医影在线
标题: CT19296:帮忙会诊一头部CT [打印本页]
作者: sammycn 时间: 2009-4-10 07:36
标题: CT19296:帮忙会诊一头部CT
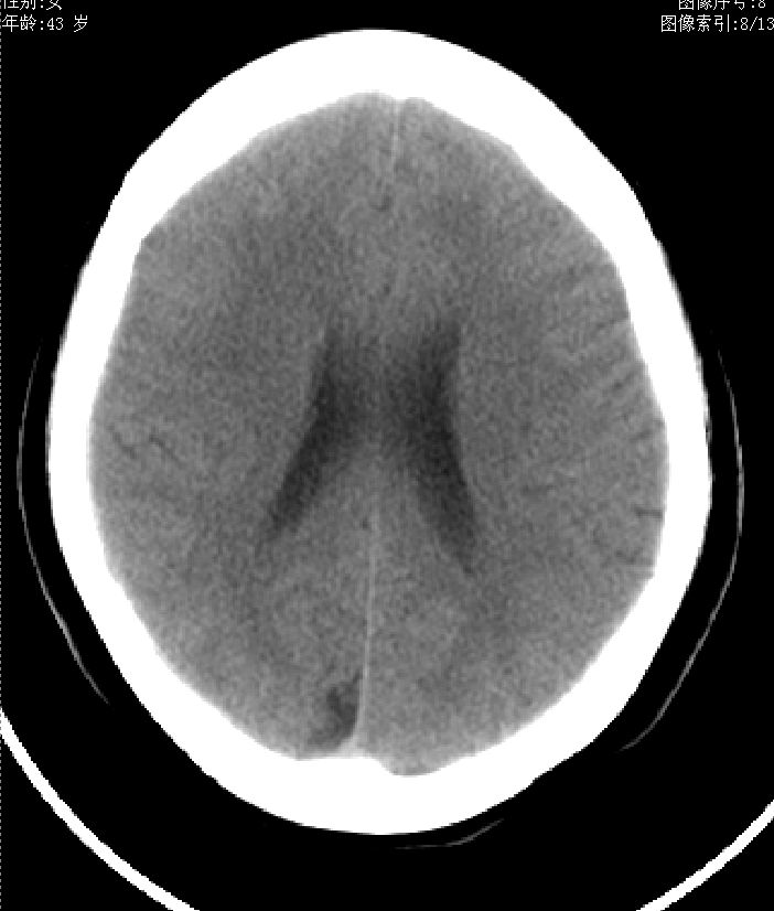
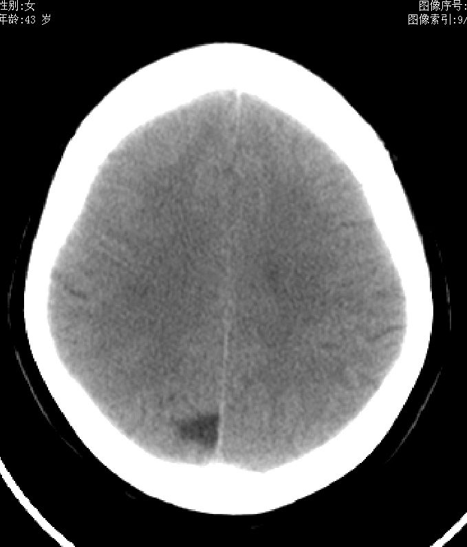
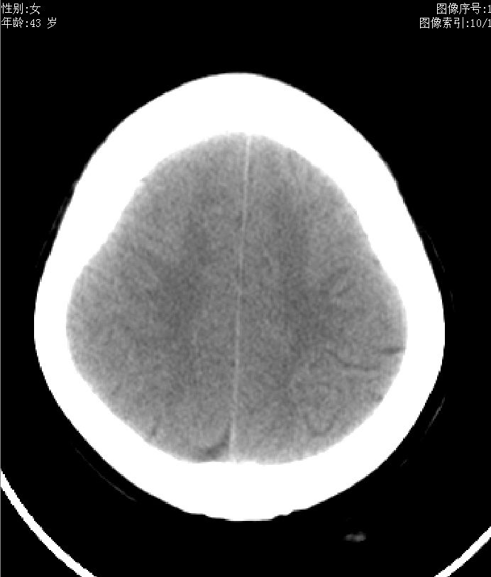
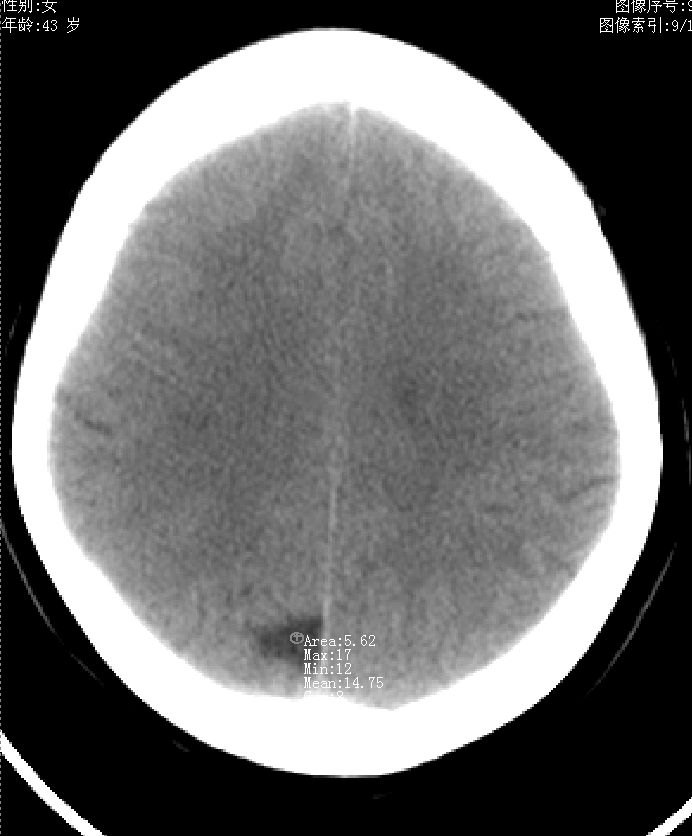
43岁,女性,头晕、语言含糊1天伴左侧肢体麻木,有高血压病史,bp160/100hg,余(-)。




[本贴已被 sammycn 于 2009-4-10 0:19:27 修改过]
[本贴已被 翁志蓬 于 2009-4-10 1:21:38 修改过]
作者: 韦伟 时间: 2009-4-10 08:05
考虑局部脑发育不良。
作者: 55675991 时间: 2009-4-10 08:10
学习来的,考虑就是个脑沟的!
作者: sharp1900b 时间: 2009-4-10 15:11
右顶上小叶脑沟
作者: 少晓 时间: 2009-4-10 16:06
脑沟
作者: zjzjr 时间: 2009-4-10 16:44
脑沟或软化灶
作者: 深泽交通 时间: 2009-4-10 16:46
蛛网膜囊肿
作者: hmyj9 时间: 2009-4-10 16:48
软化灶
作者: songyi 时间: 2009-4-10 18:10
脑软化灶
作者: 奋进者 时间: 2009-4-10 18:30
蛛网膜下腔囊肿
作者: 51736011 时间: 2009-4-10 18:49
脑沟或软化灶
作者: 宇宙CT 时间: 2009-4-10 18:54
脑沟或软化灶
作者: 杀毒软件 时间: 2009-4-10 19:48
软化灶
作者: muzi888 时间: 2009-4-10 19:58
脑软化灶
作者: 看图说话 时间: 2009-4-10 20:15
脑沟或软化灶,建议增强或mr,最好mr
作者: 随光逐影 时间: 2009-4-10 20:58
考虑右侧顶叶脑软化灶。
作者: kh 时间: 2009-4-10 21:55
软化灶
作者: ct诊断高手 时间: 2009-4-10 22:15
脑沟
作者: jiangjing 时间: 2009-4-10 22:24
脑沟或软化灶
作者: shenhs 时间: 2009-4-10 23:58
脑沟或软化灶
作者: SUNBIN 时间: 2009-4-11 00:24
考虑右侧半卵圆中心陈旧性梗塞.
作者: 天堂鸟 时间: 2009-4-11 00:36
脑软化灶
作者: ncy888888 时间: 2009-4-11 01:09
考虑脑沟或脑软化灶
作者: zgjldq 时间: 2009-4-11 01:21
脑沟
作者: sdynlxt2009 时间: 2009-4-11 02:43
脑沟正常的
作者: dsl555 时间: 2009-4-11 02:46
脑沟或软化灶,建议mr
作者: pujunzhi 时间: 2009-4-11 02:48
脑沟或软化灶,建议mr 。
作者: 同 时间: 2009-4-11 03:08
考虑脑软化灶
作者: 尹凌云 时间: 2009-4-11 03:10
脑沟
作者: 尹凌云 时间: 2009-4-11 03:11
脑沟
作者: 黄毛小子 时间: 2009-4-11 03:16
脑沟
作者: xulianj 时间: 2009-4-11 04:21
蛛网膜囊肿或脑沟。
作者: gule 时间: 2009-4-11 05:19
提示顶区局部脑沟!
作者: 513ytb 时间: 2009-6-23 07:59
蛛网膜下腔囊肿.
| 欢迎光临 医影在线 (http://bbs.radida.com/bbs/) |
Powered by Discuz! X3.2 |