医影在线

标题: PED1841:急!请各位老师会诊 [打印本页]

作者: 巩宁    时间: 2009-4-11 18:19
标题: PED1841:急!请各位老师会诊
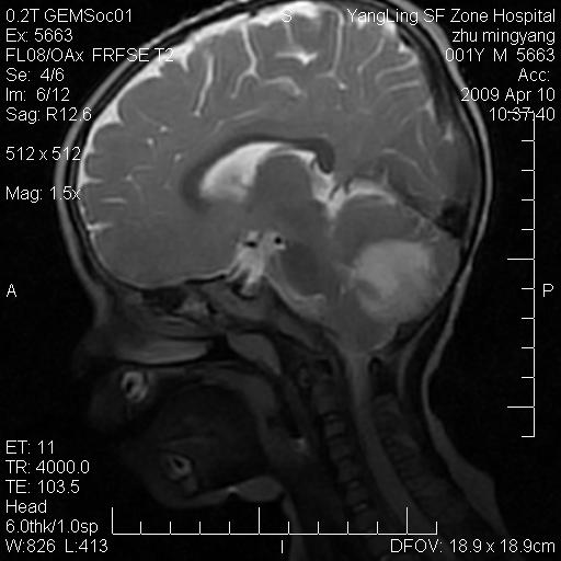
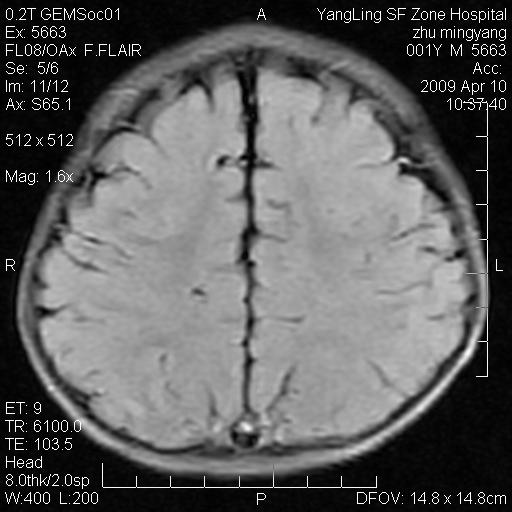
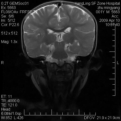
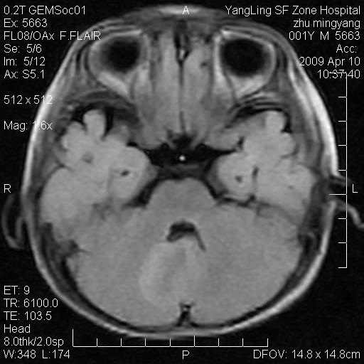
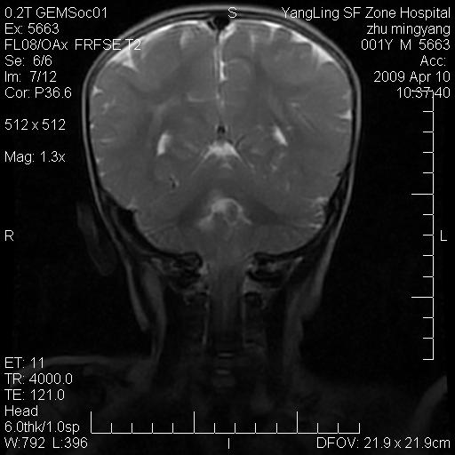
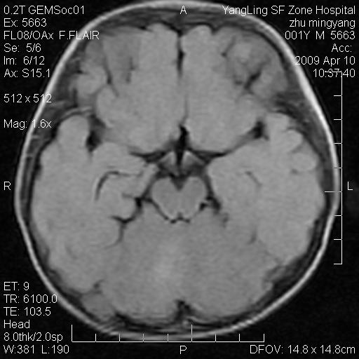
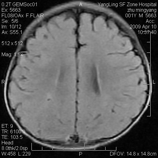
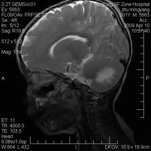
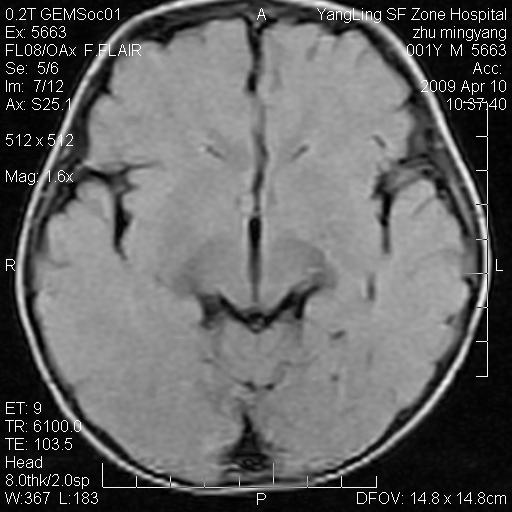
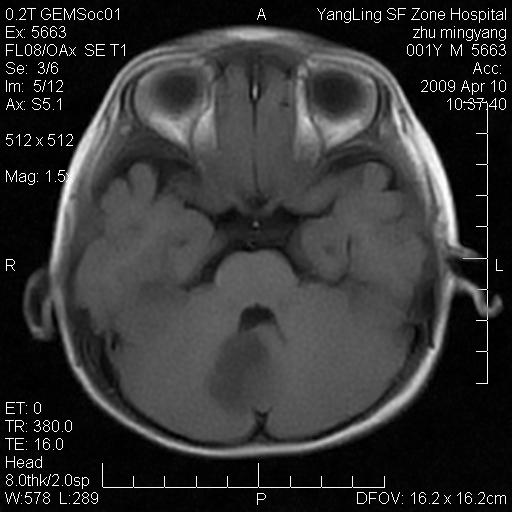
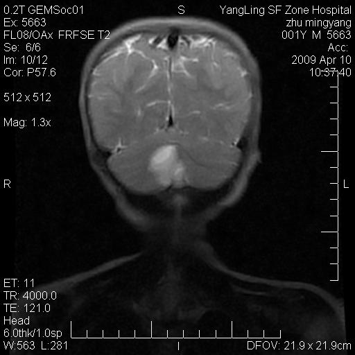
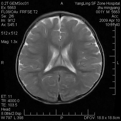
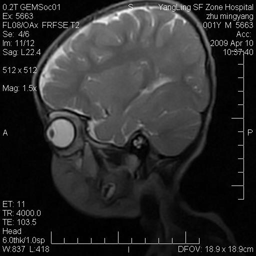
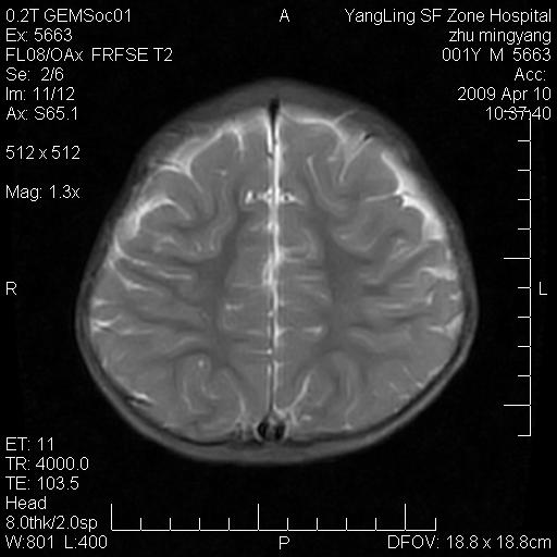
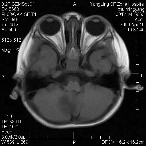
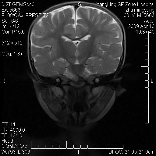
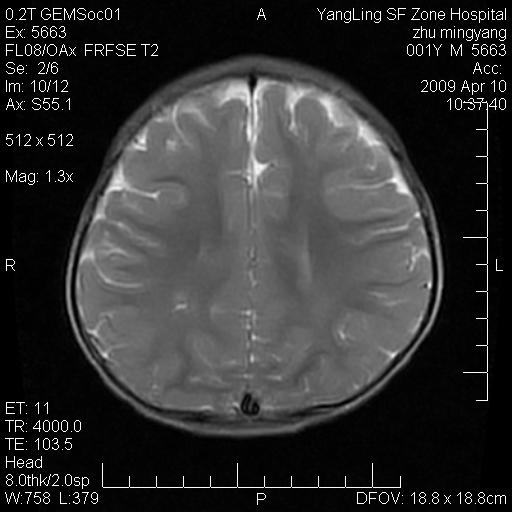
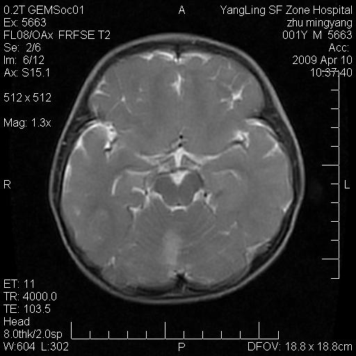
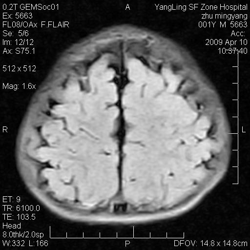
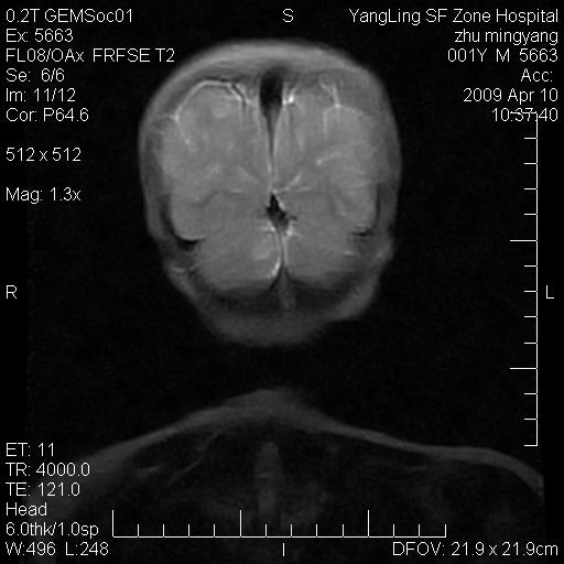
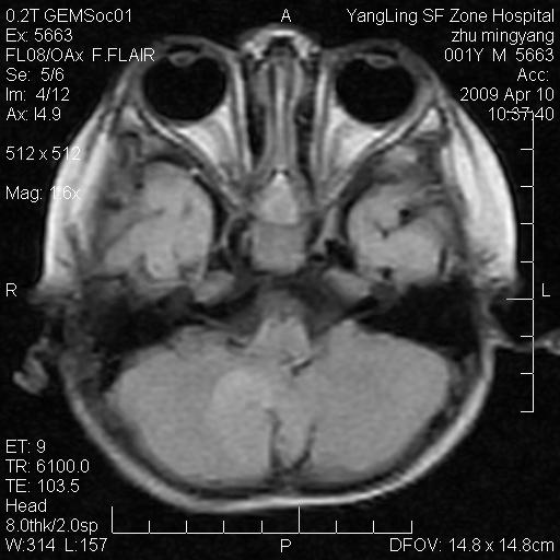
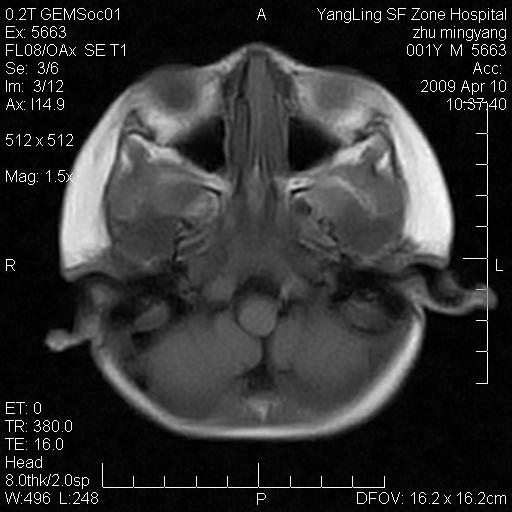
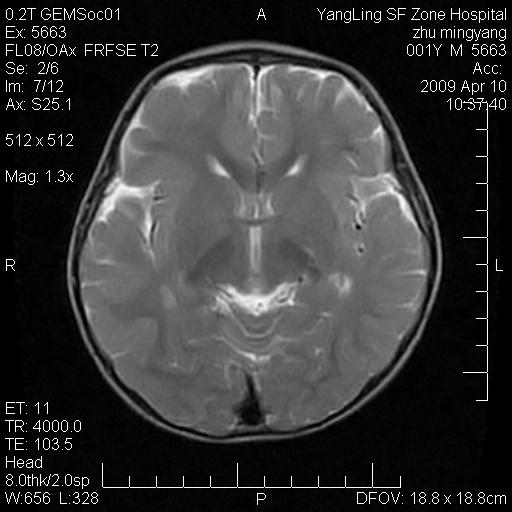
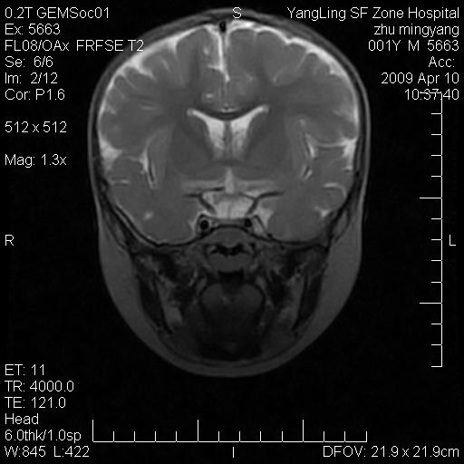
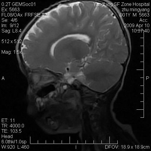
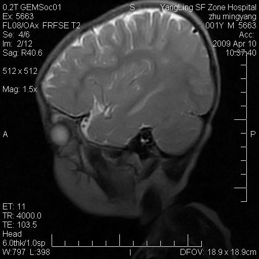
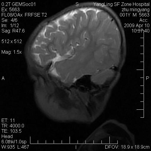
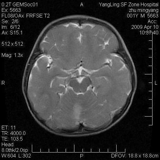
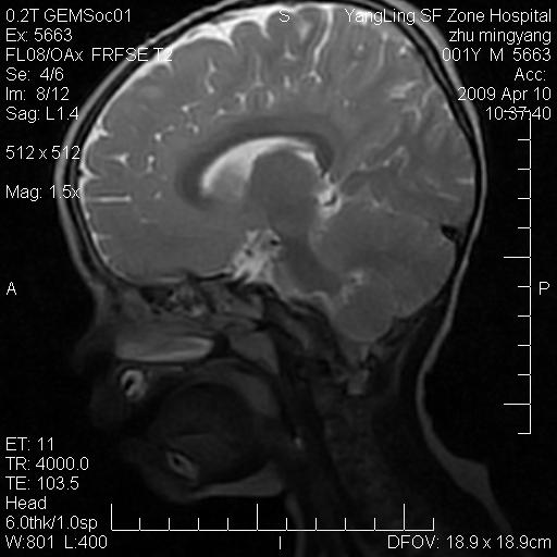
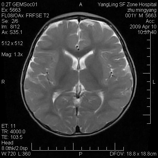
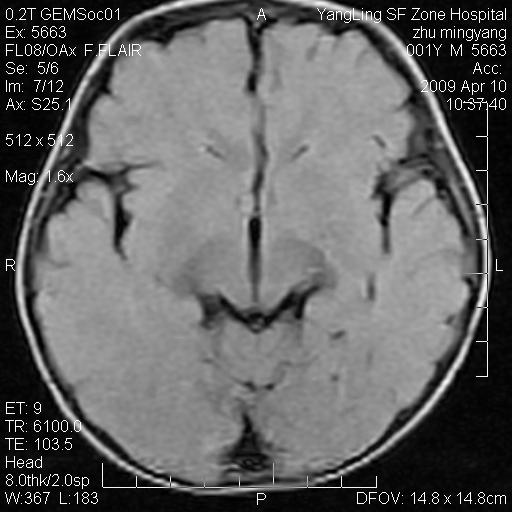
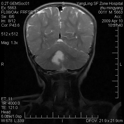
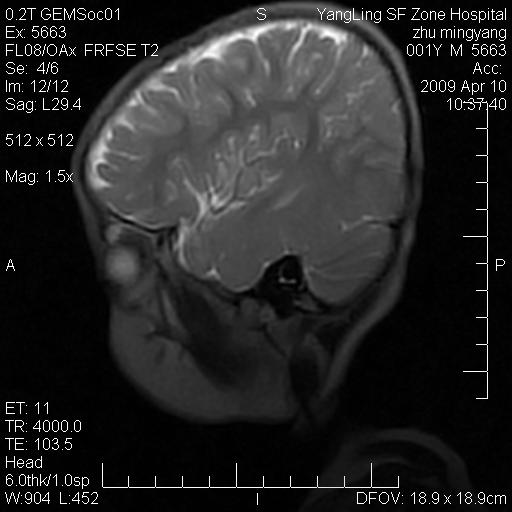
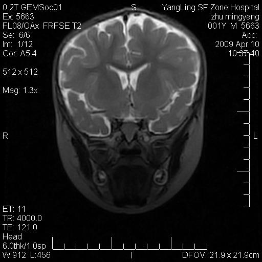
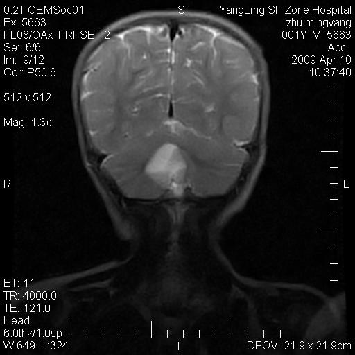
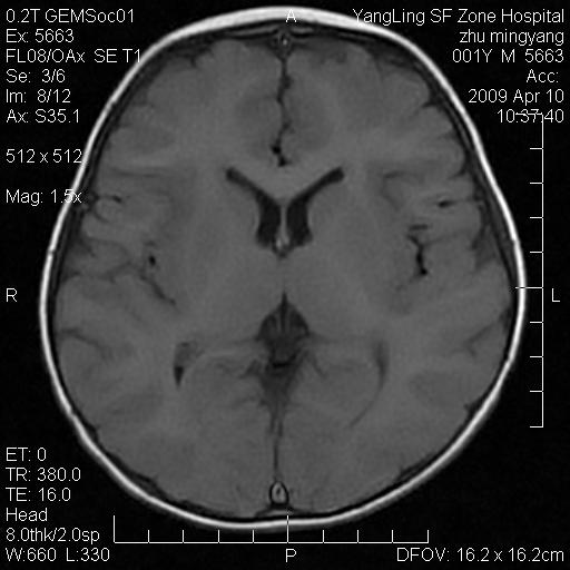
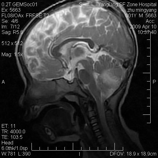
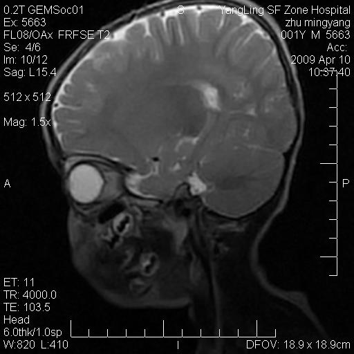
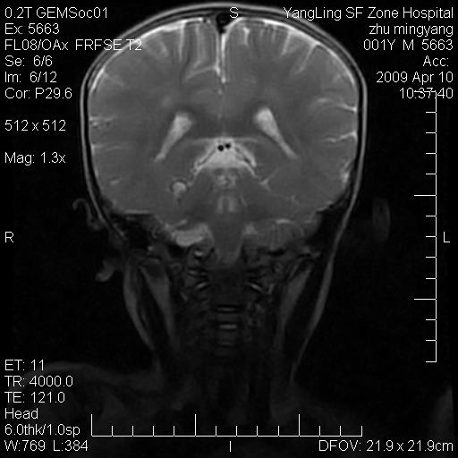
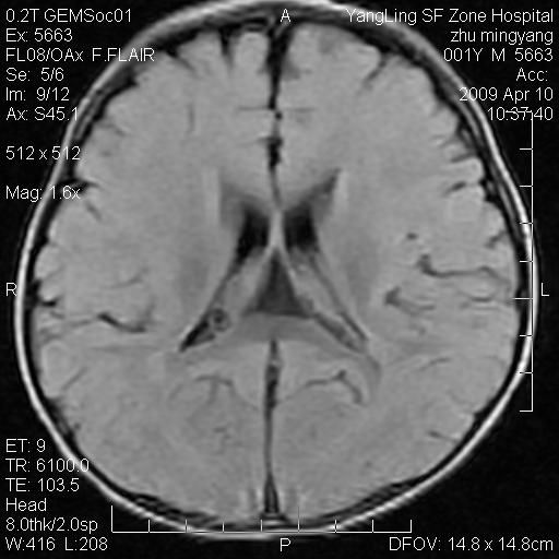
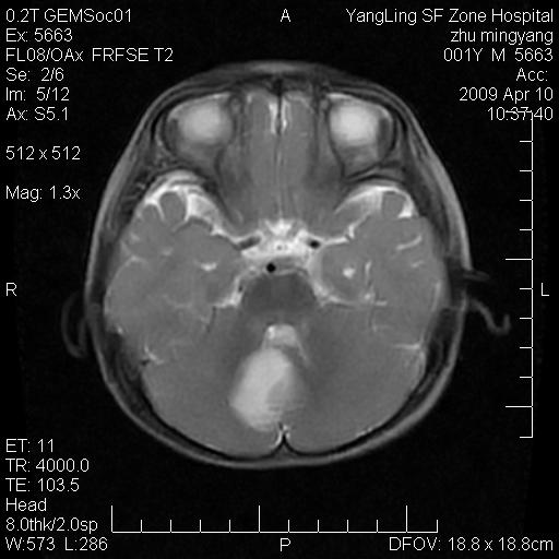
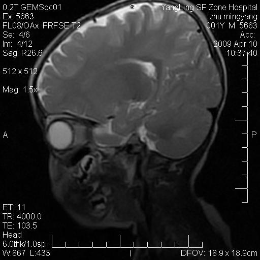
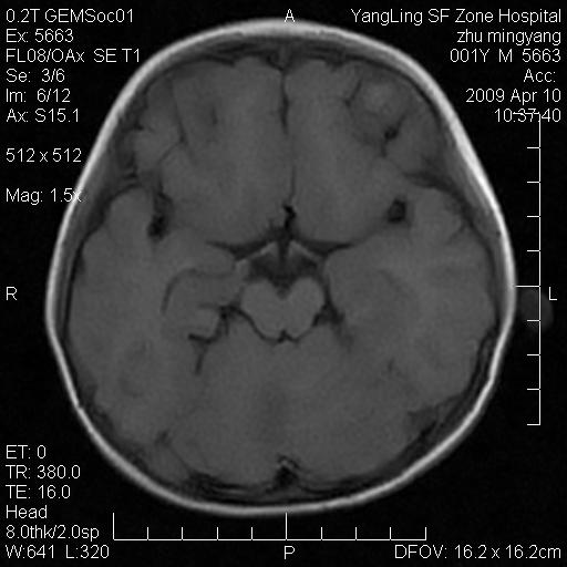
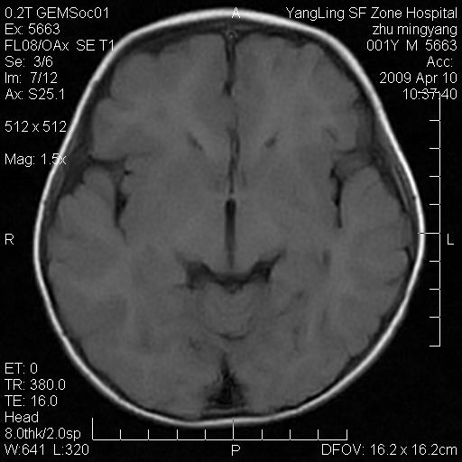
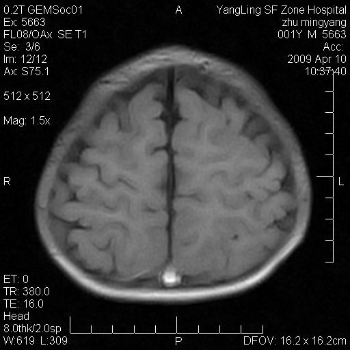
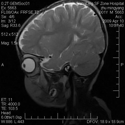
患者:1岁半,两天前外伤收住我院,ct检查小脑占位






























































[本贴已被 jiajie 于 2009-4-11 16:28:52 修改过]

作者: 棋王    时间: 2009-4-11 18:55
考虑星形细胞瘤,建议增强
作者: 黑白影子    时间: 2009-4-11 19:04
髓母细胞瘤或血管母细胞瘤,增强后可以鉴别;影像资料见 <。鱼博浪老师的《中枢神经系统ct与mr鉴别诊断》 小脑部肿瘤章节。
作者: 棋王    时间: 2009-4-11 19:27
这么小增强有风险吗?请老师指教
作者: 卜一    时间: 2009-4-12 00:07
髓母细胞瘤或血管母细胞瘤!支持!
作者: 余辉    时间: 2009-4-12 00:15
支持考虑髓母细胞瘤
作者: 杀毒软件    时间: 2009-4-12 01:35
考虑----髓母细胞瘤可能性大
作者: dyqct    时间: 2009-4-12 04:16
考虑髓母细胞瘤或室管膜瘤。
作者: 水蓝色的    时间: 2009-4-12 07:12
支持髓母细胞瘤。
作者: 随光逐影    时间: 2009-4-12 15:46
考虑髓母细胞瘤。
作者: songyi    时间: 2009-4-12 21:56
考虑髓母细胞瘤或星形细胞瘤
作者: xizhong    时间: 2009-4-13 00:05
考虑髓母细胞瘤.
作者: jiangjing    时间: 2009-4-13 22:08
小脑脑肿瘤 建议增强检查
作者: 深泽交通    时间: 2009-4-13 22:34
标题: 回复:ped1841:急!请各位老师会诊
以下是引用余辉在2009-4-11 16:15:00的发言:[br]支持考虑髓母细胞瘤

作者: 同    时间: 2009-4-14 05:24
考虑髓母细胞瘤可能性大。
作者: huqi8888    时间: 2009-4-14 16:10
髓母细胞瘤或血管母细胞瘤!支持!
作者: SUNBIN    时间: 2009-4-14 17:29
小脑肿瘤.考虑髓母细胞瘤可能.
作者: 黑白光影    时间: 2009-4-15 02:09
考虑髓母细胞瘤或室管膜瘤。
作者: zsl6918    时间: 2009-4-15 03:31
就病灶部位及临床资料首先考虑髓母.




欢迎光临 医影在线 (http://bbs.radida.com/bbs/) Powered by Discuz! X3.2