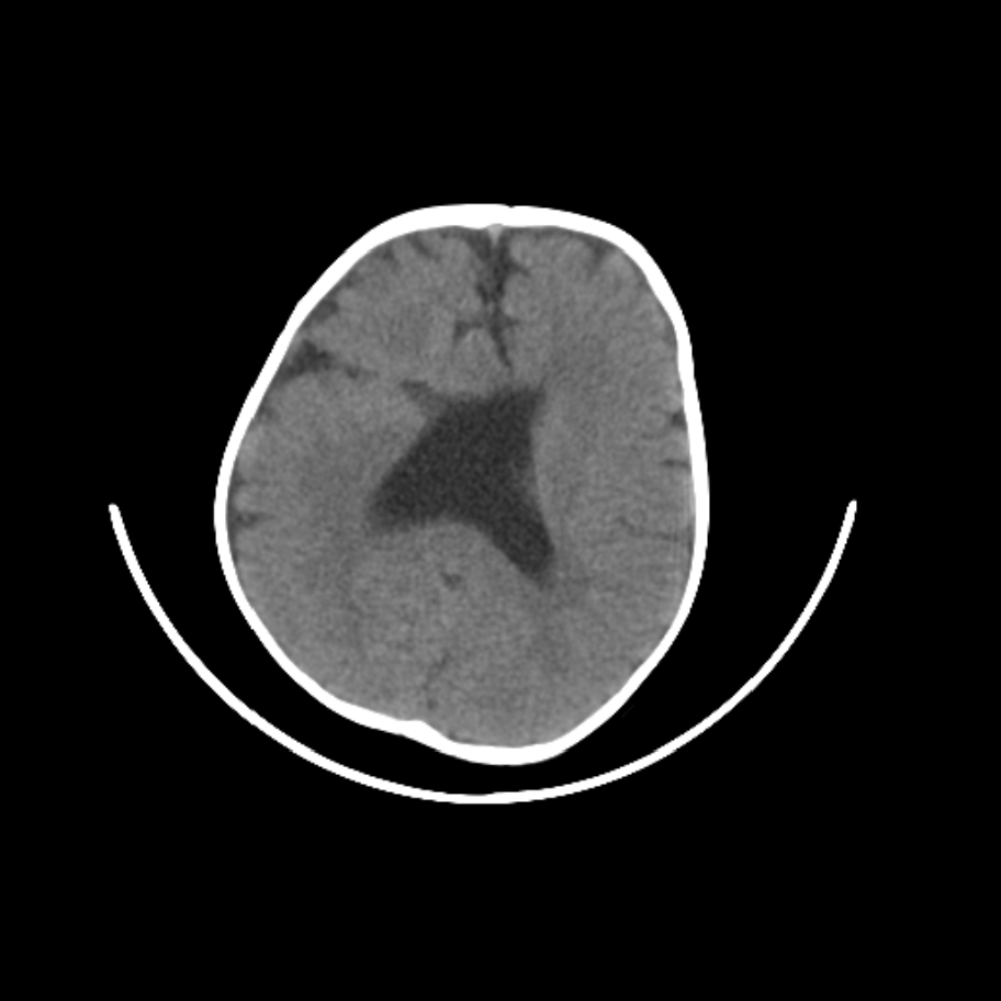
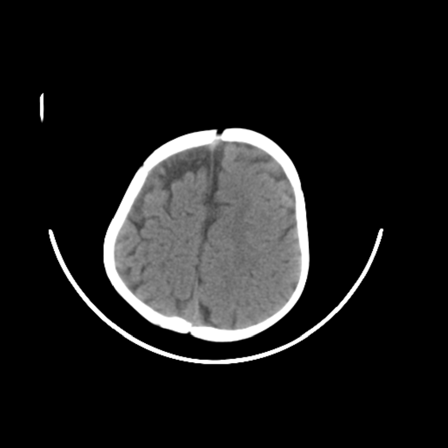
以下是引用随光逐影在2009-4-8 7:51:00的发言:[br]1)透明隔缺如(视-隔发育不良?)。2)右侧脑裂畸形。3)右侧幕上半球脑萎缩。
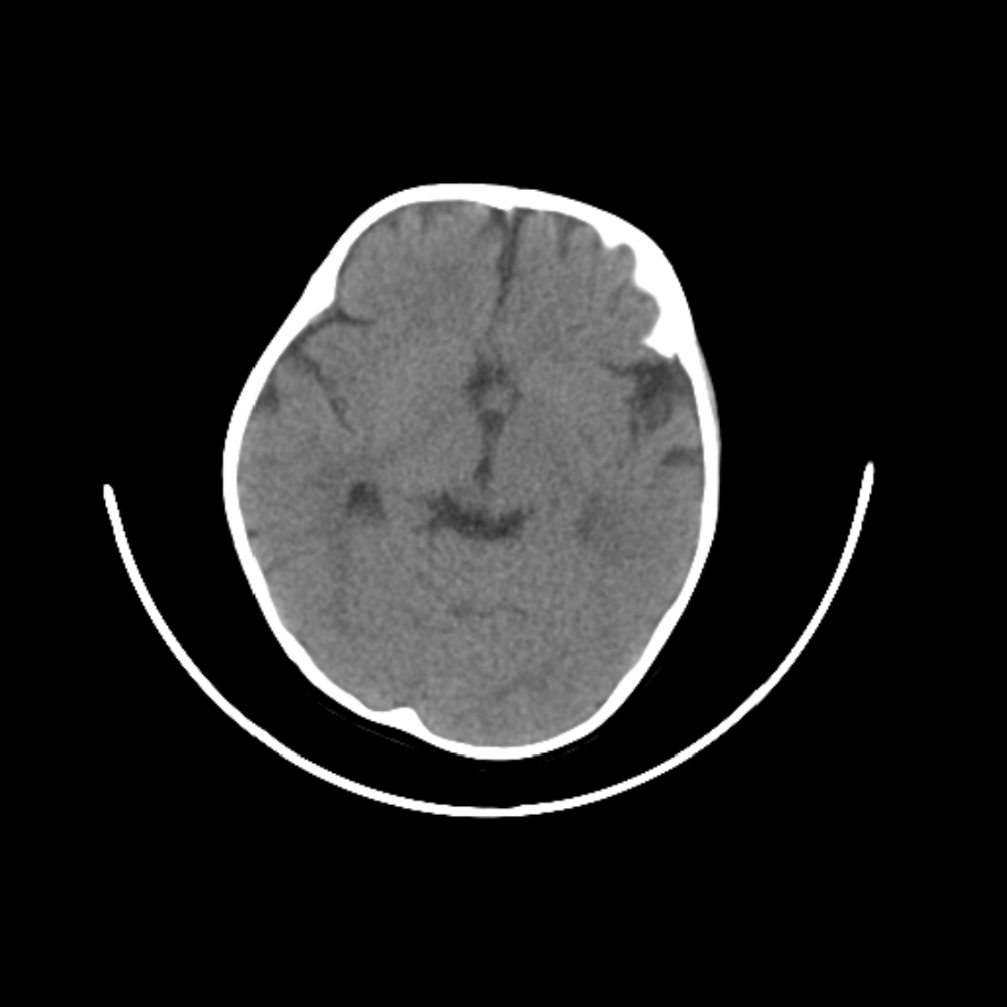
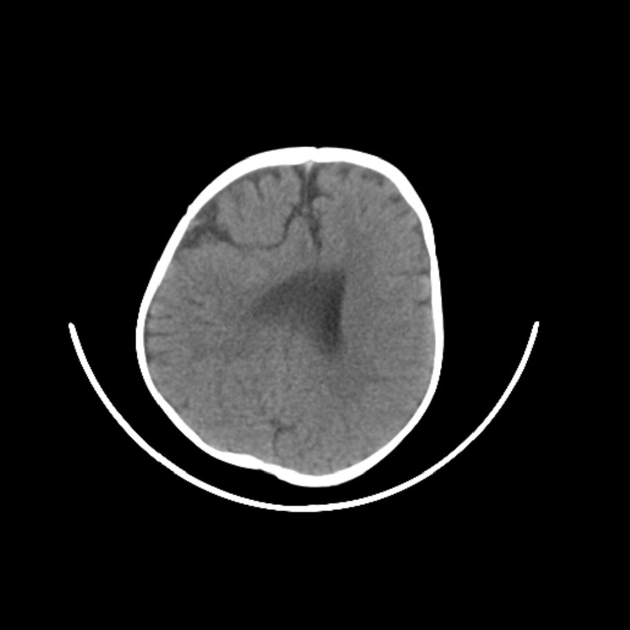
以下是引用随光逐影在2009-4-8 7:51:00的发言:[br]1)透明隔缺如(视-隔发育不良?)。2)右侧脑裂畸形。3)右侧幕上半球脑萎缩。
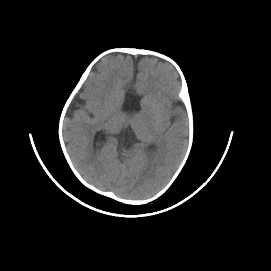
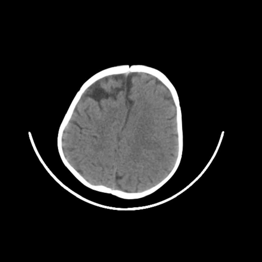
以下是引用随光逐影在2009-4-8 7:51:00的发言:[br]1)透明隔缺如(视-隔发育不良?)。2)右侧脑裂畸形。3)右侧幕上半球脑萎缩。
以下是引用随光逐影在2009-4-8 7:51:00的发言:[br]1)透明隔缺如(视-隔发育不良?)。2)右侧脑裂畸形。3)右侧幕上半球脑萎缩。
| 欢迎光临 医影在线 (http://bbs.radida.com/bbs/) | Powered by Discuz! X3.2 |