医影在线
标题: CT19297:男,28岁,头痛待查。 [打印本页]
作者: zhw974247 时间: 2009-4-10 15:59
标题: CT19297:男,28岁,头痛待查。
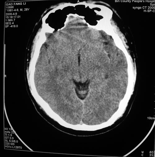
男,28岁,头外伤来就诊。左侧基底节区是腔梗吗?


[本贴已被 zhw974247 于 2009-4-10 8:07:09 修改过]
作者: zjzjr 时间: 2009-4-10 16:41
考虑脉络膜裂囊肿
作者: 深泽交通 时间: 2009-4-10 16:44
脉络膜囊肿
作者: 51736011 时间: 2009-4-10 18:43
脉络膜囊肿可能
作者: 宇宙CT 时间: 2009-4-10 18:58
我看还是豆状核上腔梗
作者: 卿情 时间: 2009-4-10 19:18
请教高手,啥是脉络膜裂囊肿?与蛛网膜囊肿有什么区别?
作者: 杀毒软件 时间: 2009-4-10 19:42
脉络膜裂囊肿
作者: muzi888 时间: 2009-4-10 19:56
脉络膜裂囊肿
作者: 看图说话 时间: 2009-4-10 20:16
考虑脉络膜裂囊肿的可能性大。
作者: 随光逐影 时间: 2009-4-10 21:08
考虑左侧脉络膜裂囊肿。
作者: jiangjing 时间: 2009-4-10 22:23
考虑脉络膜裂囊肿的可能性大
作者: shenhs 时间: 2009-4-10 23:59
脉络膜囊肿可能
作者: huqi8888 时间: 2009-4-11 00:30
考虑为脉络膜裂囊肿。
作者: SUNBIN 时间: 2009-4-11 00:31
左侧基底节腔梗可能.脉络膜裂小囊肿?
作者: 水蓝色的 时间: 2009-4-11 00:32
支持楼上
作者: 天堂鸟 时间: 2009-4-11 00:38
考虑脉络膜裂囊肿
作者: dadao1983 时间: 2009-4-11 01:22
左侧脉络膜囊肿可能!
作者: dsl555 时间: 2009-4-11 02:52
脉络膜裂囊肿
作者: 同 时间: 2009-4-11 03:10
脉络膜囊肿可能性大。
作者: 黄毛小子 时间: 2009-4-11 03:14
支持脉络膜裂囊肿
作者: pujunzhi 时间: 2009-4-11 03:42
考虑左侧脉络膜裂囊肿。
作者: xulianj 时间: 2009-4-11 04:24
考虑脉络膜裂囊肿的可能性大。
作者: yanliu123654 时间: 2009-4-11 05:09
平时我都是报腔梗,
作者: 513ytb 时间: 2009-6-23 07:56
考虑左侧脉络膜裂囊肿.
| 欢迎光临 医影在线 (http://bbs.radida.com/bbs/) |
Powered by Discuz! X3.2 |