医影在线

标题: CT19314:急.马上手术请会诊 [打印本页]

作者: huhong1111111    时间: 2009-4-11 21:36
标题: CT19314:急.马上手术请会诊
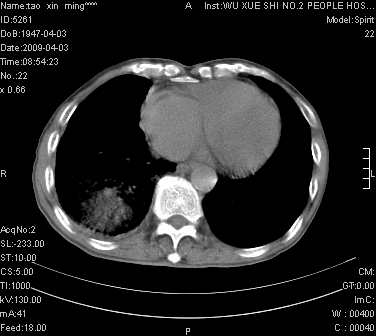
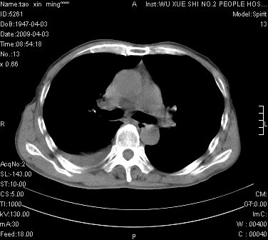
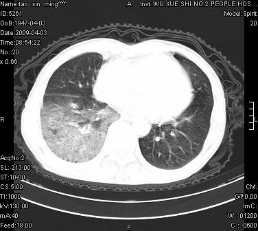
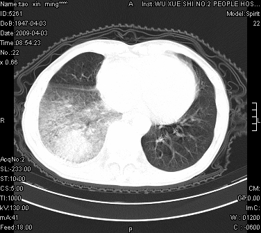
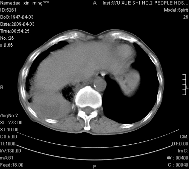
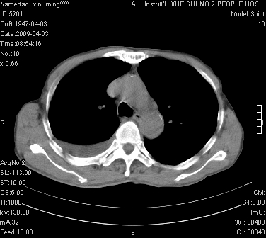
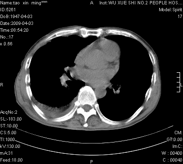
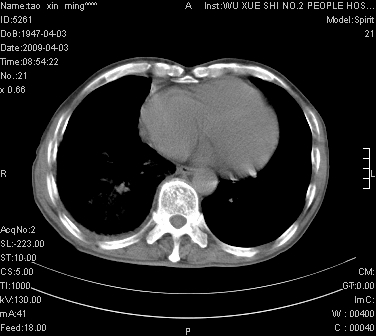
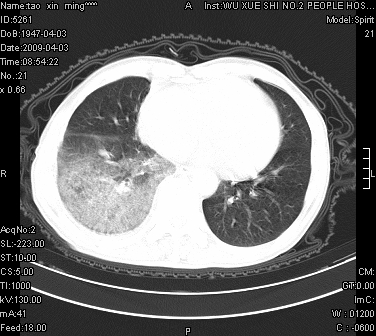
男.62.咯血.胸痛

























[本贴已被 jiajie 于 2009-4-11 16:19:18 修改过]

作者: jiajiadouyou    时间: 2009-4-11 21:55
是不是外伤的,看起来右侧肋骨骨折,右肺唑伤,右胸腔积血, 右肺背段可见一软组织肿块,边缘清晰,可以和中中央型肺ca合并
作者: 刘强    时间: 2009-4-11 23:00
考虑;肺癌  胸膜转移
作者: zr1218    时间: 2009-4-11 23:42
肺出血,周围型肺癌,右侧胸腔积液
作者: 余辉    时间: 2009-4-11 23:51
急求病史,要不就真考虑肺癌了
作者: 卜一    时间: 2009-4-11 23:56
肺挫裂伤伴出血 积液?
作者: ct诊断高手    时间: 2009-4-11 23:58
标题: 回复:急.马上手术请会诊
以下是引用卜一在2009-4-11 15:56:00的发言:[br]肺挫裂伤伴出血 积液?

作者: huhong1111111    时间: 2009-4-12 00:22
明天请武大中南医院外科熊主任手术.患者无外伤.我考虑肺癌
作者: 随缘的人    时间: 2009-4-12 00:32
考虑肺癌可能性大
作者: 深泽交通    时间: 2009-4-12 01:03
标题: 回复:ct19314:急.马上手术请会诊
以下是引用随缘的人在2009-4-11 16:32:00的发言:[br]考虑肺癌可能性大

作者: 水蓝色的    时间: 2009-4-12 01:07
肺癌可能性大。
作者: 同    时间: 2009-4-12 01:15
考虑肺癌可能性大。
作者: 杀毒软件    时间: 2009-4-12 01:49
考虑肺癌可能性大
作者: xulianj    时间: 2009-4-12 05:50
右下周围型肺癌,右侧胸腔积。
作者: pujunzhi    时间: 2009-4-12 06:06
右下周围型肺癌,右下肺出血,右侧胸腔积。
作者: jw-830    时间: 2009-4-12 06:45
考虑肺癌并右侧胸腔积液肺出血
作者: 随光逐影    时间: 2009-4-12 16:25
1)考虑右肺下叶周围型肺癌,并右肺下叶肺出血。2)右侧少量胸腔积液。
作者: huqi8888    时间: 2009-4-12 18:14
1)考虑右肺下叶周围型肺癌。2)右侧少量胸腔积液。
作者: zxczxc    时间: 2009-4-12 19:29
右下肺阴影,右胸腔少量积液。




欢迎光临 医影在线 (http://bbs.radida.com/bbs/) Powered by Discuz! X3.2