



















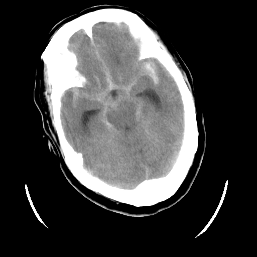
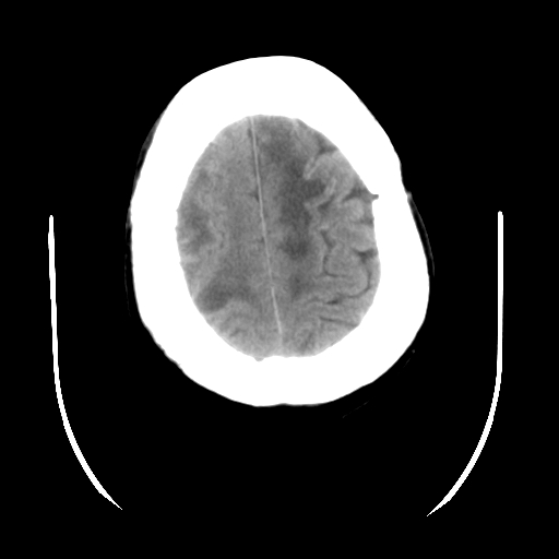
以下是引用随光逐影在2009-4-11 0:07:00的发言:[br]12天前ct检查:1)蛛网膜下腔出血。2)脑室系统少量积血。3)脑积水。[br]今日ct检查:1)多发性脑梗塞,伴部分梗塞区脑皮质渗血。2)脑积水。[br]
以下是引用深泽交通医院在2009-4-11 8:34:00的发言:[br]蛛网膜下腔出血后脑积水,血供分水岭梗塞
以下是引用深泽交通医院在2009-4-11 8:34:00的发言:[br]蛛网膜下腔出血后脑积水,血供分水岭梗塞
以下是引用随光逐影在2009-4-11 0:07:00的发言:[br]12天前ct检查:1)蛛网膜下腔出血。2)脑室系统少量积血。3)脑积水。[br]今日ct检查:1)多发性脑梗塞,伴部分梗塞区脑皮质渗血。2)脑积水。[br]
以下是引用深泽交通医院在2009-4-11 8:34:00的发言:[br]蛛网膜下腔出血后脑积水,血供分水岭梗塞
| 欢迎光临 医影在线 (http://bbs.radida.com/bbs/) | Powered by Discuz! X3.2 |