医影在线

标题: PED1838:男,2岁,咳嗽2月余 [打印本页]

作者: real520    时间: 2009-4-10 06:40
标题: PED1838:男,2岁,咳嗽2月余

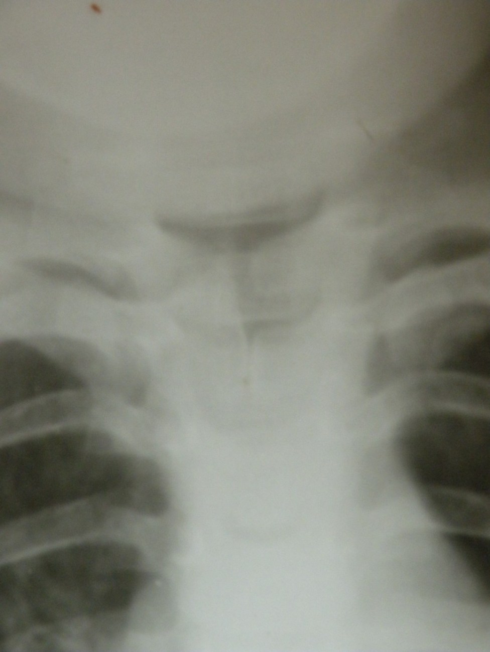
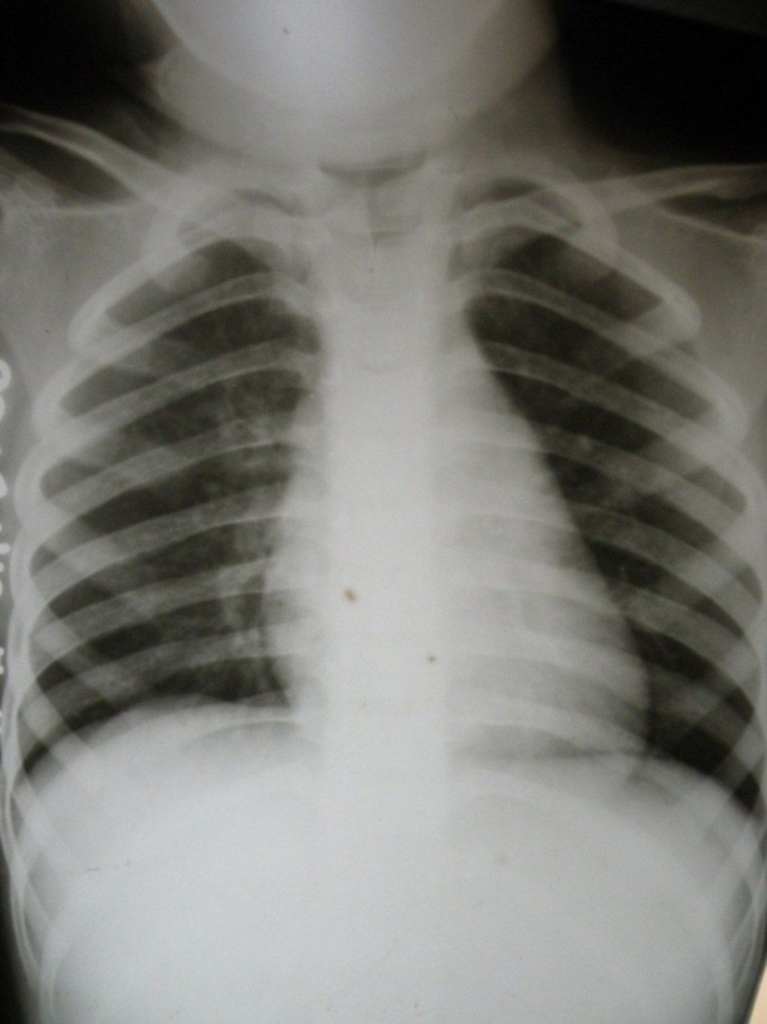
请看看t1 t2 后是什么?




[本贴已被 翁志蓬 于 2009-4-10 1:16:15 修改过]

作者: 随光逐影    时间: 2009-4-10 15:54
脊椎裂?
作者: songyi    时间: 2009-4-10 18:47
支持脊椎裂
作者: jinguoji    时间: 2009-4-10 19:03
支持脊椎裂。
作者: 杀毒软件    时间: 2009-4-10 20:07
首选----声门裂影像     次选---脊椎裂
作者: 水蓝色的    时间: 2009-4-11 01:03
支持脊柱裂。
作者: 同    时间: 2009-4-11 03:22
支持脊柱裂。
作者: 无间道    时间: 2009-4-11 18:26
标题: 回复:ped1838:男,2岁,咳嗽2月余
以下是引用同在2009-4-10 19:22:00的发言:[br]支持脊柱裂。

作者: 卜一    时间: 2009-4-12 04:14
首选----声门裂影像     次选---脊椎裂!支持!
作者: 小猫钓鱼    时间: 2009-4-12 06:13
先天脊椎隐裂
作者: 水蓝色的    时间: 2009-4-12 07:00
支持。
作者: huqi8888    时间: 2009-4-14 16:22
支持脊椎裂
作者: 黑白光影    时间: 2009-4-15 02:18
标题: 回复:ped1838:男,2岁,咳嗽2月余
以下是引用杀毒软件在2009-4-10 12:07:00的发言:[br]首选----声门裂影像     次选---脊椎裂

都要考虑
作者: zsl6918    时间: 2009-4-15 03:26
不能明确




欢迎光临 医影在线 (http://bbs.radida.com/bbs/) Powered by Discuz! X3.2