医影在线

标题: CT19275:请大家帮忙看下 [打印本页]

作者: 553721962    时间: 2009-4-9 05:57
标题: CT19275:请大家帮忙看下
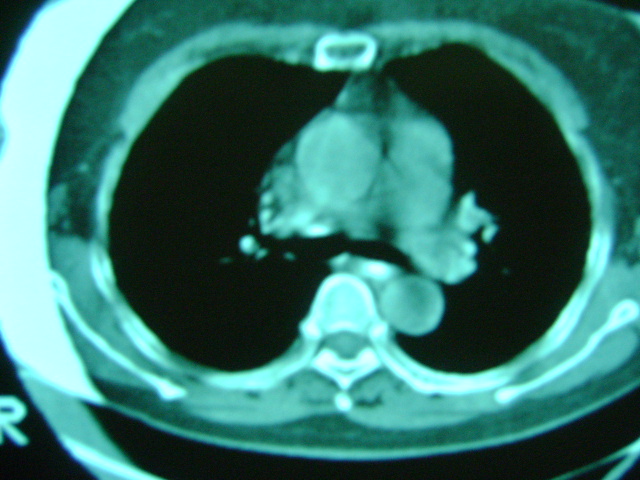
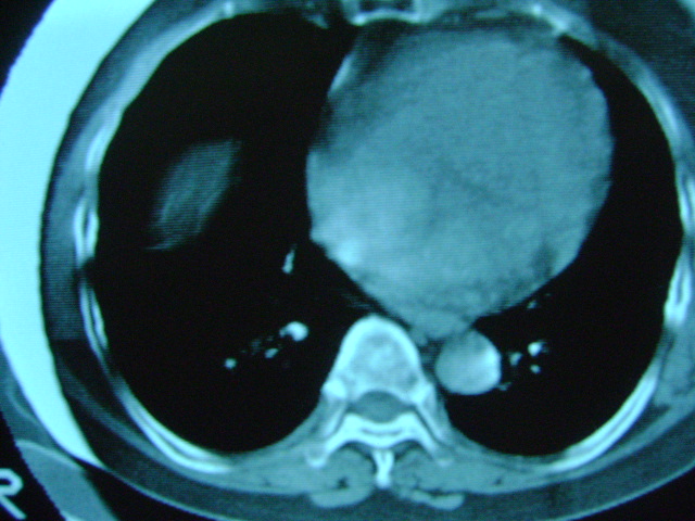
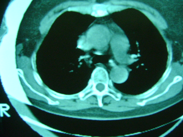
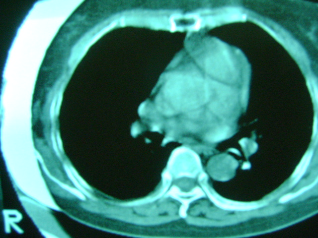
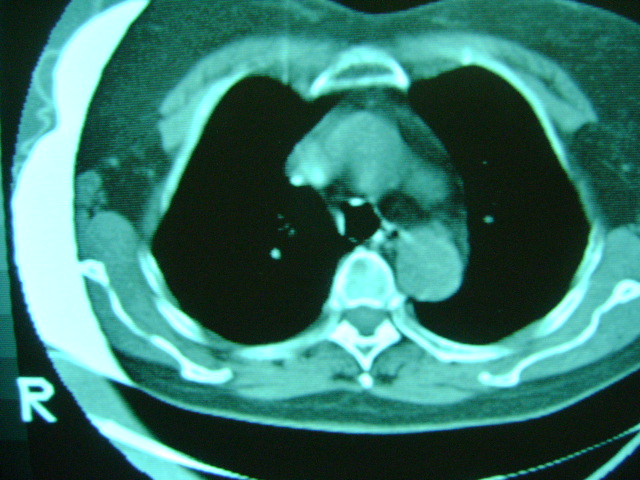
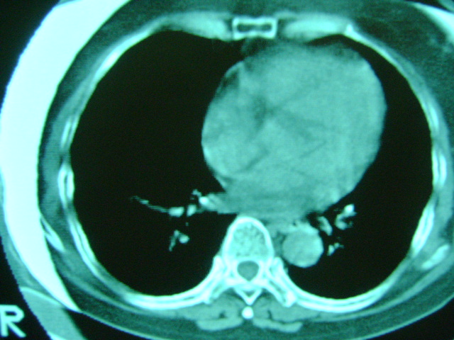
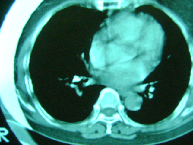
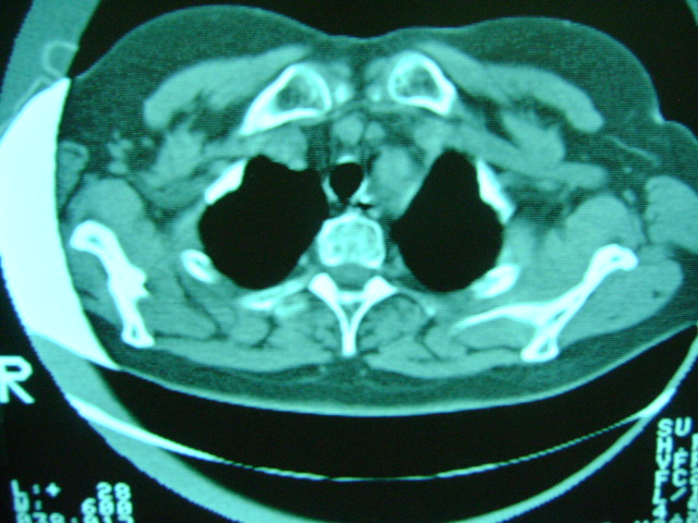
朋友的母亲,56y,咳嗽三个月,感觉左肺门不对,请大家给点意见































[本贴已被 翁志蓬 于 2009-4-9 0:24:21 修改过]

作者: 余辉    时间: 2009-4-9 06:06
左肺门还可以吧
作者: 卜一    时间: 2009-4-9 06:10
左肺门未见异常!
作者: 王仕学    时间: 2009-4-9 06:14
应该没问题,不放心就薄层扫描看看.
作者: dyqct    时间: 2009-4-9 06:28
未见明显异常。
作者: kh    时间: 2009-4-9 06:29
未见异常
作者: ct诊断高手    时间: 2009-4-9 06:32
左肺门未见异常!
作者: panyishengct    时间: 2009-4-9 06:48
左肺门未见异常!
作者: 随光逐影    时间: 2009-4-9 15:49
未见明确异常。
作者: 黑白光影    时间: 2009-4-9 16:57
不放心可追踪复查。
作者: clp880623    时间: 2009-4-9 17:07
左肺门没事
作者: 深泽交通    时间: 2009-4-9 17:28
心功能不全肺淤血
作者: LIAOQIANG    时间: 2009-4-9 17:43
左肺门未见异常。
作者: 宇宙CT    时间: 2009-4-9 17:52
左肺门没事
作者: ydx_74    时间: 2009-4-9 18:04
老年人,肺动脉略迂曲
作者: zsl6918    时间: 2009-4-9 18:22
肺内应该存在感染
作者: muzi888    时间: 2009-4-9 18:24
慢支 !不放心可追踪复查。
作者: handong2006jl    时间: 2009-4-9 19:02
还好啊
作者: 51736011    时间: 2009-4-9 19:24
左肺门未见异常‘右肺有少许感染,图象质量不好
作者: xueke    时间: 2009-4-9 19:26
扫描所示未见明显异常!建议结合临床
作者: hmyj9    时间: 2009-4-9 21:32
扫描所示未见明显异常




欢迎光临 医影在线 (http://bbs.radida.com/bbs/) Powered by Discuz! X3.2