医影在线

标题: PED1836:女,9岁,发热5天,听诊两肺呼吸音粗 [打印本页]

作者: czxyey    时间: 2009-4-10 04:41
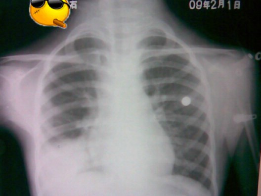
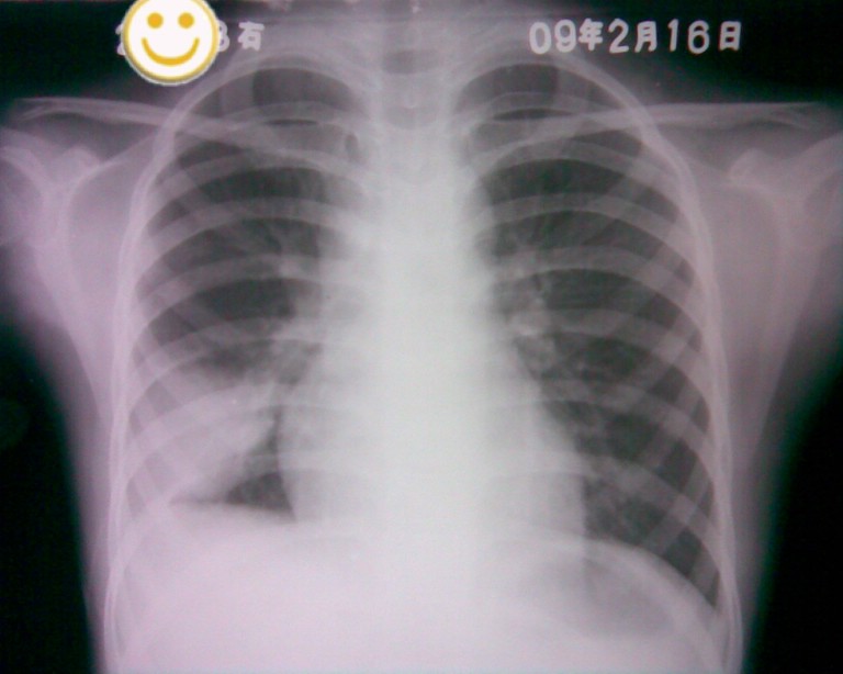
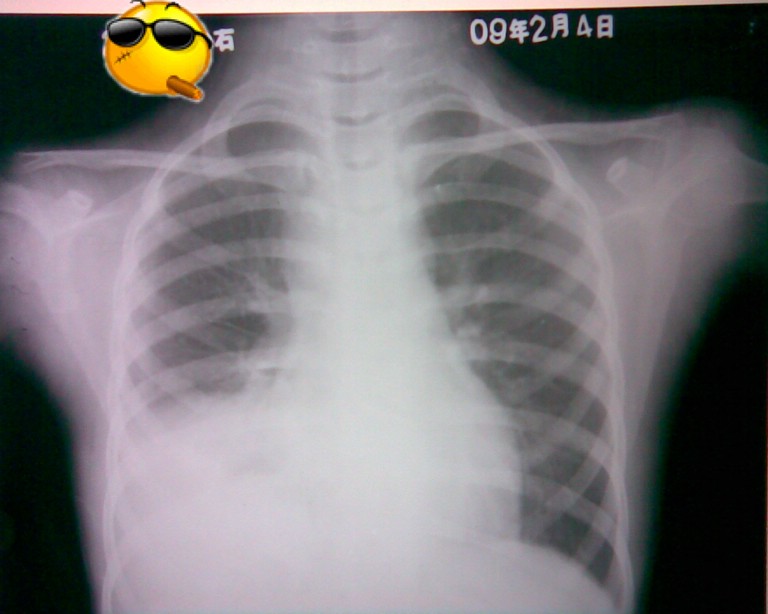
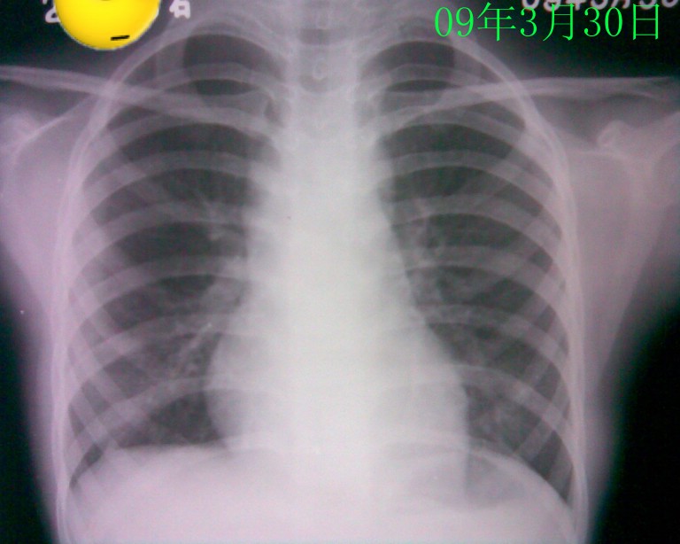
标题: PED1836:女,9岁,发热5天,听诊两肺呼吸音粗








[本贴已被 翁志蓬 于 2009-4-10 1:14:14 修改过]

作者: real520    时间: 2009-4-10 05:41
没什么说的,炎性
作者: 杀毒软件    时间: 2009-4-10 06:53
治疗的挺好
作者: jiangjing    时间: 2009-4-10 07:02
没什么说的,炎性
作者: 随光逐影    时间: 2009-4-10 15:51
不错,疗效看得见。
作者: songyi    时间: 2009-4-10 18:45
没什么说的,炎性
作者: jinguoji    时间: 2009-4-10 19:05
炎性,疗效看得见。
作者: 水蓝色的    时间: 2009-4-11 01:05
炎症疗效不错。
作者: 放射人    时间: 2009-4-11 02:47
治疗时间不短
作者: dyqct    时间: 2009-4-12 00:26
节段性肺炎。典型!
作者: 余辉    时间: 2009-4-12 00:30
学习了
作者: 卜一    时间: 2009-4-12 04:16
节段性肺炎。典型!!!
作者: hexue    时间: 2009-4-12 06:48
炎性,疗效看得见。
作者: LIAOQIANG    时间: 2009-4-13 17:29
节段性肺炎。片资料完整。
作者: huqi8888    时间: 2009-4-14 16:19
炎性改变
作者: 黑白光影    时间: 2009-4-15 02:19
谢分享
作者: zsl6918    时间: 2009-4-15 03:25
应该是胸膜炎




欢迎光临 医影在线 (http://bbs.radida.com/bbs/) Powered by Discuz! X3.2