











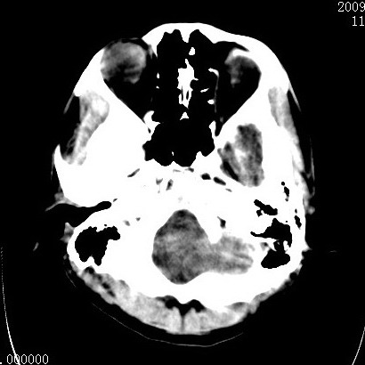
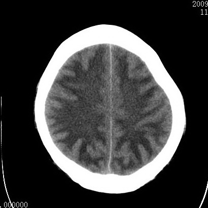
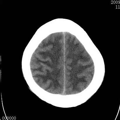
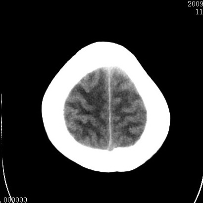
以下是引用余辉在2009-4-9 17:34:00的发言:[br]双侧脑白质对称性弥漫性密度减低,脑室脑沟裂池变小,双侧豆状核对称低密度,脑干对称性低密度,考虑1中毒性脑病2电解质异常(低钾钠等)3代谢异常及维缺乏等,进一步检查。
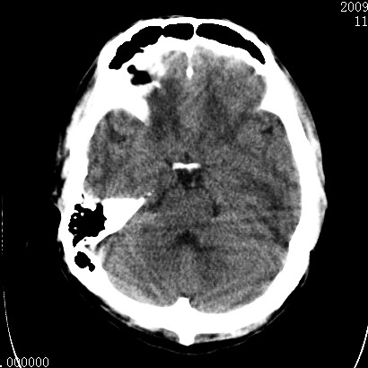
以下是引用余辉在2009-4-9 17:34:00的发言:[br]双侧脑白质对称性弥漫性密度减低,脑室脑沟裂池变小,双侧豆状核对称低密度,脑干对称性低密度,考虑1中毒性脑病2电解质异常(低钾钠等)3代谢异常及维缺乏等,进一步检查。
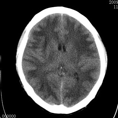
以下是引用余辉在2009-4-9 17:34:00的发言:[br]双侧脑白质对称性弥漫性密度减低,脑室脑沟裂池变小,双侧豆状核对称低密度,脑干对称性低密度,考虑1中毒性脑病2电解质异常(低钾钠等)3代谢异常及维缺乏等,进一步检查。
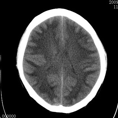
以下是引用余辉在2009-4-9 17:34:00的发言:[br]双侧脑白质对称性弥漫性密度减低,脑室脑沟裂池变小,双侧豆状核对称低密度,脑干对称性低密度,考虑1中毒性脑病2电解质异常(低钾钠等)3代谢异常及维缺乏等,进一步检查。
| 欢迎光临 医影在线 (http://bbs.radida.com/bbs/) | Powered by Discuz! X3.2 |