医影在线

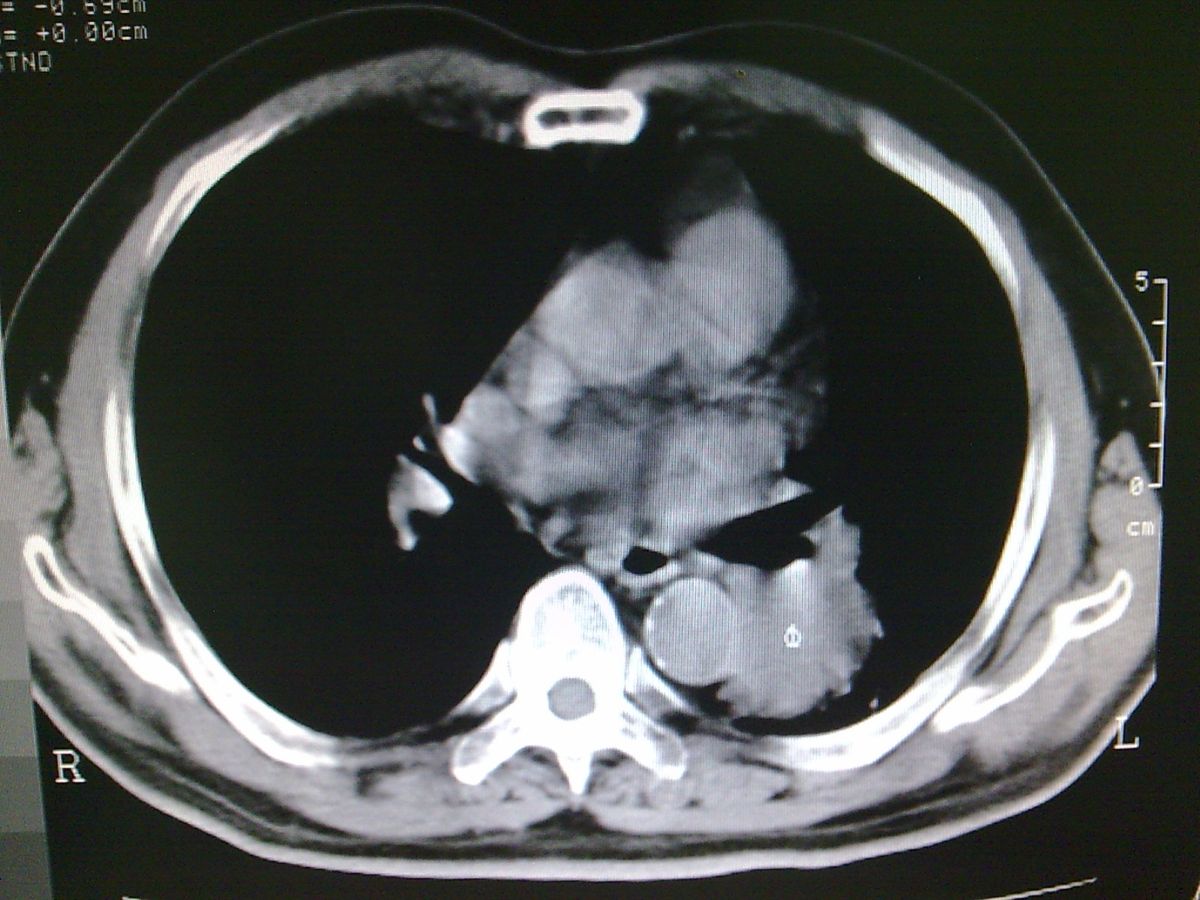
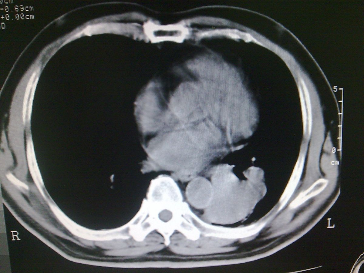
标题: CT19282:男性,70岁,咳血, [打印本页]

作者: cym1979    时间: 2009-4-9 18:40
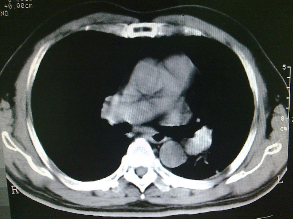
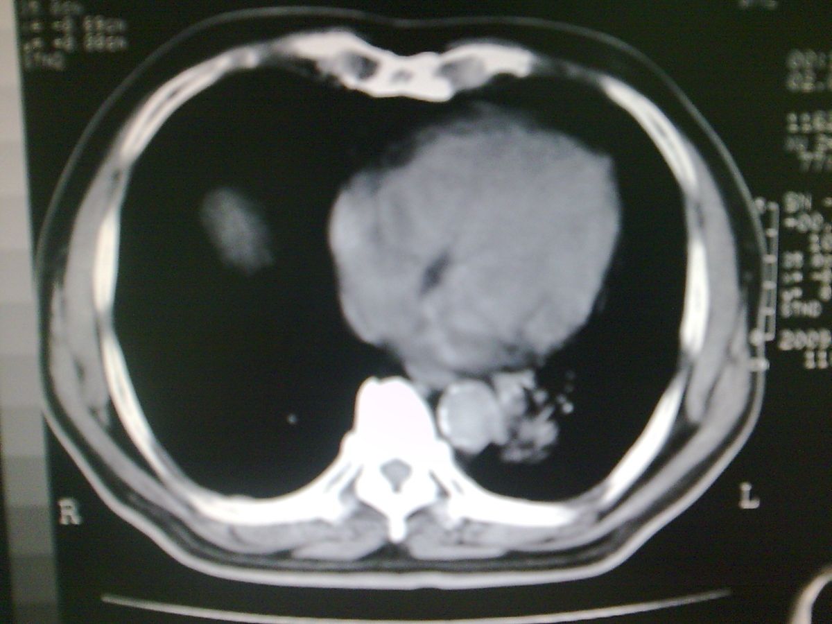
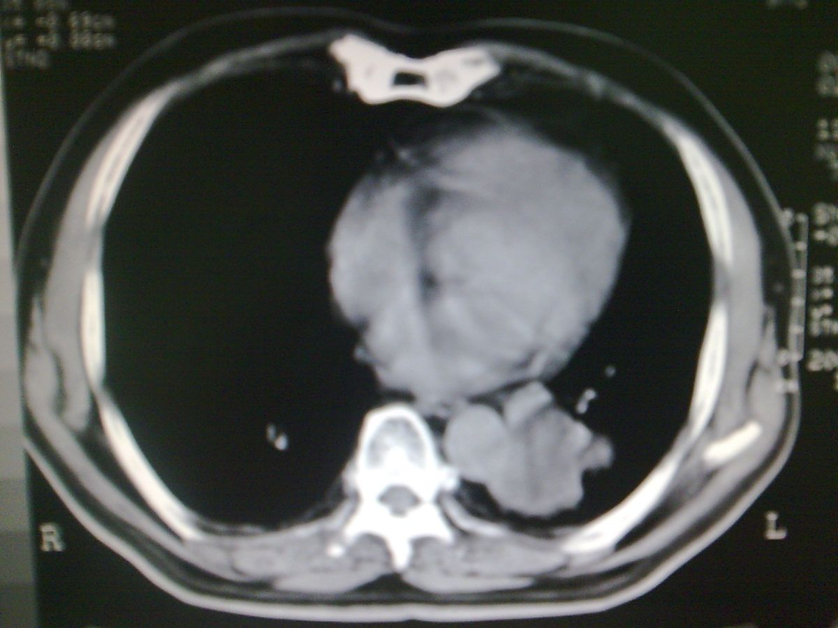
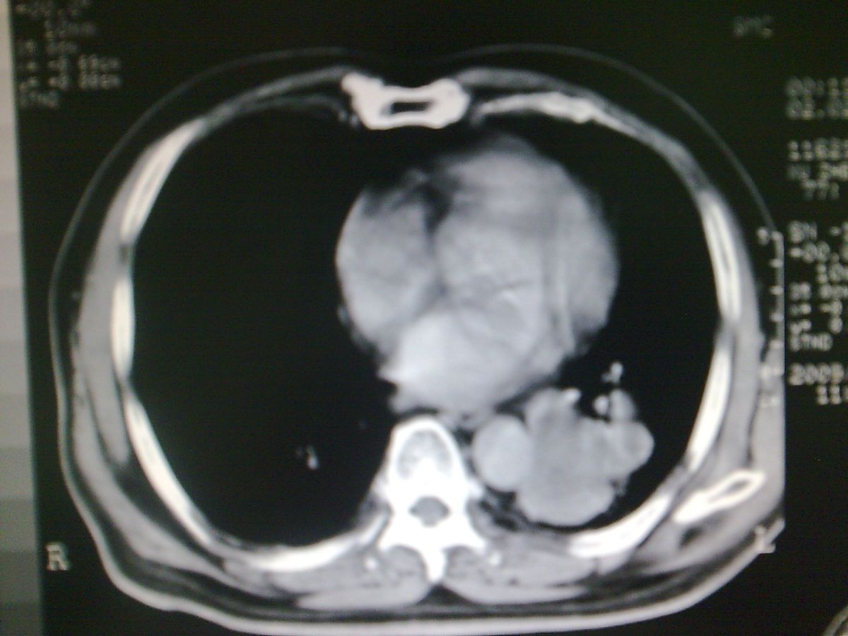
标题: CT19282:男性,70岁,咳血,
















[本贴已被 jiajie 于 2009-4-9 19:16:11 修改过]

作者: ydx_74    时间: 2009-4-9 18:50
图片少了些,考虑周围性肺癌
作者: ganghan    时间: 2009-4-9 18:53
考虑肺癌
作者: 王仕学    时间: 2009-4-9 18:59
支持考虑肺癌
作者: 深泽交通    时间: 2009-4-9 19:10
标题: 回复:男性,七十岁,咳血,
以下是引用王仕学在2009-4-9 10:59:00的发言:[br]支持考虑肺癌

作者: huang1111    时间: 2009-4-9 19:16
考虑周围性肺癌
作者: xly    时间: 2009-4-9 19:31
周围型肺癌。
作者: 好进学子    时间: 2009-4-9 19:32
支持楼上。
作者: cym1979    时间: 2009-4-9 19:49
隔离症不像吗
作者: hmyj9    时间: 2009-4-9 21:26
考虑周围型肺癌,还是做增强扫描吧。
作者: songyi    时间: 2009-4-9 22:34
考虑周围性肺癌
作者: LIAOQIANG    时间: 2009-4-9 23:34
考虑左下肺周围性肺癌。
作者: 宇宙CT    时间: 2009-4-9 23:40
考虑左下肺周围性肺癌。
作者: zjzjr    时间: 2009-4-9 23:51
考虑左下肺周围性肺癌。
作者: 卜一    时间: 2009-4-10 00:01
周围型肺癌。支持!
作者: 黑白光影    时间: 2009-4-10 00:16
周围型肺癌。支持
作者: 江广1996    时间: 2009-4-10 01:21
隔离症不像吗.周围型肺癌?还是做增强扫描吧。
作者: 同    时间: 2009-4-10 01:25
考虑左下周围型肺癌可能性大。
作者: 沉默是金    时间: 2009-4-10 01:26
肺隔离症不除外建议增强扫描
作者: 随光逐影    时间: 2009-4-10 01:35
考虑左肺下叶周围型肺癌可能。
作者: 杀毒软件    时间: 2009-4-10 02:08
不小




欢迎光临 医影在线 (http://bbs.radida.com/bbs/) Powered by Discuz! X3.2